DTX2 Antibody - BSA Free

Images

 
Immunocytochemistry/ Immunofluorescence: DTX2 Antibody [NBP2-13941] - Staining of human cell line A-431 shows localization to nucleoplasm & nuclear membrane. Antibody staining is shown in green.
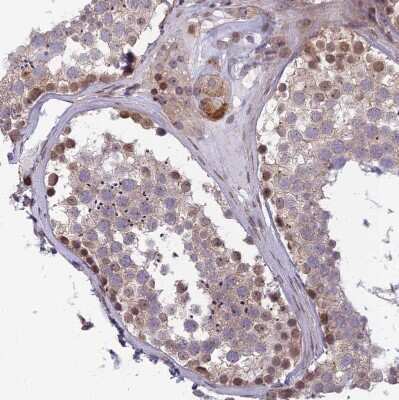
Immunohistochemistry-Paraffin: DTX2 Antibody [NBP2-13941] - Staining of human Testis shows moderate nuclear and cytoplasmic positivity in cells in seminiferous ducts.
Immunohistochemistry-Paraffin: DTX2 Antibody [NBP2-13941] - Staining of human Cerebral cortex shows moderate nuclear and cytoplasmic positivity in neuronal cells.
Immunohistochemistry-Paraffin: DTX2 Antibody [NBP2-13941] - Staining of human Colon shows moderate nuclear and cytoplasmic positivity in glandular cells.
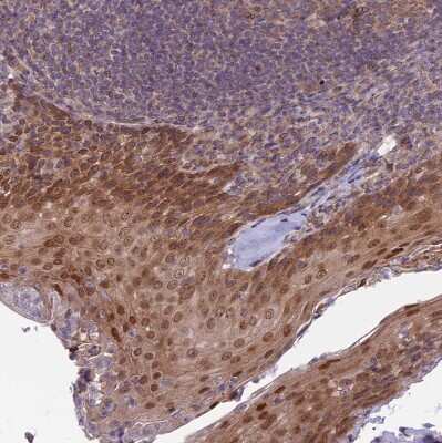
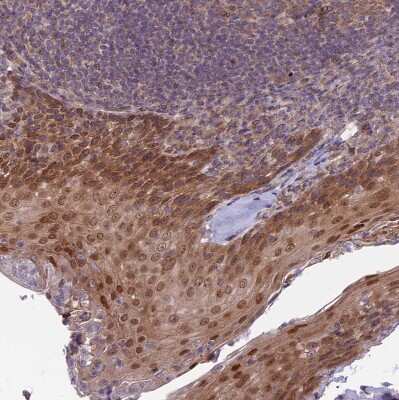
Immunohistochemistry-Paraffin: DTX2 Antibody [NBP2-13941] - Staining of human Esophagus shows moderate nuclear positivity in squamous epithelial cells.
Immunohistochemistry-Paraffin: DTX2 Antibody [NBP2-13941] - Staining of human Tonsil shows moderate nuclear and cytoplasmic positivity in squamous epithelial cells.

Product Details

Summary
Reactivity HuSpecies Glossary
Applications ICC/IF, IHC
Clonality
Polyclonal
Host
Rabbit
Conjugate
Unconjugated
Format
BSA Free

Order Details

View Available Formulations
Catalog# & Formulation Size Price

DTX2 Antibody - BSA Free Summary

Description
Novus Biologicals Rabbit DTX2 Antibody - BSA Free (NBP2-13941) is a polyclonal antibody validated for use in IHC and ICC/IF. All Novus Biologicals antibodies are covered by our 100% guarantee.
Immunogen
This antibody was developed against a recombinant protein corresponding to the amino acids: YPVTTIIAPPGHTGVACSCHQCLSGSRTGPVSGRYRHSMTNLPAYPVPQHPPHRTASVFGTHQAFAPYNKPSL
Isotype
IgG
Clonality
Polyclonal
Host
Rabbit
Gene
DTX2
Purity
Immunogen affinity purified
Innovator's Reward
Test in a species/application not listed above to receive a full credit towards a future purchase.

