CD38 Antibody (CD38/8075R) - Azide and BSA Free

Images

 
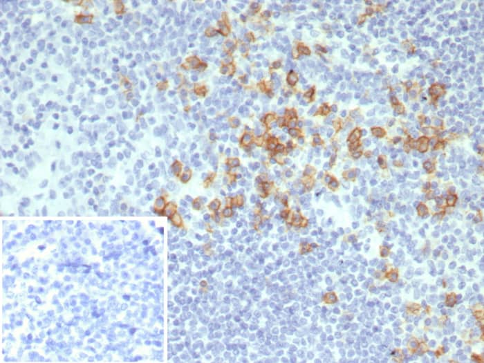
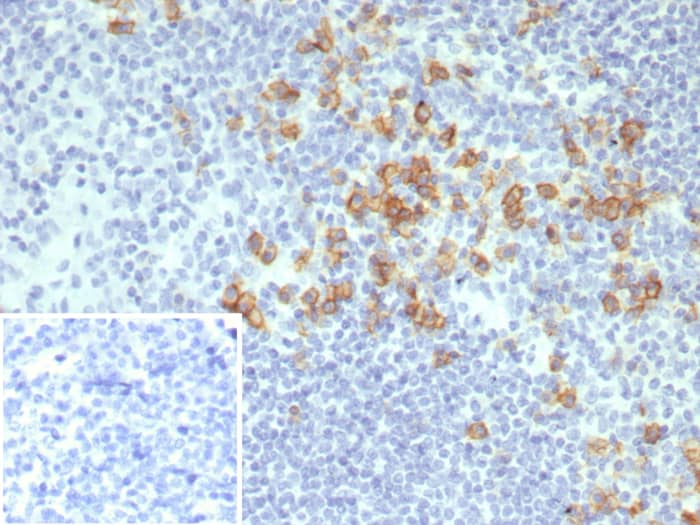
Formalin-fixed, paraffin-embedded human tonsil stained with CD38 antibody (CD38/8075R) - Azide and BSA Free. Inset: PBS instead of primary antibody; secondary only negative control.

Product Details

Summary
Reactivity HuSpecies Glossary
Applications IHC
Clone
CD38/8075R
Clonality
Monoclonal
Host
Rabbit
Conjugate
Unconjugated
Format
Azide and BSA Free
Concentration
1 mg/ml

Order Details

CD38 Antibody (CD38/8075R) - Azide and BSA Free Summary

Description
Antibody without azide - store at -20 to -80C.
Additional Information
Recombinant Monoclonal Antibody
Immunogen
Recombinant fragment (around aa 200-300) of human CD38 (exact sequence is proprietary)
Localization
Cell Surface. Cytoplasm.
Isotype
IgG Kappa
Clonality
Monoclonal
Host
Rabbit
Gene
CD38
Purity
Protein A or G purified
Innovator's Reward
Test in a species/application not listed above to receive a full credit towards a future purchase.

Applications/Dilutions

Dilutions
  • Immunohistochemistry-Paraffin 1-2ug/ml
Application Notes
Immunohistochemistry-Paraffin: 1-2ug/ml for 30 minutes at RT. Staining of formalin-fixed tissues requires heating tissue sections in 10mM Tris with 1mM EDTA, pH 9.0, for 45 min at 95C followed by cooling at RT for 20 minutes. Optimal dilution for a specific application should be determined.

Packaging, Storage & Formulations

Storage
Store at -20 to -80C. Avoid freeze-thaw cycles.
Buffer
10mM PBS
Preservative
No Preservative
Concentration
1 mg/ml
Purity
Protein A or G purified

Alternate Names for CD38 Antibody (CD38/8075R) - Azide and BSA Free

  • 2'-phospho-ADP-ribosyl cyclase
  • 2'-phospho-ADP-ribosyl cyclase/2'-phospho-cyclic-ADP-ribose transferase (EC:2.4.99.20)
  • 2'-phospho-cyclic-ADP-ribose transferase
  • ADPRC 1
  • ADPRC1
  • ADP-ribosyl cyclase 1
  • ADP-ribosyl Cyclase
  • ADP-ribosyl cyclase/cyclic ADP-ribose hydrolase 1
  • ADP-ribosyl cyclase/cyclic ADP-ribose hydrolase
  • cADPr hydrolase 1
  • CD_antigen: CD38
  • CD38 antigen (p45)
  • CD38 antigen
  • CD38 molecule
  • CD38
  • cluster of differentiation 38
  • Cyclic ADP-ribose hydrolase 1
  • Cyclic ADP-ribose Hydrolase
  • EC 2.4.99.20
  • EC 3.2.2.6
  • EC:3.2.2.6
  • NAD(+) nucleosidase
  • T10

