CD68/SR-D1 Antibody (CL1346) - Azide and BSA Free

Images

 
Orthogonal Strategies: Analysis in human lung and skeletal muscle tissues using NBP3-44491 antibody. Corresponding CD68/SR-D1 RNA-seq data are presented for the same tissues.
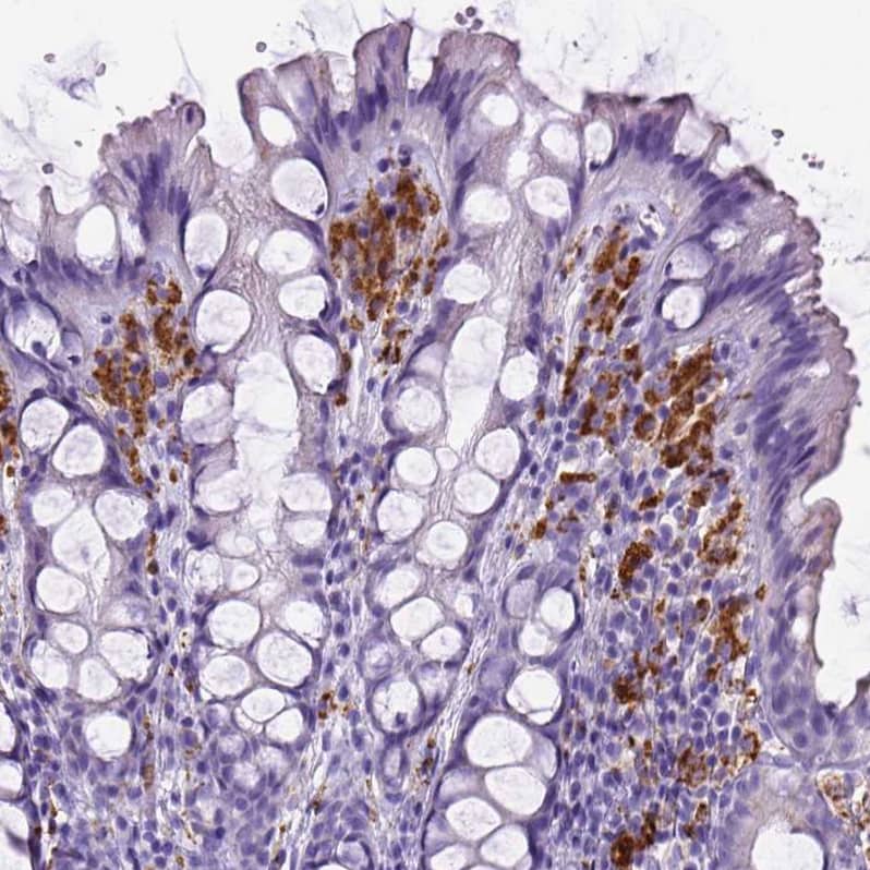
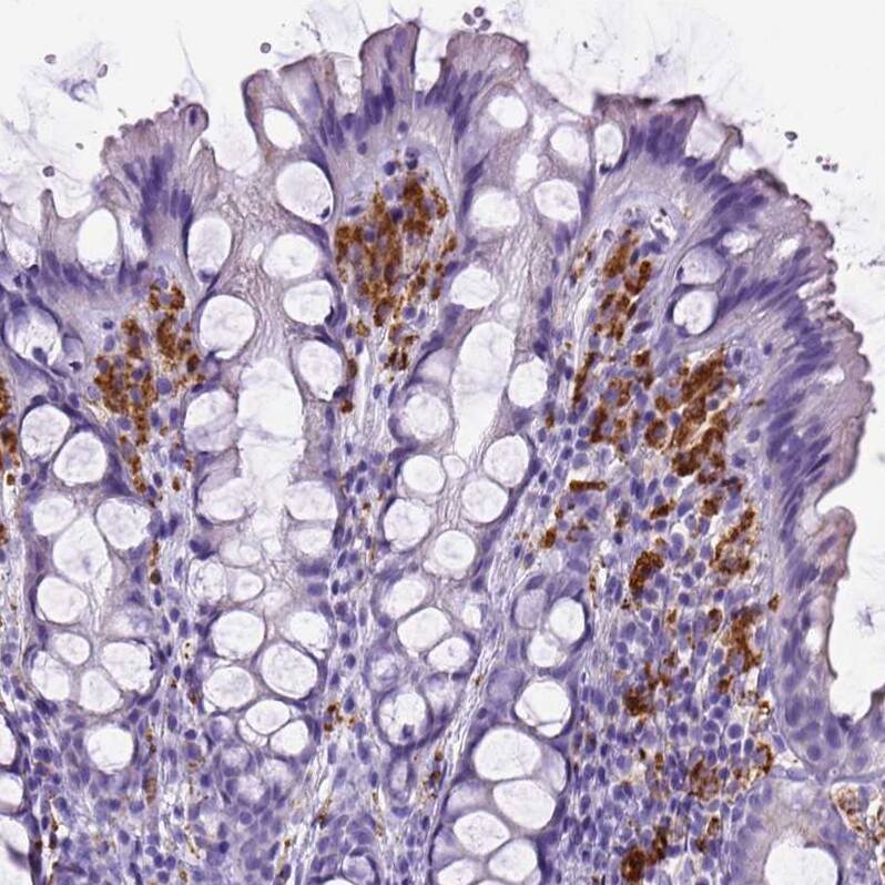
Staining of human colon shows strong cytoplasmic positivity in lymphoid cells.
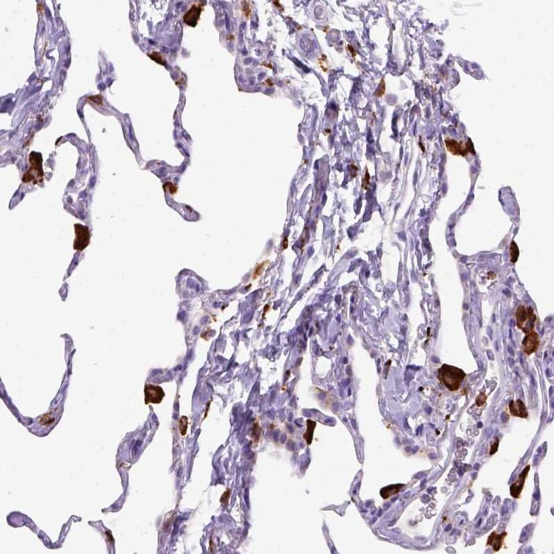
Staining of human skeletal muscle shows no positivity in myocytes as expected.
Staining of human lung shows strong cytoplasmic positivity in macrophages.
Genetic Strategies: Analysis in U-87MG ATCC cells transfected with control siRNA, target specific siRNA probe #1, using Anti-CD68/SR-D1 antibody. Remaining relative intensity is presented. Loading control: ...read more
Staining of human tonsil shows strong cytoplasmic positivity in lymphoid cells.

