GDF-15 Antibody (CL0328) - Azide and BSA Free

Images

 
Staining of A549 cells using the Anti-GDF-15 monoclonal antibody) .
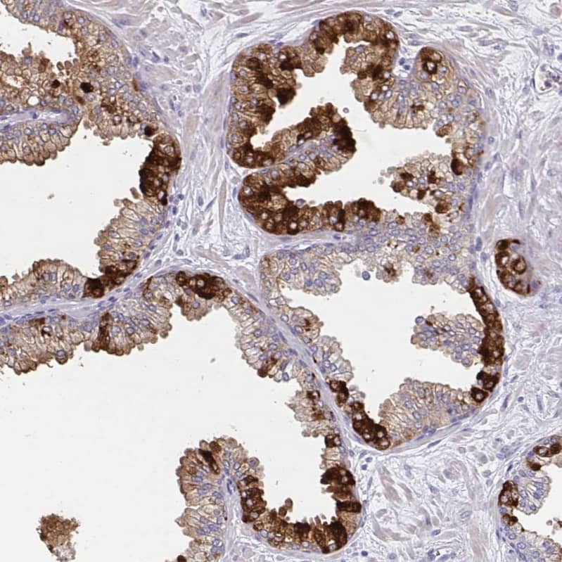
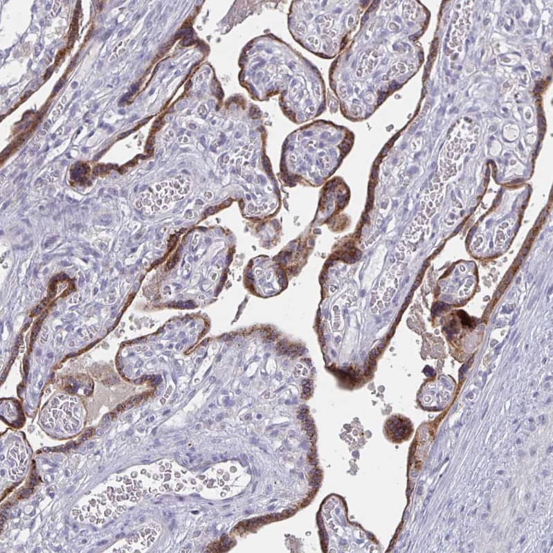
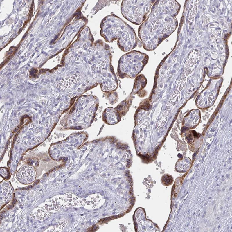
Orthogonal Strategies: Analysis in human placenta and skeletal muscle tissues using NBP3-43983 antibody. Corresponding GDF-15 RNA-seq data are presented for the same tissues.
Staining of human skeletal muscle shows no positivity in myocytes as expected.
Staining of human placenta shows moderate granular cytoplasmic positivity in trophoblastic cells.
Staining of human rectum shows strong cytoplasmic positivity in enteroendocrine cells.
Staining of human prostate shows strong granular cytoplasmic positivity in a subset of glandular cells.
Genetic Strategies: Analysis in RT-4 cells transfected with control siRNA, target specific siRNA probe #1 and #2, using Anti-GDF-15 antibody. Remaining relative intensity is presented. Loading control: Anti-PPIB.

Product Details

Summary
Reactivity HuSpecies Glossary
Applications WB, ICC/IF, IHC
Clone
CL0328
Clonality
Monoclonal
Host
Mouse
Conjugate
Unconjugated
Format
Azide and BSA Free
Concentration
LYOPH

Order Details

GDF-15 Antibody (CL0328) - Azide and BSA Free Summary

Description
Novus Biologicals Mouse GDF-15 Antibody (CL0328) - Azide and BSA Free (NBP2-52917) is a monoclonal antibody validated for use in IHC, WB and ICC/IF. All Novus Biologicals antibodies are covered by our 100% guarantee.
Immunogen
This antibody was generated using a recombinant protein sequence of Q99988, with the exact immunogen sequence remaining proprietary.
Isotype
IgG1
Clonality
Monoclonal
Host
Mouse
Gene
GDF15
Purity
Protein A purified
Innovator's Reward
Test in a species/application not listed above to receive a full credit towards a future purchase.

Applications/Dilutions

Dilutions
  • Immunocytochemistry/ Immunofluorescence 2-10 ug/ml
  • Immunohistochemistry-Paraffin 1:500 - 1:1000
  • Western Blot 1 ug/ml
Application Notes
For IHC-Paraffin, HIER pH 6 retrieval is recommended. Immunocytochemistry/ Immunofluorescence/IF Fixation/Permeabilization: PFA/Triton X-100.

Packaging, Storage & Formulations

Storage
Store at 4C short term. Aliquot and store at -20C long term. Avoid freeze-thaw cycles.
Buffer
Lyophilized from a 0.2 um filtered solution in PBS with Trehalose
Preservative
No Preservative
Concentration
LYOPH
Purity
Protein A purified
Reconstitution Instructions
Centrifuge the vial of lyophilized antibody at 12,000 x g for 20 seconds. Reconstitute by adding sterile, distilled water to achieve a final antibody concentration of 1mg/ml.

