CEACAM5/CD66e Antibody (SPM541) - Azide and BSA Free

Images

 
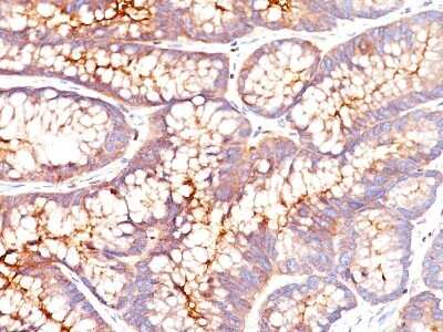
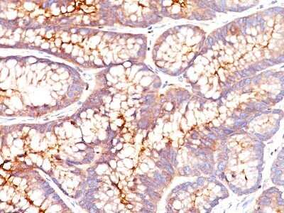
Immunohistochemistry-Paraffin: CEACAM5/CD66e Antibody (SPM541) - Azide and BSA Free [NBP2-34787] - Formalin-paraffin colon stained with CEA MAb (SPM541)

Product Details

Summary
Reactivity Hu, PmSpecies Glossary
Applications Flow, ICC/IF, IHC, CyTOF-ready
Clone
SPM541
Clonality
Monoclonal
Host
Mouse
Conjugate
Unconjugated
Format
Azide and BSA Free
Concentration
1.0 mg/ml

Order Details

CEACAM5/CD66e Antibody (SPM541) - Azide and BSA Free Summary

Description
1.0 mg/ml of antibody purified from Bioreactor Concentrate by Protein A/G. Prepared in 10mM PBS WITHOUT BSA & azide. Also available at 200 ug/ml WITH BSA & azide (NBP2-33013).

Antibody with azide - store at 2 to 8C. Antibody without azide - store at -20 to -80 C.
Immunogen
Human colon carcinoma extract (Uniprot: P06731)
Localization
Cytoplasmic and luminal surface
Specificity
This antibody recognizes proteins of 80-200kDa, identified as different members of CEA family. CEA is synthesized during development in the fetal gut and is re-expressed in increased amounts in intestinal carcinomas and several other tumors. This monoclonal antibody does not react with nonspecific cross-reacting antigen (NCA) and with human polymorphonuclear leucocytes. It shows no reaction with a variety of normal tissues and is suitable for staining of formalin/paraffin tissues. CEA is not found in benign glands, stroma, or malignant prostatic cells. Antibody to CEA is useful in detecting early foci of gastric carcinoma and in distinguishing pulmonary adenocarcinomas (60-70% are CEA+) from pleural mesotheliomas (rarely or weakly CEA+). Anti-CEA positivity is seen in adenocarcinomas from the lung, colon, stomach, esophagus, pancreas, gallbladder, urachus, salivary gland, ovary, and endocervix.
Isotype
IgG1 Kappa
Clonality
Monoclonal
Host
Mouse
Gene
CEACAM5
Purity
Protein A or G purified
Innovator's Reward
Test in a species/application not listed above to receive a full credit towards a future purchase.

Applications/Dilutions

Dilutions
  • CyTOF-ready
  • Flow Cytometry 0.5-1ug/million cells
  • Immunocytochemistry/ Immunofluorescence 1-2ug/ml
  • Immunohistochemistry
  • Immunohistochemistry-Paraffin 1-2ug/ml
Application Notes
Immunohistochemistry (Formalin-fixed): 1-2ug/ml for 30 minutes at RT. Staining of formalin-fixed tissues requires heating tissue sections in 10mM Tris with 1mM EDTA, pH 9.0, for 45 min at 95C followed by cooling at RT for 20 minutes.
Optimal dilution for a specific application should be determined.

Packaging, Storage & Formulations

Storage
Store at -20 to -80C. Avoid freeze-thaw cycles.
Buffer
10 mM PBS
Preservative
No Preservative
Concentration
1.0 mg/ml
Purity
Protein A or G purified

Alternate Names for CEACAM5/CD66e Antibody (SPM541) - Azide and BSA Free

  • Carcinoembryonic antigen
  • carcinoembryonic antigen-related cell adhesion molecule 5
  • CD66e antigen
  • CD66e
  • CEA
  • CEACAM5
  • CEACAM-5
  • CEACD66e
  • DKFZp781M2392
  • Meconium antigen 100

Background

The CD66e (CEA; 180-200 kDa) is a member of carcinoembryonic antigens, immunoglobulin supergene family and consists of a single N domain (structural homology to the immunoglobulin variable) and six immunoglobulin constant-like A (A1, A2, A3) and B domains (B1, B2, B3). Human CD66e is heavily glycosylated GPI anchored protein capable of both homophilic and heterophilic adhesion. Disease relevance: The CD66e may play a role in the process of metastasis of cancer cells. CD66e is found in serum and it is clinically used as a tumor marker for early detection of disease due to its expression in adenocarcinomas - potential target of tumor imaging and drug targeting.

