RbAp46 Antibody (2A10C2) - BSA Free

Images

 
Immunohistochemistry: RbAp46 Antibody (2A10C2) [NBP3-27151] - Analysis of paraffin-embedded rectum cancer tissues using RbAp46 mouse mAb with DAB staining.
Western Blot: RbAp46 Antibody (2A10C2) [NBP3-27151] - Analysis using RbAp46 mAb against HEK293 (1) and RbAp46 (AA: 1-200)-hIgGFc transfected HEK293 (2) cell lysate.
ELISA: RbAp46 Antibody (2A10C2) [NBP3-27151] - Black line: Control Antigen (100 ng); Purple line: Antigen (10 ng); Blue line: Antigen (50 ng); Red line: Antigen (100 ng)
Western Blot: RbAp46 Antibody (2A10C2) [NBP3-27151] - Analysis using RbAp46 mAb against human RbAp46 (AA: 1-200) recombinant protein. (Expected MW is 48.6 kDa)
Immunohistochemistry: RbAp46 Antibody (2A10C2) [NBP3-27151] - Analysis of paraffin-embedded bladder cancer tissues using RbAp46 mouse mAb with DAB staining.
Immunocytochemistry/ Immunofluorescence: RbAp46 Antibody (2A10C2) [NBP3-27151] - Analysis of Hela cells using RbAp46 mouse mAb. Blue: DRAQ5 fluorescent DNA dye. Red: Actin filaments have been labeled with Alexa ...read more
Flow Cytometry: RbAp46 Antibody (2A10C2) [NBP3-27151] - Analysis of Hela cells using RbAp46 mouse mAb (green) and negative control (red).
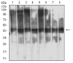
Western Blot: RbAp46 Antibody (2A10C2) [NBP3-27151] - Analysis using RbAp46 mouse mAb against Jurkat (1), HepG2 (2), F9 (3), C6 (4), LNCAP (5), HL-60 (6), Hela (7), and SH-SY5Y (8) cell lysate.
Immunocytochemistry/ Immunofluorescence: RbAp46 Antibody (2A10C2) [NBP3-27151] - Analysis of Hela cells using RbAp46 mouse mAb (green). Blue: DRAQ5 fluorescent DNA dye. Red: Actin filaments have been labeled with Alexa ...read more

Product Details

Summary
Reactivity Hu, Mu, RtSpecies Glossary
Applications WB, ELISA, Flow, ICC/IF, IHC
Clone
2A10C2
Clonality
Monoclonal
Host
Mouse
Conjugate
Unconjugated
Format
BSA Free
Concentration
1 mg/ml

Order Details

View Available Formulations
Catalog# & Formulation Size Price

RbAp46 Antibody (2A10C2) - BSA Free Summary

Description
Novus Biologicals Mouse RbAp46 Antibody (2A10C2) - BSA Free (NBP3-27151) is a monoclonal antibody validated for use in IHC, WB, ELISA, Flow and ICC/IF. All Novus Biologicals antibodies are covered by our 100% guarantee.
Immunogen
Purified recombinant fragment of human RbAp46 (AA: 1-200) expressed in E. Coli.
Isotype
IgG1
Clonality
Monoclonal
Host
Mouse
Gene
RBBP7
Purity
Protein G purified
Innovator's Reward
Test in a species/application not listed above to receive a full credit towards a future purchase.

Applications/Dilutions

Dilutions
  • ELISA 1:10000
  • Flow Cytometry 1:200 - 1:400
  • Immunocytochemistry/ Immunofluorescence 1:200 - 1:1000
  • Immunohistochemistry 1:200 - 1:1000
  • Immunohistochemistry-Paraffin 1:200 - 1:1000
  • Western Blot 1:500 - 1:2000
Theoretical MW
47.8 kDa.
Disclaimer note: The observed molecular weight of the protein may vary from the listed predicted molecular weight due to post translational modifications, post translation cleavages, relative charges, and other experimental factors.

