Hemoglobin A1 Antibody (SN70-09)

Images

 
Western Blot: Hemoglobin A1 Antibody (SN70-09) [NBP2-67716] - Western blot analysis of Hemoglobin A1 on different lysates. Proteins were transferred to a PVDF membrane and blocked with 5% BSA in PBS for 1 hour at room ...read more
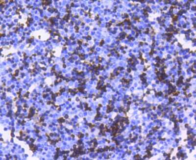
Immunohistochemistry-Paraffin: Hemoglobin A1 Antibody (SN70-09) [NBP2-67716] - Analysis of paraffin-embedded human spleen tissue using anti-Hemoglobin subunit alpha antibody. Counter stained with hematoxylin.
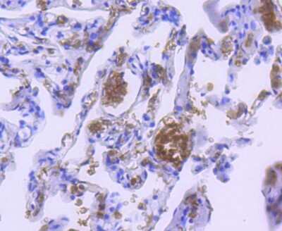
Immunohistochemistry-Paraffin: Hemoglobin A1 Antibody (SN70-09) [NBP2-67716] - Analysis of paraffin-embedded human lung tissue using anti-Hemoglobin subunit alpha antibody. Counter stained with hematoxylin.
Immunohistochemistry-Paraffin: Hemoglobin A1 Antibody (SN70-09) [NBP2-67716] - Analysis of paraffin-embedded mouse embryo tissue using anti-Hemoglobin subunit alpha antibody. Counter stained with hematoxylin.

Product Details

Summary
Product Discontinued
View other related Hemoglobin A1 Primary Antibodies

Order Details


    • Catalog Number
      NBP2-67716
    • Availability
      Product Discontinued

    Can't find what you are looking for? Use our Antibody Concierge Service & we will help you locate your antibody!

    Or feel free to contact us for alternative products.

Hemoglobin A1 Antibody (SN70-09) Summary

Additional Information
Recombinant Monoclonal Antibody.
Immunogen
Synthetic peptide within Human Hemoglobin A1 aa 71-120 / 142. (SwissProt: P69905 Human; SwissProt: P01942 Mouse; SwissProt: P01946 Rat)
Localization
Cytosol, membrane, extracellular region
Isotype
IgG
Clonality
Monoclonal
Host
Rabbit
Gene
HBA1
Purity
Protein A purified
Innovator's Reward
Test in a species/application not listed above to receive a full credit towards a future purchase.

Applications/Dilutions

Dilutions
  • Immunohistochemistry
  • Immunohistochemistry-Paraffin 1:50-1:100
  • Immunoprecipitation
  • Western Blot 1:500-1:1000
Publications
Read Publication using
NBP2-67716 in the following applications:

Packaging, Storage & Formulations

Storage
Store at 4C short term. Aliquot and store at -20C long term. Avoid freeze-thaw cycles.
Buffer
TBS (pH7.4), 0.05% BSA, 40% Glycerol
Preservative
0.05% Sodium Azide
Concentration
1 mg/ml
Purity
Protein A purified

Alternate Names for Hemoglobin A1 Antibody (SN70-09)

  • alpha one globin
  • alpha-1 globin
  • alpha-1-globin
  • alpha-globin
  • CD31
  • hemoglobin alpha 1 globin chain
  • Hemoglobin alpha chain
  • hemoglobin alpha-1 chain
  • hemoglobin subunit alpha
  • hemoglobin, alpha 1
  • MGC126895
  • MGC126897

Background

The human alpha globin gene cluster located on chromosome 16 spans about 30 kb and includes seven loci: 5'- zeta - pseudozeta - mu - pseudoalpha-1 - alpha-2 - alpha-1 - theta - 3'. The alpha-2 (HBA2) and alpha-1 (HBA1) coding sequences are identical. These genes differ slightly over the 5' untranslated regions and the introns, but they differ significantly over the 3' untranslated regions. Two alpha chains plus two beta chains constitute HbA, which in normal adult life comprises about 97% of the total hemoglobin; alpha chains combine with delta chains to constitute HbA-2, which with HbF (fetal hemoglobin) makes up the remaining 3% of adult hemoglobin. Alpha thalassemias result from deletions of each of the alpha genes as well as deletions of both HBA2 and HBA1; some nondeletion alpha thalassemias have also been reported.

