CS Citrate Synthase Antibody (CL2553) - Azide and BSA Free

Images

 
Lane 1: Marker [kDa]Lane 2:Human cell line U-251 MG
Staining in A431 cell line with Anti-CS Citrate Synthase monoclonal antibody) .
Staining in HeLa cell line with Anti-CS Citrate Synthase monoclonal antibody) .
Staining in U2OS cell line with Anti-CS Citrate Synthase monoclonal antibody) .
Staining in U251 cell line with Anti-CS Citrate Synthase monoclonal antibody) .
Orthogonal Strategies: Analysis in human heart muscle and liver tissues using NBP3-44451 antibody. Corresponding CS Citrate Synthase RNA-seq data are presented for the same tissues.
Staining in MCF7 cell line with Anti-CS Citrate Synthase monoclonal antibody) .
Staining of human kidney shows strong cytoplasmic positivity in cells in tubules.
Staining of human heart muscle shows strong cytoplasmic positivity in cardiomyocytes.
Staining of human liver shows no positivity in hepatocytes as expected.
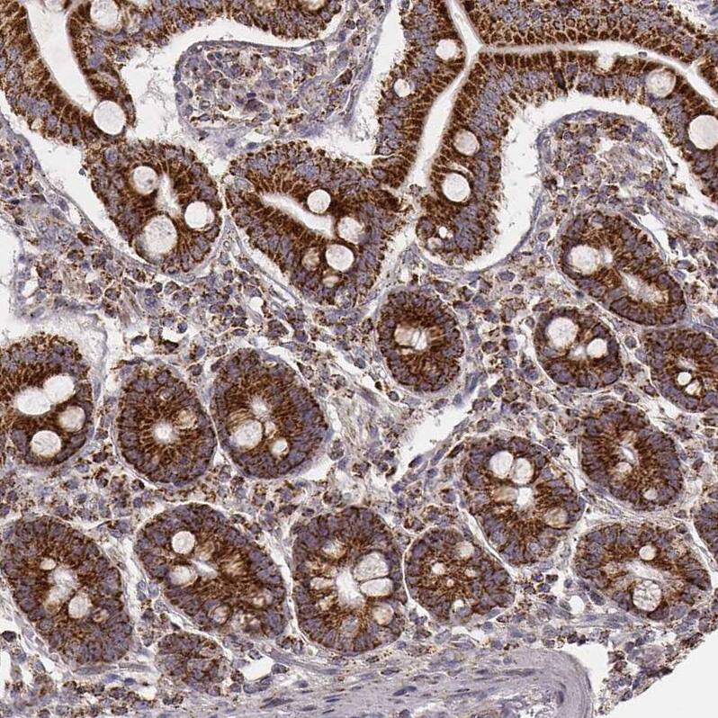
Staining of human small intestine shows strong cytoplasmic positivity in glandular cells.

Product Details

Summary
Reactivity HuSpecies Glossary
Applications WB, ICC/IF, IHC
Clone
CL2553
Clonality
Monoclonal
Host
Mouse
Conjugate
Unconjugated
Format
Azide and BSA Free
Concentration
LYOPH
Validated by:
       

Orthogonal Strategies

 

Order Details

CS Citrate Synthase Antibody (CL2553) - Azide and BSA Free Summary

Description
Novus Biologicals Mouse CS Citrate Synthase Antibody (CL2553) - Azide and BSA Free (NBP2-36773) is a monoclonal antibody validated for use in IHC, WB and ICC/IF. All Novus Biologicals antibodies are covered by our 100% guarantee.
Immunogen
This antibody was generated using a recombinant protein sequence of O75390, with the exact immunogen sequence remaining proprietary.
Isotype
IgG1
Clonality
Monoclonal
Host
Mouse
Gene
CS
Purity
Protein A purified
Innovator's Reward
Test in a species/application not listed above to receive a full credit towards a future purchase.

Applications/Dilutions

Dilutions
  • Immunocytochemistry/ Immunofluorescence 2-10 ug/ml
  • Immunohistochemistry-Paraffin 1:1000 - 1:2500
  • Western Blot 1 ug/ml
Application Notes
For IHC-Paraffin, HIER pH 6 retrieval is recommended. Immunocytochemistry/Immunofluorescence Fixation Permeabilization: Use PFA/Triton X-100.

Packaging, Storage & Formulations

Storage
Store at 4C short term. Aliquot and store at -20C long term. Avoid freeze-thaw cycles.
Buffer
Lyophilized from a 0.2 um filtered solution in PBS with Trehalose
Preservative
No Preservative
Concentration
LYOPH
Purity
Protein A purified
Reconstitution Instructions
Centrifuge the vial of lyophilized antibody at 12,000 x g for 20 seconds. Reconstitute by adding sterile, distilled water to achieve a final antibody concentration of 1mg/ml.

