Integrin alpha 6/CD49f Antibody (CL6957) - Azide and BSA Free

Images

 
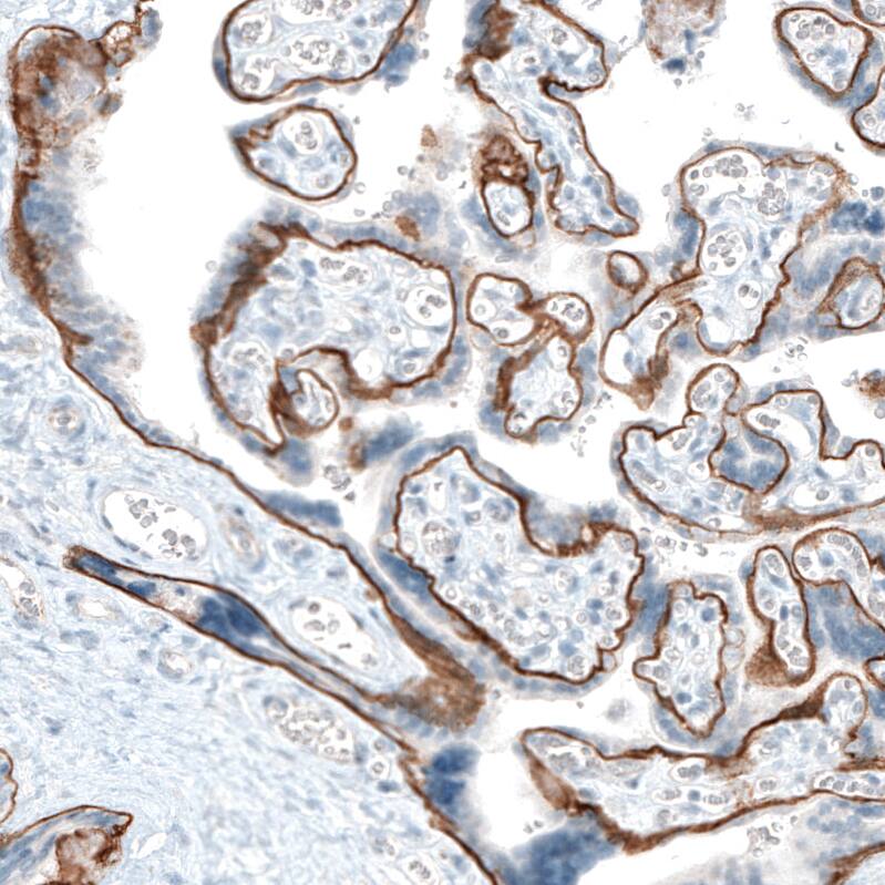
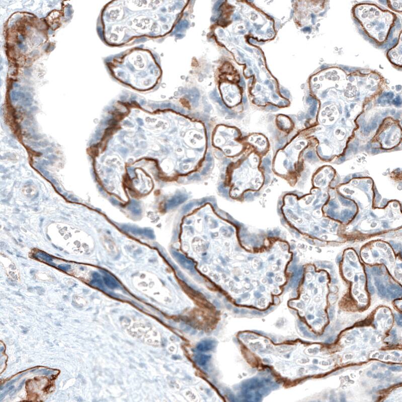
Orthogonal Strategies: Analysis in human placenta and skeletal muscle tissues using NBP3-44394 antibody. Corresponding Integrin alpha 6/CD49f RNA-seq data are presented for the same tissues.
Staining of human prostate shows weak to moderate basement membrane positivity in glandular cells.
Staining of human placenta shows strong basement membrane positivity in trophoblastic cells.
Staining of human skeletal muscle shows no membranous positivity in striated muscle fibers as expected.
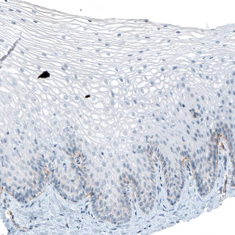
Staining of human uterine cervix shows weak to moderate basement membrane positivity in squamous epithelium.

Product Details

Summary
Reactivity HuSpecies Glossary
Applications IHC
Clone
CL6957
Clonality
Monoclonal
Host
Mouse
Conjugate
Unconjugated
Format
Azide and BSA Free
Concentration
LYOPH
Validated by:
       

Orthogonal Strategies

 

Order Details

Integrin alpha 6/CD49f Antibody (CL6957) - Azide and BSA Free Summary

Description
Novus Biologicals Mouse Integrin alpha 6/CD49f Antibody (CL6957) - Azide and BSA Free (NBP2-76523) is a monoclonal antibody validated for use in IHC. All Novus Biologicals antibodies are covered by our 100% guarantee.
Immunogen
This antibody was generated using a recombinant protein sequence of P23229, with the exact immunogen sequence remaining proprietary.
Isotype
IgG1
Clonality
Monoclonal
Host
Mouse
Gene
ITGA6
Purity
Protein A purified
Innovator's Reward
Test in a species/application not listed above to receive a full credit towards a future purchase.

Applications/Dilutions

Dilutions
  • Immunohistochemistry-Paraffin 1:500 - 1:1000
Application Notes
For IHC-Paraffin, HIER pH 6 retrieval is recommended.

