CD63 Antibody (LAMP3/968) - IHC-Prediluted

Images

 
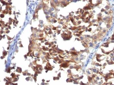
Immunohistochemistry-Paraffin: CD63 Antibody (LAMP3/968) - IHC-Prediluted [NBP2-48021] - Formalin-fixed, paraffin-embedded human Prostate Carcinoma stained with CD63 Antibody (LAMP3/968)
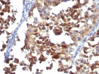
Immunohistochemistry-Paraffin: CD63 Antibody (LAMP3/968) - IHC-Prediluted [NBP2-48021] - Formalin-fixed, paraffin-embedded human Melanoma stained with CD63 Antibody (LAMP3/968)
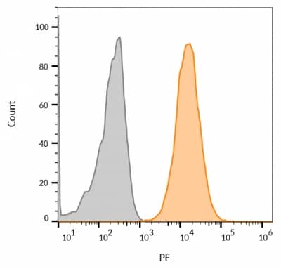
Flow cytometry of bead-bound exosomes derived from MCF-7 cells. Unstained exosomes (gray) or stained with CF555-labeled CD63 Antibody (LAMP3/968) - IHC-Prediluted (orange)
Flow Cytometric Analysis of PFA-fixed U87MG cells. CD63 Antibody (LAMP3/968) - IHC-Prediluted followed by goat anti-Mouse IgG-CF488 (Blue); Isotype Control (Red).
Flow cytometry of MCF-7 cells unstained (gray) or stained with CF555-labeled CD63 Antibody (LAMP3/968) - IHC-Prediluted (orange).

Product Details

Summary
Reactivity HuSpecies Glossary
Applications IHC
Clone
LAMP3/968
Clonality
Monoclonal
Host
Mouse
Conjugate
Unconjugated
Format
IHC-Prediluted

Order Details

CD63 Antibody (LAMP3/968) - IHC-Prediluted Summary

Description
The prediluted antibody does not require any mixing, dilution, reconstitution, or titration; the antibody is ready-to-use and optimized for staining.
Immunogen
Recombinant human full-length CD63 protein (Uniprot: P08962)
Localization
Cell Surface and Cytoplasmic
Marker
Late Endosomes Marker
Specificity
This monoclonal antibody recognizes protein of 26kDa-60kDa, which is identified as CD63. Its epitope is different from that of monoclonal antibody LAMP3/529. The tetraspanins are integral membrane proteins expressed on cell surface and granular membranes of hematopoietic cells and are components of multi-molecular complexes with specific integrins. The tetraspanin CD63 is a lysosomal membrane glycoprotein that translocates to the plasma membrane after platelet activation. CD63 is expressed on activated platelets, monocytes and macrophages, and is weakly expressed on granulocytes, T cell and B cells. It is located on the basophilic granule membranes and on the plasma membranes of lymphocytes and granulocytes. CD63 is a member of the TM4 superfamily of leukocyte glycoproteins that includes CD9, CD37 and CD53, which contain four transmembrane regions. CD63 may play a role in phagocytic and intracellular lysosome-phagosome fusion events. CD63 deficiency is associated with Hermansky-Pudlak syndrome and is strongly expressed during the early stages of melanoma progression.
Isotype
IgG2a Kappa
Clonality
Monoclonal
Host
Mouse
Gene
CD63
Purity
Protein A or G purified
Innovator's Reward
Test in a species/application not listed above to receive a full credit towards a future purchase.

Applications/Dilutions

Dilutions
  • Immunohistochemistry
  • Immunohistochemistry-Paraffin
Application Notes
Immunohistochemistry (Formalin-fixed): 1-2ug/ml for 30 minutes at RT. Staining of formalin-fixed tissues requires heating tissue sections in 10mM Tris with 1mM EDTA, pH 9.0, for 45 min at 95C followed by cooling at RT for 20 minutes.
Optimal dilution for a specific application should be determined.