Alternate Names for CS Citrate Synthase Antibody (CL2553) - Azide and BSA Free

  • citrate (Si)-synthase
  • citrate synthase
  • citrate synthase, mitochondrial
  • CS Citrate Synthase
  • EC 2.3.3
  • EC 2.3.3.1

Background

The protein encoded by the CS Citrate Synthase gene is a Krebs tricarboxylic acid cycle enzyme that catalyzes the synthesis of citratefrom oxaloacetate and acetyl coenzyme A. The enzyme is found in nearly all cells capable of oxidative metablism. Thisprotein is nuclear encoded and transported into the mitochondrial matrix, where the mature form is found. (provided byRefSeq)

Limitations

This product is for research use only and is not approved for use in humans or in clinical diagnosis. Primary Antibodies are guaranteed for 1 year from date of receipt.

Customers Who Viewed This Item Also Viewed...

MAB1417
Species: Bv, Hu, Mu
Applications: ICC, IHC
NB100-56503
Species: Dr, Hu, Mu, Rb, Rt
Applications: Flow-CS, Flow-IC, Flow, IB, ICC/IF, IHC,  IHC-P, Simple Western, WB
NBP1-32398
Species: Hu, Mu, Rt
Applications: ICC/IF, IHC,  IHC-P, IP, KD, WB
NBP1-89559
Species: Hu
Applications: IHC,  IHC-P, WB
NBP3-05078
Species: Hu, Mu, Rt
Applications: ICC/IF, IHC,  IHC-P, WB
AF3398
Species: Hu, Mu, Rt
Applications: ICC, KO, Simple Western, WB
NBP1-87964
Species: Hu
Applications: IHC,  IHC-P
NBP1-82648
Species: Hu
Applications: ICC/IF, IHC,  IHC-P, WB
NBP1-86687
Species: Hu
Applications: IHC,  IHC-P, WB
NB100-1533
Species: Hu, Mu, Po, Rt, Sh
Applications: Flow, ICC/IF, IHC,  IHC-P, PEP-ELISA, WB
M6000B
Species: Mu
Applications: ELISA
NBP1-86616
Species: Hu
Applications: IHC,  IHC-P, WB
NBP2-23603
Species: Hu, Mu
Applications: ICC/IF, IHC,  IHC-P, WB
H00003033-M01
Species: Hu
Applications: ELISA, ICC/IF, IHC,  IHC-P, IP, WB
NBP2-58917
Species: Hu
Applications: IHC,  IHC-P, WB
H00003845-M01
Species: Hu, Mu
Applications: ELISA, ICC/IF, IP, WB
AF1638
Species: Hu, Mu, Rt
Applications: ICC, Simple Western, WB
NBP1-32899
Species: Hu, Mu, Rt
Applications: ICC/IF, IHC,  IHC-P, WB
NBP3-41339
Species: Hu, Mu, Rt
Applications: IHC,  IHC-P, WB

Publications for CS Citrate Synthase Antibody (NBP3-44451) (0)

There are no publications for CS Citrate Synthase Antibody (NBP3-44451).
By submitting your publication information earn gift cards and discounts for future purchases.

Reviews for CS Citrate Synthase Antibody (NBP3-44451) (0)

There are no reviews for CS Citrate Synthase Antibody (NBP3-44451). By submitting a review you will receive an Amazon e-Gift Card or Novus Product Discount.
  • Review with no image -- $10/€7/£6/$10 CAD/¥70 Yuan/¥1110 Yen
  • Review with an image -- $25/€18/£15/$25 CAD/¥150 Yuan/¥2500 Yen

Product General Protocols

Find general support by application which include: protocols, troubleshooting, illustrated assays, videos and webinars.

Video Protocols

WB Video Protocol
ICC/IF Video Protocol

FAQs for CS Citrate Synthase Antibody (NBP3-44451) (0)

There are no specific FAQs related to this product. Read our general customer & technical service FAQs.

Secondary Antibodies

 

Isotype Controls

Additional CS Citrate Synthase Products

Research Areas for CS Citrate Synthase Antibody (NBP3-44451)

Find related products by research area.

Blogs on CS Citrate Synthase

There are no specific blogs for CS Citrate Synthase, but you can read our latest blog posts.

Customers Who Bought This Also Bought

Contact Information

Product PDFs

Calculators

Concentration Calculator

The concentration calculator allows you to quickly calculate the volume, mass or concentration of your vial. Simply enter your mass, volume, or concentration values for your reagent and the calculator will determine the rest.

=
÷

Review this Product

Be the first to review our CS Citrate Synthase Antibody (CL2553) - Azide and BSA Free and receive a gift card or discount.

Bioinformatics

Gene Symbol CS