Enah/Vasp-like Antibody

Images

 
Western Blot: Enah/Vasp-like Antibody [NBP2-38132] - Lane 1: Marker [kDa] 250, 130, 100, 70, 55, 35, 25, 15, 10Lane 2: Human cell line MOLT-4
Immunocytochemistry/ Immunofluorescence: Enah/Vasp-like Antibody [NBP2-38132] - Staining of human cell line U-2 OS shows localization to cytosol. Antibody staining is shown in green.
Immunohistochemistry-Paraffin: Enah/Vasp-like Antibody [NBP2-38132] - Staining of human lung shows moderate to strong cytoplasmic positivity in macrophages.
Independent Antibodies: Immunohistochemistry-Paraffin: Enah/Vasp-like Antibody [NBP2-38132] - Staining of human lung, lymph node, skeletal muscle and small intestine using Anti-EVL antibody NBP2-38132 (A) shows ...read more
Orthogonal Strategies: Immunohistochemistry-Paraffin: Enah/Vasp-like Antibody [NBP2-38132] - Analysis in human lymph node and skeletal muscle tissues. Corresponding EVL RNA-seq data are presented for the same ...read more
Immunohistochemistry-Paraffin: Enah/Vasp-like Antibody [NBP2-38132] - Staining of human lymph node shows moderate to strong cytoplasmic positivity in non-germinal center cells.
Immunohistochemistry-Paraffin: Enah/Vasp-like Antibody [NBP2-38132] - Staining of human small intestine shows moderate to strong cytoplasmic positivity in lymphoid cells.
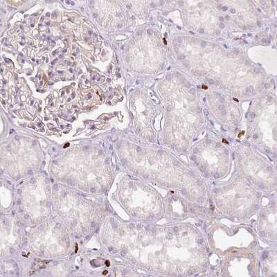
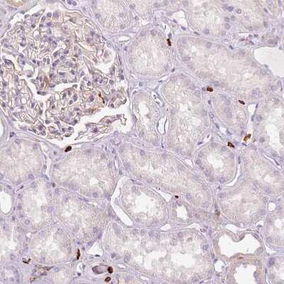
Immunohistochemistry-Paraffin: Enah/Vasp-like Antibody [NBP2-38132] - Staining of human kidney shows no positivity in cells in tubules as expected.
Immunohistochemistry-Paraffin: Enah/Vasp-like Antibody [NBP2-38132] - Staining of human skeletal muscle shows no positivity in myocytes as expected.
Simple Western: Enah/Vasp-like Antibody [NBP2-38132] - Simple Western lane view shows a specific band for Enah/Vasp-like in 0.2 mg/ml of MOLT-4 lysate(s). This experiment was performed under reducing conditions using ...read more
Simple Western: Enah/Vasp-like Antibody [NBP2-38132] - Electropherogram image of the corresponding Simple Western lane view. Enah/Vasp-like antibody was used at 1:25 dilution on MOLT-4 lysate(s) respectively.

Product Details

Summary
Product Discontinued
View other related Enah/Vasp-like Primary Antibodies

Order Details


    • Catalog Number
      NBP2-38132
    • Availability
      Product Discontinued

    Can't find what you are looking for? Use our Antibody Concierge Service & we will help you locate your antibody!

    Or feel free to contact us for alternative products.

Enah/Vasp-like Antibody Summary

Immunogen
This antibody was developed against a recombinant protein corresponding to amino acids: SNSVEKPVSSILSRMKPAGSVNDMALDAFDLDRMKQEILEEVVRELHKVKEEIIDAIRQELSGI
Predicted Species
Mouse (92%), Rat (92%). Backed by our 100% Guarantee.
Isotype
IgG
Clonality
Polyclonal
Host
Rabbit
Gene
EVL
Purity
Immunogen affinity purified
Innovator's Reward
Test in a species/application not listed above to receive a full credit towards a future purchase.

Applications/Dilutions

Dilutions
  • Immunocytochemistry/ Immunofluorescence 0.25-2 ug/ml
  • Immunohistochemistry 1:1000 - 1:2500
  • Immunohistochemistry-Paraffin 1:1000 - 1:2500
  • Simple Western 1:25
  • Western Blot 0.04-0.4 ug/ml
Application Notes
For IHC-Paraffin, HIER pH 6 retrieval is recommended. ICC/IF Fixation Permeabilization: Use PFA/Triton X-100.

