Fibulin 1 Antibody (CL0337) - Azide and BSA Free

Images

 
Orthogonal Strategies: Analysis in human cervix, uterine and liver tissues using NBP3-43893 antibody. Corresponding Fibulin 1 RNA-seq data are presented for the same tissues.
Lane 1: Marker [kDa]Lane 2: Human plasma
Staining of human breast cancer shows moderate positivity in the extracellular matrix of tumor stroma.
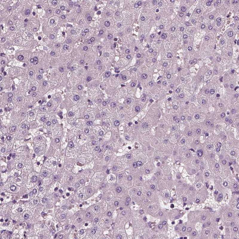
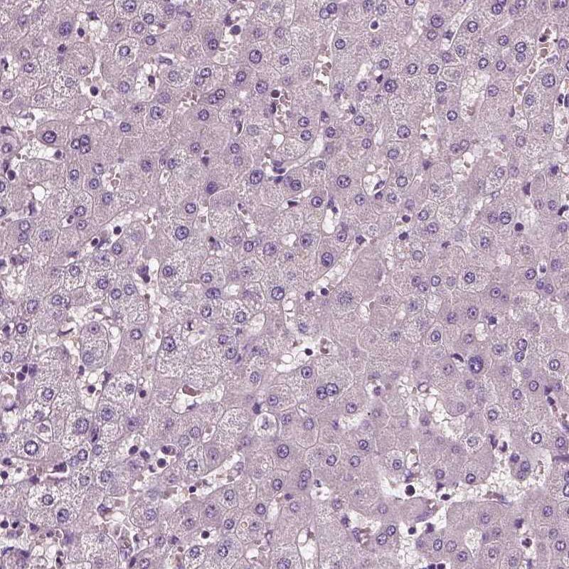
Staining of human liver shows no positivity as expected.
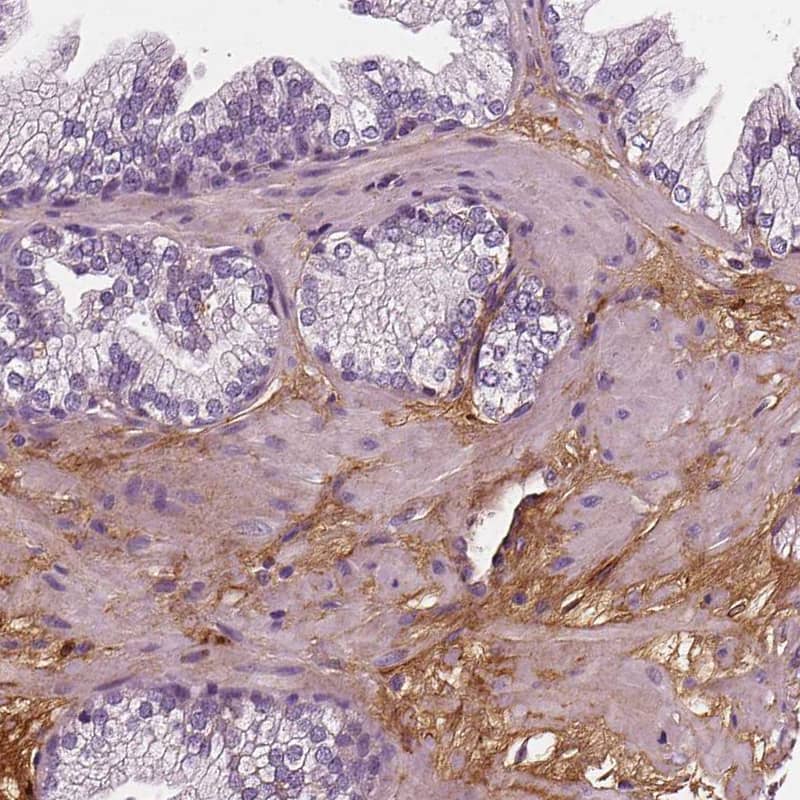
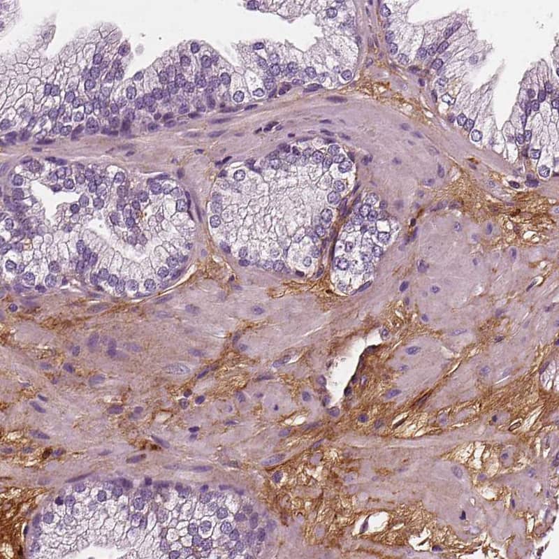
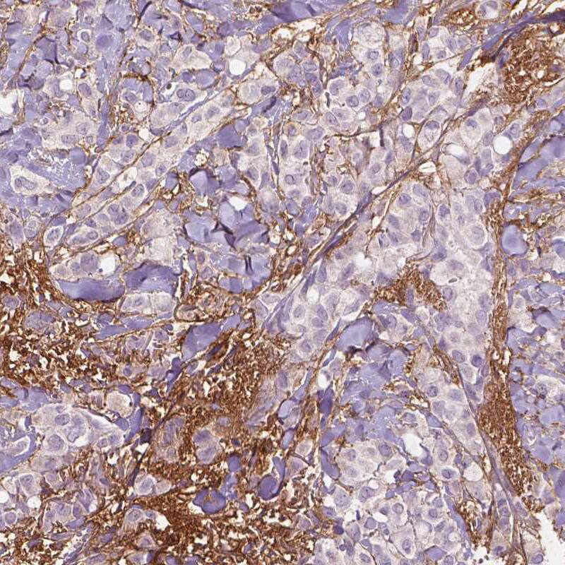
