CD7 Antibody (rCD7/6972) - Azide and BSA Free

Images

 
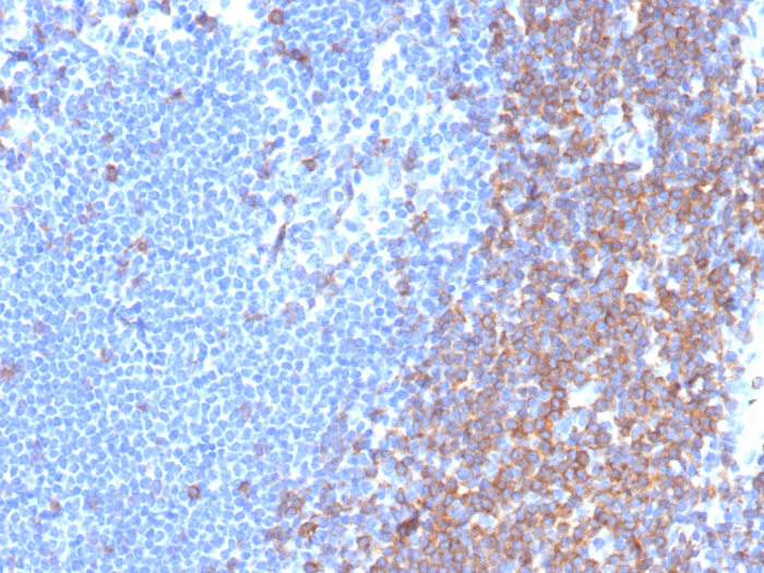
Formalin-fixed, paraffin-embedded human lymph node stained with CD7 antibody (rCD7/6972). HIER: Tris/EDTA, pH9.0, 45min. Secondary: HRP-polymer, 30min. DAB, 5min.
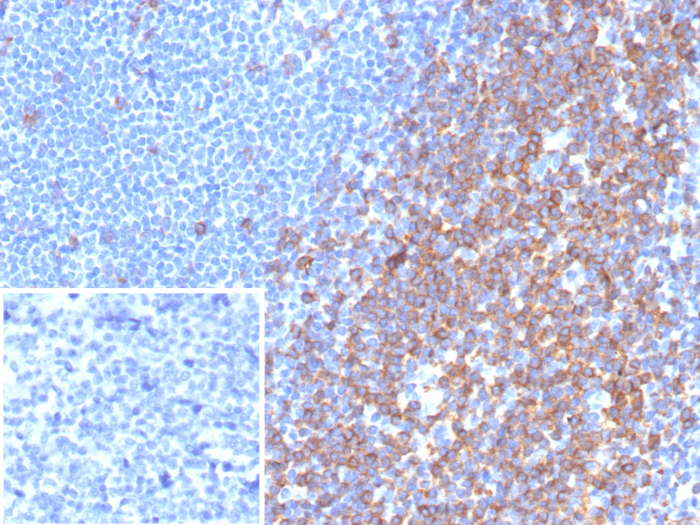
Formalin-fixed, paraffin-embedded human tonsil stained with CD7 antibody (rCD7/6972). Inset: PBS instead of primary antibody; secondary only negative control.

Product Details

Summary
Reactivity HuSpecies Glossary
Applications IHC
Clone
rCD7/6972
Clonality
Monoclonal
Host
Mouse
Conjugate
Unconjugated
Format
Azide and BSA Free
Concentration
1 mg/ml

Order Details

CD7 Antibody (rCD7/6972) - Azide and BSA Free Summary

Description
Positive Controls: HePG-2 or Jurkat cells. Human lymph node or tonsil.

Antibody with azide - store at 2 to 8C. Antibody without azide - store at -20 to -80C. Non-hazardous. No MSDS required.
Additional Information
Recombinant Monoclonal Antibody
Immunogen
Recombinant fragment (around aa140-240) of human CD7 protein (exact sequence is proprietary)
Localization
Cell Surface
Isotype
IgG1 Kappa
Clonality
Monoclonal
Host
Mouse
Gene
CD7
Purity
Protein A or G purified
Innovator's Reward
Test in a species/application not listed above to receive a full credit towards a future purchase.

Applications/Dilutions

Dilutions
  • Immunohistochemistry-Paraffin 1-2 ug/ml
Application Notes
Immunohistochemistry (Formalin-fixed): 1-2ug/ml for 30 minutes. at RT. Staining of formalin-fixed tissues requires heating tissue sections in 10mM Tris with 1mM EDTA, pH 9.0, for 45 min at 95C followed by cooling at RT for 20 minutes.

Optimal dilution for a specific application should be determined.

