CDP/CUTL1 Antibody (CL5275) - Azide and BSA Free

Images

 
Staining of human cerebellum shows moderate nuclear positivity in neuronal cells in granular, molecular and Purkinje cell layers.
Staining of human kidney shows strong nuclear positivity in cells in glomeruli.
Staining of human endometrium shows moderate to strong nuclear positivity in glandular and stromal cells.
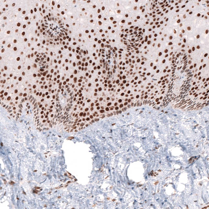
Staining of human uterine cervix shows strong nuclear positivity in epithelial cells.
Staining of SH-SY5Y cells using the Anti-CDP/CUTL1 monoclonal antibody) .

Product Details

Summary
Reactivity HuSpecies Glossary
Applications ICC/IF, IHC
Clone
CL5275
Clonality
Monoclonal
Host
Mouse
Conjugate
Unconjugated
Format
Azide and BSA Free
Concentration
LYOPH

Order Details

CDP/CUTL1 Antibody (CL5275) - Azide and BSA Free Summary

Description
Novus Biologicals Mouse CDP/CUTL1 Antibody (CL5275) - Azide and BSA Free (NBP2-61408) is a monoclonal antibody validated for use in IHC and ICC/IF. All Novus Biologicals antibodies are covered by our 100% guarantee.
Immunogen
This antibody was generated using a recombinant protein sequence of P39880, with the exact immunogen sequence remaining proprietary.
Isotype
IgG2b
Clonality
Monoclonal
Host
Mouse
Gene
CUX1
Purity
Protein A purified
Innovator's Reward
Test in a species/application not listed above to receive a full credit towards a future purchase.

Applications/Dilutions

Dilutions
  • Immunocytochemistry/ Immunofluorescence 2-10 ug/ml
  • Immunohistochemistry-Paraffin 1:1000-1:2500
Application Notes
For IHC-Paraffin, HIER pH 6 retrieval is recommended. Immunocytochemistry/ Immunofluorescence/IF,Fixation Permeabilization: PFA/Triton X-100

Packaging, Storage & Formulations

Storage
Store at 4C short term. Aliquot and store at -20C long term. Avoid freeze-thaw cycles.
Buffer
Lyophilized from a 0.2 um filtered solution in PBS with Trehalose
Preservative
No Preservative
Concentration
LYOPH
Purity
Protein A purified
Reconstitution Instructions
Centrifuge the vial of lyophilized antibody at 12,000 x g for 20 seconds. Reconstitute by adding sterile, distilled water to achieve a final antibody concentration of 1mg/ml.

Alternate Names for CDP/CUTL1 Antibody (CL5275) - Azide and BSA Free

  • CASP
  • CCAAT displacement protein
  • CDP
  • CDP/Cux
  • CDPCCAAT displacement protein
  • COY1
  • cut (Drosophila)-like 1 (CCAAT displacement protein)
  • CUT
  • CUTL1
  • cut-like 1, CCAAT displacement protein (Drosophila)
  • cut-like homeobox 1
  • CUX
  • CUX1
  • FLJ31745
  • golgi integral membrane protein 6
  • GOLIM6
  • homeobox protein cut-like 1
  • Homeobox protein cux-1
  • Nbla10317
  • p100
  • p110
  • p200
  • p75
  • protein CASP
  • putative protein product of Nbla10317

Limitations

This product is for research use only and is not approved for use in humans or in clinical diagnosis. Primary Antibodies are guaranteed for 1 year from date of receipt.

Customers Who Viewed This Item Also Viewed...

AF1157
Species: Mu
Applications: IHC, WB
DBD00
Species: Hu
Applications: ELISA
DRT100
Species: Hu
Applications: ELISA
NBP2-50037
Species: Hu, Mu, Rt
Applications: ICC/IF, IHC, KO, WB
DR2A00
Species: Hu
Applications: ELISA
AF1056
Species: Rt
Applications: IHC, WB
NBP2-67375
Species: Hu, Mu, Rt
Applications: ChIP, ICC/IF, IHC,  IHC-P, WB
NB300-517
Species: Bv, Ha, Hu, Pm, Mu, Po, Pm, Rb, Rt
Applications: B/N, ELISA, Flow, ICC/IF, IHC, IHC-Fr,  IHC-P, IM, IP, KD, WB
MAB6638
Species: Hu, Mu, Rt
Applications: WB
MAB7745
Species: Hu
Applications: IHC, KO, Simple Western, WB
H00004354-M01
Species: Hu
Applications: ELISA, ICC/IF, IP, S-ELISA, WB
NBP1-87801
Species: Hu
Applications: ICC/IF, IHC,  IHC-P, WB
NBP2-94064
Species: Hu, Mu, Rt
Applications: ICC/IF, IHC,  IHC-P, WB
NB100-56583
Species: Hu, Rb, Rt
Applications: Flow, IHC,  IHC-P, KO, Simple Western, WB
202-IL
Species: Hu
Applications: BA
256-GF
Species: Hu
Applications: BA
NBP1-88650
Species: Hu
Applications: IHC,  IHC-P, KD, WB
MAB3468
Species: Hu
Applications: ICC, WB
NBP3-43964
Species: Hu
Applications: ICC/IF, IHC

Publications for CDP/CUTL1 Antibody (NBP3-43964) (0)

There are no publications for CDP/CUTL1 Antibody (NBP3-43964).
By submitting your publication information earn gift cards and discounts for future purchases.

Reviews for CDP/CUTL1 Antibody (NBP3-43964) (0)

There are no reviews for CDP/CUTL1 Antibody (NBP3-43964). By submitting a review you will receive an Amazon e-Gift Card or Novus Product Discount.
  • Review with no image -- $10/€7/£6/$10 CAD/¥70 Yuan/¥1110 Yen
  • Review with an image -- $25/€18/£15/$25 CAD/¥150 Yuan/¥2500 Yen

Product General Protocols

Find general support by application which include: protocols, troubleshooting, illustrated assays, videos and webinars.

Video Protocols

ICC/IF Video Protocol

FAQs for CDP/CUTL1 Antibody (NBP3-43964) (0)

There are no specific FAQs related to this product. Read our general customer & technical service FAQs.

Customers Who Bought This Also Bought

Contact Information

Product PDFs

Calculators

Concentration Calculator

The concentration calculator allows you to quickly calculate the volume, mass or concentration of your vial. Simply enter your mass, volume, or concentration values for your reagent and the calculator will determine the rest.

=
÷

Review this Product

Be the first to review our CDP/CUTL1 Antibody (CL5275) - Azide and BSA Free and receive a gift card or discount.

Bioinformatics

Gene Symbol CUX1