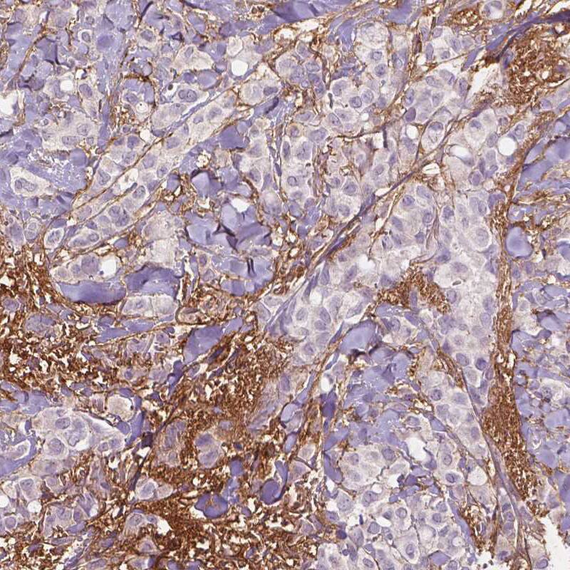
Staining of human prostate shows moderate positivity in the extracellular matrix.
Staining of MCF7 cells using the Anti-Fibulin 1 monoclonal antibody) .
Staining of RT-4 cells using the Anti-Fibulin 1 monoclonal antibody) .
Genetic Strategies: Analysis in RT-4 cells transfected with control siRNA, target specific siRNA probe #1, using Anti-Fibulin 1 antibody. Remaining relative intensity is presented. Loading control: Anti-GAPDH.
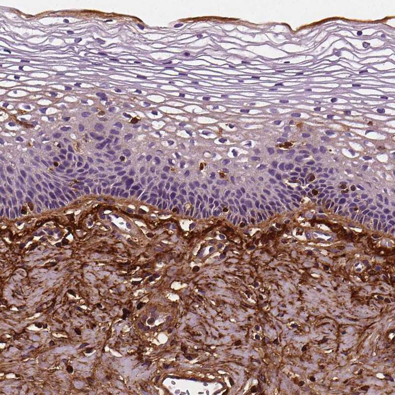
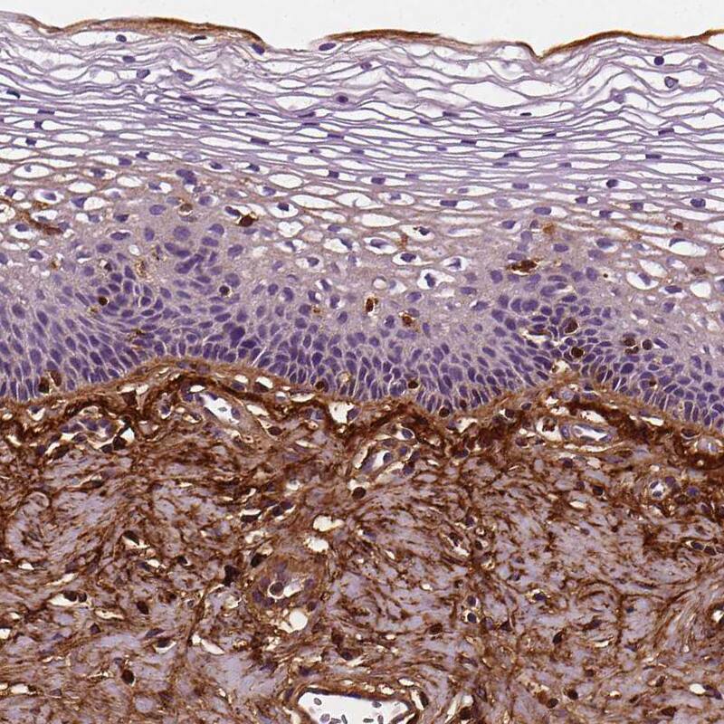
Staining of human uterine cervix shows strong positivity in the extracellular matrix.

