Fibrillin 1 Antibody (CL0225) - Azide and BSA Free

Images

 
Lane 1: Marker [kDa]Lane 2: Human tonsil tissue lysate
Orthogonal Strategies: Analysis in human placenta and liver tissues using NBP3-43905 antibody. Corresponding Fibrillin 1 RNA-seq data are presented for the same tissues.
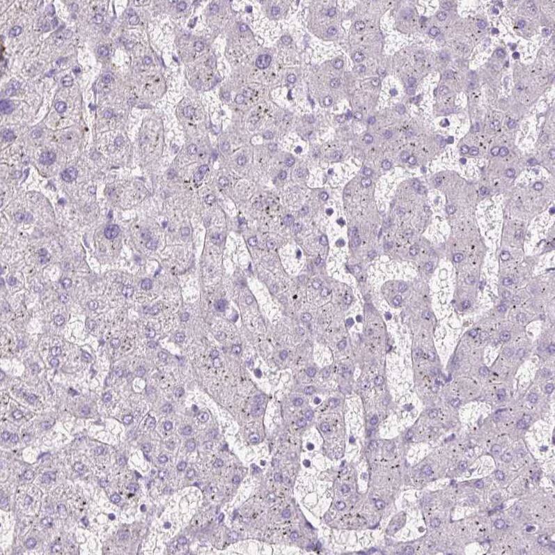
Staining of human liver shows no positivity in hepatocytes as expected.
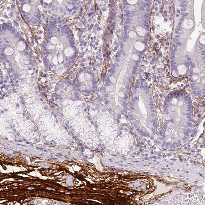
Staining of human duodenum shows moderate to strong positivity in extracellular matrix.
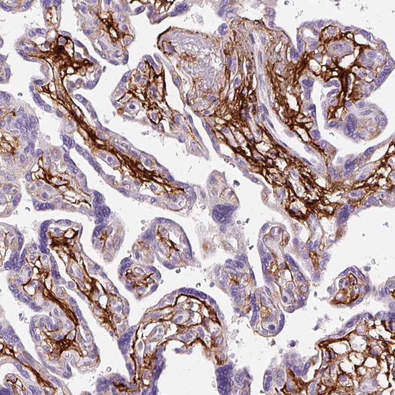
Staining of human placenta shows strong positivity in extracellular matrix.
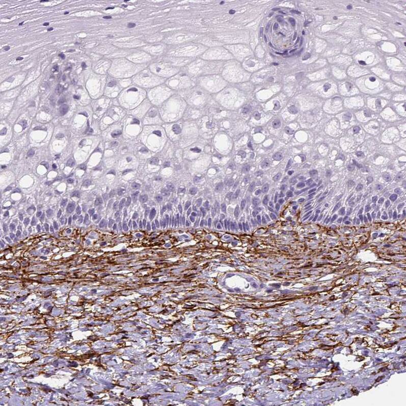
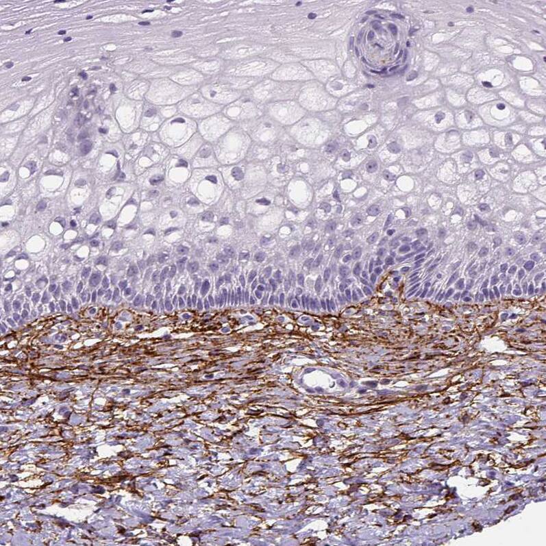
Staining of human uterine cervix shows strong positivity in extracellular matrix.

Product Details

Summary
Reactivity HuSpecies Glossary
Applications WB, IHC
Clone
CL0225
Clonality
Monoclonal
Host
Mouse
Conjugate
Unconjugated
Format
Azide and BSA Free
Concentration
LYOPH
Validated by:
       

Orthogonal Strategies

 

Order Details

Fibrillin 1 Antibody (CL0225) - Azide and BSA Free Summary

Description
Novus Biologicals Mouse Fibrillin 1 Antibody (CL0225) - Azide and BSA Free (NBP2-52885) is a monoclonal antibody validated for use in IHC and WB. All Novus Biologicals antibodies are covered by our 100% guarantee.
Immunogen
This antibody was generated using a recombinant protein sequence of P35555, with the exact immunogen sequence remaining proprietary.
Isotype
IgG2b
Clonality
Monoclonal
Host
Mouse
Gene
FBN1
Purity
Protein A purified
Innovator's Reward
Test in a species/application not listed above to receive a full credit towards a future purchase.

Applications/Dilutions

Dilutions
  • Immunohistochemistry-Paraffin 1:200 - 1:500
  • Western Blot 1 ug/ml
Application Notes
For IHC-Paraffin, HIER pH 6 retrieval is recommended.

