KIAA1024 Antibody - BSA Free

Images

 
Immunocytochemistry/ Immunofluorescence: KIAA1024 Antibody [NBP1-90947] - Staining of human cell line U-2 OS shows localization to the Golgi apparatus. Antibody staining is shown in green.
Staining of human cervix shows no positivity in squamous epithelial cells as expected.
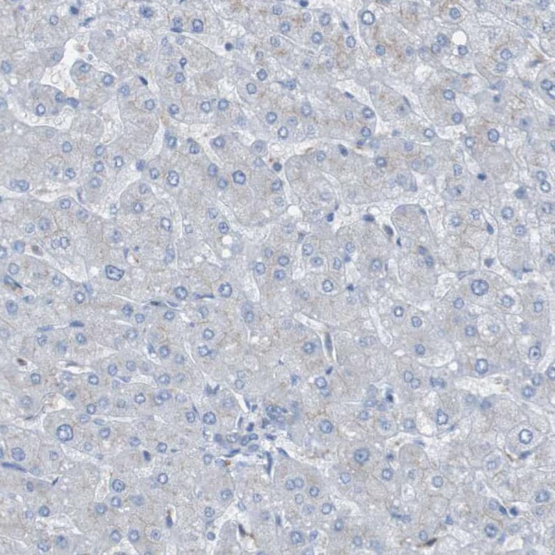
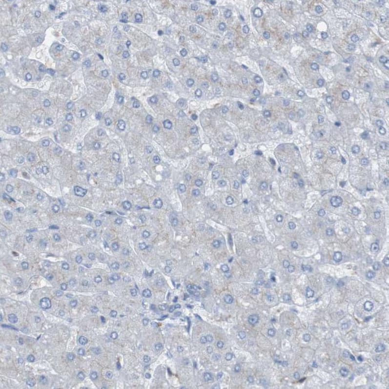
Staining of human liver shows no positivity in hepatocytes as expected.
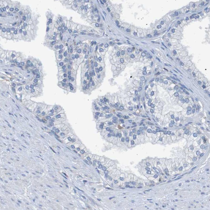
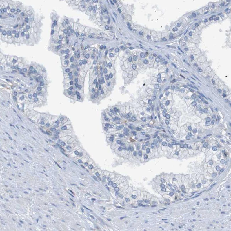
Staining of human prostate shows no positivity in glandular cells as expected.
Staining of human adrenal gland shows moderate membranous positivity in glandular cells.

Product Details

Summary
Reactivity Hu, RtSpecies Glossary
Applications ICC/IF, IHC
Clonality
Polyclonal
Host
Rabbit
Conjugate
Unconjugated
Format
BSA Free

Order Details

KIAA1024 Antibody - BSA Free Summary

Description
Novus Biologicals Rabbit KIAA1024 Antibody - BSA Free (NBP1-90947) is a polyclonal antibody validated for use in IHC and ICC/IF. All Novus Biologicals antibodies are covered by our 100% guarantee.
Immunogen
This antibody was developed against Recombinant Protein corresponding to amino acids: IQSSCYNSTGSLSQLHKSDCDSSPEHNLTKIANGVPNSKGDKGNRPENTHHSEEELKTSVCKLVLRIGEIERKLESLSGVRDEISQVLGKLNKLDQKMQQPEKVSVQIDLNSLTSEGPSDDSASPRMFHAHS
Predicted Species
Rat (90%). Backed by our 100% Guarantee.
Isotype
IgG
Clonality
Polyclonal
Host
Rabbit
Gene
KIAA1024
Purity
Immunogen affinity purified
Innovator's Reward
Test in a species/application not listed above to receive a full credit towards a future purchase.