Product Details

Summary
Reactivity Hu, Mu, RtSpecies Glossary
Applications WB, ICC/IF, IHC
Clone
CL0337
Clonality
Monoclonal
Host
Mouse
Conjugate
Unconjugated
Format
Azide and BSA Free
Concentration
LYOPH

Order Details

Fibulin 1 Antibody (CL0337) - Azide and BSA Free Summary

Description
Novus Biologicals Mouse Fibulin 1 Antibody (CL0337) - Azide and BSA Free (NBP2-52918) is a monoclonal antibody validated for use in IHC, WB and ICC/IF. All Novus Biologicals antibodies are covered by our 100% guarantee.
Immunogen
This antibody was generated using a recombinant protein sequence of P23142, with the exact immunogen sequence remaining proprietary.
Predicted Species
Mouse (92%), Rat (93%). Backed by our 100% Guarantee.
Isotype
IgG1
Clonality
Monoclonal
Host
Mouse
Gene
FBLN1
Purity
Protein A purified
Innovator's Reward
Test in a species/application not listed above to receive a full credit towards a future purchase.

Applications/Dilutions

Dilutions
  • Immunocytochemistry/ Immunofluorescence 2-10 ug/ml
  • Immunohistochemistry-Paraffin 1:1000 - 1:2500
  • Western Blot 1 ug/ml
Application Notes
For IHC-Paraffin, HIER pH 6 retrieval is recommended. ICC/IF, Fixation Permeabilization: Use PFA/Triton X-100.

Packaging, Storage & Formulations

Storage
Store at 4C short term. Aliquot and store at -20C long term. Avoid freeze-thaw cycles.
Buffer
Lyophilized from a 0.2 um filtered solution in PBS with Trehalose
Preservative
No Preservative
Concentration
LYOPH
Purity
Protein A purified
Reconstitution Instructions
Centrifuge the vial of lyophilized antibody at 12,000 x g for 20 seconds. Reconstitute by adding sterile, distilled water to achieve a final antibody concentration of 1mg/ml.

