CDX2 Antibody (CL12967) - Azide and BSA Free

Images

 
Orthogonal Strategies: Analysis in human colon and tonsil tissues using NBP3-44392 antibody. Corresponding CDX2 RNA-seq data are presented for the same tissues.
Staining of CACO-2 cells using the Anti-CDX2 monoclonal antibody) .
Staining of human colorectal cancer (metastasis to ovary) shows moderate to strong nuclear positivity in tumor cells.
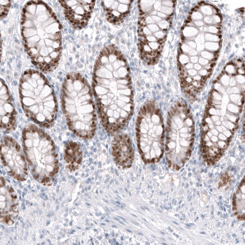
Staining of human colon shows moderate to strong nuclear positivity in glandular cells.
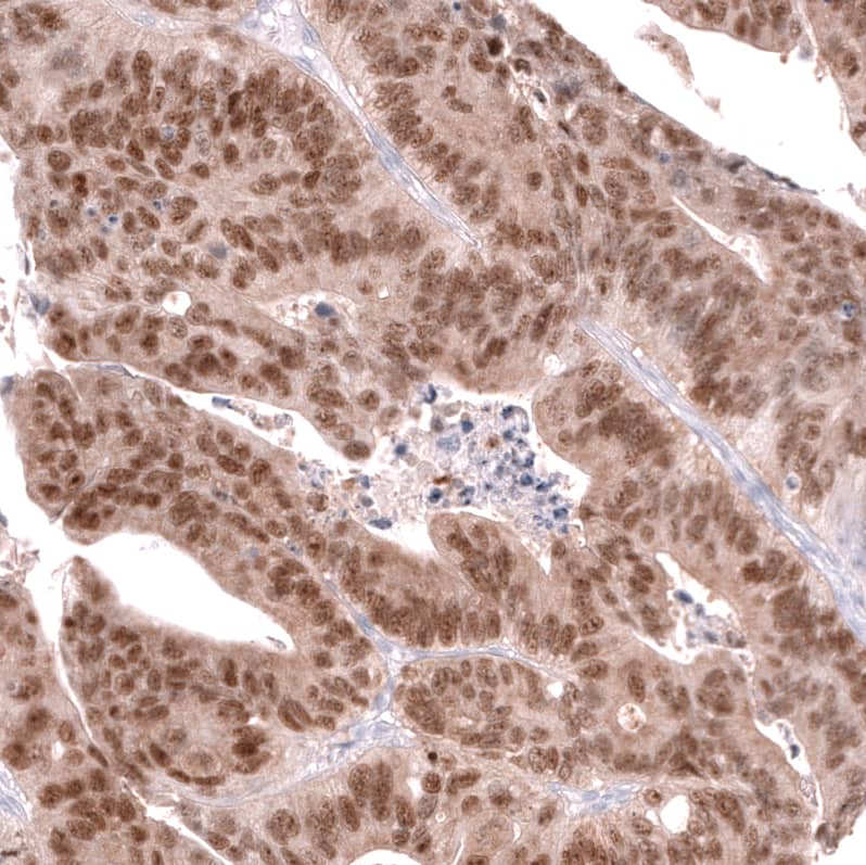
Staining of human colorectal cancer shows strong nuclear positivity in tumor cells.
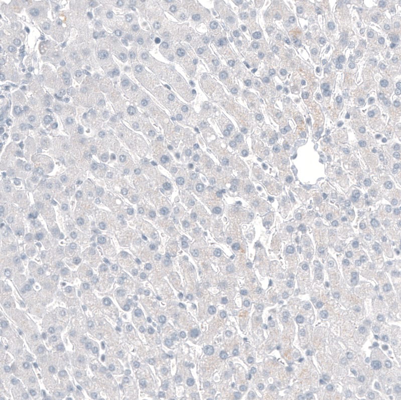
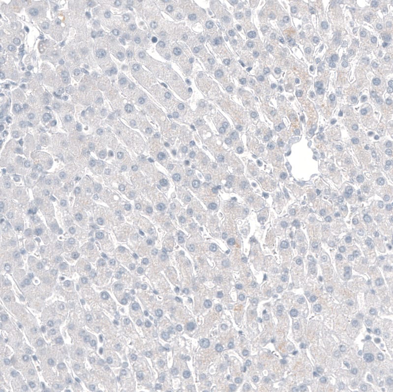
Staining of human liver shows no positivity in hepatocytes as expected.
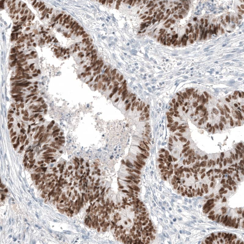
Staining of human rectum shows strong nuclear positivity in glandular cells.
Orthogonal Strategies: Analysis in human cell line CACO-2 and human cell line PC-3.
Staining of human tonsil shows no positivity in non-germinal center cells as expected.

