Cytokeratin 13 Antibody (KRT13/2850) - Azide and BSA Free

Images

 
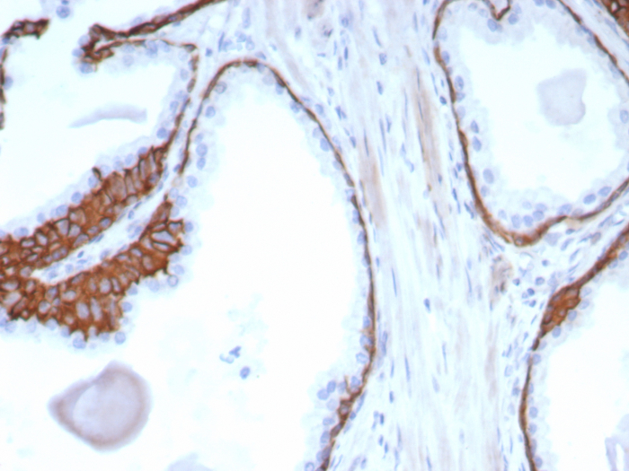
Formalin-fixed, paraffin-embedded human prostate carcinoma stained with Cytokeratin 13 antibody (KRT13/2850). HIER: Tris/EDTA, pH9.0, 45min. Secondary: HRP-polymer, 30min. DAB, 5min.

Product Details

Summary
Reactivity Hu, Mu, Rt, RbSpecies Glossary
Applications WB, ICC/IF, IHC
Clone
KRT13/2850
Clonality
Monoclonal
Host
Mouse
Conjugate
Unconjugated
Format
Azide and BSA Free
Concentration
1 mg/ml

Order Details

Cytokeratin 13 Antibody (KRT13/2850) - Azide and BSA Free Summary

Description
1.0 mg/ml of antibody purified from Bioreactor Concentrate by Protein A/G. Prepared in 10mM PBS WITHOUT BSA & azide. Also available at 200 ug/ml WITH BSA & azide (NBP3-07848).

Antibody with azide - store at 2 to 8C. Antibody without azide - store at -20 to -80 C.
Immunogen
esophageal keratins of rabbit origin
Localization
Cytoplasmic
Marker
Non-Keratinized Squamous Epithelial Marker
Isotype
IgG1 Kappa
Clonality
Monoclonal
Host
Mouse
Gene
KRT13
Purity
Protein A or G purified
Innovator's Reward
Test in a species/application not listed above to receive a full credit towards a future purchase.

Applications/Dilutions

Dilutions
  • Immunocytochemistry/ Immunofluorescence 1-2 ug/ml
  • Immunohistochemistry
  • Immunohistochemistry-Paraffin
  • Western Blot 1-2 ug/ml
Application Notes
Immunohistochemistry Formalin-fixed: 1-2ug/ml for 30 minutes at RT. Staining of formalin-fixed tissues requires heating tissue sections in 10mM Tris with 1mM EDTA, pH 9.0, for 45 min at 95C followed by cooling at RT for 20 minutes. Optimal dilution for a specific application should be determined.
Theoretical MW
52 kDa.
Disclaimer note: The observed molecular weight of the protein may vary from the listed predicted molecular weight due to post translational modifications, post translation cleavages, relative charges, and other experimental factors.

Packaging, Storage & Formulations

Storage
Store at -20 to -80C. Avoid freeze-thaw cycles.
Buffer
10 mM PBS
Preservative
No Preservative
Concentration
1 mg/ml
Purity
Protein A or G purified

Alternate Names for Cytokeratin 13 Antibody (KRT13/2850) - Azide and BSA Free

  • CK13
  • CK-13
  • cytokeratin 13
  • Cytokeratin-13
  • K13cytokeratin-13
  • keratin 13
  • keratin, type I cytoskeletal 13
  • keratin-13
  • MGC161462
  • MGC3781

Limitations

This product is for research use only and is not approved for use in humans or in clinical diagnosis. Primary Antibodies are guaranteed for 1 year from date of receipt.

Customers Who Viewed This Item Also Viewed...

