CD40/TNFRSF5 Antibody (CL1673) - Azide and BSA Free

Images

 
Lane 1: Marker [kDa]Lane 2: Human spleen
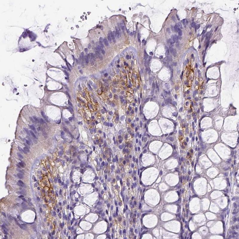
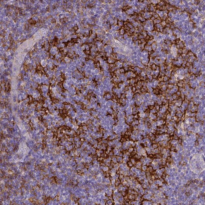
Orthogonal Strategies: Analysis in human tonsil and cerebral cortex tissues using NBP3-43956 antibody. Corresponding CD40/TNFRSF5 RNA-seq data are presented for the same tissues.
Staining of human cerebral cortex shows no positivity in neuronal cells as expected.
Staining of human colon shows moderate membranous positivity in lymphoid cells.
Staining of human tonsil shows strong membranous positivity in germinal center cells.

Product Details

Summary
Reactivity HuSpecies Glossary
Applications WB, IHC
Clone
CL1673
Clonality
Monoclonal
Host
Mouse
Conjugate
Unconjugated
Format
Azide and BSA Free
Concentration
LYOPH
Validated by:
       

Orthogonal Strategies

 

Order Details

CD40/TNFRSF5 Antibody (CL1673) - Azide and BSA Free Summary

Description
Novus Biologicals Mouse CD40/TNFRSF5 Antibody (CL1673) - Azide and BSA Free (NBP2-34488) is a monoclonal antibody validated for use in IHC and WB. All Novus Biologicals antibodies are covered by our 100% guarantee.
Immunogen
This antibody was generated using a recombinant protein sequence of P25942, with the exact immunogen sequence remaining proprietary.
Isotype
IgG1
Clonality
Monoclonal
Host
Mouse
Gene
CD40
Purity
Protein A purified
Innovator's Reward
Test in a species/application not listed above to receive a full credit towards a future purchase.

Applications/Dilutions

Dilutions
  • Immunohistochemistry-Paraffin 1:2500 - 1:5000
  • Western Blot 1 ug/ml
Application Notes
For IHC-Paraffin, HIER pH 6 retrieval is recommended.

Packaging, Storage & Formulations

Storage
Store at 4C short term. Aliquot and store at -20C long term. Avoid freeze-thaw cycles.
Buffer
Lyophilized from a 0.2 um filtered solution in PBS with Trehalose
Preservative
No Preservative
Concentration
LYOPH
Purity
Protein A purified
Reconstitution Instructions
Centrifuge the vial of lyophilized antibody at 12,000 x g for 20 seconds. Reconstitute by adding sterile, distilled water to achieve a final antibody concentration of 1mg/ml.

Alternate Names for CD40/TNFRSF5 Antibody (CL1673) - Azide and BSA Free

  • B cell surface antigen CD40
  • B-cell surface antigen CD40
  • Bp50B cell-associated molecule
  • CD40 antigen
  • CD40 molecule, TNF receptor superfamily member 5
  • CD40 type II isoform
  • CD40
  • CD40L receptor
  • CDw40
  • MGC9013
  • nerve growth factor receptor-related B-lymphocyte activation molecule
  • p50
  • TNFRSF5
  • TNFRSF5CD40 antigen (TNF receptor superfamily member 5)
  • tumor necrosis factor receptor superfamily member 5
  • tumor necrosis factor receptor superfamily, member 5

Background

CD40 and its ligand CD154 are members of the tumor necrosis factor receptor (TNFR) and TNF families, respectively, that play key roles in signaling pathways mediating cell growth, survival and differentiation in B-lymphocytes (reviewed in Quezada et al 2004). The CD40 receptor is a 45-50 kDa glycoprotein and is expressed on the surface of B-lymphocytes, some activated T-cells, monocytes, follicular dendritic cells, basal epithelial cells, and in some epithelial and non-epithelial carcinomas. The functions of CD40 have been most extensively studied in B-cells. Ligation of B CD40 by CD154, expressed on activated T cells, stimulates B cell proliferation, differentiation, isotype switching, upregulation of surface molecules contributing to antigen presentation, development of the germinal center, and the humoral memory response. Several distinct structural motifs in the CD40 cytoplasmic domain regaulate various CD40 signaling pathways. A major CD40 signaling pathway activated from CD154 ligand binding is the canonical pathway to the transcription factor family NF-kB, a family of genes mediating immune and inflammatory responses. Although CD40 has been extensively studied as a plasma membrane-associated growth factor membrane receptor. it has also been identified in the cytoplasm and nucleus of normal and neoplastic B-lymphoid cells (Lin-Lee et al. 2006). Other growth factor receptors, including EGF, FGF, and TGF-B have also been identified in the nuclus. It is thought that plasma membrane receptor signaling may be followed by nuclear migration of signaling pathway components. The presence of CD40 in the nucleus of activated normal B lymphocytes and neoplastic B-lymphoid cells suggests that CD40 may play a more complex role in regulating essential growth and survival pathways in B-lymphocytes than previously thought.