Product Details

Summary
Reactivity HuSpecies Glossary
Applications WB, ICC/IF, IHC
Clone
CL12967
Clonality
Monoclonal
Host
Mouse
Conjugate
Unconjugated
Format
Azide and BSA Free
Concentration
LYOPH
Validated by:
       

Orthogonal Strategies

 

Order Details

CDX2 Antibody (CL12967) - Azide and BSA Free Summary

Description
Novus Biologicals Mouse CDX2 Antibody (CL12967) - Azide and BSA Free (NBP3-18571) is a monoclonal antibody validated for use in IHC, WB and ICC/IF. All Novus Biologicals antibodies are covered by our 100% guarantee.
Immunogen
This antibody was generated using a synthetic peptide of Q99626, with the exact immunogen sequence remaining proprietary.
Isotype
IgG1
Clonality
Monoclonal
Host
Mouse
Gene
CDX2
Purity
Protein A purified
Innovator's Reward
Test in a species/application not listed above to receive a full credit towards a future purchase.

Applications/Dilutions

Dilutions
  • Immunocytochemistry/ Immunofluorescence 2-10 ug/ml
  • Immunohistochemistry-Paraffin 1:50 - 1:200
  • Western Blot 1 ug/ml
Application Notes
For use with IHC-Paraffin, HIER pH 6 retrieval is recommended. For use with Immunocytochemistry/ Immunofluorescence/IF, PFA/Triton X-100 is recommended for fixation/permeabilization.

Packaging, Storage & Formulations

Storage
Store at 4C short term. Aliquot and store at -20C long term. Avoid freeze-thaw cycles.
Buffer
Lyophilized from a 0.2 um filtered solution in PBS with Trehalose
Preservative
No Preservative
Concentration
LYOPH
Purity
Protein A purified
Reconstitution Instructions
Centrifuge the vial of lyophilized antibody at 12,000 x g for 20 seconds. Reconstitute by adding sterile, distilled water to achieve a final antibody concentration of 1mg/ml.

Alternate Names for CDX2 Antibody (CL12967) - Azide and BSA Free

  • caudal type homeo box transcription factor 2
  • caudal type homeobox 2
  • Caudal-type homeobox protein 2
  • CDX2
  • CDX3
  • CDX-3
  • CDX3caudal type homeobox transcription factor 2
  • homeobox protein CDX-2

Background

The level and beta-cell specificity of insulin gene expression are regulated by a set of nuclear proteins that bind to specific sequences within the promoter of the insulin gene (INS; MIM 176730) and interact with RNA polymerase to activate or repress transcription. The proteins LMX1 (MIM 600298) and CDX3 are homeodomain proteins that bind an A/T-rich sequence in the insulin promoter and stimulate its transcription (German et al., 1994 [PubMed 7698771]).[supplied by OMIM]

Limitations

This product is for research use only and is not approved for use in humans or in clinical diagnosis. Primary Antibodies are guaranteed for 1 year from date of receipt.

Customers Who Viewed This Item Also Viewed...

