Isocitrate Dehydrogenase 1/IDH1 Antibody (A11-B4)

Images

 
Western Blot: Isocitrate Dehydrogenase 1/IDH1 Antibody (A11-B4) [NBP2-66911] - Analysis of IDH1 on different cell lysates using anti-IDH1 antibody at 1/1000 dilution. Positive control: Lane 1: Hela Lane 2: HepG2 Lane 3: ...read more
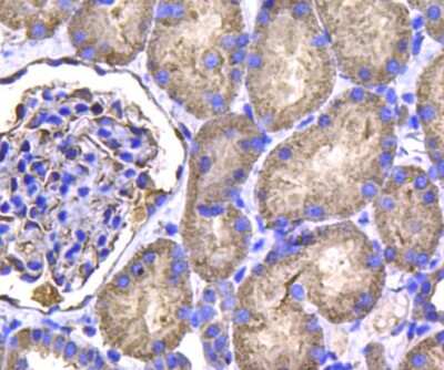
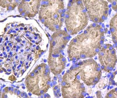
Immunohistochemistry-Paraffin: Isocitrate Dehydrogenase 1/IDH1 Antibody (A11-B4) [NBP2-66911] - Analysis of paraffin-embedded human kidney tissue using anti-IDH1 antibody. Counter stained with hematoxylin.
Immunohistochemistry-Paraffin: Isocitrate Dehydrogenase 1/IDH1 Antibody (A11-B4) [NBP2-66911] - Analysis of paraffin-embedded human breast tissue using anti-IDH1 antibody. Counter stained with hematoxylin.
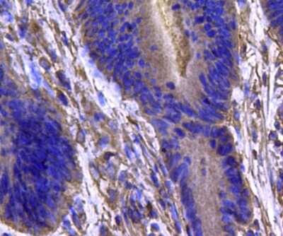
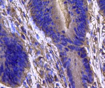
Immunohistochemistry-Paraffin: Isocitrate Dehydrogenase 1/IDH1 Antibody (A11-B4) [NBP2-66911] - Analysis of paraffin-embedded human colon carcinoma tissue using anti-IDH1 antibody. Counter stained with hematoxylin.

Order Details


    • Catalog Number
      NBP2-66911
    • Availability
      Product Discontinued

    Can't find what you are looking for? Use our Antibody Concierge Service & we will help you locate your antibody!

    Or feel free to contact us for alternative products.

Isocitrate Dehydrogenase 1/IDH1 Antibody (A11-B4) Summary

Additional Information
Recombinant Monoclonal Antibody
Immunogen
Synthetic peptide within Human Isocitrate Dehydrogenase 1/IDH1 aa 101-150 / 414. (SwissProt: O75874 Human)
Localization
Cytoplasm
Isotype
IgG1
Clonality
Monoclonal
Host
Mouse
Gene
IDH1
Purity
Protein A purified
Innovator's Reward
Test in a species/application not listed above to receive a full credit towards a future purchase.

Applications/Dilutions

Dilutions
  • Immunohistochemistry
  • Immunohistochemistry-Paraffin 1:100-1:200
  • Western Blot 1:1000

Packaging, Storage & Formulations

Storage
Store at 4C short term. Aliquot and store at -20C long term. Avoid freeze-thaw cycles.
Buffer
PBS (pH7.4), 0.2% BSA, 40% Glycerol
Preservative
0.05% Sodium Azide
Concentration
2 mg/ml
Purity
Protein A purified

Alternate Names for Isocitrate Dehydrogenase 1/IDH1 Antibody (A11-B4)

  • Cytosolic NADP-isocitrate dehydrogenase
  • EC 1.1.1.42
  • IDCD
  • IDH
  • IDH1
  • IDP
  • IDPC
  • isocitrate dehydrogenase [NADP] cytoplasmic
  • isocitrate dehydrogenase 1 (NADP+), soluble
  • Isocitrate Dehydrogenase 1
  • NADP(+)-specific ICDH
  • NADP-dependent isocitrate dehydrogenase, cytosolic
  • NADP-dependent isocitrate dehydrogenase, peroxisomal
  • Oxalosuccinate decarboxylase
  • PICD

Background

Isocitrate dehydrogenases catalyze the oxidative decarboxylation of isocitrate to 2-oxoglutarate. These enzymes belong to two distinct subclasses, one of which utilizes NAD(+) as the electron acceptor and the other NADP(+). Five isocitrate dehydrogenases have been reported: three NAD(+)-dependent isocitrate dehydrogenases, which localize to the mitochondrial matrix, and two NADP(+)-dependent isocitrate dehydrogenases, one of which is mitochondrial and the other predominantly cytosolic. Each NADP(+)-dependent isozyme is a homodimer. The protein encoded by this gene is the NADP(+)-dependent isocitrate dehydrogenase found in the cytoplasm and peroxisomes. It contains the PTS-1 peroxisomal targeting signal sequence. The presence of this enzyme in peroxisomes suggests roles in the regeneration of NADPH for intraperoxisomal reductions, such as the conversion of 2, 4-dienoyl-CoAs to 3-enoyl-CoAs, as well as in peroxisomal reactions that consume 2-oxoglutarate, namely the alpha-hydroxylation of phytanic acid. The cytoplasmic enzyme serves a significant role in cytoplasmic NADPH production. [provided by RefSeq]

Limitations

This product is for research use only and is not approved for use in humans or in clinical diagnosis. Primary Antibodies are guaranteed for 1 year from date of receipt.