Background

CD38 (cluster of differentiation 38), previously known as T10, is a 46 kDa type II transmembrane glycoprotein (1). CD38 is expressed in both lymphoid and non-lymphoid tissue including in thymocytes, T and B lymphocytes, myeloid cells, natural killer cells, plasma cells, erythrocytes, and additionally in cells of the brain, pancreas, muscle, and bone (1,2). Structurally, CD38 is an "L"-shape which is formed by two separate domains connected by a three peptide-chain hinge region (2). The N-terminal domain is composed of five alpha-helices and two beta strands, while the C-terminal domain contains a four-stranded parallel beta-sheet and two long and two short alpha-helices (2). The CD38 molecule is located on chromosome 4 and is 300 amino acids (aa) in length with a theoretical molecular weight of 34 kDa that functions as both a receptor and an enzyme (1-6). As a receptor, CD38 interacts with its ligand CD31, which is largely expressed in endothelial cells (2-6). As an ectoenzyme, CD38 has a role in calcium signaling and is responsible for the conversion of nicotinamide adenine dinucleotide (NAD) into adenosine diphosphate-ribose (ADPR) or cyclic ADPR and the conversion of phosphorylated NAD (NADP) into nicotinic acid adenine dinucleotide phosphate (NAADP) (2-6).

As described above, CD38 is highly expressed in plasma cells and, as a result, is a target for treating multiple myeloma (MM), the cancer of white blood cells (4,6). The anti-CD38 monoclonal antibody daratumumab is one specific treatment for MM (4,6). Daratumumab has been shown to target MM cells through antibody-dependent cellular cytotoxicity and antibody dependent cellular phagocytosis (4). Additionally, CD38 has a potential role in neurodegenerative disorders and neuroinflammation as elucidated CD38's high expression in neurons, astrocytes, and microglia along with its enzymatic role in NAD degradation (3). Reduced NAD levels is a consequence of aging and occurs during neurodegeneration (3). Furthermore, murine studies have found that CD38 deletion inhibits neuroinflammation and neurodegeneration and therefore might be a potential therapeutic target (3). Similarly, CD38 inhibitors, like quercetin and luteolin, are used to treat age-related diseases and metabolic disorders (7).

References

1. Malavasi, F., Funaro, A., Alessio, M., DeMonte, L. B., Ausiello, C. M., Dianzani, U., Lanza, F., Magrini, E., Momo, M., & Roggero, S. (1992). CD38: a multi-lineage cell activation molecule with a split personality. International journal of clinical & laboratory research. https://doi.org/10.1007/BF02591400

2. Malavasi, F., Deaglio, S., Funaro, A., Ferrero, E., Horenstein, A. L., Ortolan, E., Vaisitti, T., & Aydin, S. (2008). Evolution and function of the ADP ribosyl cyclase/CD38 gene family in physiology and pathology. Physiological reviews. https://doi.org/10.1152/physrev.00035.2007

3. Guerreiro, S., Privat, A. L., Bressac, L., & Toulorge, D. (2020). CD38 in Neurodegeneration and Neuroinflammation. Cells. https://doi.org/10.3390/cells9020471

4. van de Donk, N., Richardson, P. G., & Malavasi, F. (2018). CD38 antibodies in multiple myeloma: back to the future. Blood. https://doi.org/10.1182/blood-2017-06-740944

5. Lund, F. E., Cockayne, D. A., Randall, T. D., Solvason, N., Schuber, F., & Howard, M. C. (1998). CD38: a new paradigm in lymphocyte activation and signal transduction. Immunological reviews. https://doi.org/10.1111/j.1600-065x.1998.tb01573.x

6. Glaria, E., & Valledor, A. F. (2020). Roles of CD38 in the Immune Response to Infection. Cells. https://doi.org/10.3390/cells9010228

7. Rajman, L., Chwalek, K., & Sinclair, D. A. (2018). Therapeutic Potential of NAD-Boosting Molecules: The In Vivo Evidence. Cell metabolism. https://doi.org/10.1016/j.cmet.2018.02.011

Limitations

This product is for research use only and is not approved for use in humans or in clinical diagnosis. Primary Antibodies are guaranteed for 1 year from date of receipt.

