Gastric Lipase Antibody - BSA Free

Images

 
Western Blot: Gastric Lipase Antibody [NBP1-91928] - Analysis in control (vector only transfected HEK293T lysate) and LIPF over-expression lysate (Co-expressed with a C-terminal myc-DDK tag (3.1 kDa) in mammalian ...read more
Orthogonal Strategies: Immunohistochemistry-Paraffin: Gastric Lipase Antibody [NBP1-91928] - Staining in human stomach and seminal vesicle tissues using anti-LIPF antibody. Corresponding LIPF RNA-seq data are ...read more
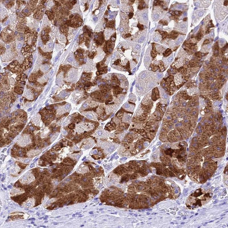
Immunohistochemistry-Paraffin: Gastric Lipase Antibody [NBP1-91928] - Staining of human stomach (lower) shows strong cytoplasmic positivity in glandular cells.
Immunohistochemistry-Paraffin: Gastric Lipase Antibody [NBP1-91928] - Staining of human seminal vesicle shows low expression as expected.
Immunohistochemistry-Paraffin: Gastric Lipase Antibody [NBP1-91928] - Staining of human stomach shows high expression.
Orthogonal Strategies: Analysis in human stomach and seminal vesicle tissues using Anti-LIPF antibody. Corresponding LIPF RNA-seq data are presented for the same tissues.
Staining of human seminal vesicle shows low expression as expected.
Staining of human stomach shows high expression.

Product Details

Summary
Reactivity HuSpecies Glossary
Applications WB, IHC
Clonality
Polyclonal
Host
Rabbit
Conjugate
Unconjugated
Format
BSA Free
Validated by:
       

Orthogonal Strategies

 

Order Details

View Available Formulations
Catalog# & Formulation Size Price

Gastric Lipase Antibody - BSA Free Summary

Description
Novus Biologicals Rabbit Gastric Lipase Antibody - BSA Free (NBP1-91928) is a polyclonal antibody validated for use in IHC and WB. All Novus Biologicals antibodies are covered by our 100% guarantee.
Immunogen
This antibody was developed against Recombinant Protein corresponding to amino acids: GGKDLLADPQDVGLLLPKLPNLIYHKEIPFYNHLDFIWAMDAPQEVYNDIVSMISEDK
Isotype
IgG
Clonality
Polyclonal
Host
Rabbit
Gene
LIPF
Purity
Immunogen affinity purified
Innovator's Reward
Test in a species/application not listed above to receive a full credit towards a future purchase.

Applications/Dilutions

Dilutions
  • Immunohistochemistry 1:1000 - 1:2500
  • Immunohistochemistry-Paraffin 1:1000 - 1:2500
  • Western Blot 0.04-0.4 ug/ml
Application Notes
For IHC-Paraffin, HIER pH 6 retrieval is recommended.
Control Peptide
Gastric Lipase Protein (NBP1-91928PEP)

Packaging, Storage & Formulations

Storage
Store at 4C short term. Aliquot and store at -20C long term. Avoid freeze-thaw cycles.
Buffer
PBS (pH 7.2) and 40% Glycerol
Preservative
0.02% Sodium Azide
Purity
Immunogen affinity purified

Alternate Names for Gastric Lipase Antibody - BSA Free

  • EC 3.1.1
  • EC 3.1.1.3
  • Gastric Lipase
  • gastric triacylglycerol lipase
  • GL
  • HGL
  • HLAL
  • lipase, gastric
  • LIPF
  • MGC138477
  • MGC142271

Background

Gastric Lipase encodes gastric lipase, an enzyme involved in the digestion of dietary triglycerides in the gastrointestinal tract, and responsible for 30% of fat digestion processes occurring in human. It is secreted by gastric chief cells in the fundic mucosa of the stomach, and it hydrolyzes the ester bonds of triglycerides under acidic pH conditions. The gene is a member of a conserved gene family of lipases that play distinct roles in neutral lipid metabolism.

Limitations

This product is for research use only and is not approved for use in humans or in clinical diagnosis. Primary Antibodies are guaranteed for 1 year from date of receipt.

Customers Who Viewed This Item Also Viewed...

H00002770-M01
Species: Hu
Applications: ELISA, IHC,  IHC-P, S-ELISA, WB
MAB1417
Species: Bv, Hu, Mu
Applications: ICC, IHC
NBP2-38962
Species: Hu
Applications: IHC,  IHC-P
NBP1-76544
Species: Hu, Mu, Rt
Applications: ELISA, ICC/IF, IHC,  IHC-P, Simple Western, WB
NBP1-88866
Species: Hu
Applications: IHC,  IHC-P
NBP3-17131
Species: Hu
Applications: IHC,  IHC-P
202-IL
Species: Hu
Applications: BA
6507-IL/CF
Species: Hu
Applications: BA
664-LI
Species: Hu
Applications: BA
MAB1455
Species: Hu
Applications: CyTOF-ready, Dual ISH-IHC, ICC, IHC, ICFlow, Simple Western, WB
NBP2-46376
Species: Hu
Applications: IHC,  IHC-P, WB
NBP2-20383
Species: Hu, Mu
Applications: ICC/IF, IHC,  IHC-P, WB
NBP1-87511
Species: Hu
Applications: ICC/IF, IHC,  IHC-P, WB
NBP1-88502
Species: Hu
Applications: IHC,  IHC-P
236-EG
Species: Hu
Applications: BA
M6000B
Species: Mu
Applications: ELISA
NB100-91662
Species: Hu, Mu, Rt
Applications: Flow, ICC/IF, IHC,  IHC-P, Simple Western, WB
NBP1-91928
Species: Hu
Applications: WB, IHC

Publications for Gastric Lipase Antibody (NBP1-91928) (0)

There are no publications for Gastric Lipase Antibody (NBP1-91928).
By submitting your publication information earn gift cards and discounts for future purchases.

Reviews for Gastric Lipase Antibody (NBP1-91928) (0)

There are no reviews for Gastric Lipase Antibody (NBP1-91928). By submitting a review you will receive an Amazon e-Gift Card or Novus Product Discount.
  • Review with no image -- $10/€7/£6/$10 CAD/¥70 Yuan/¥1110 Yen
  • Review with an image -- $25/€18/£15/$25 CAD/¥150 Yuan/¥2500 Yen

Product General Protocols

Find general support by application which include: protocols, troubleshooting, illustrated assays, videos and webinars.

Video Protocols

WB Video Protocol

FAQs for Gastric Lipase Antibody (NBP1-91928) (0)

There are no specific FAQs related to this product. Read our general customer & technical service FAQs.

Customers Who Bought This Also Bought

Contact Information

Product PDFs

Calculators

Concentration Calculator

The concentration calculator allows you to quickly calculate the volume, mass or concentration of your vial. Simply enter your mass, volume, or concentration values for your reagent and the calculator will determine the rest.

=
÷

Review this Product

Be the first to review our Gastric Lipase Antibody - BSA Free and receive a gift card or discount.

Bioinformatics

Gene Symbol LIPF