PLA2G4F Antibody - BSA Free

Images

 
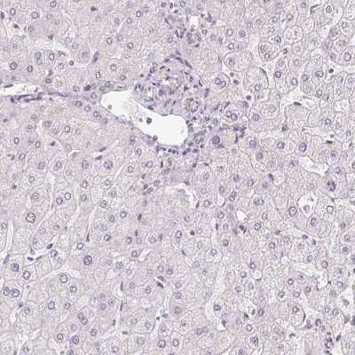
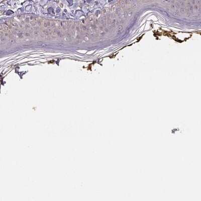
Orthogonal Strategies: Immunohistochemistry-Paraffin: PLA2G4F Antibody [NBP2-38800] - Staining in human skin and liver tissues using anti-PLA2G4F antibody. Corresponding PLA2G4F RNA-seq data are presented for the ...read more
Immunohistochemistry-Paraffin: PLA2G4F Antibody [NBP2-38800] - Staining of human skin shows high expression.
Immunohistochemistry-Paraffin: PLA2G4F Antibody [NBP2-38800] - Staining of human liver shows low expression as expected.

Product Details

Summary
Reactivity HuSpecies Glossary
Applications IHC
Clonality
Polyclonal
Host
Rabbit
Conjugate
Unconjugated
Format
BSA Free
Validated by:
       

Orthogonal Strategies

 

Order Details

View Available Formulations
Catalog# & Formulation Size Price

PLA2G4F Antibody - BSA Free Summary

Description
Novus Biologicals Rabbit PLA2G4F Antibody - BSA Free (NBP2-38800) is a polyclonal antibody validated for use in IHC. All Novus Biologicals antibodies are covered by our 100% guarantee.
Immunogen
This antibody was developed against a recombinant protein corresponding to amino acids: LVNRTFRTHLAPGVERQTAEEKAFGDFVINRPDTPYGMMNFTYEPQDFYRLVALSRYNVLNNVETLKCALQLALDRHQARERA
Isotype
IgG
Clonality
Polyclonal
Host
Rabbit
Gene
PLA2G4F
Purity
Immunogen affinity purified
Innovator's Reward
Test in a species/application not listed above to receive a full credit towards a future purchase.

Applications/Dilutions

Dilutions
  • Immunohistochemistry 1:500 - 1:1000
  • Immunohistochemistry-Paraffin 1:500 - 1:1000
Application Notes
For IHC-Paraffin, HIER pH 6 retrieval is recommended.
Control Peptide
PLA2G4F Protein (NBP2-38800PEP)

Packaging, Storage & Formulations

Storage
Store at 4C short term. Aliquot and store at -20C long term. Avoid freeze-thaw cycles.
Buffer
PBS (pH 7.2) and 40% Glycerol
Preservative
0.02% Sodium Azide
Purity
Immunogen affinity purified

Alternate Names for PLA2G4F Antibody - BSA Free

  • PLA2G4F phospholipase A2, group IVF
  • PLA2G4FZ

Limitations

This product is for research use only and is not approved for use in humans or in clinical diagnosis. Primary Antibodies are guaranteed for 1 year from date of receipt.

Customers Who Viewed This Item Also Viewed...

NBP3-04784
Species: Hu, Mu, Rt
Applications: ELISA, ICC/IF, IHC,  IHC-P, WB
H00151056-B01P
Species: Hu, Mu
Applications: WB
NB110-61576
Species: Ca, Hu, Mu, Po, Rt
Applications: ICC/IF, IHC,  IHC-P, KD, WB
NB600-717
Species: Bv
Applications: ELISA, ICC/IF, IHC, IHC-Fr,  IHC-P, RIA, RI, WB
AF2307
Species: Hu
Applications: ELISA(Cap), ELISA(Det), ELISA(Sta), WB
NBP2-32610
Species: Hu
Applications: IHC,  IHC-P
NB100-56745
Species: Hu, Mu
Applications: ChIP, ChIP, ICC/IF, IHC,  IHC-P, IP, WB
NBP1-84614
Species: Hu, Mu, Rt
Applications: ICC/IF, IHC,  IHC-P, KD, WB
MAB2669
Species: Hu
Applications: IHC, Simple Western, WB
H00008681-M01
Species: Hu
Applications: ELISA, S-ELISA, WB
NB500-317
Species: Bv(-), Ca(-), Ch(-), Hu, Mu(-), Rb(-)
Applications: ELISA, Flow, ICC/IF, IHC,  IHC-P, IP, RIA, WB
NBP1-89883
Species: Hu
Applications: IHC,  IHC-P, WB
NBP3-39370
Species: Hu
Applications: ELISA
NBP1-32002
Species: Hu, Mu, Rt
Applications: ICC/IF, IHC,  IHC-P, IP, WB
AF3798
Species: Hu, Mu, Rt
Applications: IHC, KO, Simple Western, WB
MAB5018
Species: Hu
Applications: IP, WB
AF1936
Species: Hu
Applications: IP, WB
NBP2-38800
Species: Hu
Applications: IHC

Publications for PLA2G4F Antibody (NBP2-38800) (0)

There are no publications for PLA2G4F Antibody (NBP2-38800).
By submitting your publication information earn gift cards and discounts for future purchases.

Reviews for PLA2G4F Antibody (NBP2-38800) (0)

There are no reviews for PLA2G4F Antibody (NBP2-38800). By submitting a review you will receive an Amazon e-Gift Card or Novus Product Discount.
  • Review with no image -- $10/€7/£6/$10 CAD/¥70 Yuan/¥1110 Yen
  • Review with an image -- $25/€18/£15/$25 CAD/¥150 Yuan/¥2500 Yen

Product General Protocols

Find general support by application which include: protocols, troubleshooting, illustrated assays, videos and webinars.

FAQs for PLA2G4F Antibody (NBP2-38800) (0)

There are no specific FAQs related to this product. Read our general customer & technical service FAQs.

Customers Who Bought This Also Bought

Contact Information

Product PDFs

Calculators

Concentration Calculator

The concentration calculator allows you to quickly calculate the volume, mass or concentration of your vial. Simply enter your mass, volume, or concentration values for your reagent and the calculator will determine the rest.

=
÷

Review this Product

Be the first to review our PLA2G4F Antibody - BSA Free and receive a gift card or discount.

Bioinformatics

Gene Symbol PLA2G4F
Uniprot