Glycerol 3 Phosphate Dehydrogenase Antibody

Images

 
Western Blot: Glycerol 3 Phosphate Dehydrogenase Antibody [NBP2-53091] - Sample(30 ug of whole cell lysate) A:Hep G2 12% SDS PAGE, antibody diluted at 1:1000.
Immunocytochemistry/ Immunofluorescence: Glycerol 3 Phosphate Dehydrogenase Antibody [NBP2-53091] - HeLa cells were fixed in 4% paraformaldehyde at RT for 15 min. Green: GPD1 protein stained by GPD1 antibody diluted at ...read more
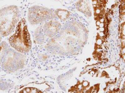
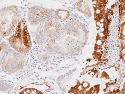
Immunohistochemistry-Paraffin: Glycerol 3 Phosphate Dehydrogenase Antibody [NBP2-53091] - Paraffin-embedded stomach, using antibody at 1:100 dilution.
Western Blot: Glycerol 3 Phosphate Dehydrogenase Antibody [NBP2-53091] - Sample (50 ug of whole cell lysate) A: Mouse brain 10% SDS PAGE; antibody diluted at 1:1000.

Order Details


    • Catalog Number
      NBP2-53091
    • Availability
      Product Discontinued

    Can't find what you are looking for? Use our Antibody Concierge Service & we will help you locate your antibody!

    Or feel free to contact us for alternative products.

Glycerol 3 Phosphate Dehydrogenase Antibody Summary

Immunogen
Recombinant protein encompassing a sequence within the center region of human GPD1. The exact sequence is proprietary.
Localization
Cytoplasm
Isotype
IgG
Clonality
Polyclonal
Host
Rabbit
Gene
GPD1
Purity
Immunogen affinity purified
Innovator's Reward
Test in a species/application not listed above to receive a full credit towards a future purchase.

Applications/Dilutions

Dilutions
  • Immunocytochemistry/ Immunofluorescence 1:10 - 1:500
  • Immunohistochemistry 1:10 - 1:500
  • Immunohistochemistry-Paraffin 1:10 - 1:500
  • Western Blot 1:100 - 1:2000

Packaging, Storage & Formulations

Storage
Aliquot and store at -20C or -80C. Avoid freeze-thaw cycles.
Buffer
0.1M Tris (pH 7.0), 0.1M Glycine and 10% Glycerol
Preservative
0.01% Thimerosal
Purity
Immunogen affinity purified

Alternate Names for Glycerol 3 Phosphate Dehydrogenase Antibody

  • EC 1.1.1
  • EC 1.1.1.8
  • FLJ26652
  • glycerol-3-phosphate dehydrogenase [NAD+], cytoplasmic
  • glycerol-3-phosphate dehydrogenase 1 (soluble)
  • glycerol-3-phosphate dehydrogenase, soluble
  • GPD-C
  • GPDH-C

Background

GPD1( AAH32234, 1 a.a. - 350 a.a.) full-length recombinant protein with GST.

Limitations

This product is for research use only and is not approved for use in humans or in clinical diagnosis. Primary Antibodies are guaranteed for 1 year from date of receipt.

Customers Who Viewed This Item Also Viewed...

MAB1417
Species: Bv, Hu, Mu
Applications: ICC, IHC
AF7197
Species: Hu, Mu
Applications: ICC, IHC, WB
NBP1-86121
Species: Hu
Applications: IHC,  IHC-P, WB
NB100-2421
Species: Hu
Applications: Flow, IHC,  IHC-P, PEP-ELISA, WB
NBP3-15385
Species: Hu, Mu, Rt
Applications: IHC,  IHC-P, WB
NBP3-15687
Species: Hu, Mu, Rt
Applications: IHC,  IHC-P, WB
NB300-221
Species: Av, Bv, Ca, Ch, ChHa, Dr, Eq, Fe, Ha, Hu, Mu, Ma-Op, Po, Pm, Rb, Rt, Sh, Ze
Applications: ChIP, ICC/IF, IHC, IHC-Fr, IP, KD, Simple Western, Single-Cell Western, WB
NBP1-47778
Species: Hu, Mu, Rt
Applications: ICC/IF, IHC,  IHC-P, WB
NBP3-05078
Species: Hu, Mu, Rt
Applications: ICC/IF, IHC,  IHC-P, WB
NBP1-32398
Species: Hu, Mu, Rt
Applications: ICC/IF, IHC,  IHC-P, IP, KD, WB
NBP1-89559
Species: Hu
Applications: IHC,  IHC-P, WB
NBP1-88057
Species: Hu, Rt
Applications: ICC/IF, IHC,  IHC-P, WB
AF1443
Species: Mu, Rt
Applications: ICC, IHC, Simple Western, WB
NBP2-26444
Species: Hu, Mu, Rt
Applications: IHC, IHC-Fr,  IHC-P, mIF, WB
NBP2-22106
Species: Hu, Mu, Rt
Applications: IHC,  IHC-P, IP, WB
NBP2-13304
Species: Hu
Applications: ICC/IF, IHC,  IHC-P, WB
⚠ WARNING: This product can expose you to chemicals including mercury, which is known to the State of California to cause reproductive toxicity with developmental effects.  For more information go to www.P65Warnings.ca.gov.

Publications for Glycerol 3 Phosphate Dehydrogenase Antibody (NBP2-53091) (0)

There are no publications for Glycerol 3 Phosphate Dehydrogenase Antibody (NBP2-53091).
By submitting your publication information earn gift cards and discounts for future purchases.

Reviews for Glycerol 3 Phosphate Dehydrogenase Antibody (NBP2-53091) (0)

There are no reviews for Glycerol 3 Phosphate Dehydrogenase Antibody (NBP2-53091). By submitting a review you will receive an Amazon e-Gift Card or Novus Product Discount.
  • Review with no image -- $10/€7/£6/$10 CAD/¥70 Yuan/¥1110 Yen
  • Review with an image -- $25/€18/£15/$25 CAD/¥150 Yuan/¥2500 Yen

Product General Protocols

Find general support by application which include: protocols, troubleshooting, illustrated assays, videos and webinars.

Video Protocols

WB Video Protocol
ICC/IF Video Protocol

FAQs for Glycerol 3 Phosphate Dehydrogenase Antibody (NBP2-53091) (0)

There are no specific FAQs related to this product. Read our general customer & technical service FAQs.

Secondary Antibodies

 

Isotype Controls

Additional Glycerol 3 Phosphate Dehydrogenase Products

Blogs on Glycerol 3 Phosphate Dehydrogenase

There are no specific blogs for Glycerol 3 Phosphate Dehydrogenase, but you can read our latest blog posts.

Contact Information

Product PDFs

Calculators

Concentration Calculator

The concentration calculator allows you to quickly calculate the volume, mass or concentration of your vial. Simply enter your mass, volume, or concentration values for your reagent and the calculator will determine the rest.

=
÷

Review this Product

Be the first to review our Glycerol 3 Phosphate Dehydrogenase Antibody and receive a gift card or discount.

Bioinformatics

Gene Symbol GPD1