FABP2/I-FABP Antibody (FABP2/7669) - Azide and BSA Free

Images

 
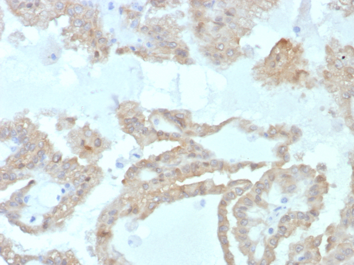
Formalin-fixed, paraffin-embedded human renal cell carcinoma stained with FABP2/I-FABP antibody (FABP2/7669). HIER: Tris/EDTA, pH9.0, 45min. Secondary: HRP-polymer, 30min. DAB, 5min.

Product Details

Summary
Reactivity HuSpecies Glossary
Applications IHC
Clone
FABP2/7669
Clonality
Monoclonal
Host
Mouse
Conjugate
Unconjugated
Format
Azide and BSA Free
Concentration
1 mg/ml

Order Details

FABP2/I-FABP Antibody (FABP2/7669) - Azide and BSA Free Summary

Description
Positive Controls: Keratinocytes, highly expressed in psoriatic skin.

Antibody with azide - store at 2 to 8C. Antibody without azide - store at -20 to -80C. Non-hazardous. No MSDS required.
Immunogen
Recombinant full length human FABP2/I-FABP protein
Localization
Cytoplasm.
Isotype
IgG
Clonality
Monoclonal
Host
Mouse
Gene
FABP2
Purity
Protein A or G purified
Innovator's Reward
Test in a species/application not listed above to receive a full credit towards a future purchase.

Applications/Dilutions

Dilutions
  • Immunohistochemistry-Paraffin 1-2 ug/ml
Application Notes
Immunohistochemistry (Formalin-fixed): 1-2ug/ml for 30 minutes. at RT. Staining of formalin-fixed tissues requires heating tissue sections in 10mM Tris with 1mM EDTA, pH 9.0, for 45 min at 95C followed by cooling at RT for 20 minutes.

Optimal dilution for a specific application should be determined.

Packaging, Storage & Formulations

Storage
Store at -20 to -70C. Avoid freeze-thaw cycles.
Buffer
10mM PBS
Preservative
No Preservative
Concentration
1 mg/ml
Purity
Protein A or G purified

Alternate Names for FABP2/I-FABP Antibody (FABP2/7669) - Azide and BSA Free

  • FABP2
  • FABPI
  • fatty acid binding protein 2, intestinal
  • Fatty acid-binding protein 2
  • fatty acid-binding protein, intestinal
  • IFABP
  • I-FABP
  • I-FABPMGC133132
  • Intestinal FABP
  • Intestinal-type fatty acid-binding protein

Background

The intracellular fatty acid-binding proteins (FABPs) belong to a multigene family with nearly twenty identified members. FABPs are divided into at least three distinct types, namely the hepatic-, intestinal- and cardiac-type. They form 14-15 kDa proteins and are thought to participate in the uptake, intracellular metabolism and/or transport of long-chain fatty acids. They may also be responsible in the modulation of cell growth and proliferation. Intestinal fatty acid-binding protein 2 gene contains four exons and is an abundant cytosolic protein in small intestine epithelial cells. This gene has a polymorphism at codon 54 that identified an alanine-encoding allele and a threonine-encoding allele. Thr-54 protein is associated with increased fat oxidation and insulin resistance.

Limitations

This product is for research use only and is not approved for use in humans or in clinical diagnosis. Primary Antibodies are guaranteed for 1 year from date of receipt.

Customers Who Viewed This Item Also Viewed...

AF3166
Species: Hu
Applications: IHC, Simple Western, WB
NBP1-87695
Species: Hu, Mu, Rt
Applications: ICC/IF, IHC,  IHC-P, WB
MAB1417
Species: Bv, Hu, Mu
Applications: ICC, IHC
AF1476
Species: Hu, Mu, Rt
Applications: IHC, KO, Simple Western, WB
MAB1678
Species: Hu, Mu, Rt
Applications: IHC, Simple Western, WB
M6000B
Species: Mu
Applications: ELISA
AF3880
Species: Hu
Applications: ICC, WB
DY1707
Species: Hu
Applications: ELISA
DLP00
Species: Hu
Applications: ELISA
NB100-2564
Species: Hu
Applications: WB
NBP2-01743
Species: Hu
Applications: Flow, ICC/IF, IHC,  IHC-P, WB
NBP2-22106
Species: Hu, Mu, Rt
Applications: IHC,  IHC-P, IP, WB
NBP2-92734
Species: Hu, Mu, Rt
Applications: ELISA, ICC/IF, IHC,  IHC-P, WB
NBP2-34294
Species: Hu, Mu, Rt
Applications: Flow, IHC,  IHC-P
NBP1-62489
Species: Dr, Hu, Mu
Applications: WB
AF1443
Species: Mu, Rt
Applications: ICC, IHC, Simple Western, WB
AF7197
Species: Hu, Mu
Applications: ICC, IHC, WB
NB300-537
Species: Bv, Hu, Mu, Rb, Rt
Applications: ChIP, Flow, GS, ICC/IF, IHC,  IHC-P, IP, KD, Simple Western, WB

Publications for FABP2/I-FABP Antibody (NBP3-21004) (0)

There are no publications for FABP2/I-FABP Antibody (NBP3-21004).
By submitting your publication information earn gift cards and discounts for future purchases.

Reviews for FABP2/I-FABP Antibody (NBP3-21004) (0)

There are no reviews for FABP2/I-FABP Antibody (NBP3-21004). By submitting a review you will receive an Amazon e-Gift Card or Novus Product Discount.
  • Review with no image -- $10/€7/£6/$10 CAD/¥70 Yuan/¥1110 Yen
  • Review with an image -- $25/€18/£15/$25 CAD/¥150 Yuan/¥2500 Yen

Product General Protocols

Find general support by application which include: protocols, troubleshooting, illustrated assays, videos and webinars.

FAQs for FABP2/I-FABP Antibody (NBP3-21004) (0)

There are no specific FAQs related to this product. Read our general customer & technical service FAQs.

Secondary Antibodies

 

Isotype Controls

Additional FABP2/I-FABP Products

Research Areas for FABP2/I-FABP Antibody (NBP3-21004)

Find related products by research area.

Blogs on FABP2/I-FABP

There are no specific blogs for FABP2/I-FABP, but you can read our latest blog posts.

Customers Who Bought This Also Bought

Contact Information

Product PDFs

Calculators

Concentration Calculator

The concentration calculator allows you to quickly calculate the volume, mass or concentration of your vial. Simply enter your mass, volume, or concentration values for your reagent and the calculator will determine the rest.

=
÷

Review this Product

Be the first to review our FABP2/I-FABP Antibody (FABP2/7669) - Azide and BSA Free and receive a gift card or discount.

Bioinformatics

Gene Symbol FABP2