Chitinase 3-like 1/YKL-40 Antibody (CL12314) - Azide and BSA Free

Images

 
Staining of human astrocytoma shows strong cytoplasmic positivity in tumor cells.
Staining of human cerebral cortex shows moderate to strong cytoplasmic positivity in glial cells.
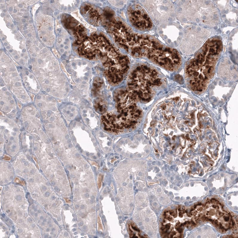
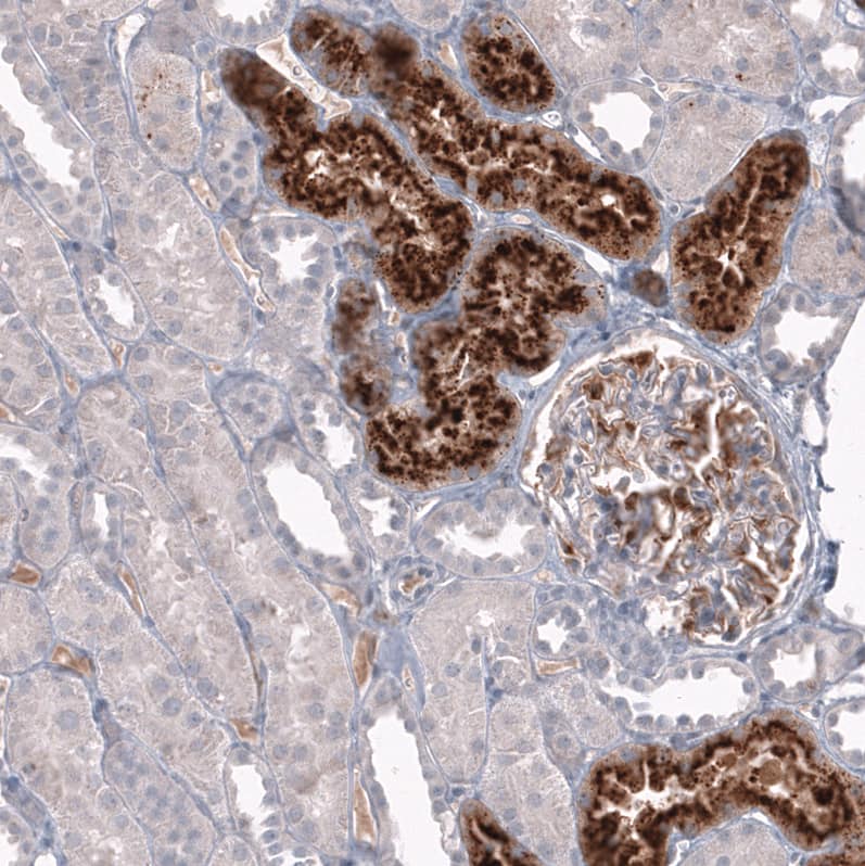
Staining of human kidney shows strong granular cytoplasmic positivity in cells in tubules.
Staining of human skeletal muscle shows no positivity in myocytes as expected.
Staining of human tonsil shows strong cytoplasmic positivity in a subset of lymphoid cells.
Analysis in human cell line THP-1.

Product Details

Summary
Reactivity HuSpecies Glossary
Applications WB, IHC
Clone
CL12314
Clonality
Monoclonal
Host
Mouse
Conjugate
Unconjugated
Format
Azide and BSA Free
Concentration
LYOPH

Order Details

Chitinase 3-like 1/YKL-40 Antibody (CL12314) - Azide and BSA Free Summary

Description
Novus Biologicals Mouse Chitinase 3-like 1/YKL-40 Antibody (CL12314) - Azide and BSA Free (NBP3-15132) is a monoclonal antibody validated for use in IHC and WB. All Novus Biologicals antibodies are covered by our 100% guarantee.
Immunogen
This antibody was generated using a synthetic peptide of P36222, with the exact immunogen sequence remaining proprietary.
Isotype
IgG2b
Clonality
Monoclonal
Host
Mouse
Gene
CHI3L1
Purity
Protein A purified
Innovator's Reward
Test in a species/application not listed above to receive a full credit towards a future purchase.

Applications/Dilutions

Dilutions
  • Immunohistochemistry-Paraffin 1:1000 - 1:2500
  • Western Blot 1 ug/ml
Application Notes
For IHC-Paraffin, HIER pH 6 retrieval is recommended.

