Chromogranin A Antibody (LK2H10 + PHE5) - Azide and BSA Free

Images

 
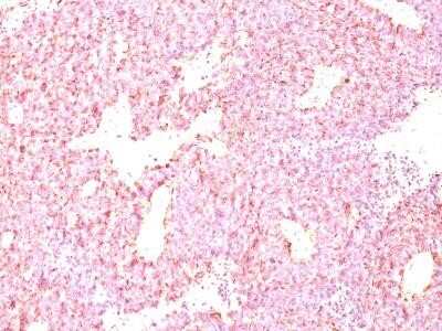
Immunohistochemistry-Paraffin: Chromogranin A Antibody (LK2H10 + PHE5) - Azide and BSA Free [NBP2-34673] - Formalin-fixed paraffin-embedded human Adrenal Gland stained with Chromogranin A Monoclonal Antibody (PHE5)
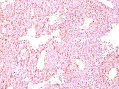
Immunohistochemistry-Paraffin: Chromogranin A Antibody (LK2H10 + PHE5) - Azide and BSA Free [NBP2-34673] - Formalin-fixed, paraffin-embedded human small cell lung carcinoma stained with Chromogranin A MAb (LK2H10+PHE5)

Product Details

Summary
Reactivity Hu, Mu, Rt, Po, PmSpecies Glossary
Applications IHC
Clone
LK2H10 + PHE5
Clonality
Monoclonal
Host
Mouse
Conjugate
Unconjugated
Format
Azide and BSA Free
Concentration
1.0 mg/ml

Order Details

Chromogranin A Antibody (LK2H10 + PHE5) - Azide and BSA Free Summary

Description
1.0 mg/ml of antibody purified from Bioreactor Concentrate by Protein A/G. Prepared in 10mM PBS WITHOUT BSA & azide. Also available at 200 ug/ml WITH BSA & azide (NBP2-34239).

Antibody with azide - store at 2 to 8C. Antibody without azide - store at -20 to -80C.
Immunogen
Human pheochromocytoma (LK2H10 & PHE5) (Uniprot: P10645)
Localization
Finely granular cytoplasmic
Marker
Neuroendocrine Marker
Isotype
IgG1 Kappa
Clonality
Monoclonal
Host
Mouse
Gene
CHGA
Purity
Protein A or G purified
Innovator's Reward
Test in a species/application not listed above to receive a full credit towards a future purchase.

Applications/Dilutions

Dilutions
  • Immunohistochemistry
  • Immunohistochemistry-Paraffin
Application Notes
Immunohistochemistry (Formalin-fixed): 0.1-0.2ug/ml for 30 min at RT. Staining of formalin-fixed tissues requires heating tissue sections in 10mM Tris with 1mM EDTA, pH 9.0, for 45 min at 95C followed by cooling at RT for 20 minutes.
Optimal dilution for a specific application should be determined.

Packaging, Storage & Formulations

Storage
Store at -20 to -80C. Avoid freeze-thaw cycles.
Buffer
10 mM PBS
Preservative
No Preservative
Concentration
1.0 mg/ml
Purity
Protein A or G purified

Alternate Names for Chromogranin A Antibody (LK2H10 + PHE5) - Azide and BSA Free

  • betagranin (N-terminal fragment of chromogranin A)
  • Betagranin
  • Catestatin
  • CGA
  • CHGA
  • Chromofungin
  • chromogranin A (parathyroid secretory protein 1)
  • Chromogranin A
  • chromogranin-A
  • Pancreastatin
  • Parastatin
  • Parathyroid Secretory Protein 1
  • Pituitary Secretory Protein I
  • SP-I

Background

Chromogranin A (CgA) is an 86 kDa protein that is the major member of the granin family of acidic secretory glycoproteins located in neuroendocrine cells. CgA is believed to play a role in targeting peptide hormones and neurotransmitters to granules of the regulated pathways and inhibit hormone and neurotransmitter release. Also, the widespread distribution of CgA has made the measurement of circulating immunoreactive CgA a valuable tool in the diagnosis of neuroendocrine neoplasia, and CgA immunohistochemistry can help to identify the neuroendocrine nature of tumors. The N-terminal domain of CgA inhibits tumor necrosis factor a (TNFa) induced gap formation in human umbilical venous endothelial cells. CgA levels which reflect neuroendocrine differentiation of prostatic carcinoma may have a diagnostic, therapeutic and prognostic role in the management of prostate cancer patients.

Limitations

This product is for research use only and is not approved for use in humans or in clinical diagnosis. Primary Antibodies are guaranteed for 1 year from date of receipt.