Alternate Names for Fibulin 1 Antibody (CL0337) - Azide and BSA Free

  • FBLN
  • FBLN1
  • FIBL1
  • FIBL-1
  • Fibulin 1
  • fibulin-1

Limitations

This product is for research use only and is not approved for use in humans or in clinical diagnosis. Primary Antibodies are guaranteed for 1 year from date of receipt.

Customers Who Viewed This Item Also Viewed...

NBP1-33479
Species: Hu, Mu, Rt
Applications: IHC,  IHC-P, WB
NBP1-91258
Species: Bv, Ca, Eq, Fe, Hu, Mu, Po, Rt
Applications: ICC/IF, IHC, IHC-Fr,  IHC-P, Simple Western, WB
NBP1-85432
Species: Hu, Mu
Applications: IHC,  IHC-P, mIF
AF6235
Species: Hu
Applications: WB
AF1060
Species: Mu
Applications: ELISA(Cap), ELISA(Det), IHC, Simple Western, WB
NBP1-84722
Species: Hu
Applications: ICC/IF, IHC,  IHC-P
236-EG
Species: Hu
Applications: BA
NB110-68136
Species: Fe, Hu, Mu, Rt
Applications: CyTOF-ready, ELISA, Flow-IC, Flow, ICC/IF, IHC, IHC-Fr,  IHC-P, WB
AF942
Species: Mu
Applications: CyTOF-ready, ICC, IHC, ICFlow, WB
NB100-2076
Species: Bv, Fe, Hu, Rb
Applications: ICC/IF, IHC, IHC-Fr,  IHC-P, WB
NB100-74350
Species: Bv, Ca, Hu, Mu, Po, Rt
Applications: Flow, ICC/IF, IHC, IHC-Fr,  IHC-P, WB
NBP3-46595
Species: Hu, Mu
Applications: ELISA, IHC, WB
AF3385
Species: Hu
Applications: IHC, WB
NB300-560
Species: Av, Bv, Ma, Hu, Mu, Pm, Rt
Applications: IF, IHC, IHC-Fr,  IHC-P, WB
MAB2327
Species: Hu
Applications: IP, WB
2308-VN
Species: Hu
Applications: BA
AF5800
Species: Mu, Rt
Applications: IHC, WB
DTSP10
Species: Hu
Applications: ELISA
NBP3-43893
Species: Hu, Mu, Rt
Applications: WB, ICC/IF, IHC

Publications for Fibulin 1 Antibody (NBP3-43893) (0)

There are no publications for Fibulin 1 Antibody (NBP3-43893).
By submitting your publication information earn gift cards and discounts for future purchases.

Reviews for Fibulin 1 Antibody (NBP3-43893) (0)

There are no reviews for Fibulin 1 Antibody (NBP3-43893). By submitting a review you will receive an Amazon e-Gift Card or Novus Product Discount.
  • Review with no image -- $10/€7/£6/$10 CAD/¥70 Yuan/¥1110 Yen
  • Review with an image -- $25/€18/£15/$25 CAD/¥150 Yuan/¥2500 Yen

Product General Protocols

Find general support by application which include: protocols, troubleshooting, illustrated assays, videos and webinars.

Video Protocols

WB Video Protocol
ICC/IF Video Protocol

FAQs for Fibulin 1 Antibody (NBP3-43893) (0)

There are no specific FAQs related to this product. Read our general customer & technical service FAQs.

Secondary Antibodies

 

Isotype Controls

Additional Fibulin 1 Products

Research Areas for Fibulin 1 Antibody (NBP3-43893)

Find related products by research area.

Blogs on Fibulin 1

There are no specific blogs for Fibulin 1, but you can read our latest blog posts.

Customers Who Bought This Also Bought

Contact Information

Product PDFs

Calculators

Concentration Calculator

The concentration calculator allows you to quickly calculate the volume, mass or concentration of your vial. Simply enter your mass, volume, or concentration values for your reagent and the calculator will determine the rest.

=
÷

Review this Product

Be the first to review our Fibulin 1 Antibody (CL0337) - Azide and BSA Free and receive a gift card or discount.

Bioinformatics

Gene Symbol FBLN1