ER alpha/NR3A1 [p Ser118] Antibody (SC05-87)

Images

 
Western Blot: ER alpha/NR3A1 [p Ser118] Antibody (SC05-87) [NBP2-67575] - Western blot analysis of ER alpha/NR3A1 on MCF-7 cell lysates. Proteins were transferred to a PVDF membrane and blocked with 5% BSA in PBS for 1 ...read more
Immunocytochemistry/ Immunofluorescence: ER alpha/NR3A1 [p Ser118] Antibody (SC05-87) [NBP2-67575] - Staining phospho-Estrogen Receptor alpha(S118) in MCF-7 cells (green). The nuclear counter stain is DAPI (blue). Cells ...read more
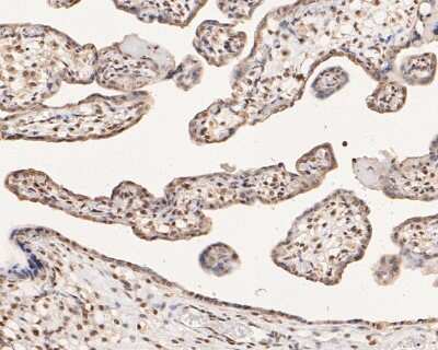
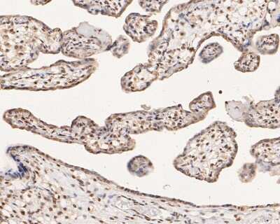
Immunohistochemistry-Paraffin: ER alpha/NR3A1 [p Ser118] Antibody (SC05-87) [NBP2-67575] - Immunohistochemical analysis of paraffin-embedded human placenta tissue using anti-ER alpha/NR3A1 antibody. The section was ...read more
Western Blot: ER alpha/NR3A1 [p Ser118] Antibody (SC05-87) [NBP2-67575] - Analysis of Estrogen Receptor alpha(phospho S118) on MCF-7 cell lysates using anti- phospho-Estrogen Receptor alpha(S118) antibody at 1/1,000 ...read more
Immunocytochemistry/ Immunofluorescence: ER alpha/NR3A1 [p Ser118] Antibody (SC05-87) [NBP2-67575] - Staining phospho-Estrogen Receptor alpha(S118) in Hela cells (green). The nuclear counter stain is DAPI (blue). Cells ...read more
Immunocytochemistry/ Immunofluorescence: ER alpha/NR3A1 [p Ser118] Antibody (SC05-87) [NBP2-67575] - Staining phospho-Estrogen Receptor alpha(S118) in HUVEC cells (green). The nuclear counter stain is DAPI (blue). Cells ...read more
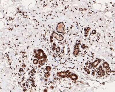
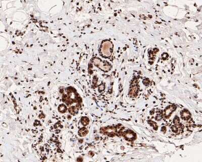
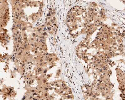
Immunohistochemistry-Paraffin: ER alpha/NR3A1 [p Ser118] Antibody (SC05-87) [NBP2-67575] - Analysis of paraffin-embedded human breast carcinoma tissue using anti- phospho-Estrogen Receptor alpha(S118) antibody. Counter ...read more
Immunohistochemistry-Paraffin: ER alpha/NR3A1 [p Ser118] Antibody (SC05-87) [NBP2-67575] - Analysis of paraffin-embedded mouse placenta tissue using anti- phospho-Estrogen Receptor alpha(S118) antibody. Counter stained ...read more
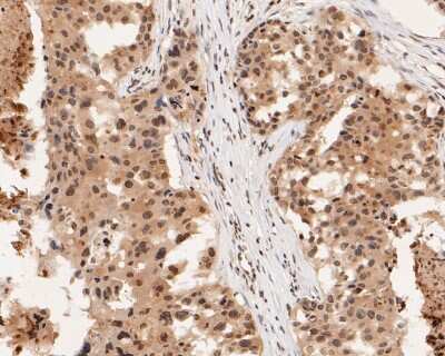
Immunohistochemistry-Paraffin: ER alpha/NR3A1 [p Ser118] Antibody (SC05-87) [NBP2-67575] - Immunohistochemical analysis of paraffin-embedded human breast carcinoma tissue using anti-ER alpha/NR3A1 antibody. The section ...read more
Immunohistochemistry-Paraffin: ER alpha/NR3A1 [p Ser118] Antibody (SC05-87) [NBP2-67575] - Immunohistochemical analysis of paraffin-embedded human breast tissue using anti-ER alpha/NR3A1 antibody. The section was ...read more

Product Details

Summary
Product Discontinued
View other related ER alpha/NR3A1 Primary Antibodies

Order Details


    • Catalog Number
      NBP2-67575
    • Availability
      Product Discontinued

    Can't find what you are looking for? Use our Antibody Concierge Service & we will help you locate your antibody!

    Or feel free to contact us for alternative products.

ER alpha/NR3A1 [p Ser118] Antibody (SC05-87) Summary

Additional Information
Recombinant Monoclonal Antibody.
Immunogen
Synthetic phospho-peptide corresponding to residues surrounding Ser118 of Human ER alpha/NR3A1 aa 110-154 / 595. (SwissProt: P03372 Human; SwissProt: P19785 Mouse)
Modification
p Ser118
Localization
Nucleus, Cytoplasm, Cell membrane.
Isotype
IgG
Clonality
Monoclonal
Host
Rabbit
Gene
ESR1
Purity
Protein A purified
Innovator's Reward
Test in a species/application not listed above to receive a full credit towards a future purchase.

