Fc gamma RIIA/CD32a Antibody (JM10-70)

Images

 
Western Blot: Fc gamma RIIA/CD32a Antibody (JM10-70) [NBP2-66834] - Analysis of CD32 on human lung cells lysates using anti-CD32 antibody at 1/500 dilution.
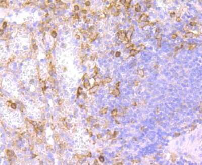
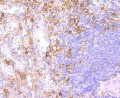
Immunohistochemistry-Paraffin: Fc gamma RIIA/CD32a Antibody (JM10-70) [NBP2-66834] - Analysis of paraffin-embedded human tonsil tissue using anti-CD32 antibody. Counter stained with hematoxylin.
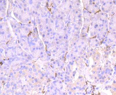
Immunohistochemistry-Paraffin: Fc gamma RIIA/CD32a Antibody (JM10-70) [NBP2-66834] - Analysis of paraffin-embedded human pancreas tissue using anti-CD32 antibody. Counter stained with hematoxylin.
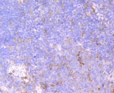
Immunohistochemistry-Paraffin: Fc gamma RIIA/CD32a Antibody (JM10-70) [NBP2-66834] - Analysis of paraffin-embedded human spleen tissue using anti-CD32 antibody. Counter stained with hematoxylin.

Product Details

Summary
Product Discontinued
View other related Fc gamma RIIA/CD32a Primary Antibodies

Order Details


    • Catalog Number
      NBP2-66834
    • Availability
      Product Discontinued

    Can't find what you are looking for? Use our Antibody Concierge Service & we will help you locate your antibody!

    Or feel free to contact us for alternative products.

Fc gamma RIIA/CD32a Antibody (JM10-70) Summary

Additional Information
Recombinant Monoclonal Antibody.
Immunogen
Recombinant protein within Human Fc gamma RIIA/CD32a aa 23-274 / 310. (SwissProt: P12318 Human)
Localization
Cell membrane.
Isotype
IgG
Clonality
Monoclonal
Host
Rabbit
Gene
FCGR2A
Purity
Protein A purified
Innovator's Reward
Test in a species/application not listed above to receive a full credit towards a future purchase.

Applications/Dilutions

Dilutions
  • Immunohistochemistry
  • Immunohistochemistry-Paraffin 1:50-1:400
  • Western Blot 1:1000-1:5000

Packaging, Storage & Formulations

Storage
Store at 4C short term. Aliquot and store at -20C long term. Avoid freeze-thaw cycles.
Buffer
TBS (pH7.4), 0.05% BSA, 40% Glycerol
Preservative
0.05% Sodium Azide
Concentration
1 mg/ml
Purity
Protein A purified

Alternate Names for Fc gamma RIIA/CD32a Antibody (JM10-70)

  • CD32 antigen
  • CD32a
  • CD32MGC23887
  • CDw32fc-gamma-RIIa
  • Fc fragment of IgG, low affinity IIa, receptor (CD32)
  • Fc fragment of IgG, low affinity IIa, receptor for (CD32)
  • Fc gamma RIIA
  • FCG2
  • Fc-gamma RII-a
  • Fc-gamma-RIIa
  • FcGR
  • FCGR2
  • FCGR2A
  • FCGR2A1
  • FcgRIIA
  • FCRIIA
  • fcRII-a
  • IGFR2MGC30032
  • IgG Fc receptor II-a
  • Immunoglobulin G Fc receptor II
  • low affinity immunoglobulin gamma Fc region receptor II-a

Background

The FCGR2A gene encodes a low affinity immunoglobulin gamma Fc region receptor II-a protein that in isoform 1 is 317 amino acids long at 35 kDA and at isoform 2 is 316 amino acids long at nearly 35 kDA. These proteins are found on the surface of many immune system response cells that act as a low affinity receptor through encouraging responses against pathogens and soluble antigens. Additionally, it functions to initiate phagocytosis of opsonized antigens. FCGR2A participates in Fc-GammaR pathway, osteoclast differentiation, signaling events controlled by PTP1B, and NFAT in immune response. It is known to interact with genes SYK, FYN, HCK, LGALS3, and PIK3R1. FCGR2A is linked to lupus, thrombocytopenia, b-cell lymphomas, otitis media, adult-onset still's disease, guillain-barre syndrome, asymptomatic dengue, severe acute respiratory syndrome.

