DIAPH-2 Antibody (CL1111) - Azide and BSA Free

Images

 
Staining of human fallopian tube shows strong cytoplasmic positivity in epithelial cells.
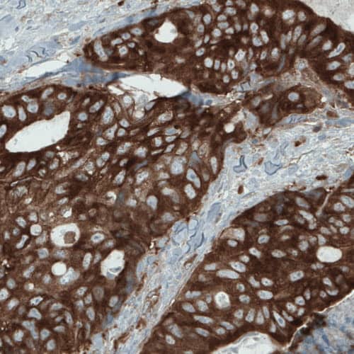
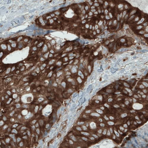
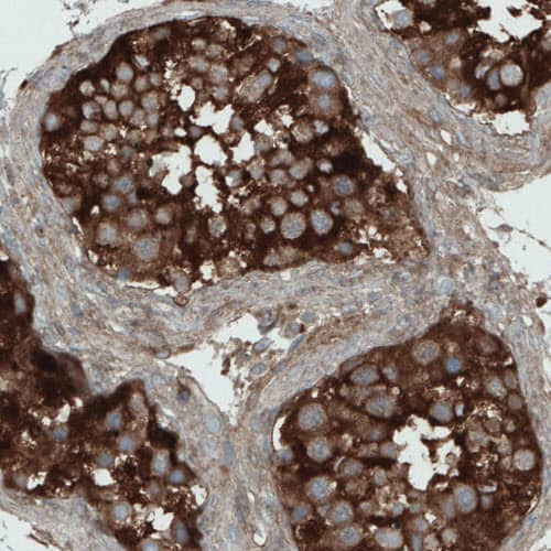
Staining of human colorectal cancer shows strong cytoplasmic immunoreactivity in tumor cells.
Staining of human placenta shows strong staining in the trophoblast.
Staining of human skeletal muscle shows absence of immunoreactivity (negative control).
Genetic Strategies: Analysis in U-251MG cells transfected with control siRNA, target specific siRNA probe #1 and #2, using Anti-DIAPH-2 antibody. Remaining relative intensity is presented. Loading control: ...read more
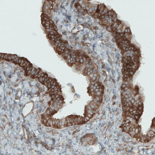
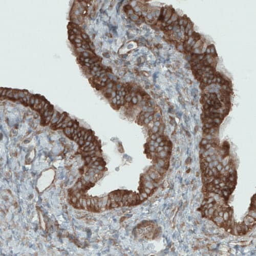
Staining of human uterus shows strong cytoplasmic immunoreactivity in glandular cells.
Staining of human testis shows strong cytoplasmic immunoreactivity in seminiferous tubules cells.

Product Details

Summary
Reactivity HuSpecies Glossary
Applications WB, IHC
Clone
CL1111
Clonality
Monoclonal
Host
Mouse
Conjugate
Unconjugated
Format
Azide and BSA Free
Concentration
LYOPH
Validated by:
     

Genetic Strategies

   

Order Details

DIAPH-2 Antibody (CL1111) - Azide and BSA Free Summary

Description
Novus Biologicals Mouse DIAPH-2 Antibody (CL1111) - Azide and BSA Free (NBP2-52966) is a monoclonal antibody validated for use in IHC and WB. All Novus Biologicals antibodies are covered by our 100% guarantee.
Immunogen
This antibody was generated using a recombinant protein sequence of O60879, with the exact immunogen sequence remaining proprietary.
Isotype
IgG1
Clonality
Monoclonal
Host
Mouse
Gene
DIAPH2
Purity
Protein A purified
Innovator's Reward
Test in a species/application not listed above to receive a full credit towards a future purchase.

Applications/Dilutions

Dilutions
  • Immunohistochemistry-Paraffin 1:500 - 1:1000
  • Western Blot 1 ug/ml
Application Notes
For IHC-Paraffin, HIER pH 6 retrieval is recommended.

Packaging, Storage & Formulations

Storage
Store at 4C short term. Aliquot and store at -20C long term. Avoid freeze-thaw cycles.
Buffer
Lyophilized from a 0.2 um filtered solution in PBS with Trehalose
Preservative
No Preservative
Concentration
LYOPH
Purity
Protein A purified
Reconstitution Instructions
Centrifuge the vial of lyophilized antibody at 12,000 x g for 20 seconds. Reconstitute by adding sterile, distilled water to achieve a final antibody concentration of 1mg/ml.