Customers Who Viewed This Item Also Viewed...

NB120-15160
Species: Hu, Mu, Rt
Applications: ICC/IF, IHC,  IHC-P, WB
NB110-58870
Species: Hu, Mu, Rt
Applications: ICC/IF, IHC, KD, Simple Western, WB
DKK300
Species: Hu
Applications: ELISA
NB300-653
Species: Ch, Fe, Hu, Pm, Mu, Rt
Applications: ELISA, ICC/IF, IHC, IHC-Fr,  IHC-P, IP, WB
MAB7665
Species: Hu
Applications: IHC, WB
NBP2-37447
Species: Hu
Applications: CyTOF-ready, ELISA, Flow, ICC/IF, IHC,  IHC-P
NBP1-80782
Species: Hu
Applications: ICC/IF, IHC,  IHC-P, WB
NBP1-80782
Species: Hu
Applications: ICC/IF, IHC,  IHC-P, WB
NBP2-62693
Species: Hu
Applications: IHC,  IHC-P
NB120-14817
Species: Hu, Rt
Applications: ICC/IF, IHC, S-ELISA, WB
NBP3-12223
Species: Hu, Pm, Rt
Applications: ELISA, ICC/IF, IHC,  IHC-P, IP, WB
NB100-1533
Species: Hu, Mu, Po, Rt, Sh
Applications: Flow, ICC/IF, IHC,  IHC-P, PEP-ELISA, WB
H00002023-M01
Species: Fe, Hu
Applications: ELISA, Flow, Func, ICC/IF, IHC,  IHC-P, IP, WB
NBP1-32920
Species: Hu, Mu
Applications: ICC/IF, IHC,  IHC-P, KD, WB
AF4036
Species: Hu
Applications: Simple Western, WB
H00005324-M02
Species: Hu, Mu
Applications: ELISA, IHC,  IHC-P, WB
NBP3-48658
Species: Ca, Fe, Hu, Mu, Rt, Ze
Applications: ICC/IF, IHC,  IHC-P, WB
NBP1-86713
Species: Hu
Applications: IHC,  IHC-P
MAB1417
Species: Bv, Hu, Mu
Applications: ICC, IHC
AF1445
Species: Mu, Rt
Applications: ELISA(Cap), ELISA(Det), ELISA(Sta), IHC, Neut, Simple Western, WB

Publications for Chromogranin A Antibody (NBP2-34673) (0)

There are no publications for Chromogranin A Antibody (NBP2-34673).
By submitting your publication information earn gift cards and discounts for future purchases.

Reviews for Chromogranin A Antibody (NBP2-34673) (0)

There are no reviews for Chromogranin A Antibody (NBP2-34673). By submitting a review you will receive an Amazon e-Gift Card or Novus Product Discount.
  • Review with no image -- $10/€7/£6/$10 CAD/¥70 Yuan/¥1110 Yen
  • Review with an image -- $25/€18/£15/$25 CAD/¥150 Yuan/¥2500 Yen

Product General Protocols

Find general support by application which include: protocols, troubleshooting, illustrated assays, videos and webinars.

FAQs for Chromogranin A Antibody (NBP2-34673). (Showing 1 - 1 of 1 FAQ).

  1. I have following question about antibodies against Chromogranin A. Your products list the species but canine is not included. Does it mean that the products cannot be used on canine tissues?
    • When we do not list a species, it means we have not tested an antibody to work with those samples. If we test an antibody and find that it does not work, we will list the species with a minus sign. Unfortunately, we haven't tried these abs on canine tissues and they may work, but we cannot guarantee it. If you would like to purchase one to try, you will be eligible for the Innovators Reward Program.

Secondary Antibodies

 

Isotype Controls

Additional Chromogranin A Products

Research Areas for Chromogranin A Antibody (NBP2-34673)

Find related products by research area.

Blogs on Chromogranin A.

Beta Tubulin III and neurogenesis
Beta tubulin III, also known as Tuj-1, is a class III member of the beta tubulin protein family. Beta tubulins are one of two structural components that form our microtubule network. While general tubulins play a role in a wide range of cellular pr...  Read full blog post.

Customers Who Bought This Also Bought

Contact Information

Product PDFs

Calculators

Concentration Calculator

The concentration calculator allows you to quickly calculate the volume, mass or concentration of your vial. Simply enter your mass, volume, or concentration values for your reagent and the calculator will determine the rest.

=
÷

Review this Product

Be the first to review our Chromogranin A Antibody (LK2H10 + PHE5) - Azide and BSA Free and receive a gift card or discount.

Bioinformatics

Gene Symbol CHGA