Packaging, Storage & Formulations

Storage
Store at 4C short term. Aliquot and store at -20C long term. Avoid freeze-thaw cycles.
Buffer
Lyophilized from a 0.2 um filtered solution in PBS with Trehalose
Preservative
No Preservative
Concentration
LYOPH
Purity
Protein A purified
Reconstitution Instructions
Centrifuge the vial of lyophilized antibody at 12,000 x g for 20 seconds. Reconstitute by adding sterile, distilled water to achieve a final antibody concentration of 1mg/ml.

Alternate Names for Chitinase 3-like 1/YKL-40 Antibody (CL12314) - Azide and BSA Free

  • AW208766
  • Brp39
  • CHI3L1
  • Chitinase 3 like 1
  • Chitinase 3-like 1
  • gp39
  • HCgp39
  • YKL-40

Limitations

This product is for research use only and is not approved for use in humans or in clinical diagnosis. Primary Antibodies are guaranteed for 1 year from date of receipt.

Customers Who Viewed This Item Also Viewed...

DCDL40
Species: Hu
Applications: ELISA
DY1707
Species: Hu
Applications: ELISA
M6000B
Species: Mu
Applications: ELISA
AF632
Species: Hu
Applications: AgAct, Simple Western, WB
7268-CT
Species: Hu
Applications: BA
AF5739
Species: Hu, Mu, Rt
Applications: WB
NBP2-79843
Species: Hu
Applications: CyTOF-ready, ELISA, Flow, ICC/IF, IHC,  IHC-P, PA, WB
NB100-524
Species: Hu, Mu
Applications: Flow-IC, Flow, ICC/IF, IHC, IHC-Fr,  IHC-P, IP, WB
DCMP0
Species: Hu
Applications: ELISA
AF2446
Species: Mu
Applications: Simple Western, WB
NBP2-22203
Species: Hu, Pm, Mu, Rt
Applications: ELISA, Flow, ICC/IF, IHC,  IHC-P, WB
DMP300
Species: Hu
Applications: ELISA
NBP1-58987
Species: Hu
Applications: WB
291-G1
Species: Hu
Applications: BA
NBP1-19371
Species: Ca, Hu, Mu, Po, Rb, Rt
Applications: Dual ISH-IHC, Flow, ICC/IF, IHC, IHC-Fr,  IHC-P, Simple Western, WB
DCP00
Species: Hu
Applications: ELISA
DMP900
Species: Hu
Applications: ELISA
DVE00
Species: Hu
Applications: ELISA
NBP3-44361
Species: Hu
Applications: WB, IHC

Publications for Chitinase 3-like 1/YKL-40 Antibody (NBP3-44361) (0)

There are no publications for Chitinase 3-like 1/YKL-40 Antibody (NBP3-44361).
By submitting your publication information earn gift cards and discounts for future purchases.

Reviews for Chitinase 3-like 1/YKL-40 Antibody (NBP3-44361) (0)

There are no reviews for Chitinase 3-like 1/YKL-40 Antibody (NBP3-44361). By submitting a review you will receive an Amazon e-Gift Card or Novus Product Discount.
  • Review with no image -- $10/€7/£6/$10 CAD/¥70 Yuan/¥1110 Yen
  • Review with an image -- $25/€18/£15/$25 CAD/¥150 Yuan/¥2500 Yen

Product General Protocols

Find general support by application which include: protocols, troubleshooting, illustrated assays, videos and webinars.

Video Protocols

WB Video Protocol

FAQs for Chitinase 3-like 1/YKL-40 Antibody (NBP3-44361) (0)

There are no specific FAQs related to this product. Read our general customer & technical service FAQs.

Secondary Antibodies

 

Isotype Controls

Additional Chitinase 3-like 1/YKL-40 Products

Research Areas for Chitinase 3-like 1/YKL-40 Antibody (NBP3-44361)

Find related products by research area.

Blogs on Chitinase 3-like 1/YKL-40

There are no specific blogs for Chitinase 3-like 1/YKL-40, but you can read our latest blog posts.

Customers Who Bought This Also Bought

Contact Information

Product PDFs

Calculators

Concentration Calculator

The concentration calculator allows you to quickly calculate the volume, mass or concentration of your vial. Simply enter your mass, volume, or concentration values for your reagent and the calculator will determine the rest.

=
÷

Review this Product

Be the first to review our Chitinase 3-like 1/YKL-40 Antibody (CL12314) - Azide and BSA Free and receive a gift card or discount.

Bioinformatics

Gene Symbol CHI3L1