CD2AP Antibody - BSA Free

Images

 
Immunocytochemistry/ Immunofluorescence: CD2AP Antibody [NBP1-90625] - Staining of human cell line U-251 MG shows localization to plasma membrane and cytosol. Antibody staining is shown in green.
Independent Antibodies: Immunohistochemistry-Paraffin: CD2AP Antibody [NBP1-90625] - Staining of human kidney, placenta, skeletal muscle and small intestine using Anti-CD2AP antibody NBP1-90625 (A) shows similar ...read more
Orthogonal Strategies: Analysis in human small intestine and skeletal muscle tissues using NBP1-90625 antibody. Corresponding CD2AP RNA-seq data are presented for the same tissues.
Immunohistochemistry-Paraffin: CD2AP Antibody [NBP1-90625] - Staining of human placenta shows strong cytoplasmic positivity in endothelial cells.
Immunohistochemistry-Paraffin: CD2AP Antibody [NBP1-90625] - Staining of human small intestine shows strong granular positivity in cytoplasm in glandular cells.
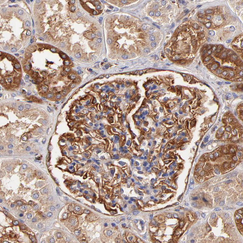
Staining of human kidney shows strong membranous positivity in cells in glomeruli.
Staining of human skeletal muscle shows no positivity in myocytes.
Orthogonal Strategies: Western Blot: CD2AP Antibody [NBP1-90625] - Analysis in human cell lines A-431 and PC-3 using anti-CD2AP antibody. Corresponding CD2AP RNA-seq data are presented for the same cell lines. ...read more
Analysis in mouse cell line NIH-3T3 and rat cell line NBT-II.

Product Details

Summary
Reactivity Hu, Mu, RtSpecies Glossary
Applications WB, ICC/IF, IHC
Clonality
Polyclonal
Host
Rabbit
Conjugate
Unconjugated
Format
BSA Free

Order Details

View Available Formulations
Catalog# & Formulation Size Price

CD2AP Antibody - BSA Free Summary

Description
Novus Biologicals Rabbit CD2AP Antibody - BSA Free (NBP1-90625) is a polyclonal antibody validated for use in IHC, WB and ICC/IF. All Novus Biologicals antibodies are covered by our 100% guarantee.
Immunogen
This antibody was developed against Recombinant Protein corresponding to amino acids: VDFDSLTVRTSKETDVVNFDDIASSENLLHLTANRPKMPGRRLPGRFNGGHSPTHSPEKILKLPKEEDSANLKPSELKKDTCYSPKPSVYLSTPSSASKANTTAFLTPLEIKAKVETDDVKKNSLDELRAQIIELLCIVEALKKDHGKEL
Isotype
IgG
Clonality
Polyclonal
Host
Rabbit
Gene
CD2AP
Purity
Immunogen affinity purified
Innovator's Reward
Test in a species/application not listed above to receive a full credit towards a future purchase.

Applications/Dilutions

Dilutions
  • Immunocytochemistry/ Immunofluorescence 0.25-2 ug/ml
  • Immunohistochemistry 1:200 - 1:500
  • Immunohistochemistry-Paraffin 1:200 - 1:500
  • Western Blot 0.04-0.4 ug/ml
Application Notes
For IHC-Paraffin, HIER pH 6 retrieval is recommended. ICC/IF Fixation Permeabilization: Use PFA/Triton X-100.
Control Peptide
CD2AP Protein (NBP1-90625PEP)

Packaging, Storage & Formulations

Storage
Store at 4C short term. Aliquot and store at -20C long term. Avoid freeze-thaw cycles.
Buffer
PBS (pH 7.2) and 40% Glycerol
Preservative
0.02% Sodium Azide
Purity
Immunogen affinity purified

Alternate Names for CD2AP Antibody - BSA Free

  • adapter protein CMS
  • Cas ligand with multiple Src homology 3 (SH3) domains
  • CD2AP
  • CD2-associated protein
  • CMS
  • DKFZp586H0519

Limitations

This product is for research use only and is not approved for use in humans or in clinical diagnosis. Primary Antibodies are guaranteed for 1 year from date of receipt.