Limitations

This product is for research use only and is not approved for use in humans or in clinical diagnosis. Primary Antibodies are guaranteed for 1 year from date of receipt.

Customers Who Viewed This Item Also Viewed...

NB120-22711
Species: Hu, Mu
Applications: ELISA, Flow, ICC/IF, IHC, IHC-Fr,  IHC-P
MAB1368
Species: Hu, Mu
Applications: CyTOF-ready, ICC, ICFlow, KO, Simple Western, WB
NBP1-83910
Species: Hu
Applications: IHC,  IHC-P, KD, WB
NB110-58870
Species: Hu, Mu, Rt
Applications: ICC/IF, IHC, KD, Simple Western, WB
H00001434-M08
Species: Hu, Mu
Applications: ELISA, ICC/IF, IHC,  IHC-P, WB
NBP2-00532
Species: Ca, Hu, Pm, Mu, Rt
Applications: Flow, ICC/IF, IHC,  IHC-P, WB
NBP2-45646
Species: Ca, Hu, Mu, Rt
Applications: IHC,  IHC-P, WB
NB100-687
Species: Hu, Mu, Rt
Applications: Flow, ICC/IF, IHC,  IHC-P, Simple Western, WB
NBP1-84854
Species: Hu, Mu, Rt
Applications: ICC/IF, IHC,  IHC-P, KD, WB
NBP2-67309
Species: Hu, Rt
Applications: Flow, ICC/IF, IHC,  IHC-P, IP, WB
5609-MU
Species: Hu
Applications: Bind
NB300-223
Species: Bv, Ca, Ch, Eq, Hu, Mu, Po, Rt
Applications: ICC/IF, IHC, IHC-Fr,  IHC-P, WB
MAB3934
Species: Hu
Applications: CyTOF-ready, Flow, WB
NB200-103
Species: Hu, Mu, Rt, Xp(-), Ye
Applications: CyTOF-ready, ELISA, Flow-IC, Flow, ICC/IF, IHC, IHC-Fr,  IHC-P, IP, WB
DKK300
Species: Hu
Applications: ELISA
NB120-14817
Species: Hu, Rt
Applications: ICC/IF, IHC, S-ELISA, WB
NBP2-45788
Species: Ce, Hu
Applications: IHC,  IHC-P, WB
NBP2-47940
Species: Hu
Applications: CyTOF-ready, Flow, ICC/IF, IF, IHC,  IHC-P, Simple Western, WB

Publications for CEACAM-5/CD66e Antibody (NBP2-34787) (0)

There are no publications for CEACAM-5/CD66e Antibody (NBP2-34787).
By submitting your publication information earn gift cards and discounts for future purchases.

Reviews for CEACAM-5/CD66e Antibody (NBP2-34787) (0)

There are no reviews for CEACAM-5/CD66e Antibody (NBP2-34787). By submitting a review you will receive an Amazon e-Gift Card or Novus Product Discount.
  • Review with no image -- $10/€7/£6/$10 CAD/¥70 Yuan/¥1110 Yen
  • Review with an image -- $25/€18/£15/$25 CAD/¥150 Yuan/¥2500 Yen

Product General Protocols

Find general support by application which include: protocols, troubleshooting, illustrated assays, videos and webinars.

Video Protocols

ICC/IF Video Protocol

FAQs for CEACAM-5/CD66e Antibody (NBP2-34787) (0)

There are no specific FAQs related to this product. Read our general customer & technical service FAQs.

Customers Who Bought This Also Bought

Contact Information

Product PDFs

Calculators

Concentration Calculator

The concentration calculator allows you to quickly calculate the volume, mass or concentration of your vial. Simply enter your mass, volume, or concentration values for your reagent and the calculator will determine the rest.

=
÷

Review this Product

Be the first to review our CEACAM5/CD66e Antibody (SPM541) - Azide and BSA Free and receive a gift card or discount.

Bioinformatics

Gene Symbol CEACAM5