| Reactivity | HuSpecies Glossary |
| Applications | WB, Simple Western, IHC, ICC/IF |
| Clone | 810811 |
| Clonality | Monoclonal |
| Host | Mouse |
| Conjugate | Unconjugated |
| Concentration | LYOPH |
| Immunogen | E. coli-derived recombinant human Cytokeratin 18 Ala239-Asp397 Accession # P05783 |
| Specificity | Detects human Cytokertin 18 in direct ELISAs and Western blots. |
| Source | N/A |
| Isotype | IgG1 |
| Clonality | Monoclonal |
| Host | Mouse |
| Gene | KRT18 |
| Innovator's Reward | Test in a species/application not listed above to receive a full credit towards a future purchase. |
| Dilutions |
|
||
| Application Notes | In Simple Western only 10-15 uL of the recommended dilution is used per data point. |
||
| Control |
|
||
| Reviewed Applications |
|
||
| Publications |
|
| Storage | Use a manual defrost freezer and avoid repeated freeze-thaw cycles.
|
| Buffer | Lyophilized from a 0.2 μm filtered solution in PBS with Trehalose. *Small pack size (SP) is supplied as a 0.2 µm filtered solution in PBS. |
| Preservative | No Preservative |
| Concentration | LYOPH |
| Reconstitution Instructions | Sterile PBS to a final concentration of 0.5 mg/mL. |
| Publication using MAB7619 | Applications | Species |
|---|---|---|
| W Li, X Zhang, J Wang, M Li, C Cao, J Tan, D Ma, Q Gao TGF?1 in fibroblasts-derived exosomes promotes epithelial-mesenchymal transition of ovarian cancer cells Oncotarget, 2017;8(56):96035-96047. 2017 [PMID: 29221185] (Flow Cytometry, Human) | Flow Cytometry | Human |
| Images | Ratings | Applications | Species | Date | Details | ||||||||
|---|---|---|---|---|---|---|---|---|---|---|---|---|---|
Enlarge |
reviewed by:
Anonymous |
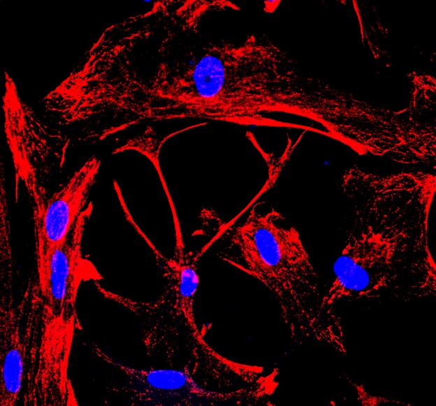
ICC | Human | 11/28/2016 |
Summary
|
Secondary Antibodies |
Isotype Controls |
| Alexa Fluor 488 | IC7619G | |
| Biotin | BAM7619 |
Diseases for Cytokeratin 18 Antibody (MAB7619)Discover more about diseases related to Cytokeratin 18 Antibody (MAB7619).
| Pathways for Cytokeratin 18 Antibody (MAB7619)View related products by pathway.
|
PTMs for Cytokeratin 18 Antibody (MAB7619)Learn more about PTMs related to Cytokeratin 18 Antibody (MAB7619).
|
|
Cytokeratin 18 - A Intermediate Filament Cyotskeletal Component Keratins, also called cytokeratins, are a family of filamentous structural proteins that form the intermediate filaments within epithelial cells. Keratins are differentially expressed depending on both the epithelial cell origin and degree of differen... Read full blog post. |

The concentration calculator allows you to quickly calculate the volume, mass or concentration of your vial. Simply enter your mass, volume, or concentration values for your reagent and the calculator will determine the rest.