NB120-11197
Species: Hu, Mu
Applications: Flow-IC, Flow, ICC/IF (-), IHC, IHC-Fr,  IHC-P, WB
NBP2-67309
Species: Hu, Rt
Applications: Flow, ICC/IF, IHC,  IHC-P, IP, WB
NBP2-47940
Species: Hu
Applications: CyTOF-ready, Flow, ICC/IF, IF, IHC,  IHC-P, Simple Western, WB
AF1759
Species: Hu, Mu
Applications: ChIP, ICC, IP, Simple Western, WB
NBP1-49538
Species: Hu, Mu
Applications: ICC/IF, IHC,  IHC-P
NBP2-15196
Species: Bv(-), Ch, Fe, Hu, Ma, Pm, Mu, Po, Rb, Rt
Applications: DB, Flow-IC, Flow, ICC/IF, IHC, IHC-Fr,  IHC-P, WB
NBP2-44374
Species: Hu
Applications: Flow, ICC/IF, IF, IHC,  IHC-P, IP, WB
NB200-103
Species: Hu, Mu, Rt, Xp(-), Ye
Applications: CyTOF-ready, ELISA, Flow-IC, Flow, ICC/IF, IHC, IHC-Fr,  IHC-P, IP, WB
AF1997
Species: Hu
Applications: ChIP, ICC, IHC, Simple Western, WB
H00388112-B01P
Species: Hu
Applications: WB
AF2018
Species: Hu, Mu, Rt
Applications: ChIP, ICC, IHC, Simple Western, WB
NBP2-44501
Species: Hu, Mu, Rt
Applications: Flow, ICC/IF, IF, IHC,  IHC-P
NB120-22711
Species: Hu, Mu
Applications: ELISA, Flow, ICC/IF, IHC, IHC-Fr,  IHC-P
NBP1-33596
Species: Hu, Mu, Rt
Applications: ICC/IF, IHC,  IHC-P, IP, PAGE, WB
AF1329
Species: Hu, Mu, Rt
Applications: ChIP, CyTOF-ready, ICC, IHC, ICFlow, Simple Western, WB
AF231
Species: Hu
Applications: CyTOF-ready, Dual ISH-IHC, ELISA(Cap), ELISA(Det), ELISA(Sta), Flow, ICC, IHC, IP, Simple Western, WB

Publications for CDX2 Antibody (NBP3-44392) (0)

There are no publications for CDX2 Antibody (NBP3-44392).
By submitting your publication information earn gift cards and discounts for future purchases.

Reviews for CDX2 Antibody (NBP3-44392) (0)

There are no reviews for CDX2 Antibody (NBP3-44392). By submitting a review you will receive an Amazon e-Gift Card or Novus Product Discount.
  • Review with no image -- $10/€7/£6/$10 CAD/¥70 Yuan/¥1110 Yen
  • Review with an image -- $25/€18/£15/$25 CAD/¥150 Yuan/¥2500 Yen

Product General Protocols

Find general support by application which include: protocols, troubleshooting, illustrated assays, videos and webinars.

Video Protocols

WB Video Protocol
ICC/IF Video Protocol

FAQs for CDX2 Antibody (NBP3-44392) (0)

There are no specific FAQs related to this product. Read our general customer & technical service FAQs.

Secondary Antibodies

 

Isotype Controls

Additional CDX2 Products

Research Areas for CDX2 Antibody (NBP3-44392)

Find related products by research area.

Blogs on CDX2.


  Read full blog post.

Stemness is responsible for onset and metastasis of colorectal cancer
By Jamshed Arslan, Pharm. D., PhD. Colorectal cancer stem cells are a rare subpopulation of colorectal cancer cells that can self-renew and initiate and sustain tumor growth when transplanted into an animal host.1,2 C...  Read full blog post.

Customers Who Bought This Also Bought

Contact Information

Product PDFs

Calculators

Concentration Calculator

The concentration calculator allows you to quickly calculate the volume, mass or concentration of your vial. Simply enter your mass, volume, or concentration values for your reagent and the calculator will determine the rest.

=
÷

Review this Product

Be the first to review our CDX2 Antibody (CL12967) - Azide and BSA Free and receive a gift card or discount.

Bioinformatics

Gene Symbol CDX2