HspA4 Antibody (SD0861)

Images

 
Western Blot: HspA4 Antibody (SD0861) [NBP2-67817] - Analysis of HSPA4 on Hela cells lysates using anti-HSPA4 antibody at 1/1,000 dilution.
Immunocytochemistry/ Immunofluorescence: HspA4 Antibody (SD0861) [NBP2-67817] - Staining HSPA4 in HepG2 cells (green). The nuclear counter stain is DAPI (blue). Cells were fixed in paraformaldehyde, permeabilised with ...read more
Immunohistochemistry-Paraffin: HspA4 Antibody (SD0861) [NBP2-67817] - Analysis of paraffin-embedded rat brain tissue using anti-HSPA4 antibody. Counter stained with hematoxylin.
Flow Cytometry: HspA4 Antibody (SD0861) [NBP2-67817] - Analysis of Hela cells with HSPA4 antibody at 1/50 dilution (red) compared with an unlabelled control (cells without incubation with primary antibody; black). Alexa ...read more
Immunocytochemistry/ Immunofluorescence: HspA4 Antibody (SD0861) [NBP2-67817] - Staining HSPA4 in Hela cells (green). The nuclear counter stain is DAPI (blue). Cells were fixed in paraformaldehyde, permeabilised with ...read more
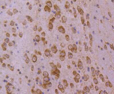
Immunohistochemistry-Paraffin: HspA4 Antibody (SD0861) [NBP2-67817] - Analysis of paraffin-embedded human liver cancer tissue using anti-HSPA4 antibody. Counter stained with hematoxylin.
Immunohistochemistry-Paraffin: HspA4 Antibody (SD0861) [NBP2-67817] - Analysis of paraffin-embedded mouse brain tissue using anti-HSPA4 antibody. Counter stained with hematoxylin.

Product Details

Summary
Product Discontinued
View other related HspA4 Primary Antibodies

Order Details


    • Catalog Number
      NBP2-67817
    • Availability
      Product Discontinued

    Can't find what you are looking for? Use our Antibody Concierge Service & we will help you locate your antibody!

    Or feel free to contact us for alternative products.

HspA4 Antibody (SD0861) Summary

Additional Information
Recombinant Monoclonal Antibody.
Immunogen
Recombinant protein within Human HspA4 aa 701-750 / 840. (SwissProt: P34932 Human; SwissProt: Q61316 Mouse; SwissProt: O88600 Rat)
Localization
Cytoplasm, Nucleus.
Isotype
IgG
Clonality
Monoclonal
Host
Rabbit
Gene
HSPA4
Purity
Protein A purified
Innovator's Reward
Test in a species/application not listed above to receive a full credit towards a future purchase.

Applications/Dilutions

Dilutions
  • Flow Cytometry 1:50-1:100
  • Immunocytochemistry/ Immunofluorescence 1:100-1:500
  • Immunohistochemistry
  • Immunohistochemistry-Paraffin 1:50-1:200
  • Western Blot 1:1000-1:5000

Packaging, Storage & Formulations

Storage
Store at 4C short term. Aliquot and store at -20C long term. Avoid freeze-thaw cycles.
Buffer
TBS (pH7.4), 0.05% BSA, 40% Glycerol
Preservative
0.05% Sodium Azide
Concentration
1 mg/ml
Purity
Protein A purified

Alternate Names for HspA4 Antibody (SD0861)

  • APG2
  • APG-2
  • heat shock 70 kDa protein 4
  • heat shock 70kD protein 4
  • heat shock 70kDa protein 4
  • Heat shock 70-related protein APG-2
  • heat shock protein, 110 kDa
  • HS24/P52
  • hsp70
  • hsp70RY
  • MGC131852
  • RY

Limitations

This product is for research use only and is not approved for use in humans or in clinical diagnosis. Primary Antibodies are guaranteed for 1 year from date of receipt.

Customers Who Viewed This Item Also Viewed...

