Fatty Acid Synthase/FASN Antibody (JJ0939)

Images

 
Western Blot: Fatty Acid Synthase/FASN Antibody (JJ0939) [NBP2-66833] - Analysis of Fatty Acid Synthase on different lysates. Proteins were transferred to a PVDF membrane and blocked with 5% BSA in PBS for 1 hour at ...read more
Immunocytochemistry/ Immunofluorescence: Fatty Acid Synthase/FASN Antibody (JJ0939) [NBP2-66833] - Analysis of SK-Br-3 cells labeling Fatty Acid Synthase/FASN with Rabbit anti-Fatty Acid Synthase antibody (permeabilized ...read more
Immunohistochemistry-Paraffin: Fatty Acid Synthase/FASN Antibody (JJ0939) [NBP2-66833] - Analysis of paraffin-embedded mouse colon tissue using anti-Fatty Acid Synthase antibody. Counter stained with hematoxylin.
Flow Cytometry: Fatty Acid Synthase/FASN Antibody (JJ0939) [NBP2-66833] - Analysis of A549 cells with Fatty Acid Synthase antibody at 1/50 dilution (red) compared with an unlabelled control (cells without incubation ...read more
Immunocytochemistry/ Immunofluorescence: Fatty Acid Synthase/FASN Antibody (JJ0939) [NBP2-66833] - Staining Fatty Acid Synthase in A549 cells (green). The nuclear counter stain is DAPI (blue). Cells were fixed in ...read more
Immunocytochemistry/ Immunofluorescence: Fatty Acid Synthase/FASN Antibody (JJ0939) [NBP2-66833] - Staining Fatty Acid Synthase in MCF-7 cells (green). The nuclear counter stain is DAPI (blue). Cells were fixed in ...read more
Immunocytochemistry/ Immunofluorescence: Fatty Acid Synthase/FASN Antibody (JJ0939) [NBP2-66833] - Staining Fatty Acid Synthase in SW480 cells (green). The nuclear counter stain is DAPI (blue). Cells were fixed in ...read more
Immunocytochemistry/ Immunofluorescence: Fatty Acid Synthase/FASN Antibody (JJ0939) [NBP2-66833] - Staining Fatty Acid Synthase in RH-35 cells (green). The nuclear counter stain is DAPI (blue). Cells were fixed in ...read more
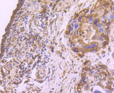
Immunohistochemistry-Paraffin: Fatty Acid Synthase/FASN Antibody (JJ0939) [NBP2-66833] - Analysis of paraffin-embedded human breast carcinoma tissue using anti-Fatty Acid Synthase antibody. Counter stained with ...read more
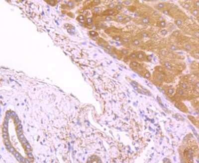
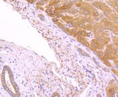
Immunohistochemistry-Paraffin: Fatty Acid Synthase/FASN Antibody (JJ0939) [NBP2-66833] - Analysis of paraffin-embedded human liver tissue using anti-Fatty Acid Synthase antibody. Counter stained with hematoxylin.

Product Details

Summary
Product Discontinued
View other related Fatty Acid Synthase/FASN Primary Antibodies

Order Details


    • Catalog Number
      NBP2-66833
    • Availability
      Product Discontinued

    Can't find what you are looking for? Use our Antibody Concierge Service & we will help you locate your antibody!

    Or feel free to contact us for alternative products.

Fatty Acid Synthase/FASN Antibody (JJ0939) Summary

Additional Information
Recombinant Monoclonal Antibody.
Immunogen
Synthetic peptide within C-terminal human Fatty Acid Synthase/FASN. (SwissProt: P49327 Human; SwissProt: P19096 Mouse; SwissProt: P12785 Rat)
Localization
Cytoplasm, Melanosome.
Isotype
IgG
Clonality
Monoclonal
Host
Rabbit
Gene
FASN
Purity
Protein A purified
Innovator's Reward
Test in a species/application not listed above to receive a full credit towards a future purchase.

Applications/Dilutions

Dilutions
  • Flow Cytometry 1:50-1:100
  • Immunocytochemistry/ Immunofluorescence 1:100-1:500
  • Immunohistochemistry
  • Immunohistochemistry-Frozen
  • Immunohistochemistry-Paraffin 1:50-1:200
  • Immunoprecipitation
  • Western Blot 1:1000

Packaging, Storage & Formulations

Storage
Store at 4C short term. Aliquot and store at -20C long term. Avoid freeze-thaw cycles.
Buffer
TBS (pH7.4), 0.05% BSA, 40% Glycerol
Preservative
0.05% Sodium Azide
Concentration
1 mg/ml
Purity
Protein A purified

Alternate Names for Fatty Acid Synthase/FASN Antibody (JJ0939)

  • EC 2.3.1
  • EC 2.3.1.85
  • EC 6.3.3.1
  • FASN
  • FASshort chain dehydrogenase/reductase family 27X, member 1
  • Fatty Acid Synthase
  • MGC14367
  • MGC15706
  • OA-519
  • SDR27X1

Background

Fatty Acid Synthase (FAS) is a very large enzymatic system involved in de novo lipogenesis (triglyceride production). Specifically, FAS catalyzes the synthesis of palmitate from acetyl-CoA and malonyl-CoA, in the presence of NADPH, into long-chain saturated fatty acids. It is also one of the accepted markers for insulin resistance and SREBP, LXR activation.

