IFI27 Antibody (CL14627) - Azide and BSA Free

Images

 
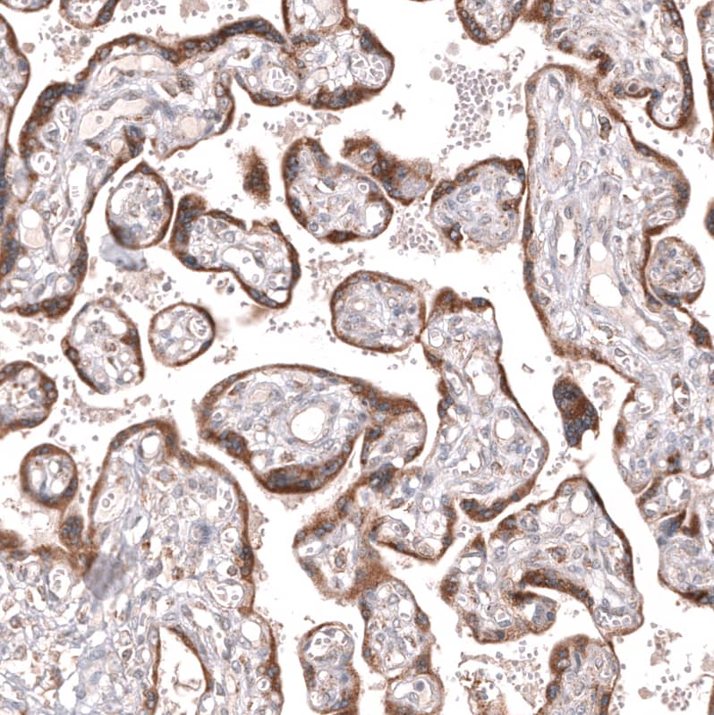
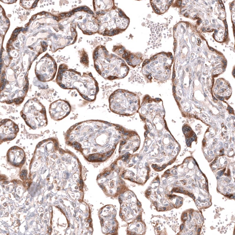
Orthogonal Strategies: Analysis in human placenta and skeletal muscle tissues using NBP3-44299 antibody. Corresponding IFI27 RNA-seq data are presented for the same tissues.
Staining of human colon shows moderate cytoplasmic positivity in glandular cells.
Staining of human skeletal muscle shows no positivity in myocytes as expected.
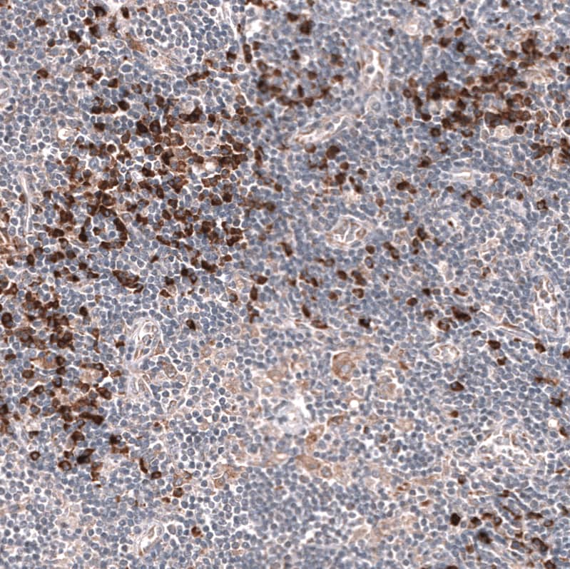
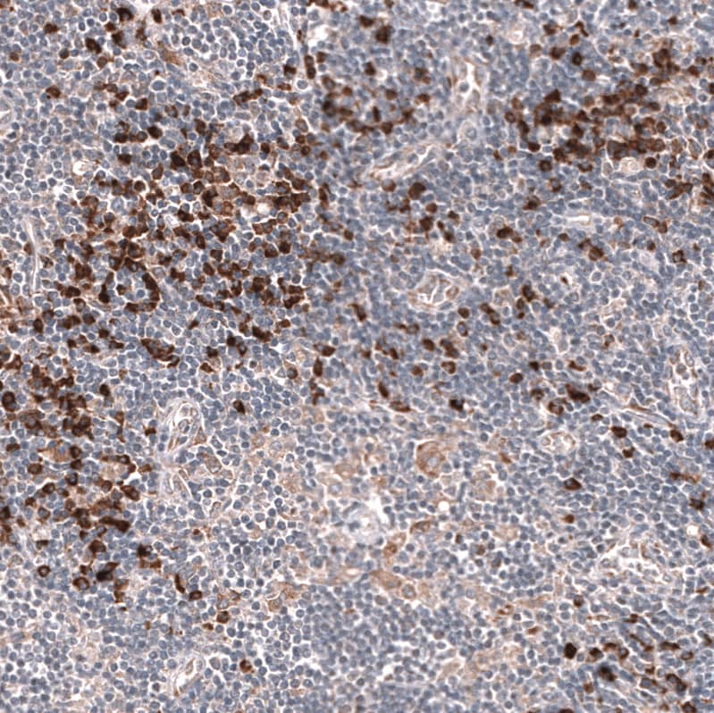
Staining of human lymph node shows strong cytoplasmic positivity in lymphoid cells.
Staining of human placenta shows strong cytoplasmic positivity in trophoblastic cells.

