DPEP3 Antibody - BSA Free

Images

 
Orthogonal Strategies: Immunohistochemistry-Paraffin: DPEP3 Antibody [NBP2-32395] - Staining in human testis and endometrium tissues using anti-DPEP3 antibody. Corresponding DPEP3 RNA-seq data are presented for ...read more
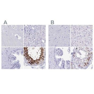
Independent Antibodies: Immunohistochemistry-Paraffin: DPEP3 Antibody [NBP2-32395] - Staining of human cerebral cortex, liver, prostate and testis using Anti-DPEP3 antibody NBP2-32395 (A) shows similar protein ...read more
Immunohistochemistry-Paraffin: DPEP3 Antibody [NBP2-32395] - Staining of human prostate.
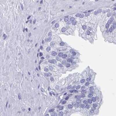
Immunohistochemistry-Paraffin: DPEP3 Antibody [NBP2-32395] - Staining of human endometrium shows low expression as expected.
Immunohistochemistry-Paraffin: DPEP3 Antibody [NBP2-32395] - Staining of human testis shows high expression.
Immunohistochemistry-Paraffin: DPEP3 Antibody [NBP2-32395] - Staining of human cerebral cortex.
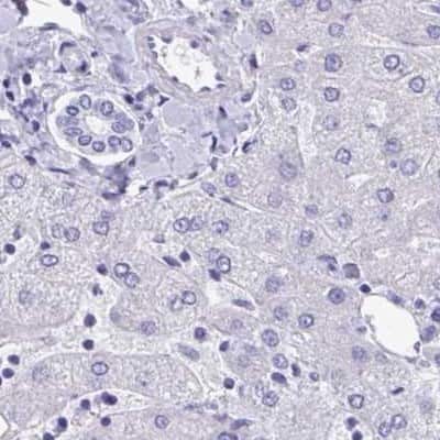
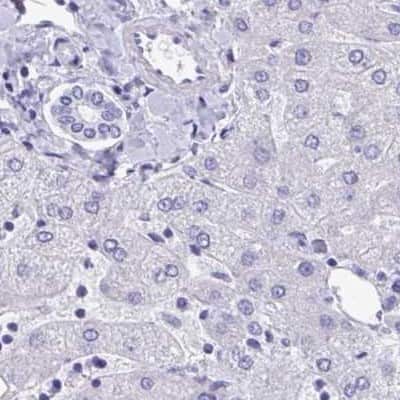
Immunohistochemistry-Paraffin: DPEP3 Antibody [NBP2-32395] - Staining of human liver.

Product Details

Summary
Reactivity HuSpecies Glossary
Applications IHC
Clonality
Polyclonal
Host
Rabbit
Conjugate
Unconjugated
Format
BSA Free

Order Details

View Available Formulations
Catalog# & Formulation Size Price

DPEP3 Antibody - BSA Free Summary

Description
Novus Biologicals Rabbit DPEP3 Antibody - BSA Free (NBP2-32395) is a polyclonal antibody validated for use in IHC. All Novus Biologicals antibodies are covered by our 100% guarantee.
Immunogen
This antibody was developed against a recombinant protein corresponding to amino acids: KVREESRAQSPVEAEFPYGQLSTSCHSHLVPQNGHQATHLEVTKQPTNRV
Isotype
IgG
Clonality
Polyclonal
Host
Rabbit
Gene
DPEP3
Purity
Affinity purified
Innovator's Reward
Test in a species/application not listed above to receive a full credit towards a future purchase.

Applications/Dilutions

Dilutions
  • Immunohistochemistry 1:50 - 1:200
  • Immunohistochemistry-Paraffin 1:50 - 1:200
Application Notes
For IHC-Paraffin, HIER pH 6 retrieval is recommended.
Control Peptide
DPEP3 Protein (NBP2-32395PEP)

Packaging, Storage & Formulations

Storage
Store at 4C short term. Aliquot and store at -20C long term. Avoid freeze-thaw cycles.
Buffer
PBS (pH 7.2) and 40% Glycerol
Preservative
0.02% Sodium Azide
Purity
Affinity purified

Alternate Names for DPEP3 Antibody - BSA Free

  • Dipeptidase 3
  • EC 3.4.13.19
  • MBD3
  • Membrane-Bound Dipeptidase 3
  • Metallopeptidase (Family M19)

Limitations

This product is for research use only and is not approved for use in humans or in clinical diagnosis. Primary Antibodies are guaranteed for 1 year from date of receipt.