Customers Who Viewed This Item Also Viewed...

AF3159
Species: Mu
Applications: IHC
NBP2-75624
Species: Hu, Mu, Rt
Applications: Flow, ICC/IF, IHC,  IHC-P, mIF, WB
NBP1-85615
Species: Hu, Mu
Applications: IHC,  IHC-P, WB
H00000081-M01
Species: Hu, Pm, Mu, Rt
Applications: ELISA, ICC/IF, IHC,  IHC-P, WB
NBP2-37574
Species: Hu, Mu, Rt
Applications: ELISA, Flow, ICC/IF, IHC,  IHC-P, WB
DBD00
Species: Hu
Applications: ELISA
NBP2-25200
Species: Hu
Applications: B/N, Flow, IHC, IHC-Fr, WB
MAB1455
Species: Hu
Applications: CyTOF-ready, Dual ISH-IHC, ICC, IHC, ICFlow, Simple Western, WB
NBP2-20383
Species: Hu, Mu
Applications: ICC/IF, IHC,  IHC-P, WB
NBP2-02623
Species: Ca, Hu, Mu, Rt
Applications: Flow, ICC/IF, IHC,  IHC-P, WB
NBP2-39100
Species: Hu, Mu, Rt
Applications: ELISA, ICC/IF, IHC,  IHC-P, WB
NB110-60011
Species: Hu
Applications: ICC/IF, IHC, IHC-Fr,  IHC-P, IP, Simple Western, WB
NBP1-87679
Species: Bv, Hu, Mu, Rt
Applications: IHC, IHC-Fr,  IHC-P, IP, WB
AF887
Species: Hu, Mu, Rt
Applications: CyTOF-ready, IHC, ICFlow, Simple Western, WB
NBP2-00532
Species: Ca, Hu, Pm, Mu, Rt
Applications: Flow, ICC/IF, IHC,  IHC-P, WB
NBP1-85047
Species: Hu, Mu, Po, Rt
Applications: ICC/IF, IHC,  IHC-P, WB
AF231
Species: Hu
Applications: CyTOF-ready, Dual ISH-IHC, ELISA(Cap), ELISA(Det), ELISA(Sta), Flow, ICC, IHC, IP, Simple Western, WB
236-EG
Species: Hu
Applications: BA
DVE00
Species: Hu
Applications: ELISA
NBP3-05578
Species: Hu, Mu
Applications: ELISA, ICC/IF, IHC,  IHC-P, WB

Publications for CD2AP Antibody (NBP1-90625) (0)

There are no publications for CD2AP Antibody (NBP1-90625).
By submitting your publication information earn gift cards and discounts for future purchases.

Reviews for CD2AP Antibody (NBP1-90625) (0)

There are no reviews for CD2AP Antibody (NBP1-90625). By submitting a review you will receive an Amazon e-Gift Card or Novus Product Discount.
  • Review with no image -- $10/€7/£6/$10 CAD/¥70 Yuan/¥1110 Yen
  • Review with an image -- $25/€18/£15/$25 CAD/¥150 Yuan/¥2500 Yen

Product General Protocols

Find general support by application which include: protocols, troubleshooting, illustrated assays, videos and webinars.

Video Protocols

WB Video Protocol
ICC/IF Video Protocol

FAQs for CD2AP Antibody (NBP1-90625) (0)

There are no specific FAQs related to this product. Read our general customer & technical service FAQs.

Secondary Antibodies

 

Isotype Controls

Additional CD2AP Products

Array NBP1-90625

Research Areas for CD2AP Antibody (NBP1-90625)

Find related products by research area.

Blogs on CD2AP

There are no specific blogs for CD2AP, but you can read our latest blog posts.

Customers Who Bought This Also Bought

Contact Information

Product PDFs

Calculators

Concentration Calculator

The concentration calculator allows you to quickly calculate the volume, mass or concentration of your vial. Simply enter your mass, volume, or concentration values for your reagent and the calculator will determine the rest.

=
÷

Review this Product

Be the first to review our CD2AP Antibody - BSA Free and receive a gift card or discount.

Bioinformatics

Gene Symbol CD2AP