Packaging, Storage & Formulations

Storage
Store at 4C.
Buffer
10 mM PBS with 0.05% BSA
Preservative
0.05% Sodium Azide
Purity
Protein A or G purified

Alternate Names for CD63 Antibody (LAMP3/968) - IHC-Prediluted

  • CD_antigen: CD63
  • CD63 antigen (melanoma 1 antigen)
  • CD63 antigen
  • CD63 molecule
  • CD63
  • Granulophysin
  • Lamp-3
  • Lysosomal-associated membrane protein 3
  • lysosome-associated membrane glycoprotein 3
  • ME491
  • melanoma 1 antigen
  • Melanoma-associated antigen ME491
  • melanoma-associated antigen MLA1
  • MLA1
  • Ocular melanoma-associated antigen
  • OMA81H
  • tetraspanin-30
  • Tspan30
  • tspan-30

Background

CD63 (cluster of differentiation 63), also known as lysosome associated membrane protein 3 (LAMP-3), is a membrane spanning glycoprotein with a molecular mass ranging from 30-60 kDa that was the first characterized member of the tetraspanin superfamily (1,2). CD63 is ubiquitously expressed and largely present on the cell surface in the endosomal system (1-3). More specifically, it is generally present in multivesicular bodies (MVBs), also called late endosomes, and lysosomes (1). The CD63 molecule is a total of 238 amino acids (aa), has four hydrophobic membrane-spanning regions and three N-glycosylation sites, and the encoded protein has a theoretical molecular weight of 25 kDa (2,3). CD63 both directly and indirectly interacts with other proteins including integrins, cell surface receptors, other tetraspanins, kinases, and adapter proteins, to name a few (1). CD63 is involved in many cell processes including cell survival and activation, cell adhesion, invasion, and migration (1). Additionally, CD63 has been shown to interact with tissue inhibitor of metalloproteinase 1 (TIMP-1), which originally thought to be an inhibitor of cancer progression has recently been shown to have cancer promoting properties as well (1,4). The CD63-TIMP-1 interaction has been shown to activate the PI3K/AKT pathway in lung adenocarcinoma cells and also promote survival and invasion of acute myeloid leukemia cells (1).CD63 is a useful flow cytometry marker for basophil granulocytes and can be used for the basophil activation test (BAT) to assess IgE-mediated allergy response (5). As CD63 was initially discovered on activated blood platelets and is a lysosomal-associated protein it makes sense it would be involved in platelet or lysosomal-related disorders (1,2). More precisely, CD63 is associated with Hermansky-Pudlak syndrome, a disease characterized by albinism and platelet storage pool deficiency (6).

References

1. Pols, M. S., & Klumperman, J. (2009). Trafficking and function of the tetraspanin CD63. Experimental cell research. https://doi.org/10.1016/j.yexcr.2008.09.020

2. Metzelaar, M. J., Wijngaard, P. L., Peters, P. J., Sixma, J. J., Nieuwenhuis, H. K., & Clevers, H. C. (1991). CD63 antigen. A novel lysosomal membrane glycoprotein, cloned by a screening procedure for intracellular antigens in eukaryotic cells. The Journal of biological chemistry.

3. Horejsi, V., & Vlcek, C. (1991). Novel structurally distinct family of leucocyte surface glycoproteins including CD9, CD37, CD53 and CD63. FEBS letters. https://doi.org/10.1016/0014-5793(91)80988-f

4. Eckfeld, C., HauBler, D., Schoeps, B., Hermann, C. D., & Kruger, A. (2019). Functional disparities within the TIMP family in cancer: hints from molecular divergence. Cancer metastasis reviews. https://doi.org/10.1007/s10555-019-09812-6

5. Hoffmann, H. J., Santos, A. F., Mayorga, C., Nopp, A., Eberlein, B., Ferrer, M., Rouzaire, P., Ebo, D. G., Sabato, V., Sanz, M. L., Pecaric-Petkovic, T., Patil, S. U., Hausmann, O. V., Shreffler, W. G., Korosec, P., & Knol, E. F. (2015). The clinical utility of basophil activation testing in diagnosis and monitoring of allergic disease. Allergy. https://doi.org/10.1111/all.12698

6. Dell'Angelica, E. C., Shotelersuk, V., Aguilar, R. C., Gahl, W. A., & Bonifacino, J. S. (1999). Altered trafficking of lysosomal proteins in Hermansky-Pudlak syndrome due to mutations in the beta 3A subunit of the AP-3 adaptor. Molecular cell. https://doi.org/10.1016/s1097-2765(00)80170-7

Limitations

This product is for research use only and is not approved for use in humans or in clinical diagnosis. Primary Antibodies are guaranteed for 1 year from date of receipt.

Customers Who Viewed This Item Also Viewed...

