GATA-3 [p Ser308] Antibody (SC52-09)

Images

 
Western Blot: GATA-3 [p Ser308] Antibody (SC52-09) [NBP2-67496] - Western blot analysis of GATA-3 on different lysates. Proteins were transferred to a PVDF membrane and blocked with 5% BSA in PBS for 1 hour at room ...read more
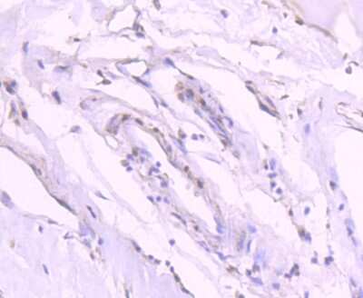
Immunohistochemistry-Paraffin: GATA-3 [p Ser308] Antibody (SC52-09) [NBP2-67496] - Analysis of paraffin-embedded human breast carcinoma tissue using anti-Phospho-GATA3(S308) antibody. Counter stained with hematoxylin.
Western Blot: GATA-3 [p Ser308] Antibody (SC52-09) [NBP2-67496] - Analysis of Phospho-GATA3(S308) on human skin lysates using anti-Phospho-GATA3(S308) antibody at 1/1,000 dilution.

Product Details

Summary
Product Discontinued
View other related GATA-3 Primary Antibodies

Order Details


    • Catalog Number
      NBP2-67496
    • Availability
      Product Discontinued

    Can't find what you are looking for? Use our Antibody Concierge Service & we will help you locate your antibody!

    Or feel free to contact us for alternative products.

GATA-3 [p Ser308] Antibody (SC52-09) Summary

Additional Information
Recombinant Monoclonal Antibody.
Immunogen
Synthetic phospho-peptide corresponding to residues surrounding Ser308 of Human GATA-3 aa 281-330 / 443. (SwissProt: P23771 Human)
Modification
p Ser308
Localization
Nucleus.
Isotype
IgG
Clonality
Monoclonal
Host
Rabbit
Gene
GATA3
Purity
Protein A purified
Innovator's Reward
Test in a species/application not listed above to receive a full credit towards a future purchase.

Applications/Dilutions

Dilutions
  • Immunohistochemistry
  • Immunohistochemistry-Paraffin 1:50-1:200
  • Immunoprecipitation
  • Western Blot 1:1000-1:2000

Packaging, Storage & Formulations

Storage
Store at 4C short term. Aliquot and store at -20C long term. Avoid freeze-thaw cycles.
Buffer
TBS (pH7.4), 0.05% BSA, 40% Glycerol
Preservative
0.05% Sodium Azide
Concentration
1 mg/ml
Purity
Protein A purified

Alternate Names for GATA-3 [p Ser308] Antibody (SC52-09)

  • 131320
  • GATA binding protein 3
  • GATA3
  • GATA-3
  • GATA-binding factor 3
  • GATA-binding protein 3
  • HDRMGC5199
  • MGC2346
  • MGC5445
  • trans-acting T-cell-specific transcription factor GATA-3

Background

The GATA3 gene encodes a protein which belongs to the GATA family of transcription factors. The protein contains twoGATA-type zinc fingers and is an important regulator of T-cell development and plays an important role in endothelialcell biology. Defects in th

Limitations

This product is for research use only and is not approved for use in humans or in clinical diagnosis. Primary Antibodies are guaranteed for 1 year from date of receipt.

Customers Who Viewed This Item Also Viewed...

6507-IL/CF
Species: Hu
Applications: BA
NBP1-43299
Species: Hu, Mu, Rt
Applications: ICC/IF, IHC,  IHC-P, IP, WB
AF2605
Species: Hu
Applications: ICC, IHC, Simple Western, WB
M5000
Species: Mu
Applications: ELISA
DY413
Species: Mu
Applications: ELISA
NBP1-19371
Species: Ca, Hu, Mu, Po, Rb, Rt
Applications: Dual ISH-IHC, Flow, ICC/IF, IHC, IHC-Fr,  IHC-P, Simple Western, WB
485-MI
Species: Mu
Applications: BA
DY417
Species: Mu
Applications: ELISA
AF2167
Species: Hu, Mu, Rt
Applications: CyTOF-ready, ICFlow, Simple Western, WB
NB100-39002
Species: Bv, Hu, Mu, Rt
Applications: Dual ISH-IHC, Flow, IB, ICC/IF, IHC,  IHC-P, IP, Single-Cell Western, WB
AF2046
Species: Hu, Mu
Applications: ICC, IHC, Simple Western, WB
NBP1-87991
Species: Hu
Applications: IHC,  IHC-P, WB
202-IL
Species: Hu
Applications: BA
DKK300
Species: Hu
Applications: ELISA
M6000B
Species: Mu
Applications: ELISA
NBP1-47492
Species: Pm, Hu
Applications: ChIP, ELISA, ICC/IF, IHC,  IHC-P, WB
NBP1-49045
Species: Mu, Rt
Applications: Cell Depl, CyTOF-ready, Flow, ICC/IF, IHC, IHC-Fr,  IHC-P, IP, InhibTFunc
NB600-922
Species: Ch, Mu
Applications: ELISA, IHC, Single-Cell Western, WB
NBP2-67496
Species: Hu
Applications: WB, IHC, IP

Publications for GATA-3 Antibody (NBP2-67496) (0)

There are no publications for GATA-3 Antibody (NBP2-67496).
By submitting your publication information earn gift cards and discounts for future purchases.

Reviews for GATA-3 Antibody (NBP2-67496) (0)

There are no reviews for GATA-3 Antibody (NBP2-67496). By submitting a review you will receive an Amazon e-Gift Card or Novus Product Discount.
  • Review with no image -- $10/€7/£6/$10 CAD/¥70 Yuan/¥1110 Yen
  • Review with an image -- $25/€18/£15/$25 CAD/¥150 Yuan/¥2500 Yen

Product General Protocols

Find general support by application which include: protocols, troubleshooting, illustrated assays, videos and webinars.

Video Protocols

WB Video Protocol

FAQs for GATA-3 Antibody (NBP2-67496) (0)

There are no specific FAQs related to this product. Read our general customer & technical service FAQs.

Secondary Antibodies

 

Isotype Controls

Additional GATA-3 Products

Research Areas for GATA-3 Antibody (NBP2-67496)

Find related products by research area.

Blogs on GATA-3.


  Read full blog post.

Signal Transducer and Activator of Transcription STAT6: More than a Player in Allergic Inflammation
By Jamshed Arslan, Pharm. D., PhD. What is STAT6?The cellular pathway comprising tyrosine kinase Janus Kinase (JAK) and the transcription factor STAT connect extracellular signals from various cytokines, hormones an...  Read full blog post.

Contact Information

Product PDFs

Calculators

Concentration Calculator

The concentration calculator allows you to quickly calculate the volume, mass or concentration of your vial. Simply enter your mass, volume, or concentration values for your reagent and the calculator will determine the rest.

=
÷

Review this Product

Be the first to review our GATA-3 [p Ser308] Antibody (SC52-09) and receive a gift card or discount.

Bioinformatics

Gene Symbol GATA3