Alternate Names for DIAPH-2 Antibody (CL1111) - Azide and BSA Free

  • DIA2
  • DIAdiaphanous (Drosophila, homolog) 2
  • DIAPH2
  • DIAPH-2
  • diaphanous homolog 2 (Drosophila)
  • Diaphanous-related formin-2
  • diaphorase-2
  • DRF2
  • POF
  • POF2
  • POF2FLJ11167
  • protein diaphanous homolog 2

Background

DIAPH2 may play a role in the development and normal function of the ovaries. Mutations of this gene have been linked to premature ovarian failure. Alternative splicing results in two protein isoforms. Furthermore, each splice variant undergoes additional splicing in the 3' UTR. Overall 4 splice variants have been described.

Limitations

This product is for research use only and is not approved for use in humans or in clinical diagnosis. Primary Antibodies are guaranteed for 1 year from date of receipt.

Customers Who Viewed This Item Also Viewed...

NBP1-30475
Species: Hu, Mu
Applications: IHC,  IHC-P, IP, WB
NB600-231
Species: Hu
Applications: IHC,  IHC-P, KD, WB
NB100-1277
Species: Bv, Ma, Hu, Mu
Applications: ChIP, ICC/IF, IHC-WhMt, IHC, IHC-Fr,  IHC-P, PEP-ELISA, WB
7734-LF
Species: Hu
Applications: BA
NBP1-31302
Species: Hu, Mu, Rt
Applications: ICC/IF, IHC,  IHC-P, KO, WB
M6000B
Species: Mu
Applications: ELISA
NBP2-01770
Species: Ca, Hu, Pm, Mu, Rt
Applications: Flow, ICC/IF, IHC,  IHC-P, WB
H00081624-M01
Species: Hu
Applications: ELISA, ICC/IF, S-ELISA, WB
MAB1455
Species: Hu
Applications: CyTOF-ready, Dual ISH-IHC, ICC, IHC, ICFlow, Simple Western, WB
NBP2-38770
Species: Hu, Mu
Applications:  IHC-P, WB
NBP2-36489
Species: Hu
Applications: IHC,  IHC-P, WB
291-G1
Species: Hu
Applications: BA
NBP1-58359
Species: Hu
Applications: IHC,  IHC-P, WB
NBP2-02705
Species: Ca, Hu, Pm, Pm
Applications: Flow, IHC,  IHC-P, WB
NBP1-89522
Species: Hu, Mu, Rt
Applications: ICC/IF, IHC,  IHC-P, WB
H00342184-M07
Species: Hu
Applications: ELISA, ICC/IF, WB
NB100-56603
Species: Ca, Hu, Mu, Pm, Rt
Applications: IHC,  IHC-P, WB
NBP2-25160
Species: Bv, Ca, Eq, Hu, Mu, Po, Rt
Applications: ICC/IF, IHC, WB
NBP1-32259
Species: Hu, Mu, Rt
Applications: ICC/IF, IHC,  IHC-P, KO, WB

Publications for DIAPH-2 Antibody (NBP3-43934) (0)

There are no publications for DIAPH-2 Antibody (NBP3-43934).
By submitting your publication information earn gift cards and discounts for future purchases.

Reviews for DIAPH-2 Antibody (NBP3-43934) (0)

There are no reviews for DIAPH-2 Antibody (NBP3-43934). By submitting a review you will receive an Amazon e-Gift Card or Novus Product Discount.
  • Review with no image -- $10/€7/£6/$10 CAD/¥70 Yuan/¥1110 Yen
  • Review with an image -- $25/€18/£15/$25 CAD/¥150 Yuan/¥2500 Yen

Product General Protocols

Find general support by application which include: protocols, troubleshooting, illustrated assays, videos and webinars.

Video Protocols

WB Video Protocol

FAQs for DIAPH-2 Antibody (NBP3-43934) (0)

There are no specific FAQs related to this product. Read our general customer & technical service FAQs.

Secondary Antibodies

 

Isotype Controls

Additional DIAPH-2 Products

Research Areas for DIAPH-2 Antibody (NBP3-43934)

Find related products by research area.

Blogs on DIAPH-2

There are no specific blogs for DIAPH-2, but you can read our latest blog posts.

Customers Who Bought This Also Bought

Contact Information

Product PDFs

Calculators

Concentration Calculator

The concentration calculator allows you to quickly calculate the volume, mass or concentration of your vial. Simply enter your mass, volume, or concentration values for your reagent and the calculator will determine the rest.

=
÷

Review this Product

Be the first to review our DIAPH-2 Antibody (CL1111) - Azide and BSA Free and receive a gift card or discount.

Bioinformatics

Gene Symbol DIAPH2