Customers Who Viewed This Item Also Viewed...

NBP2-22166
Species: Hu, Mu, Rt
Applications: ICC/IF, IHC,  IHC-P, WB
NB200-103
Species: Hu, Mu, Rt, Xp(-), Ye
Applications: CyTOF-ready, ELISA, Flow-IC, Flow, ICC/IF, IHC, IHC-Fr,  IHC-P, IP, WB
NB100-168
Species: Hu, Mu(-)
Applications: CyTOF-ready, Flow-IC, Flow, ICC/IF, IHC,  IHC-P, Simple Western, WB
AF231
Species: Hu
Applications: CyTOF-ready, Dual ISH-IHC, ELISA(Cap), ELISA(Det), ELISA(Sta), Flow, ICC, IHC, IP, Simple Western, WB
NB110-61646
Species: Hu, Mu
Applications: ICC/IF, IHC,  IHC-P, IP, WB
MAB812
Species: Hu
Applications: CyTOF-ready, Flow
NBP2-59451
Species: Hu
Applications: ELISA, Flow, ICC/IF, MiAr, Simple Western, WB
NBP2-32104
Species: Hu, Rt
Applications: IHC,  IHC-P, IP, WB
NBP2-02541
Species: Hu, Pm, Mu, Pm, Rt
Applications: ICC/IF, IHC,  IHC-P, WB
H00171023-M05
Species: Hu
Applications: ELISA, IP, WB
NBP1-32259
Species: Hu, Mu, Rt
Applications: ICC/IF, IHC,  IHC-P, KO, WB
NBP1-32398
Species: Hu, Mu, Rt
Applications: ICC/IF, IHC,  IHC-P, IP, KD, WB
NBP1-89559
Species: Hu
Applications: IHC,  IHC-P, WB
NBP3-05078
Species: Hu, Mu, Rt
Applications: ICC/IF, IHC,  IHC-P, WB
NBP1-87069
Species: Hu, Mu
Applications: ICC/IF, IHC,  IHC-P, KD, Simple Western, WB
NB120-13888
Species: Hu, Mu, Rt
Applications: ChIP, ChIP, CyTOF-ready, Flow, ICC/IF, IHC-WhMt, IHC, IHC-Fr,  IHC-P, KD, KO, WB
NBP1-26612
Species: Hu
Applications: IP (-), WB
NBP2-45978
Species: Hu
Applications: Flow, IHC,  IHC-P, WB
AF7094
Species: Hu
Applications: IHC
NBP2-66911
Species: Hu, Ze
Applications: WB, IHC

Publications for Isocitrate Dehydrogenase 1/IDH1 Antibody (NBP2-66911) (0)

There are no publications for Isocitrate Dehydrogenase 1/IDH1 Antibody (NBP2-66911).
By submitting your publication information earn gift cards and discounts for future purchases.

Reviews for Isocitrate Dehydrogenase 1/IDH1 Antibody (NBP2-66911) (0)

There are no reviews for Isocitrate Dehydrogenase 1/IDH1 Antibody (NBP2-66911). By submitting a review you will receive an Amazon e-Gift Card or Novus Product Discount.
  • Review with no image -- $10/€7/£6/$10 CAD/¥70 Yuan/¥1110 Yen
  • Review with an image -- $25/€18/£15/$25 CAD/¥150 Yuan/¥2500 Yen

Product General Protocols

Find general support by application which include: protocols, troubleshooting, illustrated assays, videos and webinars.

Video Protocols

WB Video Protocol

FAQs for Isocitrate Dehydrogenase 1/IDH1 Antibody (NBP2-66911) (0)

There are no specific FAQs related to this product. Read our general customer & technical service FAQs.

Secondary Antibodies

 

Isotype Controls

Additional Isocitrate Dehydrogenase 1/IDH1 Products

Research Areas for Isocitrate Dehydrogenase 1/IDH1 Antibody (NBP2-66911)

Find related products by research area.

Blogs on Isocitrate Dehydrogenase 1/IDH1

There are no specific blogs for Isocitrate Dehydrogenase 1/IDH1, but you can read our latest blog posts.

Contact Information

Product PDFs

Calculators

Concentration Calculator

The concentration calculator allows you to quickly calculate the volume, mass or concentration of your vial. Simply enter your mass, volume, or concentration values for your reagent and the calculator will determine the rest.

=
÷

Review this Product

Be the first to review our Isocitrate Dehydrogenase 1/IDH1 Antibody (A11-B4) and receive a gift card or discount.

Bioinformatics

Gene Symbol IDH1