Integrin beta 1/CD29 Antibody (SR30-03)

Images

 
Western Blot: Integrin beta 1/CD29 Antibody (SR30-03) [NBP2-67312] - Western blot analysis of Integrin beta 1/CD29 on different lysates. Proteins were transferred to a PVDF membrane and blocked with 5% BSA in PBS for 1 ...read more
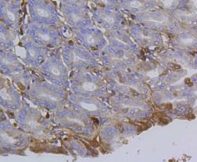
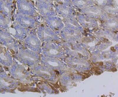
Immunohistochemistry-Paraffin: Integrin beta 1/CD29 Antibody (SR30-03) [NBP2-67312] - Analysis of paraffin-embedded mouse stomach tissue using anti-Integrin beta-1 antibody. Counter stained with hematoxylin.
Flow Cytometry: Integrin beta 1/CD29 Antibody (SR30-03) [NBP2-67312] - Analysis of Hela cells with Integrin beta-1 antibody at 1/50 dilution (blue) compared with an unlabelled control (cells without incubation with ...read more
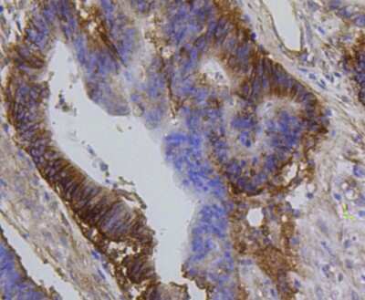
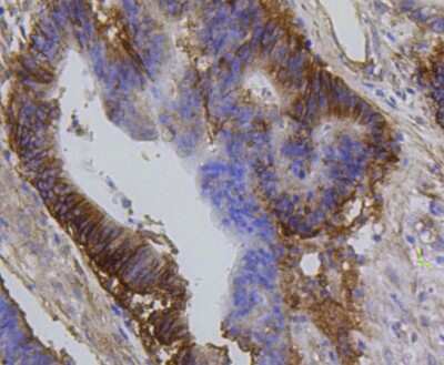
Immunohistochemistry-Paraffin: Integrin beta 1/CD29 Antibody (SR30-03) [NBP2-67312] - Analysis of paraffin-embedded human colon cancer tissue using anti-Integrin beta-1 antibody. Counter stained with hematoxylin.
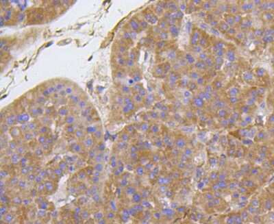
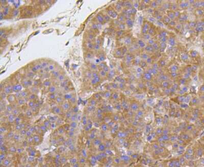
Immunohistochemistry-Paraffin: Integrin beta 1/CD29 Antibody (SR30-03) [NBP2-67312] - Analysis of paraffin-embedded human liver cancer tissue using anti-Integrin beta-1 antibody. Counter stained with hematoxylin.
Immunohistochemistry-Paraffin: Integrin beta 1/CD29 Antibody (SR30-03) [NBP2-67312] - Analysis of paraffin-embedded mouse colon tissue using anti-Integrin beta-1 antibody. Counter stained with hematoxylin.

Product Details

Summary
Product Discontinued
View other related Integrin beta 1/CD29 Primary Antibodies

Order Details


    • Catalog Number
      NBP2-67312
    • Availability
      Product Discontinued

    Can't find what you are looking for? Use our Antibody Concierge Service & we will help you locate your antibody!

    Or feel free to contact us for alternative products.

Integrin beta 1/CD29 Antibody (SR30-03) Summary

Additional Information
Recombinant Monoclonal Antibody.
Immunogen
Synthetic peptide within Human Integrin beta 1/CD29 aa 652-701 / 798. (SwissProt: P05556 Human; SwissProt: P09055 Mouse; SwissProt: P49134 Rat)
Localization
Cell membrane, Cell projection, Cleavage furrow
Isotype
IgG
Clonality
Monoclonal
Host
Rabbit
Gene
ITGB1
Purity
Protein A purified
Innovator's Reward
Test in a species/application not listed above to receive a full credit towards a future purchase.

Applications/Dilutions

Dilutions
  • Flow Cytometry 1:50-1:100
  • Immunohistochemistry
  • Immunohistochemistry-Paraffin 1:50-1:200
  • Western Blot 1:1000-1:2000

Packaging, Storage & Formulations

Storage
Store at 4C short term. Aliquot and store at -20C long term. Avoid freeze-thaw cycles.
Buffer
TBS (pH7.4), 0.05% BSA, 40% Glycerol
Preservative
0.05% Sodium Azide
Concentration
1 mg/ml
Purity
Protein A purified

Alternate Names for Integrin beta 1/CD29 Antibody (SR30-03)

  • CD29 antigen
  • CD29
  • Fibronectin receptor subunit beta
  • FNRBVLAB
  • GPIIA
  • Integrin beta 1
  • integrin beta-1
  • integrin VLA-4 beta subunit
  • integrin, beta 1 (fibronectin receptor, beta polypeptide, antigen CD29 includesMDF2, MSK12)
  • ITGB1
  • MDF2
  • MSK12
  • very late activation protein, beta polypeptide
  • VLA-4 subunit beta
  • VLA-BETA

Background

Integrin beta-1 (ITGB1, CD29, VLA-beta) is the beta subunit found in the integrin families, forming a heterodimer integrin receptor through non-covalent bonding with various integrin alpha subunits. Integrin heterodimer containing Integrin beta-1 binds to various cell surface and extracellular proteins (CD49a-f, CD51) to mediate cell to cell and cell to matrix adhesion (1). Integrin beta-1 plays a critical role in the cell adhesion and recognition in embryogenesis, hemostasis, immune response, tissue repair, metastatic diffusion of tumor cells and development (2, 3, 4).

