FOCAD Antibody - BSA Free

Images

 
Staining of rat brain shows moderate cytoplasmic positivity in ependymal cells and neurons.
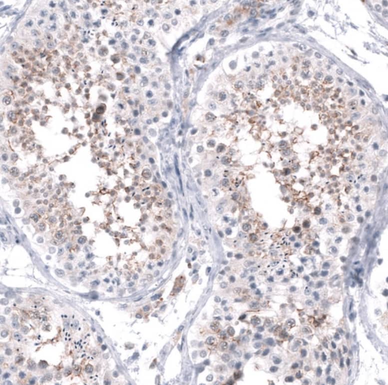
Staining of human testis shows moderate membranous positivity in cells in seminiferous ducts.
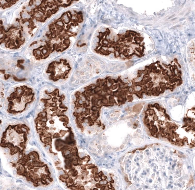
Staining of human kidney shows strong apical membrane positivity in cells in proximal tubules.
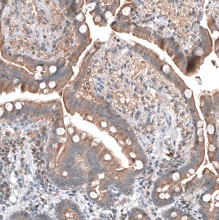
Staining of human small intestine shows moderate cytoplasmic positivity in glandular cells.
Staining of human skeletal muscle shows negative to very weak cytoplasmic positivity in myocytes.

Product Details

Summary
Reactivity Hu, RtSpecies Glossary
Applications IHC
Clonality
Polyclonal
Host
Rabbit
Conjugate
Unconjugated
Format
BSA Free

Order Details

View Available Formulations
Catalog# & Formulation Size Price

FOCAD Antibody - BSA Free Summary

Description
Novus Biologicals Rabbit FOCAD Antibody - BSA Free (NBP2-49163) is a polyclonal antibody validated for use in IHC. All Novus Biologicals antibodies are covered by our 100% guarantee.
Immunogen
This antibody was developed against a recombinant protein corresponding to amino acids: NWAALLSPLMRLNFGEEIQQLCLEIMVTQAQSSQNAAALLGLWVTPPLIHSLSLNTKRYLLISAPLWIKHISDEQILGFVENLMVAVFKAASPLGSPELCPSALHGLSQAMKLPSPAHHLWSLLSEA
Isotype
IgG
Clonality
Polyclonal
Host
Rabbit
Gene
FOCAD
Purity
Immunogen affinity purified
Innovator's Reward
Test in a species/application not listed above to receive a full credit towards a future purchase.

Applications/Dilutions

Dilutions
  • Immunohistochemistry 1:20 - 1:50
  • Immunohistochemistry-Paraffin 1:20 - 1:50
Application Notes
For IHC-Paraffin, HIER pH 6 retrieval is recommended.
Control Peptide
FOCAD Recombinant Protein Antigen (NBP2-49163PEP)

Reactivity Notes

Mouse (80%).

Packaging, Storage & Formulations

Storage
Store at 4C short term. Aliquot and store at -20C long term. Avoid freeze-thaw cycles.
Buffer
PBS (pH 7.2) and 40% Glycerol
Preservative
0.02% Sodium Azide
Purity
Immunogen affinity purified

Alternate Names for FOCAD Antibody - BSA Free

  • Focadhesin
  • KIAA1797

Limitations

This product is for research use only and is not approved for use in humans or in clinical diagnosis. Primary Antibodies are guaranteed for 1 year from date of receipt.

Customers Who Viewed This Item Also Viewed...

291-G1
Species: Hu
Applications: BA
MAB6896
Species: Hu, Mu, Rt
Applications: IHC, Simple Western, WB
NBP2-32020
Species: Hu
Applications: IHC,  IHC-P
NBP3-20147
Species: Hu
Applications: ChIP, ELISA, Flow, ICC/IF, IP, MS
H00001016-M01
Species: Hu
Applications: ELISA, IHC,  IHC-P, S-ELISA, WB
AF5129
Species: Hu
Applications: WB
NBP3-04904
Species: Hu, Mu, Rt
Applications: ELISA, IHC,  IHC-P, WB
NB100-598
Species: Hu
Applications: CyTOF-ready, Flow, ICC/IF, IP, WB
MAB1417
Species: Bv, Hu, Mu
Applications: ICC, IHC
NBP2-33470
Species: Hu
Applications: ICC/IF
H00060485-M02
Species: Hu, Mu, Ye
Applications: ELISA, ICC/IF, IHC,  IHC-P, IP, WB
NB110-53818
Species: Al, Bv, Dr, Fi, Gp, Hu, Mu, Po, Pm, Rt, Xp, Ze
Applications: EM, ELISA, Flow, IB, ICC/IF, IHC,  IHC-P, IP, KD, KO, PLA, RIA, Simple Western, WB
NBP2-85770
Species: Hu
Applications: IHC,  IHC-P, WB
NB100-2278
Species: Hu, Mu
Applications: ICC/IF, IHC,  IHC-P
NBP1-69123
Species: Mu, Rt
Applications: WB
NBP1-31754
Species: Hu, Pm, Mu
Applications: ICC/IF, IHC, IHC-Fr,  IHC-P, WB
NBP2-47579
Species: Hu
Applications: IB, ICC/IF, IHC,  IHC-P, WB
NBP2-52452
Species: Hu
Applications: CyTOF-ready, ELISA, Flow, IHC,  IHC-P, WB

Publications for FOCAD Antibody (NBP2-49163) (0)

There are no publications for FOCAD Antibody (NBP2-49163).
By submitting your publication information earn gift cards and discounts for future purchases.

Reviews for FOCAD Antibody (NBP2-49163) (0)

There are no reviews for FOCAD Antibody (NBP2-49163). By submitting a review you will receive an Amazon e-Gift Card or Novus Product Discount.
  • Review with no image -- $10/€7/£6/$10 CAD/¥70 Yuan/¥1110 Yen
  • Review with an image -- $25/€18/£15/$25 CAD/¥150 Yuan/¥2500 Yen

Product General Protocols

Find general support by application which include: protocols, troubleshooting, illustrated assays, videos and webinars.

FAQs for FOCAD Antibody (NBP2-49163) (0)

There are no specific FAQs related to this product. Read our general customer & technical service FAQs.

Customers Who Bought This Also Bought

Contact Information

Product PDFs

Calculators

Concentration Calculator

The concentration calculator allows you to quickly calculate the volume, mass or concentration of your vial. Simply enter your mass, volume, or concentration values for your reagent and the calculator will determine the rest.

=
÷

Review this Product

Be the first to review our FOCAD Antibody - BSA Free and receive a gift card or discount.

Bioinformatics

Gene Symbol FOCAD