Packaging, Storage & Formulations

Storage
Store at -20 to -70C. Avoid freeze-thaw cycles.
Buffer
10mM PBS
Preservative
No Preservative
Concentration
1 mg/ml
Purity
Protein A or G purified

Alternate Names for CD7 Antibody (rCD7/6972) - Azide and BSA Free

  • CD7 antigen (p41)
  • CD7 antigen
  • CD7 molecule
  • CD7
  • GP40T-cell surface antigen Leu-9
  • LEU-9
  • T-cell antigen CD7
  • T-cell leukemia antigen
  • Tp40
  • TP41
  • TP41p41 protein

Background

CD7, also known as gp40, is a 40 kD type I transmembrane glycoprotein member of the immunoglobulin superfamily. It is found on T cells, NK cells, thymocytes, hematopoietic progenitors, and monocytes (weakly). CD7 is also expressed on acute lymphocytic leukemia (ALL). CD7 crosslinking induces a calcium flux in T lymphocytes, presumably as a result of cytoplasmic domain association with PI3-kinase. CD7 co-stimulation can induce cytokine secretion and modulate cellular adhesion.

Limitations

This product is for research use only and is not approved for use in humans or in clinical diagnosis. Primary Antibodies are guaranteed for 1 year from date of receipt.

Customers Who Viewed This Item Also Viewed...

7268-CT
Species: Hu
Applications: BA
NB100-524
Species: Hu, Mu
Applications: Flow-IC, Flow, ICC/IF, IHC, IHC-Fr,  IHC-P, IP, WB
NBP2-79843
Species: Hu
Applications: CyTOF-ready, ELISA, Flow, ICC/IF, IHC,  IHC-P, PA, WB
NB600-1441
Species: Ca, Hu, Mu, Po
Applications: Flow, ICC/IF, IHC, IHC-Fr,  IHC-P, KD
NBP1-19371
Species: Ca, Hu, Mu, Po, Rb, Rt
Applications: Dual ISH-IHC, Flow, ICC/IF, IHC, IHC-Fr,  IHC-P, Simple Western, WB
NBP2-25200
Species: Hu
Applications: B/N, Flow, IHC, IHC-Fr, WB
AF4117
Species: Rt
Applications: IHC, WB
NBP2-70360
Species: Hu
Applications: CyTOF-ready, Flow, IMC, ICC/IF, IHC,  IHC-P, WB
NBP1-49045
Species: Mu, Rt
Applications: Cell Depl, CyTOF-ready, Flow, ICC/IF, IHC, IHC-Fr,  IHC-P, IP, InhibTFunc
NBP2-22377
Species: Hu
Applications: IHC,  IHC-P, WB
NBP2-25196
Species: Hu, Mu
Applications: CyTOF-ready, Flow, ICC/IF, In vitro, WB
AF2335
Species: Mu
Applications: CyTOF-ready, Flow, ICC, IHC, IP, WB
AF2408
Species: Hu, Mu
Applications: CyTOF-ready, Flow, ICC, KO, Simple Western, WB
AF1126
Species: Mu
Applications: ELISA(Cap), ELISA(Det), ELISA(Sta), IHC, IP, WB
AF114
Species: Mu
Applications: CyTOF-ready, Flow, ICC, IHC, WB
202-IL
Species: Hu
Applications: BA
NBP2-54591
Species: Hu
Applications: CyTOF-ready, Flow, ICC/IF, IHC,  IHC-P, PA
NBP2-31368
Species: Hu
Applications: ICC/IF, IHC,  IHC-P, WB
NBP2-67309
Species: Hu, Rt
Applications: Flow, ICC/IF, IHC,  IHC-P, IP, WB
AF3667
Species: Hu, Mu
Applications: Dual ISH-IHC, ICC, IHC, Simple Western, WB

Publications for CD7 Antibody (NBP3-20944) (0)

There are no publications for CD7 Antibody (NBP3-20944).
By submitting your publication information earn gift cards and discounts for future purchases.

Reviews for CD7 Antibody (NBP3-20944) (0)

There are no reviews for CD7 Antibody (NBP3-20944). By submitting a review you will receive an Amazon e-Gift Card or Novus Product Discount.
  • Review with no image -- $10/€7/£6/$10 CAD/¥70 Yuan/¥1110 Yen
  • Review with an image -- $25/€18/£15/$25 CAD/¥150 Yuan/¥2500 Yen

Product General Protocols

Find general support by application which include: protocols, troubleshooting, illustrated assays, videos and webinars.

FAQs for CD7 Antibody (NBP3-20944) (0)

There are no specific FAQs related to this product. Read our general customer & technical service FAQs.

Secondary Antibodies

 

Isotype Controls

Additional CD7 Products

Research Areas for CD7 Antibody (NBP3-20944)

Find related products by research area.

Blogs on CD7.

Harnessing Natural Killer Cell Activity for Anti-Tumor Immunotherapy
By Victoria Osinski, PhDWhat’s “Natural” About Natural Killer (NK) Cells?For immunologists, the term cytotoxicity often conjures up images of an army of antigen specific CD8+ T cells deploying to ...  Read full blog post.

Customers Who Bought This Also Bought

Contact Information

Product PDFs

Calculators

Concentration Calculator

The concentration calculator allows you to quickly calculate the volume, mass or concentration of your vial. Simply enter your mass, volume, or concentration values for your reagent and the calculator will determine the rest.

=
÷

Review this Product

Be the first to review our CD7 Antibody (rCD7/6972) - Azide and BSA Free and receive a gift card or discount.

Bioinformatics

Gene Symbol CD7