Hydroxyacid Oxidase-1/HAO-1 Antibody - BSA Free

Images

 
Orthogonal Strategies: Immunohistochemistry-Paraffin: Hydroxyacid Oxidase-1/HAO-1 Antibody [NBP2-14080] - Analysis in human liver and endometrium tissues using NBP2-14080 antibody. Corresponding HAO1 RNA-seq data ...read more
Western Blot: Hydroxyacid Oxidase-1/HAO-1 Antibody [NBP2-14080] - Analysis in human liver tissue.
Immunohistochemistry-Paraffin: Hydroxyacid Oxidase-1/HAO-1 Antibody [NBP2-14080] - Hydroxyacid Oxidase-1/HAO-1 antibody was used on canine paraffin-embedded liver tissue at a concentration of 20ug/mL and left at 4C ...read more
Immunohistochemistry-Paraffin: Hydroxyacid Oxidase-1/HAO-1 Antibody [NBP2-14080] - Staining of human endometrium shows no positivity in glandular cells as expected.
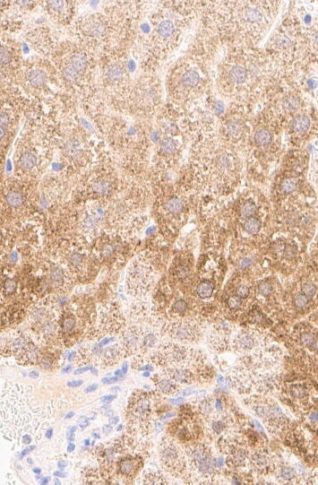
Immunohistochemistry-Paraffin: Hydroxyacid Oxidase-1/HAO-1 Antibody [NBP2-14080] - Staining of human liver shows strong granular cytoplasm positivity in hepatocytes.
Immunohistochemistry-Paraffin: Hydroxyacid Oxidase-1/HAO-1 Antibody [NBP2-14080] - Staining of human testis shows moderate granular cytoplasm positivity in cells in seminiferous ducts.
Immunohistochemistry-Paraffin: Hydroxyacid Oxidase-1/HAO-1 Antibody [NBP2-14080] - Staining of human prostate shows no positivity in glandular cells.

Product Details

Summary
Reactivity Hu, CaSpecies Glossary
Applications WB, IHC
Clonality
Polyclonal
Host
Rabbit
Conjugate
Unconjugated
Format
BSA Free
Validated by:
       

Orthogonal Strategies

 

Order Details

View Available Formulations
Catalog# & Formulation Size Price

Hydroxyacid Oxidase-1/HAO-1 Antibody - BSA Free Summary

Description
Novus Biologicals Rabbit Hydroxyacid Oxidase-1/HAO-1 Antibody - BSA Free (NBP2-14080) is a polyclonal antibody validated for use in IHC and WB. Anti-Hydroxyacid Oxidase-1/HAO-1 Antibody: Cited in 1 publication. All Novus Biologicals antibodies are covered by our 100% guarantee.
Immunogen
This antibody was developed against a recombinant protein corresponding to the amino acids: QHAKSVLPKSIYDYYRSGANDEETLADNIAAFSRWKLYPRMLRNVAETDLSTSVLGQRVSMPICVGATAMQRMAHVDGELATVR
Isotype
IgG
Clonality
Polyclonal
Host
Rabbit
Gene
HAO1
Purity
Immunogen affinity purified
Innovator's Reward
Test in a species/application not listed above to receive a full credit towards a future purchase.

Applications/Dilutions

Dilutions
  • Immunohistochemistry 1:1000 - 1:2500
  • Immunohistochemistry-Paraffin 1:1000-1:2500
  • Western Blot 0.4 ug/ml
Application Notes
For IHC-Paraffin, HIER pH 6 retrieval is recommended.
Control Peptide
Hydroxyacid Oxidase-1/HAO-1 Protein (NBP2-14080PEP)
Reviewed Applications
Read 3 Reviews rated 3.7
using
NBP2-14080 in the following applications:

Publications
Read Publication using NBP2-14080.

Reactivity Notes

Immunogen displays the following percentage of sequence identity for non-tested species: Mouse (89%), Rat (88%). Reactivity reported in scientific literature (PMID: 24648543). Canine reactivity reported from a verified customer review.

Packaging, Storage & Formulations

Storage
Store at 4C short term. Aliquot and store at -20C long term. Avoid freeze-thaw cycles.
Buffer
PBS (pH 7.2) and 40% Glycerol
Preservative
0.02% Sodium Azide
Purity
Immunogen affinity purified

Alternate Names for Hydroxyacid Oxidase-1/HAO-1 Antibody - BSA Free

  • (S)-2-hydroxy-acid oxidase
  • EC 1.1.3.15
  • Glycolate oxidase
  • GOX
  • GOX1MGC142227
  • GOXMGC142225
  • HAO1
  • HAO-1
  • HAOX1
  • hydroxyacid oxidase (glycolate oxidase) 1
  • hydroxyacid oxidase 1
  • Hydroxyacid Oxidase1
  • Hydroxyacid Oxidase-1

Background

HAO1 is one of three related genes that have 2-hydroxyacid oxidase activity yet differ in encoded protein amino acid sequence, tissue expression and substrate preference. Subcellular location of the encoded protein is the peroxisome. Specifically, this gene is expressed primarily in liver and pancreas and the encoded protein is most active on glycolate, a two-carbon substrate. The protein is also active on 2-hydroxy fatty acids. The transcript detected at high levels in pancreas may represent an alternatively spliced form or the use of a multiple near-consensus upstream polyadenylation site. [provided by RefSeq]

Limitations

This product is for research use only and is not approved for use in humans or in clinical diagnosis. Primary Antibodies are guaranteed for 1 year from date of receipt.