Packaging, Storage & Formulations

Storage
Store at 4C short term. Aliquot and store at -20C long term. Avoid freeze-thaw cycles.
Buffer
PBS (pH 7.2) and 40% Glycerol
Preservative
0.02% Sodium Azide
Purity
Immunogen affinity purified

Alternate Names for Enah/Vasp-like Antibody

  • ena/VASP-like protein
  • Enah/Vasp-like
  • RNB6Ena/vasodilator-stimulated phosphoprotein-like

Background

Enah/Vasp-like (EVL) is a member of the Ena/VASP protein family. Ena/VASP proteins are actin-associated proteins involved in a range of processes that require dynamic actin remodeling such as axon guidance and lamellipodial and filopodial dynamics in migrating cells. EVL enhances actin nucleation and polymerization.

Limitations

This product is for research use only and is not approved for use in humans or in clinical diagnosis. Primary Antibodies are guaranteed for 1 year from date of receipt.

Customers Who Viewed This Item Also Viewed...

NBP1-87914
Species: Hu, Mu, Rt
Applications: ICC/IF, IHC,  IHC-P, WB
NBP2-00555
Species: Hu, Mu, Rt
Applications: Flow, ICC/IF, IHC,  IHC-P, WB
AF231
Species: Hu
Applications: CyTOF-ready, Dual ISH-IHC, ELISA(Cap), ELISA(Det), ELISA(Sta), Flow, ICC, IHC, IP, Simple Western, WB
NB600-607
Species: Hu, Rt
Applications: ELISA, IHC,  IHC-P, WB
AF1148
Species: Hu
Applications: CyTOF-ready, Flow, Simple Western, WB
NBP2-13378
Species: Hu
Applications: IHC,  IHC-P
NBP1-91745
Species: Hu, Rt
Applications: ICC/IF, IHC,  IHC-P, WB
AF2685
Species: Hu
Applications: IHC, Simple Western, WB
AF1615
Species: Mu
Applications: IHC, WB
H00007791-M01
Species: Hu
Applications: ELISA, ICC/IF, IP, KD, WB
MAB2358
Species: Hu, Mu
Applications: ICC, IHC
AF5414
Species: Hu
Applications: Simple Western, WB
NBP2-02577
Species: Ca, Hu, Pm, Mu, Rt
Applications: Flow, ICC/IF, IHC,  IHC-P, WB
H00010097-M01
Species: Hu
Applications: ELISA, IHC,  IHC-P, S-ELISA, WB
H00008458-M06
Species: Hu, Mu, Rt
Applications: ELISA, ICC/IF, WB
AF748
Species: Hu, Mu
Applications: CyTOF-ready, Dual ISH-IHC, Flow, ICC, IHC, Simple Western, WB
NBP1-56761
Species: Hu
Applications: WB
AF904
Species: Hu, Mu, Rt
Applications: IHC, Neut, Simple Western, WB
MAB1455
Species: Hu
Applications: CyTOF-ready, Dual ISH-IHC, ICC, IHC, ICFlow, Simple Western, WB
NBP1-97512
Species: Mu
Applications: ICC/IF, IHC, IHC-Fr,  IHC-P, IP, WB

Publications for Enah/Vasp-like Antibody (NBP2-38132) (0)

There are no publications for Enah/Vasp-like Antibody (NBP2-38132).
By submitting your publication information earn gift cards and discounts for future purchases.

Reviews for Enah/Vasp-like Antibody (NBP2-38132) (0)

There are no reviews for Enah/Vasp-like Antibody (NBP2-38132). By submitting a review you will receive an Amazon e-Gift Card or Novus Product Discount.
  • Review with no image -- $10/€7/£6/$10 CAD/¥70 Yuan/¥1110 Yen
  • Review with an image -- $25/€18/£15/$25 CAD/¥150 Yuan/¥2500 Yen

Product General Protocols

Find general support by application which include: protocols, troubleshooting, illustrated assays, videos and webinars.

Video Protocols

WB Video Protocol
ICC/IF Video Protocol

FAQs for Enah/Vasp-like Antibody (NBP2-38132) (0)

There are no specific FAQs related to this product. Read our general customer & technical service FAQs.

Secondary Antibodies

 

Isotype Controls

Additional Enah/Vasp-like Products

Research Areas for Enah/Vasp-like Antibody (NBP2-38132)

Find related products by research area.

Blogs on Enah/Vasp-like

There are no specific blogs for Enah/Vasp-like, but you can read our latest blog posts.

Contact Information

Product PDFs

Calculators

Concentration Calculator

The concentration calculator allows you to quickly calculate the volume, mass or concentration of your vial. Simply enter your mass, volume, or concentration values for your reagent and the calculator will determine the rest.

=
÷

Review this Product

Be the first to review our Enah/Vasp-like Antibody and receive a gift card or discount.

Bioinformatics

Gene Symbol EVL