Applications/Dilutions

Dilutions
  • Immunocytochemistry/ Immunofluorescence 0.25-2 ug/ml
  • Immunohistochemistry 1:50 - 1:200
  • Immunohistochemistry-Paraffin 1:50 - 1:200
Application Notes
For IHC-Paraffin, HIER pH 6 retrieval is recommended. ICC/IF Fixation Permeabilization: Use PFA/Triton X-100.
Control Peptide
KIAA1024 Protein (NBP1-90947PEP)

Packaging, Storage & Formulations

Storage
Store at 4C short term. Aliquot and store at -20C long term. Avoid freeze-thaw cycles.
Buffer
PBS (pH 7.2) and 40% Glycerol
Preservative
0.02% Sodium Azide
Purity
Immunogen affinity purified

Alternate Names for KIAA1024 Antibody - BSA Free

  • hypothetical protein LOC23251
  • KIAA1024

Limitations

This product is for research use only and is not approved for use in humans or in clinical diagnosis. Primary Antibodies are guaranteed for 1 year from date of receipt.

Customers Who Viewed This Item Also Viewed...

NBP1-81351
Species: Hu
Applications: IHC,  IHC-P, WB
NBP2-94321
Species: Hu, Mu, Rt
Applications: ICC/IF, IHC,  IHC-P, WB
NBP1-76995
Species: Hu, Mu, Rt
Applications: ELISA, ICC/IF, IHC,  IHC-P, WB
NB100-1307
Species: Hu, Mu, Po, Rt
Applications: IHC,  IHC-P, PEP-ELISA, WB
NBP2-38539
Species: Hu, Mu
Applications: IHC,  IHC-P
NBP1-89917
Species: Hu
Applications: ICC/IF, IHC,  IHC-P, WB
NBP2-48736
Species: Hu
Applications: ICC/IF, IHC,  IHC-P, WB
MAB2668
Species: Hu, Mu, Rt
Applications: WB
NBP1-32396
Species: Hu, Mu, Rt, Ze
Applications: ICC/IF, IHC,  IHC-P, WB
NBP2-32011
Species: Hu, Mu
Applications: ICC/IF, IHC,  IHC-P, WB
NBP2-58656
Species: Hu
Applications: ICC/IF, IHC,  IHC-P, WB
H00055466-M01
Species: Hu
Applications: ELISA, ICC/IF, IHC,  IHC-P, WB
NBP3-47949
Species: Hu, Mu, Rt
Applications: ELISA, IHC, WB
NBP1-80844
Species: Hu, Mu, Rt
Applications: ICC/IF, IHC,  IHC-P, WB
NB100-2564
Species: Hu
Applications: WB
AF4244
Species: Hu
Applications: IHC, WB
NBP2-30533
Species: Hu
Applications: ICC/IF, IHC,  IHC-P, WB
NBP1-90060
Species: Hu
Applications: IHC,  IHC-P, WB
NBP1-84854
Species: Hu, Mu, Rt
Applications: ICC/IF, IHC,  IHC-P, KD, WB
NBP1-90947
Species: Hu, Rt
Applications: ICC/IF, IHC

Publications for KIAA1024 Antibody (NBP1-90947) (0)

There are no publications for KIAA1024 Antibody (NBP1-90947).
By submitting your publication information earn gift cards and discounts for future purchases.

Reviews for KIAA1024 Antibody (NBP1-90947) (0)

There are no reviews for KIAA1024 Antibody (NBP1-90947). By submitting a review you will receive an Amazon e-Gift Card or Novus Product Discount.
  • Review with no image -- $10/€7/£6/$10 CAD/¥70 Yuan/¥1110 Yen
  • Review with an image -- $25/€18/£15/$25 CAD/¥150 Yuan/¥2500 Yen

Product General Protocols

Find general support by application which include: protocols, troubleshooting, illustrated assays, videos and webinars.

Video Protocols

ICC/IF Video Protocol

FAQs for KIAA1024 Antibody (NBP1-90947) (0)

There are no specific FAQs related to this product. Read our general customer & technical service FAQs.

Customers Who Bought This Also Bought

Contact Information

Product PDFs

Calculators

Concentration Calculator

The concentration calculator allows you to quickly calculate the volume, mass or concentration of your vial. Simply enter your mass, volume, or concentration values for your reagent and the calculator will determine the rest.

=
÷

Review this Product

Be the first to review our KIAA1024 Antibody - BSA Free and receive a gift card or discount.

Bioinformatics

Gene Symbol KIAA1024