Customers Who Viewed This Item Also Viewed...

AF3398
Species: Hu, Mu, Rt
Applications: ICC, KO, Simple Western, WB
NBP2-92892
Species: Hu, Mu, Rt
Applications: ICC/IF, WB
NBP1-86616
Species: Hu
Applications: IHC,  IHC-P, WB
H00051179-P01
Species: Hu
Applications: ELISA, AP, PA, WB
H00342184-M07
Species: Hu
Applications: ELISA, ICC/IF, WB
NBP1-31470
Species: Bv, Hu, Mu, Rt
Applications: ELISA, Flow, ICC/IF, IHC,  IHC-P, WB
NBP2-58917
Species: Hu
Applications: IHC,  IHC-P, WB
NBP1-32259
Species: Hu, Mu, Rt
Applications: ICC/IF, IHC,  IHC-P, KO, WB
NBP1-81838
Species: Hu, Mu
Applications: IHC,  IHC-P, WB
NB100-182
Species: Av, Ca, Hu, Ma, Mu, Pm, Rt, Ze
Applications: ChIP, ChIP, Flow, IB, ICC/IF, IHC,  IHC-P, IP, KD, KO, RNAi, Simple Western, WB
664-LI
Species: Hu
Applications: BA
MAB2476
Species: Hu
Applications: IHC, WB
NB100-74510
Species: Hu, Mu, Pm, Rt
Applications: ELISA, ICC/IF, IHC,  IHC-P, IP, WB
NBP1-89200
Species: Hu, Mu
Applications: IHC,  IHC-P, Simple Western, WB
NBP2-16684
Species: Hu, Mu, Rt
Applications: EM, IHC,  IHC-P, WB
AF3628
Species: Hu, Mu, Rt
Applications: CyTOF-ready, Flow, ICC, IHC, Simple Western, WB
NB100-40853
Species: Hu
Applications: IHC,  IHC-P, IP, WB
AF1936
Species: Hu
Applications: IP, WB
NB100-2559
Species: Hu
Applications: IHC,  IHC-P, PEP-ELISA, WB

Publications for Hydroxyacid Oxidase-1/HAO-1 Antibody (NBP2-14080)(1)

Reviews for Hydroxyacid Oxidase-1/HAO-1 Antibody (NBP2-14080) (3) 3.73

Average Rating: 3.7
(Based on 3 reviews)
We have 3 reviews tested in 3 species: Mouse, Canine, Turtle.

Reviews using NBP2-14080:
Filter by Applications
 IHC-P
(3)
All Applications
Filter by Species
Mouse
(1)
Canine
(1)
Turtle
(1)
All Species
Images Ratings Applications Species Date Details
Immunohistochemistry-Paraffin Hydroxyacid Oxidase-1/HAO-1 NBP2-14080
Enlarge
3
reviewed by:
Vojtech Gabriel
 IHC-P Turtle 05/11/2022
View

Summary

ApplicationImmunohistochemistry-Paraffin
Sample TestedIHC Sample Tested
SpeciesTurtle
Lot000017281
Immunohistochemistry-Paraffin Hydroxyacid Oxidase-1/HAO-1 NBP2-14080
Enlarge
5
reviewed by:
Hannah Wickham
 IHC-P Canine 03/11/2022
View

Summary

ApplicationImmunohistochemistry-Paraffin
Sample TestedLiver tissue
SpeciesCanine
Lot000017281

Comments

CommentsHAO1 was used on canine paraffin-embedded liver tissue at a concentration of 20ug/mL and left at 4C overnight. HIER was performed in Tris/EDTA buffer for two hours at 75C. ***Bio-Techne Response: This review was submitted through the legacy Novus Innovators Program, reflecting a new species or application tested on a primary antibody.***
Immunohistochemistry-Paraffin Hydroxyacid Oxidase-1/HAO-1 NBP2-14080
Enlarge
3
reviewed by:
Faye Doherty
 IHC-P Mouse 07/01/2019
View

Summary

ApplicationImmunohistochemistry-Paraffin
Sample TestedLiver tissue
SpeciesMouse
LotR59499

Comments

CommentsAverage Antibody when tested in Mouse Liver, has clear staining patterns, however has minor background noise within the tissue.

Product General Protocols

Find general support by application which include: protocols, troubleshooting, illustrated assays, videos and webinars.

Video Protocols

WB Video Protocol

FAQs for Hydroxyacid Oxidase-1/HAO-1 Antibody (NBP2-14080) (0)

There are no specific FAQs related to this product. Read our general customer & technical service FAQs.

Secondary Antibodies

 

Isotype Controls

Additional Hydroxyacid Oxidase-1/HAO-1 Products

Research Areas for Hydroxyacid Oxidase-1/HAO-1 Antibody (NBP2-14080)

Find related products by research area.

Blogs on Hydroxyacid Oxidase-1/HAO-1

There are no specific blogs for Hydroxyacid Oxidase-1/HAO-1, but you can read our latest blog posts.

Customers Who Bought This Also Bought

Contact Information

Product PDFs

Calculators

Concentration Calculator

The concentration calculator allows you to quickly calculate the volume, mass or concentration of your vial. Simply enter your mass, volume, or concentration values for your reagent and the calculator will determine the rest.

=
÷

Recent Reviews

3.7
5
1
4
0
3
2
2
0
1
0

Vojtech Gabriel
05/11/2022
Application:  IHC-P
Species: Turtle

Hannah Wickham
03/11/2022
Application:  IHC-P
Species: Canine

Faye Doherty
07/01/2019
Application:  IHC-P
Species: Mouse

Bioinformatics

Gene Symbol HAO1