Limitations

This product is for research use only and is not approved for use in humans or in clinical diagnosis. Primary Antibodies are guaranteed for 1 year from date of receipt.

Customers Who Viewed This Item Also Viewed...

DVE00
Species: Hu
Applications: ELISA
AF4117
Species: Rt
Applications: IHC, WB
AF3628
Species: Hu, Mu, Rt
Applications: CyTOF-ready, Flow, ICC, IHC, Simple Western, WB
7268-CT
Species: Hu
Applications: BA
NBP2-79843
Species: Hu
Applications: CyTOF-ready, ELISA, Flow, ICC/IF, IHC,  IHC-P, PA, WB
NB100-524
Species: Hu, Mu
Applications: Flow-IC, Flow, ICC/IF, IHC, IHC-Fr,  IHC-P, IP, WB
NB600-586
Species: Ca, Fe, Hu, Mu
Applications: Dual ISH-IHC, ICC/IF, IHC, IHC-Fr,  IHC-P
AF796
Species: Mu
Applications: AdBlk, IHC, WB
AF114
Species: Mu
Applications: CyTOF-ready, Flow, ICC, IHC, WB
AF1320
Species: Mu
Applications: CyTOF-ready, Flow, ICC, IHC, Simple Western, WB
NBP2-14081
Species: Hu
Applications: ICC/IF, IHC,  IHC-P
BBA16
Species: Hu
Applications: ELISA(Cap), ELISA(Det), ELISA(Sta), Flow, ICC, IHC, IP, WB
233-FB
Species: Hu
Applications: BA
AF644
Species: Mu
Applications: CyTOF-ready, Dual ISH-IHC, Flow, IHC, Neut, WB
NB300-223
Species: Bv, Ca, Ch, Eq, Hu, Mu, Po, Rt
Applications: ICC/IF, IHC, IHC-Fr,  IHC-P, WB
NB100-91761
Species: Hu, Mu, Rt
Applications: ELISA, ICC/IF, IHC,  IHC-P, WB
AF1002
Species: Mu
Applications: Dual ISH-IHC, IHC, Simple Western, WB
NBP2-13628
Species: Hu
Applications: ICC/IF, IHC,  IHC-P, WB
NBP2-67716
Species: Hu, Mu, Rt
Applications: WB, IHC, IP

Publications for Hemoglobin A1 Antibody (NBP2-67716)(1)

We have publications tested in 1 confirmed species: Mouse.

We have publications tested in 1 application: FLOW.


Filter By Application
FLOW
(1)
All Applications
Filter By Species
Mouse
(1)
All Species

Reviews for Hemoglobin A1 Antibody (NBP2-67716) (0)

There are no reviews for Hemoglobin A1 Antibody (NBP2-67716). By submitting a review you will receive an Amazon e-Gift Card or Novus Product Discount.
  • Review with no image -- $10/€7/£6/$10 CAD/¥70 Yuan/¥1110 Yen
  • Review with an image -- $25/€18/£15/$25 CAD/¥150 Yuan/¥2500 Yen

Product General Protocols

Find general support by application which include: protocols, troubleshooting, illustrated assays, videos and webinars.

Video Protocols

WB Video Protocol

FAQs for Hemoglobin A1 Antibody (NBP2-67716) (0)

There are no specific FAQs related to this product. Read our general customer & technical service FAQs.

Secondary Antibodies

 

Isotype Controls

Additional Hemoglobin A1 Products

Research Areas for Hemoglobin A1 Antibody (NBP2-67716)

Find related products by research area.

Blogs on Hemoglobin A1

There are no specific blogs for Hemoglobin A1, but you can read our latest blog posts.

Contact Information

Product PDFs

Calculators

Concentration Calculator

The concentration calculator allows you to quickly calculate the volume, mass or concentration of your vial. Simply enter your mass, volume, or concentration values for your reagent and the calculator will determine the rest.

=
÷

Review this Product

Be the first to review our Hemoglobin A1 Antibody (SN70-09) and receive a gift card or discount.

Bioinformatics

Gene Symbol HBA1