Limitations

This product is for research use only and is not approved for use in humans or in clinical diagnosis. Primary Antibodies are guaranteed for 1 year from date of receipt.

Customers Who Viewed This Item Also Viewed...

4325-FC
Species: Hu
Applications: Bind
1597-FC/CF
Species: Hu
Applications: Bind
7268-CT
Species: Hu
Applications: BA
1257-FC
Species: Hu
Applications: Bind
NBP2-79843
Species: Hu
Applications: CyTOF-ready, ELISA, Flow, ICC/IF, IHC,  IHC-P, PA, WB
NB100-524
Species: Hu, Mu
Applications: Flow-IC, Flow, ICC/IF, IHC, IHC-Fr,  IHC-P, IP, WB
NB110-89474
Species: Bv, Ce, ChHa, Hu, Pm, Mu, Rt, RM
Applications: Dual ISH-IHC, Flow-CS, Flow, ICC/IF, IHC, IHC-Fr,  IHC-P, ISH, Simple Western, Single-Cell Western, WB
6507-IL/CF
Species: Hu
Applications: BA
AF1730
Species: Hu
Applications: AdBlk, CyTOF-ready, Flow, ICC
NBP2-93743
Species: Hu, Mu, Rt
Applications: ICC/IF, WB
DC140
Species: Hu
Applications: ELISA
DY1707
Species: Hu
Applications: ELISA
AF796
Species: Mu
Applications: AdBlk, IHC, WB
AF629
Species: Hu
Applications: CyTOF-ready, Flow, InhibCellGro, WB
NBP2-29460
Species: Pm, Pm-Cm, Hu, Pm, RM
Applications: Flow, ICC/IF, IHC,  IHC-P, ISH
M6000B
Species: Mu
Applications: ELISA
DY417
Species: Mu
Applications: ELISA
NBP2-66834
Species: Hu
Applications: WB, IHC

Publications for Fc gamma RIIA/CD32a Antibody (NBP2-66834) (0)

There are no publications for Fc gamma RIIA/CD32a Antibody (NBP2-66834).
By submitting your publication information earn gift cards and discounts for future purchases.

Reviews for Fc gamma RIIA/CD32a Antibody (NBP2-66834) (0)

There are no reviews for Fc gamma RIIA/CD32a Antibody (NBP2-66834). By submitting a review you will receive an Amazon e-Gift Card or Novus Product Discount.
  • Review with no image -- $10/€7/£6/$10 CAD/¥70 Yuan/¥1110 Yen
  • Review with an image -- $25/€18/£15/$25 CAD/¥150 Yuan/¥2500 Yen

Product General Protocols

Find general support by application which include: protocols, troubleshooting, illustrated assays, videos and webinars.

Video Protocols

WB Video Protocol

FAQs for Fc gamma RIIA/CD32a Antibody (NBP2-66834). (Showing 1 - 1 of 1 FAQ).

  1. Does any of your FCGR2A antibodies (19C10, 6D11, 13G9) cross react to FCGR2B?
    • For these antibodies, we have used the full-length protein FCGR2A (NP_067674) as the immunogen and we have not mapped the epitope that is detected with each Ab yet. I did an alignment of these two proteins and they are highly conserved thus it seems likely that there will be cross-reactivity.

Secondary Antibodies

 

Isotype Controls

Additional Fc gamma RIIA/CD32a Products

Research Areas for Fc gamma RIIA/CD32a Antibody (NBP2-66834)

Find related products by research area.

Blogs on Fc gamma RIIA/CD32a

There are no specific blogs for Fc gamma RIIA/CD32a, but you can read our latest blog posts.

Contact Information

Product PDFs

Calculators

Concentration Calculator

The concentration calculator allows you to quickly calculate the volume, mass or concentration of your vial. Simply enter your mass, volume, or concentration values for your reagent and the calculator will determine the rest.

=
÷

Review this Product

Be the first to review our Fc gamma RIIA/CD32a Antibody (JM10-70) and receive a gift card or discount.

Bioinformatics

Gene Symbol FCGR2A