Applications/Dilutions

Dilutions
  • Immunocytochemistry/ Immunofluorescence 0.25-2 ug/ml
  • Immunohistochemistry 1:50 - 1:200
  • Immunohistochemistry-Paraffin 1:50-1:200
Application Notes
For IHC-Paraffin, HIER pH 6 retrieval is recommended. For ICC/IF Fixation/Permeabilization: PFA/Triton X-100.
Control Peptide
DTX2 Protein (NBP2-13941PEP)

Packaging, Storage & Formulations

Storage
Store at 4C short term. Aliquot and store at -20C long term. Avoid freeze-thaw cycles.
Buffer
PBS (pH 7.2) and 40% Glycerol
Preservative
0.02% Sodium Azide
Purity
Immunogen affinity purified

Alternate Names for DTX2 Antibody - BSA Free

  • deltex (Drosophila) homolog 2
  • deltex homolog 2 (Drosophila)
  • Deltex2
  • hDTX2
  • MGC71098
  • protein deltex-2
  • RING finger protein 58
  • RNF58KIAA1528deltex2
  • zinc ion binding protein

Background

DTX2 functions as an E3 ubiquitin ligase (Takeyama et al., 2003 (PubMed 12670957)).(supplied by OMIM)

Limitations

This product is for research use only and is not approved for use in humans or in clinical diagnosis. Primary Antibodies are guaranteed for 1 year from date of receipt.

Customers Who Viewed This Item Also Viewed...

MAB7157
Species: Hu
Applications: CyTOF-ready, ICC, ICFlow, WB
MPTX20
Species: Mu
Applications: ELISA
AF7388
Species: Hu
Applications: IHC
NBP2-48836
Species: Ca, Hu
Applications: ICC/IF, IHC,  IHC-P
NBP2-92546
Species: Hu, Mu
Applications: ELISA, ICC/IF, IHC, WB
NBP2-31789
Species: Hu
Applications: ICC/IF, IHC,  IHC-P
H00151636-M01
Species: Hu
Applications: ELISA, IHC,  IHC-P, WB
NB100-78486
Species: Hu, Mu, Rt(-)
Applications: CyTOF-ready, Flow, ICC/IF, IHC,  IHC-P, IP, KO, WB
NBP1-33427
Species: Hu
Applications: ChIP, ICC/IF, WB
AF1356
Species: Hu, Mu
Applications: CyTOF-ready, Dual ISH-IHC, Flow, IHC, Simple Western, WB
H00008826-M01
Species: Hu
Applications: ELISA, ICC/IF, IHC,  IHC-P, KD, S-ELISA, WB
NB300-917
Species: Hu, Mu
Applications: ICC/IF, IHC,  IHC-P
AF1556
Species: Mu
Applications: CyTOF-ready, Flow, IHC, WB
NBP1-92389
Species: Hu
Applications: IHC,  IHC-P
DHAPG0
Species: Hu
Applications: ELISA
AF3847
Species: Hu
Applications: ICC, WB
NBP2-35208
Species: Hu
Applications: BA, PAGE
NBP2-13941
Species: Hu
Applications: ICC/IF, IHC

Publications for DTX2 Antibody (NBP2-13941) (0)

There are no publications for DTX2 Antibody (NBP2-13941).
By submitting your publication information earn gift cards and discounts for future purchases.

Reviews for DTX2 Antibody (NBP2-13941) (0)

There are no reviews for DTX2 Antibody (NBP2-13941). By submitting a review you will receive an Amazon e-Gift Card or Novus Product Discount.
  • Review with no image -- $10/€7/£6/$10 CAD/¥70 Yuan/¥1110 Yen
  • Review with an image -- $25/€18/£15/$25 CAD/¥150 Yuan/¥2500 Yen

Product General Protocols

Find general support by application which include: protocols, troubleshooting, illustrated assays, videos and webinars.

Video Protocols

ICC/IF Video Protocol

FAQs for DTX2 Antibody (NBP2-13941) (0)

There are no specific FAQs related to this product. Read our general customer & technical service FAQs.

Secondary Antibodies

 

Isotype Controls

Additional DTX2 Products

Array NBP2-13941

Research Areas for DTX2 Antibody (NBP2-13941)

Find related products by research area.

Blogs on DTX2

There are no specific blogs for DTX2, but you can read our latest blog posts.

Customers Who Bought This Also Bought

Contact Information

Product PDFs

Calculators

Concentration Calculator

The concentration calculator allows you to quickly calculate the volume, mass or concentration of your vial. Simply enter your mass, volume, or concentration values for your reagent and the calculator will determine the rest.

=
÷

Review this Product

Be the first to review our DTX2 Antibody - BSA Free and receive a gift card or discount.

Bioinformatics

Gene Symbol DTX2