Alternate Names for GDF-15 Antibody (CL0328) - Azide and BSA Free

  • GDF15
  • GDF-15
  • growth differentiation factor 15
  • growth/differentiation factor 15
  • Macrophage inhibitory cytokine 1
  • MIC-1
  • MIC-1NSAID-activated gene 1 protein
  • MIC1Prostate differentiation factor
  • NAG-1
  • NAG-1NSAID-regulated gene 1 protein
  • NSAID (nonsteroidal inflammatory drug)-activated protein 1
  • PDF
  • PDFGDF-15
  • PLAB
  • PLABNRG-1
  • Placental bone morphogenetic protein
  • Placental TGF-beta
  • PTGF-beta
  • PTGFBPTGF-beta

Background

Growth differentiation factor 15 (GDF15) is a transforming growth factor beta superfamily member that acts to regulate inflammatory and apoptotic responses in injured or diseased tissues. GDF15 is most strongly expressed in the liver, placenta and kidney.

GDF15 antibodies are useful for studies on inflamation and immune system research.

Limitations

This product is for research use only and is not approved for use in humans or in clinical diagnosis. Primary Antibodies are guaranteed for 1 year from date of receipt.

Customers Who Viewed This Item Also Viewed...

NB200-103
Species: Hu, Mu, Rt, Xp(-), Ye
Applications: CyTOF-ready, ELISA, Flow-IC, Flow, ICC/IF, IHC, IHC-Fr,  IHC-P, IP, WB
NBP2-29463
Species: Pm, Hu, Pm, Mu
Applications: Flow, ICC/IF, IHC,  IHC-P, WB
AF2818
Species: Hu
Applications: ICC, WB
M6000B
Species: Mu
Applications: ELISA
NBP2-22203
Species: Hu, Pm, Mu, Rt
Applications: ELISA, Flow, ICC/IF, IHC,  IHC-P, WB
AF887
Species: Hu, Mu, Rt
Applications: CyTOF-ready, IHC, ICFlow, Simple Western, WB
AF1230
Species: Hu, Mu, Rt
Applications: IHC, KO, WB
AF231
Species: Hu
Applications: CyTOF-ready, Dual ISH-IHC, ELISA(Cap), ELISA(Det), ELISA(Sta), Flow, ICC, IHC, IP, Simple Western, WB
NBP2-46085
Species: Hu
Applications: IHC,  IHC-P, WB
H00027065-M01
Species: Hu, Rt
Applications: ELISA, ICC/IF, S-ELISA, WB
DY1707
Species: Hu
Applications: ELISA
MAB1131
Species: Hu
Applications: ICC, IHC, WB
NBP2-22106
Species: Hu, Mu, Rt
Applications: IHC,  IHC-P, IP, WB
DHP250
Species: Hu
Applications: ELISA
1129-ER
Species: Hu
Applications: BA
NB100-689
Species: Hu, Rt
Applications: IHC, IHC-Fr,  IHC-P, Simple Western, WB
396-HB
Species: Hu
Applications: BA
NBP1-85816
Species: Fe, Hu, Mu, Rt
Applications: ICC/IF, IHC, IHC-Fr,  IHC-P, KO, WB

Publications for GDF-15 Antibody (NBP3-43983) (0)

There are no publications for GDF-15 Antibody (NBP3-43983).
By submitting your publication information earn gift cards and discounts for future purchases.

Reviews for GDF-15 Antibody (NBP3-43983) (0)

There are no reviews for GDF-15 Antibody (NBP3-43983). By submitting a review you will receive an Amazon e-Gift Card or Novus Product Discount.
  • Review with no image -- $10/€7/£6/$10 CAD/¥70 Yuan/¥1110 Yen
  • Review with an image -- $25/€18/£15/$25 CAD/¥150 Yuan/¥2500 Yen

Product General Protocols

Find general support by application which include: protocols, troubleshooting, illustrated assays, videos and webinars.

Video Protocols

WB Video Protocol
ICC/IF Video Protocol

FAQs for GDF-15 Antibody (NBP3-43983) (0)

There are no specific FAQs related to this product. Read our general customer & technical service FAQs.

Secondary Antibodies

 

Isotype Controls

Additional GDF-15 Products

Research Areas for GDF-15 Antibody (NBP3-43983)

Find related products by research area.

Blogs on GDF-15.

Taking Biomarker Discovery From 2D to 3D: Increased Biological Activity of EVs Isolated From 3D Prostate Cancer Cultures
Jamshed Arslan, Pharm D, PhD Tissues within the human body are made of a three-dimensional (3D) arrangement of cells working together to perform vital functions. The commonly used 2D monolayer cultures have limited ...  Read full blog post.

Customers Who Bought This Also Bought

Contact Information

Product PDFs

Calculators

Concentration Calculator

The concentration calculator allows you to quickly calculate the volume, mass or concentration of your vial. Simply enter your mass, volume, or concentration values for your reagent and the calculator will determine the rest.

=
÷

Review this Product

Be the first to review our GDF-15 Antibody (CL0328) - Azide and BSA Free and receive a gift card or discount.

Bioinformatics

Gene Symbol GDF15