Limitations

This product is for research use only and is not approved for use in humans or in clinical diagnosis. Primary Antibodies are guaranteed for 1 year from date of receipt.

Customers Who Viewed This Item Also Viewed...

NBP1-91258
Species: Bv, Ca, Eq, Fe, Hu, Mu, Po, Rt
Applications: ICC/IF, IHC, IHC-Fr,  IHC-P, Simple Western, WB
7268-CT
Species: Hu
Applications: BA
NBP2-79843
Species: Hu
Applications: CyTOF-ready, ELISA, Flow, ICC/IF, IHC,  IHC-P, PA, WB
NB100-524
Species: Hu, Mu
Applications: Flow-IC, Flow, ICC/IF, IHC, IHC-Fr,  IHC-P, IP, WB
BBA10
Species: Hu
Applications: CyTOF-ready, Flow, IHC, IP, KO, Simple Western, WB
AF114
Species: Mu
Applications: CyTOF-ready, Flow, ICC, IHC, WB
NBP2-67327
Species: Hu, Mu, Rt
Applications: Flow, ICC/IF, IHC,  IHC-P, IP, WB
AF1730
Species: Hu
Applications: AdBlk, CyTOF-ready, Flow, ICC
AF796
Species: Mu
Applications: AdBlk, IHC, WB
AF4117
Species: Rt
Applications: IHC, WB
AF629
Species: Hu
Applications: CyTOF-ready, Flow, InhibCellGro, WB
MAB3595
Species: Hu
Applications: CyTOF-ready, Flow, Simple Western, WB
AF1320
Species: Mu
Applications: CyTOF-ready, Flow, ICC, IHC, Simple Western, WB
NBP1-77333
Species: Hu, I, Mu, Rt
Applications: ELISA, ICC/IF, WB
AF1230
Species: Hu, Mu, Rt
Applications: IHC, KO, WB
NBP1-19371
Species: Ca, Hu, Mu, Po, Rb, Rt
Applications: Dual ISH-IHC, Flow, ICC/IF, IHC, IHC-Fr,  IHC-P, Simple Western, WB
AF2067
Species: Ca, Hu, Po
Applications: CyTOF-ready, Flow, ICC, IHC, WB
NB110-89474
Species: Bv, Ce, ChHa, Hu, Pm, Mu, Rt, RM
Applications: Dual ISH-IHC, Flow-CS, Flow, ICC/IF, IHC, IHC-Fr,  IHC-P, ISH, Simple Western, Single-Cell Western, WB
202-IL
Species: Hu
Applications: BA

Publications for Integrin beta 1/CD29 Antibody (NBP2-67312) (0)

There are no publications for Integrin beta 1/CD29 Antibody (NBP2-67312).
By submitting your publication information earn gift cards and discounts for future purchases.

Reviews for Integrin beta 1/CD29 Antibody (NBP2-67312) (0)

There are no reviews for Integrin beta 1/CD29 Antibody (NBP2-67312). By submitting a review you will receive an Amazon e-Gift Card or Novus Product Discount.
  • Review with no image -- $10/€7/£6/$10 CAD/¥70 Yuan/¥1110 Yen
  • Review with an image -- $25/€18/£15/$25 CAD/¥150 Yuan/¥2500 Yen

Product General Protocols

Find general support by application which include: protocols, troubleshooting, illustrated assays, videos and webinars.

Video Protocols

WB Video Protocol

FAQs for Integrin beta 1/CD29 Antibody (NBP2-67312). (Showing 1 - 1 of 1 FAQ).

  1. I'm looking for a good antibody for integrins that works in rats. I would need it for Western Blot, Immunocyto- as well as Immunohistochemistry. I'm especially interested in beta1.
    • I would recommend NB110-57123 as it has been validated using rat samples in WB, IHC-P, and FACS. Although we do not list ICC on the datasheet for this antibody I believe it will work in ICC because it works in Flow Cytometry and has been validated to stain tissue. We have several other Integrin targets. To search for what you are looking for I recommend typing Integrin into the search area at the top of our website, then review the list of suggested targets that poplulate below the search. Once you click on a particular Integrin you can narrow the results with our filter. I recommend filtering to primary antibodies, by target name, species of interest you can filter to rat. If you so choose you can also filter further by application, host, clonality, etc.

Secondary Antibodies

 

Isotype Controls

Additional Integrin beta 1/CD29 Products

Research Areas for Integrin beta 1/CD29 Antibody (NBP2-67312)

Find related products by research area.

Blogs on Integrin beta 1/CD29.

Integrin Beta 1/CD29 - a cell adhesion and cell signaling protein with diverse functions
Integrins are a large family of trasmembrane proteins involved in cell adhesion and form a link between the intracellular cyskeletal proteins and extracellular matrix proteins. Integrins exist as heterodimers consisting of alpha and beta subunits. ...  Read full blog post.

Contact Information

Product PDFs

Calculators

Concentration Calculator

The concentration calculator allows you to quickly calculate the volume, mass or concentration of your vial. Simply enter your mass, volume, or concentration values for your reagent and the calculator will determine the rest.

=
÷

Review this Product

Be the first to review our Integrin beta 1/CD29 Antibody (SR30-03) and receive a gift card or discount.

Bioinformatics

Gene Symbol ITGB1