CRM1 Antibody (JB35-22)

Images

 
Western Blot: CRM1 Antibody (JB35-22) [NBP2-75448] - Analysis of CRM1 on different lysates. Proteins were transferred to a PVDF membrane and blocked with 5% NFDM/TBST in PBS for 1 hour at room temperature. The primary ...read more
Immunocytochemistry/ Immunofluorescence: CRM1 Antibody (JB35-22) [NBP2-75448] - Staining CRM1 in A431 cells (green). The nuclear counter stain is DAPI (blue). Cells were fixed in paraformaldehyde, permeabilised with ...read more
Immunohistochemistry-Paraffin: CRM1 Antibody (JB35-22) [NBP2-75448] - Analysis of paraffin-embedded human lymph node tissue with Rabbit anti-CRM1 antibody washed with ddH2O and PBS, and then probed with the primary ...read more
Flow Cytometry: CRM1 Antibody (JB35-22) [NBP2-75448] - Analysis of K562 cells with CRM1 antibody at 1/100 dilution (red) compared with an unlabelled control (cells without incubation with primary antibody; black). Alexa ...read more
Western Blot: CRM1 Antibody (JB35-22) [NBP2-75448] - Analysis of CRM1 on 293T and Hela cell lysates using anti-CRM1 antibody at 1/500 dilution.
Immunocytochemistry/ Immunofluorescence: CRM1 Antibody (JB35-22) [NBP2-75448] - Staining CRM1 in LOVO cells (green). The nuclear counter stain is DAPI (blue). Cells were fixed in paraformaldehyde, permeabilised with ...read more
Immunocytochemistry/ Immunofluorescence: CRM1 Antibody (JB35-22) [NBP2-75448] - Staining CRM1 in SiHa cells (green). The nuclear counter stain is DAPI (blue). Cells were fixed in paraformaldehyde, permeabilised with ...read more
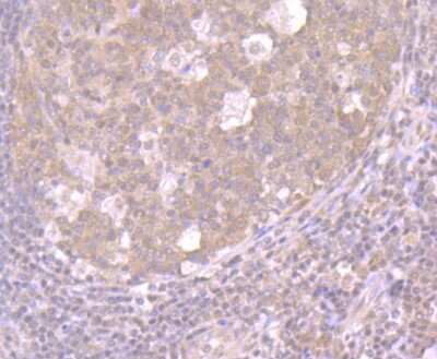
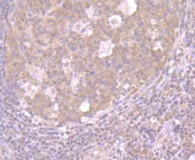
Immunohistochemistry-Paraffin: CRM1 Antibody (JB35-22) [NBP2-75448] - Analysis of paraffin-embedded human tonsil tissue using anti-CRM1 antibody. Counter stained with hematoxylin.
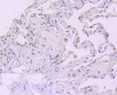
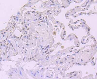
Immunohistochemistry-Paraffin: CRM1 Antibody (JB35-22) [NBP2-75448] - Analysis of paraffin-embedded human lung cancer tissue using anti-CRM1 antibody. Counter stained with hematoxylin.
Immunohistochemistry-Paraffin: CRM1 Antibody (JB35-22) [NBP2-75448] - Analysis of paraffin-embedded mouse skeletal muscle tissue using anti-CRM1 antibody. Counter stained with hematoxylin.
Immunohistochemistry-Paraffin: CRM1 Antibody (JB35-22) [NBP2-75448] - Analysis of paraffin-embedded rat skeletal muscle tissue using anti-CRM1 antibody. Counter stained with hematoxylin.
Immunohistochemistry-Paraffin: CRM1 Antibody (JB35-22) [NBP2-75448] - Analysis of paraffin-embedded human lung carcinoma tissue with Rabbit anti-CRM1 antibody washed with ddH2O and PBS, and then probed with the primary ...read more
Immunohistochemistry-Paraffin: CRM1 Antibody (JB35-22) [NBP2-75448] - Analysis of paraffin-embedded mouse skeletal muscle tissue with Rabbit anti-CRM1 antibody washed with ddH2O and PBS, and then probed with the primary ...read more

Product Details

Summary
Product Discontinued
View other related CRM1 Primary Antibodies

Order Details


    • Catalog Number
      NBP2-75448
    • Availability
      Product Discontinued

    Can't find what you are looking for? Use our Antibody Concierge Service & we will help you locate your antibody!

    Or feel free to contact us for alternative products.

CRM1 Antibody (JB35-22) Summary

Additional Information
Recombinant Monoclonal Antibody.
Immunogen
Recombinant protein within C-terminal Human CRM1. (SwissProt: O14980 Human; SwissProt: Q6P5F9 Mouse; SwissProt: Q80U96 Rat)
Localization
Nucleus. Cytoplasm.
Isotype
IgG
Clonality
Monoclonal
Host
Rabbit
Gene
XPO1
Purity
Protein A purified
Innovator's Reward
Test in a species/application not listed above to receive a full credit towards a future purchase.

Applications/Dilutions

Dilutions
  • Flow Cytometry 1:50-1:100
  • Immunocytochemistry/ Immunofluorescence 1:50-1:200
  • Immunohistochemistry
  • Immunohistochemistry-Paraffin 1:50-1:400
  • Western Blot 1:500
Theoretical MW
123 kDa.
Disclaimer note: The observed molecular weight of the protein may vary from the listed predicted molecular weight due to post translational modifications, post translation cleavages, relative charges, and other experimental factors.