Packaging, Storage & Formulations

Storage
Store at 4C short term. Aliquot and store at -20C long term. Avoid freeze-thaw cycles.
Buffer
Lyophilized from a 0.2 um filtered solution in PBS with Trehalose
Preservative
No Preservative
Concentration
LYOPH
Purity
Protein A purified
Reconstitution Instructions
Centrifuge the vial of lyophilized antibody at 12,000 x g for 20 seconds. Reconstitute by adding sterile, distilled water to achieve a final antibody concentration of 1mg/ml.

Alternate Names for Integrin alpha 6/CD49f Antibody (CL6957) - Azide and BSA Free

  • CD49 antigen-like family member F
  • CD49f antigen
  • CD49f
  • DKFZp686J01244
  • FLJ18737
  • Integrin alpha 6
  • integrin alpha-6
  • integrin alpha6B
  • integrin, alpha 6
  • ITGA6
  • ITGA6B
  • Platelet gpl
  • VLA-6

Background

The ITGA6 protein product is the integrin alpha chain alpha 6. Integrins are integral cell-surface proteins composed of an alpha chain and a beta chain. A given chain may combine with multiple partners resulting in different integrins. For example, alpha 6 may combine with beta 4 in the integrin referred to as TSP180, or with beta 1 in the integrin VLA-6. Integrins are known to participate in cell adhesion as well as cell-surface mediated signalling. Two transcript variants encoding different isoforms have been found for this gene. (provided by RefSeq)

Limitations

This product is for research use only and is not approved for use in humans or in clinical diagnosis. Primary Antibodies are guaranteed for 1 year from date of receipt.

Customers Who Viewed This Item Also Viewed...

NBP1-84576
Species: Hu, Mu
Applications: IHC,  IHC-P, WB
NBP1-91258
Species: Bv, Ca, Eq, Fe, Hu, Mu, Po, Rt
Applications: ICC/IF, IHC, IHC-Fr,  IHC-P, Simple Western, WB
MAB17781
Species: Hu
Applications: Block, CyTOF-ready, Flow, ICC, IP, KO
MAB1233
Species: Hu
Applications: CyTOF-ready, Flow, ICC, IP
7268-CT
Species: Hu
Applications: BA
AF796
Species: Mu
Applications: AdBlk, IHC, WB
NB100-524
Species: Hu, Mu
Applications: Flow-IC, Flow, ICC/IF, IHC, IHC-Fr,  IHC-P, IP, WB
NBP2-79843
Species: Hu
Applications: CyTOF-ready, ELISA, Flow, ICC/IF, IHC,  IHC-P, PA, WB
BBA10
Species: Hu
Applications: CyTOF-ready, Flow, IHC, IP, KO, Simple Western, WB
AF1730
Species: Hu
Applications: AdBlk, CyTOF-ready, Flow, ICC
MAB3595
Species: Hu
Applications: CyTOF-ready, Flow, Simple Western, WB
AF5676
Species: Hu
Applications: CyTOF-ready, Flow, IHC, WB
NBP1-77333
Species: Hu, I, Mu, Rt
Applications: ELISA, ICC/IF, WB
AF629
Species: Hu
Applications: CyTOF-ready, Flow, InhibCellGro, WB
NB110-89474
Species: Bv, Ce, ChHa, Hu, Pm, Mu, Rt, RM
Applications: Dual ISH-IHC, Flow-CS, Flow, ICC/IF, IHC, IHC-Fr,  IHC-P, ISH, Simple Western, Single-Cell Western, WB
NB100-77903
Species: Hu
Applications: Flow, ICC/IF, IHC, IHC-Fr
AF4117
Species: Rt
Applications: IHC, WB
AF114
Species: Mu
Applications: CyTOF-ready, Flow, ICC, IHC, WB
AF2787
Species: Mu
Applications: CyTOF-ready, Flow, WB

Publications for Integrin alpha 6/CD49f Antibody (NBP3-44394) (0)

There are no publications for Integrin alpha 6/CD49f Antibody (NBP3-44394).
By submitting your publication information earn gift cards and discounts for future purchases.

Reviews for Integrin alpha 6/CD49f Antibody (NBP3-44394) (0)

There are no reviews for Integrin alpha 6/CD49f Antibody (NBP3-44394). By submitting a review you will receive an Amazon e-Gift Card or Novus Product Discount.
  • Review with no image -- $10/€7/£6/$10 CAD/¥70 Yuan/¥1110 Yen
  • Review with an image -- $25/€18/£15/$25 CAD/¥150 Yuan/¥2500 Yen

Product General Protocols

Find general support by application which include: protocols, troubleshooting, illustrated assays, videos and webinars.

FAQs for Integrin alpha 6/CD49f Antibody (NBP3-44394) (0)

There are no specific FAQs related to this product. Read our general customer & technical service FAQs.

Secondary Antibodies

 

Isotype Controls

Additional Integrin alpha 6/CD49f Products

Research Areas for Integrin alpha 6/CD49f Antibody (NBP3-44394)

Find related products by research area.

Blogs on Integrin alpha 6/CD49f

There are no specific blogs for Integrin alpha 6/CD49f, but you can read our latest blog posts.

Customers Who Bought This Also Bought

Contact Information

Product PDFs

Calculators

Concentration Calculator

The concentration calculator allows you to quickly calculate the volume, mass or concentration of your vial. Simply enter your mass, volume, or concentration values for your reagent and the calculator will determine the rest.

=
÷

Review this Product

Be the first to review our Integrin alpha 6/CD49f Antibody (CL6957) - Azide and BSA Free and receive a gift card or discount.

Bioinformatics

Gene Symbol ITGA6