Packaging, Storage & Formulations

Storage
Store at 4C short term. Aliquot and store at -20C long term. Avoid freeze-thaw cycles.
Buffer
Lyophilized from a 0.2 um filtered solution in PBS with Trehalose
Preservative
No Preservative
Concentration
LYOPH
Purity
Protein A purified
Reconstitution Instructions
Centrifuge the vial of lyophilized antibody at 12,000 x g for 20 seconds. Reconstitute by adding sterile, distilled water to achieve a final antibody concentration of 1mg/ml.

Alternate Names for Fibrillin 1 Antibody (CL0225) - Azide and BSA Free

  • ACMICD
  • Asprosin
  • FBN
  • FBN1
  • fibrillin 1 (Marfan syndrome)
  • Fibrillin 1
  • fibrillin 15
  • fibrillin-1
  • GPHYSD2
  • MASS
  • MFS1
  • OCTD
  • SGS
  • SSKS
  • WMS
  • WMS2

Limitations

This product is for research use only and is not approved for use in humans or in clinical diagnosis. Primary Antibodies are guaranteed for 1 year from date of receipt.

Customers Who Viewed This Item Also Viewed...

NB100-2076
Species: Bv, Fe, Hu, Rb
Applications: ICC/IF, IHC, IHC-Fr,  IHC-P, WB
NBP1-88169
Species: Hu
Applications: IHC, IHC-Fr,  IHC-P, WB
236-EG
Species: Hu
Applications: BA
AF-241-NA
Species: Hu
Applications: CyTOF-ready, ELISA(Cap), ELISA(Det), ELISA(Sta), Flow, IHC, Neut, WB
AF3025
Species: Hu
Applications: ELISA, ICC, WB
NBP1-91258
Species: Bv, Ca, Eq, Fe, Hu, Mu, Po, Rt
Applications: ICC/IF, IHC, IHC-Fr,  IHC-P, Simple Western, WB
MAB388
Species: Hu
Applications: AP, WB
AF4977
Species: Mu
Applications: WB
AF4928
Species: Hu
Applications: CyTOF-ready, Flow, WB
7754-BH/CF
Species: Hu
Applications: BA
MMP200
Species: Ca, Hu, Mu, Po, Rt
Applications: ELISA
NBP1-87959
Species: Hu, Mu, Rt
Applications: ICC/IF, IHC,  IHC-P, KD, WB
NBP1-88115
Species: Hu
Applications: ICC/IF, IHC,  IHC-P
AF1060
Species: Mu
Applications: ELISA(Cap), ELISA(Det), IHC, Simple Western, WB
NB100-2527
Species: Hu, Mu, Po, Rt
Applications: ICC/IF, IHC,  IHC-P, KD, Simple Western, WB
NBP3-43905
Species: Hu
Applications: WB, IHC

Publications for Fibrillin 1 Antibody (NBP3-43905) (0)

There are no publications for Fibrillin 1 Antibody (NBP3-43905).
By submitting your publication information earn gift cards and discounts for future purchases.

Reviews for Fibrillin 1 Antibody (NBP3-43905) (0)

There are no reviews for Fibrillin 1 Antibody (NBP3-43905). By submitting a review you will receive an Amazon e-Gift Card or Novus Product Discount.
  • Review with no image -- $10/€7/£6/$10 CAD/¥70 Yuan/¥1110 Yen
  • Review with an image -- $25/€18/£15/$25 CAD/¥150 Yuan/¥2500 Yen

Product General Protocols

Find general support by application which include: protocols, troubleshooting, illustrated assays, videos and webinars.

Video Protocols

WB Video Protocol

FAQs for Fibrillin 1 Antibody (NBP3-43905). (Showing 1 - 1 of 1 FAQ).

  1. Hi - I have been looking at the fibrillin1 antibodies on your website. You indicate that some may be suitable for canine tissue on your website. could you let me know which of the 10 antibodies is the most suitable for canine.
    • We have unfortuantely not tested any of our products in canine samples. If you would like to try one of our product with canine samples, you would qualify for our Innovator's Reward Program. In exchange for a review of our product in an untested application or species, we would issue you a credit voucher for the purchase price. If you would like us to check the homology of a certain product against the canine sequence, just contact our technical support department at technical@novusbio.com.

Secondary Antibodies

 

Isotype Controls

Additional Fibrillin 1 Products

Research Areas for Fibrillin 1 Antibody (NBP3-43905)

Find related products by research area.

Blogs on Fibrillin 1

There are no specific blogs for Fibrillin 1, but you can read our latest blog posts.

Customers Who Bought This Also Bought

Contact Information

Product PDFs

Calculators

Concentration Calculator

The concentration calculator allows you to quickly calculate the volume, mass or concentration of your vial. Simply enter your mass, volume, or concentration values for your reagent and the calculator will determine the rest.

=
÷

Review this Product

Be the first to review our Fibrillin 1 Antibody (CL0225) - Azide and BSA Free and receive a gift card or discount.

Bioinformatics

Gene Symbol FBN1