Packaging, Storage & Formulations

Storage
Store at 4C short term. Aliquot and store at -20C long term. Avoid freeze-thaw cycles.
Buffer
TBS (pH7.4), 0.05% BSA, 40% Glycerol
Preservative
0.05% Sodium Azide
Concentration
1 mg/ml
Purity
Protein A purified

Alternate Names for CRM1 Antibody (JB35-22)

  • Chromosome region maintenance 1 protein homolog
  • DKFZp686B1823
  • emb
  • exp1
  • exportin 1 (CRM1 homolog, yeast)
  • exportin 1 (CRM1, yeast, homolog)
  • Exportin-1 (required for chromosome region maintenance)
  • exportin-1
  • yeast, homolog

Background

Official Gene Symbol: XPO1 Gen Bank Accession Number: NP_003391 Gene ID: 7514 (human) Gene Map Locus: 2p16 (human) Nuclear transport receptors of karyopherin/importin-beta superfamily mediate various transport pathways between nucleus and cytoplasm. Exportin-1, a human homolog of yeast CRM1, is a novel karyopherin export receptor that mediates leucine-rich NES-dependent protein export. It interacts with RanGTP through its Ran-binding domain and also with nucleoporins including Nup214, Nup50, Nup42 and Nup159 during the process of exporting NES-containing proteins. It mediates the export of many cellular and viral proteins and ribonucleoproteins including HIV Rev Protein, ERK3, PKI, IRF-5, Cyclin-B, MAPKK, MAPKAP kinase 2, Snurportin, Cap-binding protein, and certain U snRNAs. Reports suggest exportin-1 also has a role in the regulation of NFAT and AP-1.

Limitations

This product is for research use only and is not approved for use in humans or in clinical diagnosis. Primary Antibodies are guaranteed for 1 year from date of receipt.

Customers Who Viewed This Item Also Viewed...

MAB1259
Species: Hu
Applications: CyTOF-reported, ICC, ICFlow
NBP2-61832
Species: Hu, Pm, Mu, Rt
Applications: ELISA, Flow, ICC/IF, IHC,  IHC-P, WB
NBP3-03329
Species: Hu, Mu, Rt
Applications: IHC,  IHC-P, WB
NBP1-30032
Species: Bv, Ca, Fe, Hu, Mu, Xp
Applications: ICC/IF, IHC, IHC-Fr, KO, WB
NBP1-79413
Species: Hu
Applications: WB
NB120-2938
Species: Bv, Hu, Mu
Applications: IHC,  IHC-P, WB
NB200-103
Species: Hu, Mu, Rt, Xp(-), Ye
Applications: CyTOF-ready, ELISA, Flow-IC, Flow, ICC/IF, IHC, IHC-Fr,  IHC-P, IP, WB
NBP2-52553
Species: Hu
Applications: CyTOF-ready, ELISA, Flow, WB
NBP2-56413
Species: Hu
Applications: ICC/IF, IP, WB
H00001434-M08
Species: Hu, Mu
Applications: ELISA, ICC/IF, IHC,  IHC-P, WB
NB100-79814
Species: Hu, Mu
Applications: IHC,  IHC-P, IP, WB
NB100-2244
Species: Hu
Applications: IHC,  IHC-P, IP, WB
NBP1-31649
Species: Hu
Applications: ICC/IF, IHC,  IHC-P, WB
AF1555
Species: Hu
Applications: WB
NB110-61646
Species: Hu, Mu
Applications: ICC/IF, IHC,  IHC-P, IP, WB
202-IL
Species: Hu
Applications: BA
NBP2-29463
Species: Pm, Hu, Pm, Mu
Applications: Flow, ICC/IF, IHC,  IHC-P, WB
NBP1-31101
Species: Hu
Applications: ICC/IF, IHC,  IHC-P, WB
H00057510-M01
Species: Hu
Applications: ELISA, ICC/IF, IP, S-ELISA, WB
NBP2-75448
Species: Hu, Mu, Rt
Applications: WB, Flow, ICC/IF, IHC

Publications for CRM1 Antibody (NBP2-75448) (0)

There are no publications for CRM1 Antibody (NBP2-75448).
By submitting your publication information earn gift cards and discounts for future purchases.

Reviews for CRM1 Antibody (NBP2-75448) (0)

There are no reviews for CRM1 Antibody (NBP2-75448). By submitting a review you will receive an Amazon e-Gift Card or Novus Product Discount.
  • Review with no image -- $10/€7/£6/$10 CAD/¥70 Yuan/¥1110 Yen
  • Review with an image -- $25/€18/£15/$25 CAD/¥150 Yuan/¥2500 Yen

Product General Protocols

Find general support by application which include: protocols, troubleshooting, illustrated assays, videos and webinars.

Video Protocols

WB Video Protocol
ICC/IF Video Protocol

FAQs for CRM1 Antibody (NBP2-75448) (0)

There are no specific FAQs related to this product. Read our general customer & technical service FAQs.

Secondary Antibodies

 

Isotype Controls

Additional CRM1 Products

Research Areas for CRM1 Antibody (NBP2-75448)

Find related products by research area.

Blogs on CRM1.

Survivin Acetylation: Affecting Apoptosis and Cancer
Survivin (BRIC5) is an inhibitor of apoptosis that also promotes cellular adaptation under stressful conditions and helps to regulate cell division. Recently, an antibody study by Dr. H Wang et al. at Brown University [PMID: 20826784] found that Survi...  Read full blog post.

Contact Information

Product PDFs

Calculators

Concentration Calculator

The concentration calculator allows you to quickly calculate the volume, mass or concentration of your vial. Simply enter your mass, volume, or concentration values for your reagent and the calculator will determine the rest.

=
÷

Review this Product

Be the first to review our CRM1 Antibody (JB35-22) and receive a gift card or discount.

Bioinformatics

Gene Symbol XPO1