Product Details

Summary
Reactivity HuSpecies Glossary
Applications WB, IHC
Clone
CL1346
Clonality
Monoclonal
Host
Mouse
Conjugate
Unconjugated
Format
Azide and BSA Free
Concentration
LYOPH

Order Details

CD68/SR-D1 Antibody (CL1346) - Azide and BSA Free Summary

Description
Novus Biologicals Mouse CD68/SR-D1 Antibody (CL1346) - Azide and BSA Free (NBP2-34482) is a monoclonal antibody validated for use in IHC and WB. All Novus Biologicals antibodies are covered by our 100% guarantee.
Immunogen
This antibody was generated using a recombinant protein sequence of P34810, with the exact immunogen sequence remaining proprietary.
Isotype
IgG1
Clonality
Monoclonal
Host
Mouse
Gene
CD68
Purity
Protein A purified
Innovator's Reward
Test in a species/application not listed above to receive a full credit towards a future purchase.

Applications/Dilutions

Dilutions
  • Immunohistochemistry-Paraffin 1:1000 - 1:2500
  • Western Blot 1 ug/ml
Application Notes
For IHC-Paraffin, HIER pH 6 retrieval is recommended.

Packaging, Storage & Formulations

Storage
Store at 4C short term. Aliquot and store at -20C long term. Avoid freeze-thaw cycles.
Buffer
Lyophilized from a 0.2 um filtered solution in PBS with Trehalose
Preservative
No Preservative
Concentration
LYOPH
Purity
Protein A purified
Reconstitution Instructions
Centrifuge the vial of lyophilized antibody at 12,000 x g for 20 seconds. Reconstitute by adding sterile, distilled water to achieve a final antibody concentration of 1mg/ml.

Alternate Names for CD68/SR-D1 Antibody (CL1346) - Azide and BSA Free

  • CD_antigen: CD68
  • CD68 antigen
  • CD68 molecule
  • CD68
  • DKFZp686M18236
  • gp110
  • LAMP4
  • macrophage antigen CD68
  • Macrosialin
  • SCARD1
  • scavenger receptor class D, member 1
  • SRD1
  • SR-D1

Background

Human CD68, also known as GP110, LAMP4, Scavenger Receptor D1 (SR-D1) or macrosialin in mouse, encodes a 110-kD transmembrane glycoprotein that belongs to the lysosomal/endosomal-associated membrane glycoprotein (LAMP) family. Members of the LAMP family include LAMP-1, LAMP-2, dendritic cell (DC)-LAMP (aka CD208), and brain and dendritic cell-associated (BAD)-LAMP (aka LAMP-5). Unlike the two LAMP domains facing the lysosomal lumen in LAMP-1 and LAMP-2, CD68 has a single LAMP domain containing four cystines spaced 36-37 residues apart along with an N-terminal Mucin-like domain. The 354 amino acid (a.a.) human CD68 and 326 a.a. murine ortholog share 80.6% a.a. sequence identity (1).

CD68 is highly expressed in cells of the mononuclear phagocyte system such as macrophages, microglia, osteoclasts, and myeloid dendritic cells (DCs); and is expressed to a lesser extent in lymphoid cells (CD19+ B lymphocytes and CD4+ T lymphocytes), human umbilical cord mesenchymal stem cells (MSCs), fibroblasts, endothelial cells, multiple non-hematopoietic cancer cell lines, and human arterial intimal smooth muscle cells (SMCs). Expression has been also observed in diseased states for granulocytes and neutrophils, in particular basophils from myeloproliferative disorders and intestinal neutrophils from inflammatory bowel disease (IBD), respectively (1).

Although the function of CD68 has yet to be established, it has often been used as an immunohistochemistry (IHC) marker of inflammation and for granular cell tumors (GCTs). CD68+ tumor associated macrophages (TAMs) has been suggested to be a predictive marker for poor cancer prognosis, but a meta-analysis showed the presence of CD68 is not correlated with survival (2). In addition, a role in hepatic malaria infection has been reported based on the finding that peptide P39 binds CD68, considered a receptor for malaria sporozoite, and inhibits parasite entry into Kupffer cells. CD68 was deemed a member of the Scavenger receptor family due to its upregulation in macrophages following inflammatory stimuli, ability to bind modified LDL, phosphatidylserine, and apoptotic cells, as well as shuttling between the plasma membrane and endosomes. CD68 has been linked to atherogenesis based on binding and internalization of its ligand, oxLDL (1).

References

1. Chistiakov, DA, Killingsworth, MC, Myasoedova, VA. Orekhov AN, Bobryshev YV. (2017) CD68/macrosialin: not just a histochemical marker. Lab Invest. 97:4-13. PMID: 27869795

2. Troiano G, Caponio VCA, Adipietro I, Tepedino M, Santoro R, Laino L, Lo Russo L, Cirillo N, Lo Muzio L. (2019) Prognostic significance of CD68+ and CD163+ tumor associated macrophages in head and neck squamous cell carcinoma: A systematic review and meta-analysis. Oral Oncol. 93:66-75. PMID: 31109698.

Limitations

This product is for research use only and is not approved for use in humans or in clinical diagnosis. Primary Antibodies are guaranteed for 1 year from date of receipt.

Customers Who Viewed This Item Also Viewed...