Customers Who Viewed This Item Also Viewed...

7268-CT
Species: Hu
Applications: BA
NBP2-79843
Species: Hu
Applications: CyTOF-ready, ELISA, Flow, ICC/IF, IHC,  IHC-P, PA, WB
NB100-524
Species: Hu, Mu
Applications: Flow-IC, Flow, ICC/IF, IHC, IHC-Fr,  IHC-P, IP, WB
AF4117
Species: Rt
Applications: IHC, WB
NBP1-19371
Species: Ca, Hu, Mu, Po, Rb, Rt
Applications: Dual ISH-IHC, Flow, ICC/IF, IHC, IHC-Fr,  IHC-P, Simple Western, WB
NBP2-25196
Species: Hu, Mu
Applications: CyTOF-ready, Flow, ICC/IF, In vitro, WB
NBP1-49045
Species: Mu, Rt
Applications: Cell Depl, CyTOF-ready, Flow, ICC/IF, IHC, IHC-Fr,  IHC-P, IP, InhibTFunc
AF114
Species: Mu
Applications: CyTOF-ready, Flow, ICC, IHC, WB
M6000B
Species: Mu
Applications: ELISA
202-IL
Species: Hu
Applications: BA
NBP2-54591
Species: Hu
Applications: CyTOF-ready, Flow, ICC/IF, IHC,  IHC-P, PA
AF3709
Species: Hu
Applications: IHC, Simple Western, WB
NBP2-67309
Species: Hu, Rt
Applications: Flow, ICC/IF, IHC,  IHC-P, IP, WB
NB600-1441
Species: Ca, Hu, Mu, Po
Applications: Flow, ICC/IF, IHC, IHC-Fr,  IHC-P, KD
255-SC
Species: Hu
Applications: BA
DR2A00
Species: Hu
Applications: ELISA
AF1126
Species: Mu
Applications: ELISA(Cap), ELISA(Det), ELISA(Sta), IHC, IP, WB
H00003669-M01
Species: Hu
Applications: ELISA, ICC/IF, S-ELISA, WB
NBP2-22377
Species: Hu
Applications: IHC,  IHC-P, WB

Publications for CD38 Antibody (NBP3-24273) (0)

There are no publications for CD38 Antibody (NBP3-24273).
By submitting your publication information earn gift cards and discounts for future purchases.

Reviews for CD38 Antibody (NBP3-24273) (0)

There are no reviews for CD38 Antibody (NBP3-24273). By submitting a review you will receive an Amazon e-Gift Card or Novus Product Discount.
  • Review with no image -- $10/€7/£6/$10 CAD/¥70 Yuan/¥1110 Yen
  • Review with an image -- $25/€18/£15/$25 CAD/¥150 Yuan/¥2500 Yen

Product General Protocols

Find general support by application which include: protocols, troubleshooting, illustrated assays, videos and webinars.

FAQs for CD38 Antibody (NBP3-24273). (Showing 1 - 1 of 1 FAQ).

  1. Which is your best antibody anti-human CD38 for IHC-P?
    • We do have a number of CD38 antibodies validated in IHC-P, please use the filters on the left side of the search page to help find the product that mostly suits to your experimental design.

Secondary Antibodies

 

Isotype Controls

Additional CD38 Products

Research Areas for CD38 Antibody (NBP3-24273)

Find related products by research area.

Blogs on CD38.

Transferrin and the blood brain barrier
Transferrin, an iron binding protein that facilitates iron uptake in cells, is an integral part of a mechanism that may introduce antibody therapies to the central nervous system. Currently, the brain’s ability to take in antibody therapies i...  Read full blog post.

Multifunctional CD38
CD38 is a 42 kD type II transmembrane glycoprotein that uses nicotinamide adenine dinucleotide (NAD) as a substrate to form cyclic adenosine diphosphate ribose (cADPR). This novel multifunctional ectoenzyme has both cyclase and hydrolase enzymatic act...  Read full blog post.

Customers Who Bought This Also Bought

Contact Information

Product PDFs

Calculators

Concentration Calculator

The concentration calculator allows you to quickly calculate the volume, mass or concentration of your vial. Simply enter your mass, volume, or concentration values for your reagent and the calculator will determine the rest.

=
÷

Review this Product

Be the first to review our CD38 Antibody (CD38/8075R) - Azide and BSA Free and receive a gift card or discount.

Bioinformatics

Gene Symbol CD38