Product Details

Summary
Reactivity HuSpecies Glossary
Applications IHC
Clone
CL14627
Clonality
Monoclonal
Host
Mouse
Conjugate
Unconjugated
Format
Azide and BSA Free
Concentration
LYOPH
Validated by:
       

Orthogonal Strategies

 

Order Details

IFI27 Antibody (CL14627) - Azide and BSA Free Summary

Description
Novus Biologicals Mouse IFI27 Antibody (CL14627) - Azide and BSA Free (NBP3-26876) is a monoclonal antibody validated for use in IHC. All Novus Biologicals antibodies are covered by our 100% guarantee.
Immunogen
This antibody was generated using a synthetic peptide of P40305, with the exact immunogen sequence remaining proprietary.
Isotype
IgG1
Clonality
Monoclonal
Host
Mouse
Gene
IFI27
Purity
Protein A purified
Innovator's Reward
Test in a species/application not listed above to receive a full credit towards a future purchase.

Applications/Dilutions

Dilutions
  • Immunohistochemistry-Paraffin 1:200 - 1:500
Application Notes
For IHC-Paraffin, HIER pH 6 retrieval is recommended.

Packaging, Storage & Formulations

Storage
Store at 4C short term. Aliquot and store at -20C long term. Avoid freeze-thaw cycles.
Buffer
Lyophilized from a 0.2 um filtered solution in PBS with Trehalose
Preservative
No Preservative
Concentration
LYOPH
Purity
Protein A purified
Reconstitution Instructions
Centrifuge the vial of lyophilized antibody at 12,000 x g for 20 seconds. Reconstitute by adding sterile, distilled water to achieve a final antibody concentration of 1mg/ml.

Alternate Names for IFI27 Antibody (CL14627) - Azide and BSA Free

  • FAM14D
  • Interferon alpha-induced 11.5 kDa protein
  • interferon alpha-inducible protein 27, mitochondrial
  • interferon, alpha-inducible protein 27,2310061N23Rik
  • Interferon-stimulated gene 12a protein
  • ISG12
  • ISG12(a)
  • ISG12A
  • p27

Background

IFI27( AAH15492, 1 a.a. - 120 a.a.) full-length recombinant protein with GST.

Limitations

This product is for research use only and is not approved for use in humans or in clinical diagnosis. Primary Antibodies are guaranteed for 1 year from date of receipt.

Customers Who Viewed This Item Also Viewed...