NBP2-79843
Species: Hu
Applications: CyTOF-ready, ELISA, Flow, ICC/IF, IHC,  IHC-P, PA, WB
NB100-524
Species: Hu, Mu
Applications: Flow-IC, Flow, ICC/IF, IHC, IHC-Fr,  IHC-P, IP, WB
7268-CT
Species: Hu
Applications: BA
NB600-1441
Species: Ca, Hu, Mu, Po
Applications: Flow, ICC/IF, IHC, IHC-Fr,  IHC-P, KD
AF114
Species: Mu
Applications: CyTOF-ready, Flow, ICC, IHC, WB
NB300-223
Species: Bv, Ca, Ch, Eq, Hu, Mu, Po, Rt
Applications: ICC/IF, IHC, IHC-Fr,  IHC-P, WB
AF4117
Species: Rt
Applications: IHC, WB
NBP2-67309
Species: Hu, Rt
Applications: Flow, ICC/IF, IHC,  IHC-P, IP, WB
NBP1-19371
Species: Ca, Hu, Mu, Po, Rb, Rt
Applications: Dual ISH-IHC, Flow, ICC/IF, IHC, IHC-Fr,  IHC-P, Simple Western, WB
NBP2-54591
Species: Hu
Applications: CyTOF-ready, Flow, ICC/IF, IHC,  IHC-P, PA
NBP1-49045
Species: Mu, Rt
Applications: Cell Depl, CyTOF-ready, Flow, ICC/IF, IHC, IHC-Fr,  IHC-P, IP, InhibTFunc
M6000B
Species: Mu
Applications: ELISA
NBP2-93743
Species: Hu, Mu, Rt
Applications: ICC/IF, WB
DC140
Species: Hu
Applications: ELISA
DCP00
Species: Hu
Applications: ELISA
NBP1-87102
Species: Hu, Mu, Rt
Applications: ICC/IF, IHC,  IHC-P, WB
NBP1-87103
Species: Hu, Mu
Applications: IHC,  IHC-P, WB
AF3844
Species: Hu, Mu
Applications: IHC
NB110-89474
Species: Bv, Ce, ChHa, Hu, Pm, Mu, Rt, RM
Applications: Dual ISH-IHC, Flow-CS, Flow, ICC/IF, IHC, IHC-Fr,  IHC-P, ISH, Simple Western, Single-Cell Western, WB

Publications for CD68/SR-D1 Antibody (NBP3-44491) (0)

There are no publications for CD68/SR-D1 Antibody (NBP3-44491).
By submitting your publication information earn gift cards and discounts for future purchases.

Reviews for CD68/SR-D1 Antibody (NBP3-44491) (0)

There are no reviews for CD68/SR-D1 Antibody (NBP3-44491). By submitting a review you will receive an Amazon e-Gift Card or Novus Product Discount.
  • Review with no image -- $10/€7/£6/$10 CAD/¥70 Yuan/¥1110 Yen
  • Review with an image -- $25/€18/£15/$25 CAD/¥150 Yuan/¥2500 Yen

Product General Protocols

Find general support by application which include: protocols, troubleshooting, illustrated assays, videos and webinars.

Video Protocols

WB Video Protocol

FAQs for CD68/SR-D1 Antibody (NBP3-44491) (0)

There are no specific FAQs related to this product. Read our general customer & technical service FAQs.

Secondary Antibodies

 

Isotype Controls

Additional CD68/SR-D1 Products

Research Areas for CD68/SR-D1 Antibody (NBP3-44491)

Find related products by research area.

Blogs on CD68/SR-D1.

CD68 (Cluster of differentiation 68, GP110, LAMP4, SCARD1)
CD68 belongs to a growing family of hematopoietic mucin-like molecules known as lysosomal/endosomal-associated membrane glycoproteins (LAMPs). Other LAMP family members included leukosialin, stem cell antigen CD34, and GlyCAM-1. CD68 encodes a 110-kD ...  Read full blog post.

Customers Who Bought This Also Bought

Contact Information

Product PDFs

Calculators

Concentration Calculator

The concentration calculator allows you to quickly calculate the volume, mass or concentration of your vial. Simply enter your mass, volume, or concentration values for your reagent and the calculator will determine the rest.

=
÷

Review this Product

Be the first to review our CD68/SR-D1 Antibody (CL1346) - Azide and BSA Free and receive a gift card or discount.

Bioinformatics

Gene Symbol CD68