DNAJC17 Antibody - BSA Free

Images

 
Independent Antibodies: Western Blot: DNAJC17 Antibody [NBP1-84613] - Analysis using Anti-DNAJC17 antibody NBP1-84613 (A) shows similar pattern to independent antibody NBP1-84614 (B).
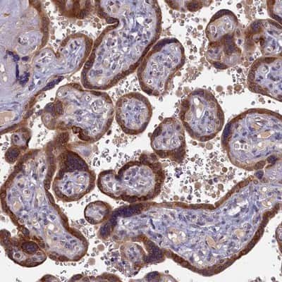
Immunohistochemistry-Paraffin: DNAJC17 Antibody [NBP1-84613] - Staining of human placenta shows strong cytoplasmic positivity in trophoblastic cells.

Product Details

Summary
Reactivity Hu, Mu, RtSpecies Glossary
Applications WB, IHC
Clonality
Polyclonal
Host
Rabbit
Conjugate
Unconjugated
Format
BSA Free
Validated by:
 

Independent Antibodies

       

Order Details

View Available Formulations
Catalog# & Formulation Size Price

DNAJC17 Antibody - BSA Free Summary

Description
Novus Biologicals Rabbit DNAJC17 Antibody - BSA Free (NBP1-84613) is a polyclonal antibody validated for use in IHC and WB. All Novus Biologicals antibodies are covered by our 100% guarantee.
Immunogen
This antibody was developed against Recombinant Protein corresponding to amino acids: NPRAAELFHQLSQALEVLTDAAARAAYDKVRKAKKQAAERTQKLDEKRKKVKLDLEARERQAQAQES
Predicted Species
Mouse (94%), Rat (94%). Backed by our 100% Guarantee.
Isotype
IgG
Clonality
Polyclonal
Host
Rabbit
Gene
DNAJC17
Purity
Immunogen affinity purified
Innovator's Reward
Test in a species/application not listed above to receive a full credit towards a future purchase.

Applications/Dilutions

Dilutions
  • Immunohistochemistry 1:200 - 1:500
  • Immunohistochemistry-Paraffin 1:200 - 1:500
  • Western Blot 0.04-0.4 ug/ml
Application Notes
For IHC-Paraffin, HIER pH 6 retrieval is recommended.
Control Peptide
DNAJC17 Protein (NBP1-84613PEP)

Packaging, Storage & Formulations

Storage
Store at 4C short term. Aliquot and store at -20C long term. Avoid freeze-thaw cycles.
Buffer
PBS (pH 7.2) and 40% Glycerol
Preservative
0.02% Sodium Azide
Purity
Immunogen affinity purified

Alternate Names for DNAJC17 Antibody - BSA Free

  • DnaJ (Hsp40) homolog, subfamily C, member 17
  • dnaJ homolog subfamily C member 17
  • FLJ10634

Limitations

This product is for research use only and is not approved for use in humans or in clinical diagnosis. Primary Antibodies are guaranteed for 1 year from date of receipt.

Customers Who Viewed This Item Also Viewed...

NBP2-76347
Species: Hu
Applications: Flow, IHC,  IHC-P, PEP-ELISA
NBP2-44501
Species: Hu, Mu, Rt
Applications: Flow, ICC/IF, IF, IHC,  IHC-P
NBP3-04784
Species: Hu, Mu, Rt
Applications: ELISA, ICC/IF, IHC,  IHC-P, WB
NBP2-32610
Species: Hu
Applications: IHC,  IHC-P
NB100-56745
Species: Hu, Mu
Applications: ChIP, ChIP, ICC/IF, IHC,  IHC-P, IP, WB
NBP2-03433
Species: Ca, Hu, Mu, Rt
Applications: Flow, ICC/IF, IHC,  IHC-P, WB
NBP2-38800
Species: Hu
Applications: IHC,  IHC-P
H00008681-M01
Species: Hu
Applications: ELISA, S-ELISA, WB
NBP2-88192
Species: Hu
Applications: IHC,  IHC-P, WB
NB500-317
Species: Bv(-), Ca(-), Ch(-), Hu, Mu(-), Rb(-)
Applications: ELISA, Flow, ICC/IF, IHC,  IHC-P, IP, RIA, WB
NB100-56340
Species: Hu, Mu, Rt
Applications: IHC, IHC-Fr,  IHC-P, KO, Simple Western, WB
NB300-221
Species: Av, Bv, Ca, Ch, ChHa, Dr, Eq, Fe, Ha, Hu, Mu, Ma-Op, Po, Pm, Rb, Rt, Sh, Ze
Applications: ChIP, ICC/IF, IHC, IHC-Fr, IP, KD, Simple Western, Single-Cell Western, WB
NBP2-31673
Species: Hu
Applications: ICC/IF, IHC,  IHC-P, WB
NBP1-77372
Species: Hu
Applications: ELISA, ICC/IF, IHC,  IHC-P, WB
NBP1-00129
Species: Hu
Applications: IHC,  IHC-P, PEP-ELISA, WB
MAB4184
Species: Hu, Mu
Applications: ICC, IP, WB
H00007690-M07
Species: Ca, Hu, Pm, Mu, Rt
Applications: ELISA, ICC/IF, IP, S-ELISA, WB
NBP1-32002
Species: Hu, Mu, Rt
Applications: ICC/IF, IHC,  IHC-P, IP, WB

Publications for DNAJC17 Antibody (NBP1-84613) (0)

There are no publications for DNAJC17 Antibody (NBP1-84613).
By submitting your publication information earn gift cards and discounts for future purchases.

Reviews for DNAJC17 Antibody (NBP1-84613) (0)

There are no reviews for DNAJC17 Antibody (NBP1-84613). By submitting a review you will receive an Amazon e-Gift Card or Novus Product Discount.
  • Review with no image -- $10/€7/£6/$10 CAD/¥70 Yuan/¥1110 Yen
  • Review with an image -- $25/€18/£15/$25 CAD/¥150 Yuan/¥2500 Yen

Product General Protocols

Find general support by application which include: protocols, troubleshooting, illustrated assays, videos and webinars.

Video Protocols

WB Video Protocol

FAQs for DNAJC17 Antibody (NBP1-84613) (0)

There are no specific FAQs related to this product. Read our general customer & technical service FAQs.

Customers Who Bought This Also Bought

Contact Information

Product PDFs

Calculators

Concentration Calculator

The concentration calculator allows you to quickly calculate the volume, mass or concentration of your vial. Simply enter your mass, volume, or concentration values for your reagent and the calculator will determine the rest.

=
÷

Review this Product

Be the first to review our DNAJC17 Antibody - BSA Free and receive a gift card or discount.

Bioinformatics

Gene Symbol DNAJC17