Filamin A Antibody (SA30-08)

Images

 
Western Blot: Filamin A Antibody (SA30-08) [NBP2-67304] - Analysis of Filamin A on different cell lysates using anti-Filamin A antibody at 1/1,000 dilution. Positive control: Lane 1: MCF-7 Lane 2: Jurkat Lane 3: Hela ...read more
Immunocytochemistry/ Immunofluorescence: Filamin A Antibody (SA30-08) [NBP2-67304] - Staining Filamin A in Ags cells (green). The nuclear counter stain is DAPI (blue). Cells were fixed in paraformaldehyde, permeabilised ...read more
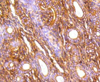
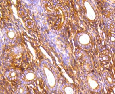
Immunohistochemistry-Paraffin: Filamin A Antibody (SA30-08) [NBP2-67304] - Analysis of paraffin-embedded mouse uterus tissue using anti-Filamin A antibody. Counter stained with hematoxylin.
Flow Cytometry: Filamin A Antibody (SA30-08) [NBP2-67304] - Analysis of Hela cells with Filamin A antibody at 1/50 dilution (blue) compared with an unlabelled control (cells without incubation with primary antibody; ...read more
Immunocytochemistry/ Immunofluorescence: Filamin A Antibody (SA30-08) [NBP2-67304] - Staining Filamin A in Hela cells (green). The nuclear counter stain is DAPI (blue). Cells were fixed in paraformaldehyde, ...read more
Immunocytochemistry/ Immunofluorescence: Filamin A Antibody (SA30-08) [NBP2-67304] - Staining Filamin A in HUVEC cells (green). Cells were fixed in paraformaldehyde, permeabilised with 0.25% Triton X100/PBS.
Immunohistochemistry-Paraffin: Filamin A Antibody (SA30-08) [NBP2-67304] - Analysis of paraffin-embedded human uterus tissue using anti-Filamin A antibody. Counter stained with hematoxylin.

Product Details

Summary
Product Discontinued
View other related Filamin A Primary Antibodies

Order Details


    • Catalog Number
      NBP2-67304
    • Availability
      Product Discontinued

    Can't find what you are looking for? Use our Antibody Concierge Service & we will help you locate your antibody!

    Or feel free to contact us for alternative products.

Filamin A Antibody (SA30-08) Summary

Additional Information
Recombinant Monoclonal Antibody.
Immunogen
Synthetic peptide within Human Filamin A aa 2,598-2,647 / 2,647. (SwissProt: P21333 Human; SwissProt: Q8BTM8 Mouse; Gene ID: 293860 Rat)
Localization
Cytoplasm.
Isotype
IgG
Clonality
Monoclonal
Host
Rabbit
Gene
FLNA
Purity
Protein A purified
Innovator's Reward
Test in a species/application not listed above to receive a full credit towards a future purchase.

Applications/Dilutions

Dilutions
  • Flow Cytometry 1:50-1:100
  • Immunocytochemistry/ Immunofluorescence 1:50-1:200
  • Immunohistochemistry
  • Immunohistochemistry-Paraffin 1:100-1:400
  • Western Blot 1:500-1:5000

Packaging, Storage & Formulations

Storage
Store at 4C short term. Aliquot and store at -20C long term. Avoid freeze-thaw cycles.
Buffer
TBS (pH7.4), 0.05% BSA, 40% Glycerol
Preservative
0.05% Sodium Azide
Concentration
1 mg/ml
Purity
Protein A purified

Alternate Names for Filamin A Antibody (SA30-08)

  • ABP-280
  • ABP-280DKFZp434P031
  • ABPX
  • actin binding protein 280
  • Actin-binding protein 280
  • Alpha-filamin
  • CVD1
  • EC 2.1.1.43
  • EC 6.3.4.4
  • Endothelial actin-binding protein
  • Filamin A
  • filamin A, alpha (actin binding protein 280)
  • filamin A, alpha
  • Filamin-1
  • filamin-A
  • FLN
  • FLN1
  • FLN1OPD
  • FLNA
  • FLN-A
  • FMD
  • MNS
  • NHBP
  • Non-muscle filamin
  • OPD1
  • OPD2
  • XLVD
  • XMVD

Limitations

This product is for research use only and is not approved for use in humans or in clinical diagnosis. Primary Antibodies are guaranteed for 1 year from date of receipt.