NB120-2928
Species: Hu, Mu, Pm, Rb, Rt, Sh
Applications: ICC/IF, IHC,  IHC-P, IP, WB
NBP1-77397
Species: Hu, Mu
Applications: Flow, IB, ICC/IF, IHC,  IHC-P, KD, Simple Western, WB
NBP2-32972
Species: Ch, Pm, Hu, Pm, Mu, Rt, Sh
Applications: Flow, ICC/IF, IHC,  IHC-P, WB
NB120-2788
Species: Bv, Fe, Fi, Ha, Hu, Mu, Pm, Rt
Applications: B/N, Flow, IB, ICC/IF, IHC, IHC-Fr,  IHC-P, IP, Simple Western, WB
NBP2-03433
Species: Ca, Hu, Mu, Rt
Applications: Flow, ICC/IF, IHC,  IHC-P, WB
M6000B
Species: Mu
Applications: ELISA
NBP1-97475
Species: Ma, Hu, Mu, Pm, Rb, Rt
Applications: ELISA, GS, IP, WB
NBP1-06274
Species: Ce, Ch, Dr, Hu, Mu, Rt, Sh, Ze
Applications: Flow, ICC/IF, IHC-FrFl, IHC,  IHC-P, Simple Western, WB
DYC1663-2
Species: Hu, Mu, Rt
Applications: ELISA
NBP2-02996
Species: Ca, Hu, Pm, Mu, Rt
Applications: Flow, ICC/IF, IHC,  IHC-P, WB
H00010049-M01
Species: Hu
Applications: ELISA, ICC/IF (-), IHC, WB
AF3398
Species: Hu, Mu, Rt
Applications: ICC, KO, Simple Western, WB
NB200-103
Species: Hu, Mu, Rt, Xp(-), Ye
Applications: CyTOF-ready, ELISA, Flow-IC, Flow, ICC/IF, IHC, IHC-Fr,  IHC-P, IP, WB
NBP1-97507
Species: Bv, Ca, Hu, Mu, Rt
Applications: Flow, ICC/IF, IHC,  IHC-P, Simple Western, WB
NB300-731
Species: Gp, Hu, Mu, Rb, Rt, Sh, Ye
Applications: B/N, ChIP, Flow, GS, ICC/IF, IHC,  IHC-P, IP, WB
NB100-56098
Species: Ca, Hu, Mu, Rt
Applications: IHC,  IHC-P, IP, WB
H00010963-M01
Species: Hu, Mu
Applications: ELISA, ICC/IF, IHC,  IHC-P, IP, S-ELISA, WB
NBP2-67817
Species: Hu, Mu, Rt
Applications: WB, Flow, ICC/IF, IHC

Publications for HspA4 Antibody (NBP2-67817) (0)

There are no publications for HspA4 Antibody (NBP2-67817).
By submitting your publication information earn gift cards and discounts for future purchases.

Reviews for HspA4 Antibody (NBP2-67817) (0)

There are no reviews for HspA4 Antibody (NBP2-67817). By submitting a review you will receive an Amazon e-Gift Card or Novus Product Discount.
  • Review with no image -- $10/€7/£6/$10 CAD/¥70 Yuan/¥1110 Yen
  • Review with an image -- $25/€18/£15/$25 CAD/¥150 Yuan/¥2500 Yen

Product General Protocols

Find general support by application which include: protocols, troubleshooting, illustrated assays, videos and webinars.

Video Protocols

WB Video Protocol
ICC/IF Video Protocol

FAQs for HspA4 Antibody (NBP2-67817) (0)

There are no specific FAQs related to this product. Read our general customer & technical service FAQs.

Secondary Antibodies

 

Isotype Controls

Additional HspA4 Products

Research Areas for HspA4 Antibody (NBP2-67817)

Find related products by research area.

Blogs on HspA4

There are no specific blogs for HspA4, but you can read our latest blog posts.

Contact Information

Product PDFs

Calculators

Concentration Calculator

The concentration calculator allows you to quickly calculate the volume, mass or concentration of your vial. Simply enter your mass, volume, or concentration values for your reagent and the calculator will determine the rest.

=
÷

Review this Product

Be the first to review our HspA4 Antibody (SD0861) and receive a gift card or discount.

Bioinformatics

Gene Symbol HSPA4