Applications/Dilutions

Dilutions
  • Immunocytochemistry/ Immunofluorescence 1:50-1:200
  • Immunohistochemistry
  • Immunohistochemistry-Paraffin 1:50-1:500
  • Western Blot 1:1000

Packaging, Storage & Formulations

Storage
Store at 4C short term. Aliquot and store at -20C long term. Avoid freeze-thaw cycles.
Buffer
TBS (pH7.4), 0.05% BSA, 40% Glycerol
Preservative
0.05% Sodium Azide
Concentration
1 mg/ml
Purity
Protein A purified

Alternate Names for ER alpha/NR3A1 [p Ser118] Antibody (SC05-87)

  • ER alpha
  • ER
  • Era
  • ER-alpha
  • ESR1
  • ESRESRA
  • Estradiol receptor
  • estrogen receptor 1
  • estrogen receptor alpha delta 3*4,56,7*/819-2 isoform
  • estrogen receptor alpha delta 4 +49 isoform
  • estrogen receptor alpha delta 4*5,6,7*/654 isoform
  • estrogen receptor alpha
  • estrogen receptor
  • NR3A1
  • NR3A1DKFZp686N23123
  • Nuclear receptor subfamily 3 group A member 1

Background

Estrogen receptor alpha (ER alpha) is a nuclear protein and member of the steroid hormone receptor family. ER alpha possesses both DNA binding and ligand binding domains, and exerts a significant role in activating the transcription of certain genes (1). Ligand-dependent dimerization and phosphorylation on serines, 104, 106, and 118 function to regulate the transcriptional activation of ER alpha (2). The phosphorylation of the human estrogen receptor (ER) serine residue at position 118 is required for full activity of the ER activation function 1 (AF-1) (3).

Limitations

This product is for research use only and is not approved for use in humans or in clinical diagnosis. Primary Antibodies are guaranteed for 1 year from date of receipt.

Customers Who Viewed This Item Also Viewed...

AF5415
Species: Hu
Applications: ICC, IHC, Simple Western, WB
DY1707
Species: Hu
Applications: ELISA
NB200-305
Species: Hu, Pm, Mu
Applications: ChIP, DB, Flow, ICC/IF, IHC, IHC-Fr,  IHC-P, IP, Simple Western, WB
1129-ER
Species: Hu
Applications: BA
H00005555-P01
Species: Hu
Applications: ELISA, AP, PA, PAGE, WB
NBP2-47602
Species: Hu
Applications: ICC/IF, IHC,  IHC-P
AF5739
Species: Hu, Mu, Rt
Applications: WB
NBP1-89522
Species: Hu, Mu, Rt
Applications: ICC/IF, IHC,  IHC-P, WB
NB100-56603
Species: Ca, Hu, Mu, Pm, Rt
Applications: IHC,  IHC-P, WB
AF231
Species: Hu
Applications: CyTOF-ready, Dual ISH-IHC, ELISA(Cap), ELISA(Det), ELISA(Sta), Flow, ICC, IHC, IP, Simple Western, WB
NB100-1596
Species: Hu, Mu, Pm, Rb, Rt
Applications: ICC/IF, IHC,  IHC-P, Simple Western, WB
NB200-103
Species: Hu, Mu, Rt, Xp(-), Ye
Applications: CyTOF-ready, ELISA, Flow-IC, Flow, ICC/IF, IHC, IHC-Fr,  IHC-P, IP, WB
M6000B
Species: Mu
Applications: ELISA
AF262
Species: Hu
Applications: ICC, IHC, Neut, WB
NBP1-89146
Species: Hu
Applications: ICC/IF, IHC,  IHC-P
NBP2-38530
Species: Hu
Applications: ICC/IF, IHC,  IHC-P, WB
236-EG
Species: Hu
Applications: BA

Publications for ER alpha/NR3A1 Antibody (NBP2-67575) (0)

There are no publications for ER alpha/NR3A1 Antibody (NBP2-67575).
By submitting your publication information earn gift cards and discounts for future purchases.

Reviews for ER alpha/NR3A1 Antibody (NBP2-67575) (0)

There are no reviews for ER alpha/NR3A1 Antibody (NBP2-67575). By submitting a review you will receive an Amazon e-Gift Card or Novus Product Discount.
  • Review with no image -- $10/€7/£6/$10 CAD/¥70 Yuan/¥1110 Yen
  • Review with an image -- $25/€18/£15/$25 CAD/¥150 Yuan/¥2500 Yen

Product General Protocols

Find general support by application which include: protocols, troubleshooting, illustrated assays, videos and webinars.

Video Protocols

WB Video Protocol
ICC/IF Video Protocol

FAQs for ER alpha/NR3A1 Antibody (NBP2-67575) (0)

There are no specific FAQs related to this product. Read our general customer & technical service FAQs.

Contact Information

Product PDFs

Calculators

Concentration Calculator

The concentration calculator allows you to quickly calculate the volume, mass or concentration of your vial. Simply enter your mass, volume, or concentration values for your reagent and the calculator will determine the rest.

=
÷

Review this Product

Be the first to review our ER alpha/NR3A1 [p Ser118] Antibody (SC05-87) and receive a gift card or discount.

Bioinformatics

Gene Symbol ESR1