Cyclin B1 Antibody (CCNB1/9242R) - Azide and BSA Free

Images

 
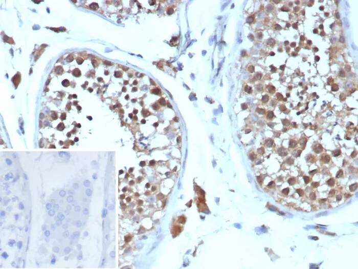
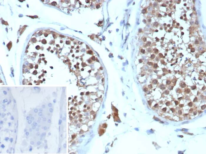
Immunohistochemistry-Paraffin: Cyclin B1 Antibody (CCNB1/9242R) - Azide and BSA Free [NBP3-24309] - Formalin-fixed, paraffin-embedded human testis stained with Cyclin B1 Antibody (CCNB1/9242R). Inset: PBS instead of ...read more

Product Details

Summary
Reactivity HuSpecies Glossary
Applications IHC
Clone
CCNB1/9242R
Clonality
Monoclonal
Host
Rabbit
Conjugate
Unconjugated
Format
Azide and BSA Free
Concentration
1 mg/ml

Order Details

Cyclin B1 Antibody (CCNB1/9242R) - Azide and BSA Free Summary

Description
Antibody without azide - store at -20 to -80C.
Additional Information
Recombinant Monoclonal Antibody
Immunogen
His-tagged recombinant hamster Cyclin B1 protein
Localization
Cytoplasm.
Isotype
IgG Kappa
Clonality
Monoclonal
Host
Rabbit
Gene
CCNB1
Purity
Protein A or G purified
Innovator's Reward
Test in a species/application not listed above to receive a full credit towards a future purchase.

Applications/Dilutions

Dilutions
  • Immunohistochemistry-Paraffin 1-2ug/ml
Application Notes
Immunohistochemistry-Paraffin: 1-2ug/ml for 30 minutes at RT. Staining of formalin-fixed tissues requires heating tissue sections in 10mM Tris with 1mM EDTA, pH 9.0, for 45 min at 95C followed by cooling at RT for 20 minutes. Optimal dilution for a specific application should be determined.

Packaging, Storage & Formulations

Storage
Store at -20 to -80C. Avoid freeze-thaw cycles.
Buffer
10mM PBS
Preservative
No Preservative
Concentration
1 mg/ml
Purity
Protein A or G purified

Alternate Names for Cyclin B1 Antibody (CCNB1/9242R) - Azide and BSA Free

  • CCNB
  • CCNB1
  • Cyclin B1
  • G2/mitotic-specific cyclin B1
  • G2/mitotic-specific cyclin-B1

Limitations

This product is for research use only and is not approved for use in humans or in clinical diagnosis. Primary Antibodies are guaranteed for 1 year from date of receipt.

Customers Who Viewed This Item Also Viewed...

NBP1-85729
Species: Hu, Mu, Rt
Applications: ICC/IF, IHC,  IHC-P, WB
NBP2-29463
Species: Pm, Hu, Pm, Mu
Applications: Flow, ICC/IF, IHC,  IHC-P, WB
NBP2-33466
Species: Hu
Applications: ICC/IF, IHC,  IHC-P, WB
NB200-103
Species: Hu, Mu, Rt, Xp(-), Ye
Applications: CyTOF-ready, ELISA, Flow-IC, Flow, ICC/IF, IHC, IHC-Fr,  IHC-P, IP, WB
NBP2-46085
Species: Hu
Applications: IHC,  IHC-P, WB
H00027065-M01
Species: Hu, Rt
Applications: ELISA, ICC/IF, S-ELISA, WB
NBP2-32840
Species: Hu, Pm, Mu, Rt
Applications: Flow, ICC/IF, IHC,  IHC-P, WB
NBP2-00776
Species: Ca, Hu, Pm, Mu, Rt
Applications: Flow, ICC/IF, IHC,  IHC-P, WB
NB500-106
Species: Ch, Dr, Fi, Hu, Mar, Mu, Po, Pm, Rb, Rt, Ye, Ze
Applications: ChIP, ChIP, ELISA, Flow, ICC/IF, IHC-FrFl, IHC, IHC-Fr,  IHC-P, IP, Simple Western, WB
MAB4459
Species: Hu, Mu, Rt
Applications: WB
NB100-56098
Species: Ca, Hu, Mu, Rt
Applications: IHC,  IHC-P, IP, WB
AF6897
Species: Hu, Mu
Applications: IHC, Simple Western, WB
NBP1-31308
Species: Bv, Hu, Mu, Rt
Applications: ICC/IF, IHC,  IHC-P, Simple Western, WB
NBP1-48291
Species: Hu, Mu, Rt
Applications: Flow, IHC,  IHC-P, IP, WB
AF820
Species: Hu, Mu
Applications: ICC, IHC, KO, Simple Western, WB
NBP1-90949
Species: Hu
Applications: IHC,  IHC-P, WB
NBP1-80616
Species: Hu, Mu, Rt
Applications: IHC,  IHC-P, WB
NBP2-03198
Species: Hu
Applications: Flow, ICC/IF, IHC,  IHC-P, WB
NBP3-24309
Species: Hu
Applications: IHC

Publications for Cyclin B1 Antibody (NBP3-24309) (0)

There are no publications for Cyclin B1 Antibody (NBP3-24309).
By submitting your publication information earn gift cards and discounts for future purchases.

Reviews for Cyclin B1 Antibody (NBP3-24309) (0)

There are no reviews for Cyclin B1 Antibody (NBP3-24309). By submitting a review you will receive an Amazon e-Gift Card or Novus Product Discount.
  • Review with no image -- $10/€7/£6/$10 CAD/¥70 Yuan/¥1110 Yen
  • Review with an image -- $25/€18/£15/$25 CAD/¥150 Yuan/¥2500 Yen

Product General Protocols

Find general support by application which include: protocols, troubleshooting, illustrated assays, videos and webinars.

FAQs for Cyclin B1 Antibody (NBP3-24309) (0)

There are no specific FAQs related to this product. Read our general customer & technical service FAQs.

Customers Who Bought This Also Bought

Contact Information

Product PDFs

Calculators

Concentration Calculator

The concentration calculator allows you to quickly calculate the volume, mass or concentration of your vial. Simply enter your mass, volume, or concentration values for your reagent and the calculator will determine the rest.

=
÷

Review this Product

Be the first to review our Cyclin B1 Antibody (CCNB1/9242R) - Azide and BSA Free and receive a gift card or discount.

Bioinformatics

Gene Symbol CCNB1