NBP2-29463
Species: Pm, Hu, Pm, Mu
Applications: Flow, ICC/IF, IHC,  IHC-P, WB
AF1555
Species: Hu
Applications: WB
MAB7557
Species: Hu
Applications: IHC, WB
NBP2-46085
Species: Hu
Applications: IHC,  IHC-P, WB
H00027065-M01
Species: Hu, Rt
Applications: ELISA, ICC/IF, S-ELISA, WB
NBP2-00776
Species: Ca, Hu, Pm, Mu, Rt
Applications: Flow, ICC/IF, IHC,  IHC-P, WB
NBP2-32840
Species: Hu, Pm, Mu, Rt
Applications: Flow, ICC/IF, IHC,  IHC-P, WB
NB200-106
Species: Mu, Rt
Applications: ELISA, ICC/IF, IHC, IHC-Fr,  IHC-P, WB
NB200-103
Species: Hu, Mu, Rt, Xp(-), Ye
Applications: CyTOF-ready, ELISA, Flow-IC, Flow, ICC/IF, IHC, IHC-Fr,  IHC-P, IP, WB
NBP1-31308
Species: Bv, Hu, Mu, Rt
Applications: ICC/IF, IHC,  IHC-P, Simple Western, WB
AF6897
Species: Hu, Mu
Applications: IHC, Simple Western, WB
NBP2-68858
Species: Hu
Applications: IHC,  IHC-P
NB500-106
Species: Ch, Dr, Fi, Hu, Mar, Mu, Po, Pm, Rb, Rt, Ye, Ze
Applications: ChIP, ChIP, ELISA, Flow, ICC/IF, IHC-FrFl, IHC, IHC-Fr,  IHC-P, IP, Simple Western, WB
MAB6495
Species: Hu
Applications: ICC, Simple Western, WB
AF887
Species: Hu, Mu, Rt
Applications: CyTOF-ready, IHC, ICFlow, Simple Western, WB
NB100-56098
Species: Ca, Hu, Mu, Rt
Applications: IHC,  IHC-P, IP, WB
NBP1-89917
Species: Hu
Applications: ICC/IF, IHC,  IHC-P, WB
NBP2-49142
Species: Hu
Applications: IHC,  IHC-P, KD, WB

Publications for IFI27 Antibody (NBP3-44299) (0)

There are no publications for IFI27 Antibody (NBP3-44299).
By submitting your publication information earn gift cards and discounts for future purchases.

Reviews for IFI27 Antibody (NBP3-44299) (0)

There are no reviews for IFI27 Antibody (NBP3-44299). By submitting a review you will receive an Amazon e-Gift Card or Novus Product Discount.
  • Review with no image -- $10/€7/£6/$10 CAD/¥70 Yuan/¥1110 Yen
  • Review with an image -- $25/€18/£15/$25 CAD/¥150 Yuan/¥2500 Yen

Product General Protocols

Find general support by application which include: protocols, troubleshooting, illustrated assays, videos and webinars.

FAQs for IFI27 Antibody (NBP3-44299) (0)

There are no specific FAQs related to this product. Read our general customer & technical service FAQs.

Secondary Antibodies

 

Isotype Controls

Additional IFI27 Products

Research Areas for IFI27 Antibody (NBP3-44299)

Find related products by research area.

Blogs on IFI27.

COVID-19 and metabolic dysregulation: SARS-CoV-2 injures human exocrine and endocrine pancreas
Jamshed Arslan, Pharm D, PhD Humans rely on the pancreas for digesting food and generating energy from it. SARS-CoV-2-mediated damage to the exocrine pancreas is evident from the pancreatitis, pancreatic enlargeme...  Read full blog post.

Customers Who Bought This Also Bought

Contact Information

Product PDFs

Calculators

Concentration Calculator

The concentration calculator allows you to quickly calculate the volume, mass or concentration of your vial. Simply enter your mass, volume, or concentration values for your reagent and the calculator will determine the rest.

=
÷

Review this Product

Be the first to review our IFI27 Antibody (CL14627) - Azide and BSA Free and receive a gift card or discount.

Bioinformatics

Gene Symbol IFI27