Customers Who Viewed This Item Also Viewed...

DY1707
Species: Hu
Applications: ELISA
MAB1417
Species: Bv, Hu, Mu
Applications: ICC, IHC
H00002316-M01
Species: Hu, Mu, Rt
Applications: ELISA, ICC/IF, IHC,  IHC-P, PLA, WB
NB300-543
Species: Am, Bv, Ca, Ma, Fi, Hu, Ma-Mn, Mu, Pm, Rb, Rt, Sh
Applications: B/N, ICC/IF, IHC, IHC-Fr,  IHC-P, IP, WB
AF5739
Species: Hu, Mu, Rt
Applications: WB
M6000B
Species: Mu
Applications: ELISA
NB500-525
Species: Hu
Applications: ELISA, IHC,  IHC-P, WB
AF1638
Species: Hu, Mu, Rt
Applications: ICC, Simple Western, WB
H00003845-M01
Species: Hu, Mu
Applications: ELISA, ICC/IF, IP, WB
NB300-500
Species: Am, Bv, Ca, Dr, Hu, Mu, Po, Rt, Sh
Applications: IHC, IHC-Fr,  IHC-P, WB
MAB1455
Species: Hu
Applications: CyTOF-ready, Dual ISH-IHC, ICC, IHC, ICFlow, Simple Western, WB
AF1513
Species: Mu
Applications: CyTOF-ready, Flow, IHC, IP, Simple Western, WB
NB600-586
Species: Ca, Fe, Hu, Mu
Applications: Dual ISH-IHC, ICC/IF, IHC, IHC-Fr,  IHC-P
DRP300
Species: Hu
Applications: ELISA
MAB1228
Species: Hu
Applications: CyTOF-ready, Flow, IHC, IP
QET00B
Species: Hu
Applications: ELISA
NBP2-34294
Species: Hu, Mu, Rt
Applications: Flow, IHC,  IHC-P
NBP3-17923
Species: Hu
Applications: IHC,  IHC-P
NBP2-84247
Species: Hu
Applications: WB

Publications for Filamin A Antibody (NBP2-67304) (0)

There are no publications for Filamin A Antibody (NBP2-67304).
By submitting your publication information earn gift cards and discounts for future purchases.

Reviews for Filamin A Antibody (NBP2-67304) (0)

There are no reviews for Filamin A Antibody (NBP2-67304). By submitting a review you will receive an Amazon e-Gift Card or Novus Product Discount.
  • Review with no image -- $10/€7/£6/$10 CAD/¥70 Yuan/¥1110 Yen
  • Review with an image -- $25/€18/£15/$25 CAD/¥150 Yuan/¥2500 Yen

Product General Protocols

Find general support by application which include: protocols, troubleshooting, illustrated assays, videos and webinars.

Video Protocols

WB Video Protocol
ICC/IF Video Protocol

FAQs for Filamin A Antibody (NBP2-67304) (0)

There are no specific FAQs related to this product. Read our general customer & technical service FAQs.

Secondary Antibodies

 

Isotype Controls

Additional Filamin A Products

Research Areas for Filamin A Antibody (NBP2-67304)

Find related products by research area.

Blogs on Filamin A

There are no specific blogs for Filamin A, but you can read our latest blog posts.

Contact Information

Product PDFs

Calculators

Concentration Calculator

The concentration calculator allows you to quickly calculate the volume, mass or concentration of your vial. Simply enter your mass, volume, or concentration values for your reagent and the calculator will determine the rest.

=
÷

Review this Product

Be the first to review our Filamin A Antibody (SA30-08) and receive a gift card or discount.

Bioinformatics

Gene Symbol FLNA