Customers Who Viewed This Item Also Viewed...

NB100-56326
Species: Hu, Mu
Applications: ICC/IF, IHC,  IHC-P, WB
NB100-81657
Species: Hu, Mu
Applications: ChIP, IHC,  IHC-P, IP, WB
NBP2-92242
Species: Hu, Mu, Rt
Applications: WB
NB100-56537
Species: Hu, Mu
Applications: ChIP, ChIP, ICC/IF, IHC, IHC-Fr,  IHC-P, IP, KD, WB
NBP1-86087
Species: Hu
Applications: ICC/IF, IHC,  IHC-P, WB
NB100-56340
Species: Hu, Mu, Rt
Applications: IHC, IHC-Fr,  IHC-P, KO, Simple Western, WB
NBP1-91189
Species: Hu, Mu(-)
Applications: ICC/IF, IHC,  IHC-P, WB (-)
NB100-56519
Species: Bv, Hu, Mu, Po, Rt, Sh
Applications: ChIP, CyTOF-ready, Flow-IC, Flow, ICC/IF, IHC-FrFl, IHC, IHC-Fr,  IHC-P, IP, KD, Simple Western, WB
AF1759
Species: Hu, Mu
Applications: ChIP, ICC, IP, Simple Western, WB
NB500-123
Species: Hu, Mu
Applications: B/N, ChIP, Func, ICC/IF, IHC,  IHC-P, IP, WB
NBP1-87109
Species: Hu, Mu
Applications: ICC/IF, IHC,  IHC-P, KD, WB
NBP2-03993
Species: Bv, Ca, Hu, Mu, Pm
Applications: WB
NBP3-27151
Species: Hu, Mu, Rt
Applications: ELISA, Flow, ICC/IF, IHC,  IHC-P, WB
NB200-106
Species: Mu, Rt
Applications: ELISA, ICC/IF, IHC, IHC-Fr,  IHC-P, WB
NB600-260
Species: Hu, Mu
Applications: IHC,  IHC-P, IP, WB
NB100-56483
Species: Hu, Pm
Applications: ICC/IF, IHC,  IHC-P, WB
7734-LF
Species: Hu
Applications: BA
H00008099-B01P-50ug
Species: Hu
Applications: ICC/IF, WB

Publications for DPEP3 Antibody (NBP2-32395) (0)

There are no publications for DPEP3 Antibody (NBP2-32395).
By submitting your publication information earn gift cards and discounts for future purchases.

Reviews for DPEP3 Antibody (NBP2-32395) (0)

There are no reviews for DPEP3 Antibody (NBP2-32395). By submitting a review you will receive an Amazon e-Gift Card or Novus Product Discount.
  • Review with no image -- $10/€7/£6/$10 CAD/¥70 Yuan/¥1110 Yen
  • Review with an image -- $25/€18/£15/$25 CAD/¥150 Yuan/¥2500 Yen

Product General Protocols

Find general support by application which include: protocols, troubleshooting, illustrated assays, videos and webinars.

FAQs for DPEP3 Antibody (NBP2-32395) (0)

There are no specific FAQs related to this product. Read our general customer & technical service FAQs.

Customers Who Bought This Also Bought

Contact Information

Product PDFs

Calculators

Concentration Calculator

The concentration calculator allows you to quickly calculate the volume, mass or concentration of your vial. Simply enter your mass, volume, or concentration values for your reagent and the calculator will determine the rest.

=
÷

Review this Product

Be the first to review our DPEP3 Antibody - BSA Free and receive a gift card or discount.

Bioinformatics

Gene Symbol DPEP3