In some cancer cell lines, FAS has been found to be fused with ER-alpha. Therefore, FAS antibodies are useful tools for studies on fatty acid synthesis and research on certian cancers.

Limitations

This product is for research use only and is not approved for use in humans or in clinical diagnosis. Primary Antibodies are guaranteed for 1 year from date of receipt.

Customers Who Viewed This Item Also Viewed...

NB600-582
Species: Ca, Ch, SyHa, Ha, Hu, Pm, Mu, Rt
Applications: IHC-Fr, KO, Simple Western, WB
MAB1417
Species: Bv, Hu, Mu
Applications: ICC, IHC
MAB6898
Species: Hu, Mu
Applications: WB
DFL00B
Species: Hu
Applications: ELISA
AF7197
Species: Hu, Mu
Applications: ICC, IHC, WB
NBP2-22106
Species: Hu, Mu, Rt
Applications: IHC,  IHC-P, IP, WB
NB100-56098
Species: Ca, Hu, Mu, Rt
Applications: IHC,  IHC-P, IP, WB
NB200-103
Species: Hu, Mu, Rt, Xp(-), Ye
Applications: CyTOF-ready, ELISA, Flow-IC, Flow, ICC/IF, IHC, IHC-Fr,  IHC-P, IP, WB
DLP00
Species: Hu
Applications: ELISA
AF887
Species: Hu, Mu, Rt
Applications: CyTOF-ready, IHC, ICFlow, Simple Western, WB
AF7550
Species: Hu
Applications: IP, KO, WB
1129-ER
Species: Hu
Applications: BA
NB100-56116
Species: Ma, Hu, Mu, Rt
Applications: Flow, ICC/IF, IHC, IHC-Fr,  IHC-P, IP, Simple Western, WB
NB300-537
Species: Bv, Hu, Mu, Rb, Rt
Applications: ChIP, Flow, GS, ICC/IF, IHC,  IHC-P, IP, KD, Simple Western, WB
NBP2-29463
Species: Pm, Hu, Pm, Mu
Applications: Flow, ICC/IF, IHC,  IHC-P, WB
AF820
Species: Hu, Mu
Applications: ICC, IHC, KO, Simple Western, WB
NBP2-34294
Species: Hu, Mu, Rt
Applications: Flow, IHC,  IHC-P
NBP2-66833
Species: Hu, Mu, Rt
Applications: WB, Flow, ICC/IF, IHC, IP

Publications for Fatty Acid Synthase/FASN Antibody (NBP2-66833) (0)

There are no publications for Fatty Acid Synthase/FASN Antibody (NBP2-66833).
By submitting your publication information earn gift cards and discounts for future purchases.

Reviews for Fatty Acid Synthase/FASN Antibody (NBP2-66833) (0)

There are no reviews for Fatty Acid Synthase/FASN Antibody (NBP2-66833). By submitting a review you will receive an Amazon e-Gift Card or Novus Product Discount.
  • Review with no image -- $10/€7/£6/$10 CAD/¥70 Yuan/¥1110 Yen
  • Review with an image -- $25/€18/£15/$25 CAD/¥150 Yuan/¥2500 Yen

Product General Protocols

Video Protocols

WB Video Protocol
ICC/IF Video Protocol

FAQs for Fatty Acid Synthase/FASN Antibody (NBP2-66833) (0)

There are no specific FAQs related to this product. Read our general customer & technical service FAQs.

Secondary Antibodies

 

Isotype Controls

Additional Fatty Acid Synthase/FASN Products

Research Areas for Fatty Acid Synthase/FASN Antibody (NBP2-66833)

Find related products by research area.

Blogs on Fatty Acid Synthase/FASN

There are no specific blogs for Fatty Acid Synthase/FASN, but you can read our latest blog posts.

Contact Information

Product PDFs

Calculators

Concentration Calculator

The concentration calculator allows you to quickly calculate the volume, mass or concentration of your vial. Simply enter your mass, volume, or concentration values for your reagent and the calculator will determine the rest.

=
÷

Review this Product

Be the first to review our Fatty Acid Synthase/FASN Antibody (JJ0939) and receive a gift card or discount.

Bioinformatics

Gene Symbol FASN