Dnmt3L Antibody - BSA Free

Images

 
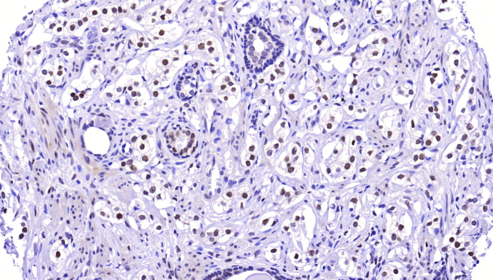
Immunohistochemistry-Paraffin: Dnmt3L Antibody [NBP2-39076] - Prostate cancer tissue stained with DNMT3L. Intense nuclear staining in carcinoma cells. (original magnification X200). Image submitted by a verified ...read more
Immunohistochemistry-Paraffin: Dnmt3L Antibody [NBP2-39076] - Staining of human testis shows moderate nuclear positivity in cells in seminiferous ducts.

Product Details

Summary
Reactivity HuSpecies Glossary
Applications IHC
Clonality
Polyclonal
Host
Rabbit
Conjugate
Unconjugated
Format
BSA Free

Order Details

View Available Formulations
Catalog# & Formulation Size Price

Dnmt3L Antibody - BSA Free Summary

Description
Novus Biologicals Rabbit Dnmt3L Antibody - BSA Free (NBP2-39076) is a polyclonal antibody validated for use in IHC. All Novus Biologicals antibodies are covered by our 100% guarantee.
Immunogen
This antibody was developed against a recombinant protein corresponding to amino acids: GKVHAMSNWVCYLCLPSSRSGLLQRRRKWRSQLKAFYDRESENPLEMFETVPVWRRQPVRVL
Isotype
IgG
Clonality
Polyclonal
Host
Rabbit
Gene
DNMT3L
Purity
Affinity purified
Innovator's Reward
Test in a species/application not listed above to receive a full credit towards a future purchase.

Applications/Dilutions

Dilutions
  • Immunohistochemistry 1:500 - 1:1000
  • Immunohistochemistry-Paraffin 1:500 - 1:1000
Application Notes
For IHC-Paraffin, HIER pH 6 retrieval is recommended. Dnmt3L antibody validated for IHC-P from a verified customer review.
Control Peptide
Dnmt3L Protein (NBP2-39076PEP)
Reviewed Applications
Read 1 Review rated 4
using
NBP2-39076 in the following applications:

Packaging, Storage & Formulations

Storage
Store at 4C short term. Aliquot and store at -20C long term. Avoid freeze-thaw cycles.
Buffer
PBS (pH 7.2) and 40% Glycerol
Preservative
0.02% Sodium Azide
Purity
Affinity purified

Alternate Names for Dnmt3L Antibody - BSA Free

  • DNA (cytosine-5-)-methyltransferase 3-like
  • DNA (cytosine-5)-methyltransferase 3-like
  • human cytosine-5-methyltransferase 3-like protein, 10cytosine-5-methyltransferase 3-like protein
  • MGC1090

Background

DNMT 3L is a nuclear protein which has similarity to DNA methyltransferases, involved in de novo methylation of CpG islands. CpG methylation is an epigenetic modification that is important for embryonic development, imprinting, and X-chromosome inactivation. Studies in mice have demonstrated that DNA methylation is required for mammalian development. This gene encodes a nuclear protein with similarity to DNA methyltransferases. This protein is not thought to function as a DNA methyltransferase as it does not contain the amino acid residues necessary for methyltransferase activity. However, this protein does stimulate de novo methylation by DNA cytosine methyltransferase 3 alpha and it is thought to be required for the establishment of maternal genomic imprints. This protein also mediates transcriptional repression through interaction with histone deacetylase 1.

Limitations

This product is for research use only and is not approved for use in humans or in clinical diagnosis. Primary Antibodies are guaranteed for 1 year from date of receipt.

Customers Who Viewed This Item Also Viewed...