NBP2-34270
Species: Hu, Mu, Rt
Applications: Flow, ICC/IF, IHC, IHC-Fr,  IHC-P, Simple Western
NB100-687
Species: Hu, Mu, Rt
Applications: Flow, ICC/IF, IHC,  IHC-P, Simple Western, WB
NBP2-61736
Species: Hu, Pm, Mu, Rt
Applications: ELISA, Flow, IHC,  IHC-P, WB
NBP3-15243
Species: Hu, Mu, Rt
Applications: ICC/IF, IHC,  IHC-P, WB
NBP2-16094
Species: Hu, Mu, Ze
Applications: ICC/IF, IHC-WhMt, IHC,  IHC-P, KO, WB
NBP2-29429
Species: Bv, Ca, Ch, Hu, Pm, Mu, Rb, Rt, Re, Ze
Applications: CyTOF-reported, Dual ISH-IHC, Flow-IC, Flow, ICC/IF, IHC, IHC-Fr,  IHC-P, Single-Cell Western, WB
NBP2-47940
Species: Hu
Applications: CyTOF-ready, Flow, ICC/IF, IF, IHC,  IHC-P, Simple Western, WB
NBP2-61931
Species: Hu, Rt
Applications: Flow, ICC/IF, IHC,  IHC-P, WB
NBP2-67559
Species: Hu
Applications: Flow, ICC/IF, IHC,  IHC-P, WB
NBP1-85630
Species: Hu
Applications: IHC,  IHC-P, WB
NBP1-85632
Species: Hu
Applications: ICC/IF, IHC,  IHC-P
NB100-2727
Species: Ca, Hu, Po, Pm
Applications: CyTOF-ready, Flow, ICC/IF, IHC,  IHC-P, IP, WB
MAB7619
Species: Hu
Applications: ICC, IHC, Simple Western, WB
NB300-223
Species: Bv, Ca, Ch, Eq, Hu, Mu, Po, Rt
Applications: ICC/IF, IHC, IHC-Fr,  IHC-P, WB
NBP2-29421
Species: Bv, Gt, Hu, Po, Rt
Applications: Flow, ICC/IF, IHC, IHC-Fr,  IHC-P, WB
NBP2-67309
Species: Hu, Rt
Applications: Flow, ICC/IF, IHC,  IHC-P, IP, WB
NBP3-13937
Species: Hu
Applications: ELISA, Flow, ICC/IF,  IHC-P, IP, PA, WB
NBP2-79718
Species: Hu
Applications: ICC/IF, IHC,  IHC-P, PA, WB
7559-ST
Species: Hu
Applications: BA
NBP3-08288
Species: Hu, Mu, Rt, Rb
Applications: WB, ICC/IF, IHC

Publications for Cytokeratin 13 Antibody (NBP3-08288) (0)

There are no publications for Cytokeratin 13 Antibody (NBP3-08288).
By submitting your publication information earn gift cards and discounts for future purchases.

Reviews for Cytokeratin 13 Antibody (NBP3-08288) (0)

There are no reviews for Cytokeratin 13 Antibody (NBP3-08288). By submitting a review you will receive an Amazon e-Gift Card or Novus Product Discount.
  • Review with no image -- $10/€7/£6/$10 CAD/¥70 Yuan/¥1110 Yen
  • Review with an image -- $25/€18/£15/$25 CAD/¥150 Yuan/¥2500 Yen

Product General Protocols

Find general support by application which include: protocols, troubleshooting, illustrated assays, videos and webinars.

Video Protocols

WB Video Protocol
ICC/IF Video Protocol

FAQs for Cytokeratin 13 Antibody (NBP3-08288) (0)

There are no specific FAQs related to this product. Read our general customer & technical service FAQs.

Secondary Antibodies

 

Isotype Controls

Additional Cytokeratin 13 Products

Research Areas for Cytokeratin 13 Antibody (NBP3-08288)

Find related products by research area.

Blogs on Cytokeratin 13

There are no specific blogs for Cytokeratin 13, but you can read our latest blog posts.

Customers Who Bought This Also Bought

Contact Information

Product PDFs

Calculators

Concentration Calculator

The concentration calculator allows you to quickly calculate the volume, mass or concentration of your vial. Simply enter your mass, volume, or concentration values for your reagent and the calculator will determine the rest.

=
÷

Review this Product

Be the first to review our Cytokeratin 13 Antibody (KRT13/2850) - Azide and BSA Free and receive a gift card or discount.

Bioinformatics

Gene Symbol KRT13