7268-CT
Species: Hu
Applications: BA
NB100-524
Species: Hu, Mu
Applications: Flow-IC, Flow, ICC/IF, IHC, IHC-Fr,  IHC-P, IP, WB
NBP2-79843
Species: Hu
Applications: CyTOF-ready, ELISA, Flow, ICC/IF, IHC,  IHC-P, PA, WB
137-PS
Species: Hu
Applications: BA
NB500-327
Species: Hu
Applications: CyTOF-ready, ELISA, Flow, IHC,  IHC-P, In vitro, WB
NB100-65805
Species: Gt, Hu, Mu, Pm, Sh
Applications: CyTOF-ready, DB, ELISA, Flow, ICC/IF, IHC,  IHC-P, IP, Simple Western, WB
NBP2-21792
Species: Hu
Applications: CyTOF-ready, Flow, ICC/IF, IHC,  IHC-P, IP, WB
NB120-19294
Species: Hu, Mu, Rt
Applications: ICC/IF, IHC,  IHC-P, WB
NBP1-44643
Species: Hu
Applications: CyTOF-ready, Flow, ICC/IF
MAB4609
Species: Mu
Applications: CyTOF-ready, Flow, ICC
MAB7616
Species: Hu
Applications: CyTOF-ready, Flow, WB
203-IL
Species: Hu
Applications: BA
NB500-393
Species: Hu
Applications: CyTOF-ready, Flow, IHC, IHC-Fr, IP, WB
NBP2-57949
Species: Hu
Applications: ICC/IF
NB600-586
Species: Ca, Fe, Hu, Mu
Applications: Dual ISH-IHC, ICC/IF, IHC, IHC-Fr,  IHC-P
NB110-89474
Species: Bv, Ce, ChHa, Hu, Pm, Mu, Rt, RM
Applications: Dual ISH-IHC, Flow-CS, Flow, ICC/IF, IHC, IHC-Fr,  IHC-P, ISH, Simple Western, Single-Cell Western, WB
DCDL40
Species: Hu
Applications: ELISA
NBP1-36951
Species: Hu
Applications: Flow, ICC/IF, PEP-ELISA, WB
AF3628
Species: Hu, Mu, Rt
Applications: CyTOF-ready, Flow, ICC, IHC, Simple Western, WB
MAB17781
Species: Hu
Applications: Block, CyTOF-ready, Flow, ICC, IP, KO

Publications for CD63 Antibody (NBP2-48021) (0)

There are no publications for CD63 Antibody (NBP2-48021).
By submitting your publication information earn gift cards and discounts for future purchases.

Reviews for CD63 Antibody (NBP2-48021) (0)

There are no reviews for CD63 Antibody (NBP2-48021). By submitting a review you will receive an Amazon e-Gift Card or Novus Product Discount.
  • Review with no image -- $10/€7/£6/$10 CAD/¥70 Yuan/¥1110 Yen
  • Review with an image -- $25/€18/£15/$25 CAD/¥150 Yuan/¥2500 Yen

Product General Protocols

Find general support by application which include: protocols, troubleshooting, illustrated assays, videos and webinars.

FAQs for CD63 Antibody (NBP2-48021) (0)

There are no specific FAQs related to this product. Read our general customer & technical service FAQs.

Secondary Antibodies

 

Isotype Controls

Additional CD63 Products

Research Areas for CD63 Antibody (NBP2-48021)

Find related products by research area.

Blogs on CD63.

Glypican 3 as a biomarker for gastro-esophageal adenocarcinoma
By Jamshed Arslan, Pharm. D., PhD. Gastroesophageal adenocarcinoma originates from the glandular epithelium of the esophagus, gastroesophageal junction and stomach. The incidence of gastroesophageal adenocarcinoma is ...  Read full blog post.

Tools for Isolation, Quantification and Analysis of Exosomes
Exosomes are spherical to cup-shaped bilayered membrane enclosed nanosize vesicles (30-100 nm) which have the ability to shuttle active cargoes between cells. Johnstone et al. 1987 pioneered in documenting the generation of exosomes in differentiat...  Read full blog post.

CD63: is it pro-metastatic or anti-metastatic?
CD63 is a type II membrane protein belonging to tetraspanin superfamily and it play key roles in the activation of several cellular signaling cascades along with acting as TIMP1 receptor. It is expressed by activated platelets, monocytes,...  Read full blog post.

Customers Who Bought This Also Bought

Contact Information

Product PDFs

Calculators

Concentration Calculator

The concentration calculator allows you to quickly calculate the volume, mass or concentration of your vial. Simply enter your mass, volume, or concentration values for your reagent and the calculator will determine the rest.

=
÷

Review this Product

Be the first to review our CD63 Antibody (LAMP3/968) - IHC-Prediluted and receive a gift card or discount.

Bioinformatics

Gene Symbol CD63