NB120-13888
Species: Hu, Mu, Rt
Applications: ChIP, ChIP, CyTOF-ready, Flow, ICC/IF, IHC-WhMt, IHC, IHC-Fr,  IHC-P, KD, KO, WB
NB100-56519
Species: Bv, Hu, Mu, Po, Rt, Sh
Applications: ChIP, CyTOF-ready, Flow-IC, Flow, ICC/IF, IHC-FrFl, IHC, IHC-Fr,  IHC-P, IP, KD, Simple Western, WB
NB300-516
Species: Hu, Mu, Rt
Applications: ChIP, IHC,  IHC-P, KD, Simple Western, WB
NBP1-83280
Species: Hu, Mu, Rt
Applications: IHC,  IHC-P, KD, WB
NB200-587
Species: Hu, Mu, Ze
Applications: Flow, WB
292-G2
Species: Hu
Applications: BA
NB500-171
Species: Hu, I, Mu, Rt, Xp, Ye
Applications: ChIP, IB, ICC/IF, IHC,  IHC-P, Single-Cell Western, WB
AF1759
Species: Hu, Mu
Applications: ChIP, ICC, IP, Simple Western, WB
NBP2-52477
Species: Hu
Applications: CyTOF-ready, ELISA, Flow, IHC,  IHC-P, WB
NB300-514
Species: Bv, Hu, Mu, Pm, Rt
Applications: CyTOF-ready, ELISA, Flow, ICC/IF, IHC,  IHC-P, IP, WB
NB100-86989
Species: Hu, Mu
Applications: IHC,  IHC-P, IP, WB
NBP2-37398
Species: Hu
Applications: CyTOF-ready, ELISA, Flow, IHC,  IHC-P, WB
NBP2-03993
Species: Bv, Ca, Hu, Mu, Pm
Applications: WB
NBP1-89917
Species: Hu
Applications: ICC/IF, IHC,  IHC-P, WB
NBP2-14214
Species: Hu
Applications: IHC,  IHC-P
NB100-81657
Species: Hu, Mu
Applications: ChIP, IHC,  IHC-P, IP, WB

Publications for Dnmt3L Antibody (NBP2-39076) (0)

There are no publications for Dnmt3L Antibody (NBP2-39076).
By submitting your publication information earn gift cards and discounts for future purchases.

Review for Dnmt3L Antibody (NBP2-39076) (1) 41

Average Rating: 4
(Based on 1 review)
We have 1 review tested in 1 species: Human.

Reviews using NBP2-39076:
Filter by Applications
 IHC-P
(1)
All Applications
Filter by Species
Human
(1)
All Species
Images Ratings Applications Species Date Details
Immunohistochemistry-Paraffin Dnmt3L NBP2-39076
Enlarge
4
reviewed by:
Verified Customer
 IHC-P Human 08/03/2017
View

Summary

ApplicationImmunohistochemistry-Paraffin
Sample TestedProstate cancer tissue
SpeciesHuman
LotR102551

Product General Protocols

Find general support by application which include: protocols, troubleshooting, illustrated assays, videos and webinars.

FAQs for Dnmt3L Antibody (NBP2-39076) (0)

There are no specific FAQs related to this product. Read our general customer & technical service FAQs.

Secondary Antibodies

 

Isotype Controls

Additional Dnmt3L Products

Research Areas for Dnmt3L Antibody (NBP2-39076)

Find related products by research area.

Blogs on Dnmt3L.

The role of DNMT3B in the co-incidence of methyltransferase and tumor suppressor expression in malignancies
Epigenetics is the process of heritable change in gene activity despite alteration of the hosts DNA sequence, essentially causing a change in a phenotype without a change in the genotype of a host. To change the gene sequence without interfering w...  Read full blog post.

The role of DNMT3A in development
Epigenetics is the study of heritable change in gene activity despite alteration of the hosts DNA sequence.  Change in gene activity done independently of the DNA sequence is achieved by way of histone and DNA methylation.  Gene silencing in DNA ...  Read full blog post.

Customers Who Bought This Also Bought

Contact Information

Product PDFs

Calculators

Concentration Calculator

The concentration calculator allows you to quickly calculate the volume, mass or concentration of your vial. Simply enter your mass, volume, or concentration values for your reagent and the calculator will determine the rest.

=
÷

Recent Reviews

4
5
0
4
1
3
0
2
0
1
0

Verified Customer
08/03/2017
Application:  IHC-P
Species: Human

Bioinformatics

Gene Symbol DNMT3L
Uniprot