Packaging, Storage & Formulations

Storage
Store at 4C short term. Aliquot and store at -20C long term. Avoid freeze-thaw cycles.
Buffer
PBS
Preservative
0.05% Sodium Azide
Concentration
1 mg/ml
Purity
Protein G purified

Alternate Names for RbAp46 Antibody (2A10C2) - BSA Free

  • G1/S transition control protein-binding protein RbAp46
  • Histone acetyltransferase type B subunit 2
  • histone-binding protein RBBP7
  • MGC138867
  • Nucleosome-remodeling factor subunit RBAP46
  • RbAp46
  • RBBP-7
  • retinoblastoma binding protein 7
  • Retinoblastoma-binding protein 7MGC138868
  • Retinoblastoma-binding protein p46
  • retinoblastoma-binding protein RbAp46

Background

RBBP7 antibody, also known as RbAp46 (Retinoblastoma protein associated protein 46), is a nuclear protein that has been shown to interact directly with retinoblastoma protein and is a component of the mSin3 corepressor complex, as are the histone deacetylase proteins (HDACs). It shares about 75% sequence identity with the closely related RbAp48, and appears to be functionally related to the yeast MSI1 protein in that overexpression of RbAp46 suppresses heat shock sensitivity in a RAS pathway dependent manner. RBBP7 has also been demonstrated to be up-regulated by the Wilms' tumor suppressor gene product, WT1. In addition, cells transfected with this antibody have shown strong inhibition of growth.

Limitations

This product is for research use only and is not approved for use in humans or in clinical diagnosis. Primary Antibodies are guaranteed for 1 year from date of receipt.

Customers Who Viewed This Item Also Viewed...

NB500-123
Species: Hu, Mu
Applications: B/N, ChIP, Func, ICC/IF, IHC,  IHC-P, IP, WB
MAB6495
Species: Hu
Applications: ICC, Simple Western, WB
NB100-56340
Species: Hu, Mu, Rt
Applications: IHC, IHC-Fr,  IHC-P, KO, Simple Western, WB
NBP1-87109
Species: Hu, Mu
Applications: ICC/IF, IHC,  IHC-P, KD, WB
NB110-60011
Species: Hu
Applications: ICC/IF, IHC, IHC-Fr,  IHC-P, IP, Simple Western, WB
NB500-171
Species: Hu, I, Mu, Rt, Xp, Ye
Applications: ChIP, IB, ICC/IF, IHC,  IHC-P, Single-Cell Western, WB
AF5215
Species: Hu, Mu
Applications: ICC, WB
NBP2-49409
Species: Hu
Applications: IHC,  IHC-P
NBP3-46113
Species: Hu, Mu, Rt
Applications: ELISA, IHC, IP, , WB
NB100-360
Species: Hu, Mu, Rt
Applications: IB, ICC/IF, IHC,  IHC-P, IP, WB
NBP2-07996
Species: Hu
Applications: WB
NBL1-11570
Species: Hu
Applications: WB
H00008365-M01
Species: Hu
Applications: ELISA, ICC/IF, S-ELISA
NBL1-11567
Species: Hu
Applications: WB
NBP2-52486
Species: Hu
Applications: CyTOF-ready, ELISA, Flow, ICC/IF, IHC,  IHC-P, WB
NBP2-20189
Species: Hu
Applications: ICC/IF, IHC,  IHC-P, IP, WB
NBP2-03993
Species: Bv, Ca, Hu, Mu, Pm
Applications: WB
NBP3-27151
Species: Hu, Mu, Rt
Applications: WB, ELISA, Flow, ICC/IF, IHC

Publications for RbAp46 Antibody (NBP3-27151) (0)

There are no publications for RbAp46 Antibody (NBP3-27151).
By submitting your publication information earn gift cards and discounts for future purchases.

Reviews for RbAp46 Antibody (NBP3-27151) (0)

There are no reviews for RbAp46 Antibody (NBP3-27151). By submitting a review you will receive an Amazon e-Gift Card or Novus Product Discount.
  • Review with no image -- $10/€7/£6/$10 CAD/¥70 Yuan/¥1110 Yen
  • Review with an image -- $25/€18/£15/$25 CAD/¥150 Yuan/¥2500 Yen

Product General Protocols

Find general support by application which include: protocols, troubleshooting, illustrated assays, videos and webinars.

Video Protocols

WB Video Protocol
ICC/IF Video Protocol

FAQs for RbAp46 Antibody (NBP3-27151) (0)

There are no specific FAQs related to this product. Read our general customer & technical service FAQs.

Secondary Antibodies

 

Isotype Controls

Additional RbAp46 Products

Research Areas for RbAp46 Antibody (NBP3-27151)

Find related products by research area.

Blogs on RbAp46

There are no specific blogs for RbAp46, but you can read our latest blog posts.

Customers Who Bought This Also Bought

Contact Information

Product PDFs

Calculators

Concentration Calculator

The concentration calculator allows you to quickly calculate the volume, mass or concentration of your vial. Simply enter your mass, volume, or concentration values for your reagent and the calculator will determine the rest.

=
÷

Review this Product

Be the first to review our RbAp46 Antibody (2A10C2) - BSA Free and receive a gift card or discount.

Bioinformatics

Gene Symbol RBBP7