Limitations

This product is for research use only and is not approved for use in humans or in clinical diagnosis. Primary Antibodies are guaranteed for 1 year from date of receipt.

Customers Who Viewed This Item Also Viewed...

DCDL40
Species: Hu
Applications: ELISA
NB100-56583
Species: Hu, Rb, Rt
Applications: Flow, IHC,  IHC-P, KO, Simple Western, WB
NBP2-25208
Species: Hu, Mu, Rt
Applications: Flow, ICC/IF, IHC, IHC-Fr,  IHC-P, KO, Simple Western, WB
7268-CT
Species: Hu
Applications: BA
MAB140
Species: Hu
Applications: CyTOF-ready, Dual ISH-IHC, ELISA(Cap), ELISA(Det), ELISA(Sta), Flow, IHC, Neut
NB100-2176
Species: Hu, Mu, Rt
Applications: ChIP, ICC/IF, IHC,  IHC-P, IP, WB
6507-IL/CF
Species: Hu
Applications: BA
NB100-524
Species: Hu, Mu
Applications: Flow-IC, Flow, ICC/IF, IHC, IHC-Fr,  IHC-P, IP, WB
NBP2-79843
Species: Hu
Applications: CyTOF-ready, ELISA, Flow, ICC/IF, IHC,  IHC-P, PA, WB
MAB4364
Species: Rt
Applications: ICC, IHC, IP, KO, WB
AF2849
Species: Mu, Rt
Applications: WB
NBP2-02665
Species: Ca, Hu, Pm, Po, Pm, Rt
Applications: Flow, ICC/IF, IHC,  IHC-P, WB
DY417
Species: Mu
Applications: ELISA
NBP1-72042
Species: Hu, Mu, Rt
Applications: ICC/IF, IHC,  IHC-P, PEP-ELISA, WB
M6000B
Species: Mu
Applications: ELISA
485-MI
Species: Mu
Applications: BA
202-IL
Species: Hu
Applications: BA
NBP1-19371
Species: Ca, Hu, Mu, Po, Rb, Rt
Applications: Dual ISH-IHC, Flow, ICC/IF, IHC, IHC-Fr,  IHC-P, Simple Western, WB
AF796
Species: Mu
Applications: AdBlk, IHC, WB

Publications for CD40/TNFRSF5 Antibody (NBP3-43956) (0)

There are no publications for CD40/TNFRSF5 Antibody (NBP3-43956).
By submitting your publication information earn gift cards and discounts for future purchases.

Reviews for CD40/TNFRSF5 Antibody (NBP3-43956) (0)

There are no reviews for CD40/TNFRSF5 Antibody (NBP3-43956). By submitting a review you will receive an Amazon e-Gift Card or Novus Product Discount.
  • Review with no image -- $10/€7/£6/$10 CAD/¥70 Yuan/¥1110 Yen
  • Review with an image -- $25/€18/£15/$25 CAD/¥150 Yuan/¥2500 Yen

Product General Protocols

Find general support by application which include: protocols, troubleshooting, illustrated assays, videos and webinars.

Video Protocols

WB Video Protocol

FAQs for CD40/TNFRSF5 Antibody (NBP3-43956). (Showing 1 - 2 of 2 FAQ).

  1. I wanna know does CD40 antibody for IHC-P comes with positive control slide?
    • Our CD40 antibodies do not come with positive control slides however you can use any type of primary carcinoma cell as a positive control. I recommend breast carcinoma as this is what we have tested our CD40 antibodies on.
  2. We are studying CD40L in our system. It has been known that both CD40 and CD11b are receptors for CD40L. We need CD40 antibody to neutralize CD40 binding to CD40L, then we may prove what is function for CD11b binding to CD40L. Do you have any CD40 Ab which has block function only between CD40 and CD40L, but not between CD11b and CD40L?
    • Unfortunately, none of our CD40 antibodies have been specifically tested for this application.

Customers Who Bought This Also Bought

Contact Information

Product PDFs

Calculators

Concentration Calculator

The concentration calculator allows you to quickly calculate the volume, mass or concentration of your vial. Simply enter your mass, volume, or concentration values for your reagent and the calculator will determine the rest.

=
÷

Review this Product

Be the first to review our CD40/TNFRSF5 Antibody (CL1673) - Azide and BSA Free and receive a gift card or discount.

Bioinformatics

Gene Symbol CD40