ERAS Antibody (D10-B9)

Images

 
Immunocytochemistry/ Immunofluorescence: ERAS Antibody (D10-B9) [NBP2-66822] - ICC staining ERAS in NCCIT cells (green). Formalin fixed cells were permeabilized with 0.1% Triton X-100 in TBS for 10 minutes at room ...read more
Immunohistochemistry-Paraffin: ERAS Antibody (D10-B9) [NBP2-66822] - Analysis of paraffin-embedded human liver carcinoma tissue using anti- ERAS Mouse mAb.
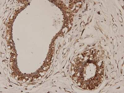
Immunohistochemistry-Paraffin: ERAS Antibody (D10-B9) [NBP2-66822] - Analysis of paraffin-embedded human breast carcinoma tissue using anti- ERAS Mouse mAb.

Product Details

Summary
Product Discontinued
View other related ERAS Primary Antibodies

Order Details


    • Catalog Number
      NBP2-66822
    • Availability
      Product Discontinued

    Can't find what you are looking for? Use our Antibody Concierge Service & we will help you locate your antibody!

    Or feel free to contact us for alternative products.

ERAS Antibody (D10-B9) Summary

Additional Information
Recombinant Monoclonal Antibody
Immunogen
Recombinant protein within Human ERAS aa 1-233 / 233. (SwissProt: Q7Z444 Human)
Localization
Cell membrane, Membrane.
Isotype
IgG1
Clonality
Monoclonal
Host
Mouse
Gene
ERAS
Purity
Protein A purified
Innovator's Reward
Test in a species/application not listed above to receive a full credit towards a future purchase.

Applications/Dilutions

Dilutions
  • Immunocytochemistry/ Immunofluorescence 1:200
  • Immunohistochemistry
  • Immunohistochemistry-Paraffin 1:200-1:500

Packaging, Storage & Formulations

Storage
Store at 4C short term. Aliquot and store at -20C long term. Avoid freeze-thaw cycles.
Buffer
PBS (pH7.4), 0.2% BSA, 40% Glycerol
Preservative
0.05% Sodium Azide
Concentration
2 mg/ml
Purity
Protein A purified

Alternate Names for ERAS Antibody (D10-B9)

  • Embryonic stem cell-expressed Ras
  • E-Ras
  • ES cell expressed Ras
  • HRAS2MGC126693
  • HRASPGTPase ERas
  • MGC126691
  • small GTPase protein E-Ras
  • v-Ha-ras Harvey rat sarcoma viral oncogene homolog 2
  • v-Ha-ras Harvey rat sarcoma viral oncogene homolog pseudogene

Background

ERAS belongs to the small GTPase superfamily. Ras family. Ras proteins bind GDP/GTP and possess intrinsic GTPase activity. The ERas gene is expressed in embryonic stem (ES) cells and promotes their in vitro proliferation and tumorigenicity. ERas-null ES cells maintain pluripotency but show significantly reduced growth and tumorigenicity, which are rescued by expression of ERas complementary DNA or by activated phosphatidylinositol-3-OH kinase.

Limitations

This product is for research use only and is not approved for use in humans or in clinical diagnosis. Primary Antibodies are guaranteed for 1 year from date of receipt.

Customers Who Viewed This Item Also Viewed...

AF1759
Species: Hu, Mu
Applications: ChIP, ICC, IP, Simple Western, WB
AF2018
Species: Hu, Mu, Rt
Applications: ChIP, ICC, IHC, Simple Western, WB
AF1997
Species: Hu
Applications: ChIP, ICC, IHC, Simple Western, WB
NBP1-00154
Species: Hu, Mu, Rt
Applications: Flow, ICC/IF, IHC,  IHC-P, PEP-ELISA, WB
H00388112-B01P
Species: Hu
Applications: WB
MAB1417
Species: Bv, Hu, Mu
Applications: ICC, IHC
7734-LF
Species: Hu
Applications: BA
NB300-560
Species: Av, Bv, Ma, Hu, Mu, Pm, Rt
Applications: IF, IHC, IHC-Fr,  IHC-P, WB
NBP1-89704
Species: Hu
Applications: ICC/IF, IHC,  IHC-P, WB
MAB1799
Species: Hu, Mu, Rt
Applications: ICC, IP, ICFlow, KO, WB
NBP2-98661
Species: Hu
Applications: ICC/IF, IHC,  IHC-P, WB
NB600-302
Species: Bv, Dr, Hu, Mu
Applications: ChIP, ELISA, Flow-IC, Flow, IB, ICC/IF, IHC, IHC-Fr,  IHC-P, IP, PLA, S-ELISA, Simple Western, WB
AF2030
Species: Hu
Applications: IHC, WB
NBP1-83976
Species: Hu
Applications: ICC/IF, IHC,  IHC-P
DY1707
Species: Hu
Applications: ELISA
M6000B
Species: Mu
Applications: ELISA
NBP2-46134
Species: Hu, Mu, Rt
Applications: Flow, ICC/IF, IHC,  IHC-P, WB
NBP1-89917
Species: Hu
Applications: ICC/IF, IHC,  IHC-P, WB
AF3158
Species: Mu
Applications: ChIP, ICC, IHC, WB
NBP2-66822
Species: Hu
Applications: ICC/IF, IHC

Publications for ERAS Antibody (NBP2-66822) (0)

There are no publications for ERAS Antibody (NBP2-66822).
By submitting your publication information earn gift cards and discounts for future purchases.

Reviews for ERAS Antibody (NBP2-66822) (0)

There are no reviews for ERAS Antibody (NBP2-66822). By submitting a review you will receive an Amazon e-Gift Card or Novus Product Discount.
  • Review with no image -- $10/€7/£6/$10 CAD/¥70 Yuan/¥1110 Yen
  • Review with an image -- $25/€18/£15/$25 CAD/¥150 Yuan/¥2500 Yen

Product General Protocols

Find general support by application which include: protocols, troubleshooting, illustrated assays, videos and webinars.

Video Protocols

ICC/IF Video Protocol

FAQs for ERAS Antibody (NBP2-66822) (0)

There are no specific FAQs related to this product. Read our general customer & technical service FAQs.

Secondary Antibodies

 

Isotype Controls

Additional ERAS Products

Research Areas for ERAS Antibody (NBP2-66822)

Find related products by research area.

Blogs on ERAS

There are no specific blogs for ERAS, but you can read our latest blog posts.

Contact Information

Product PDFs

Calculators

Concentration Calculator

The concentration calculator allows you to quickly calculate the volume, mass or concentration of your vial. Simply enter your mass, volume, or concentration values for your reagent and the calculator will determine the rest.

=
÷

Review this Product

Be the first to review our ERAS Antibody (D10-B9) and receive a gift card or discount.

Bioinformatics

Gene Symbol ERAS