CD21 Antibody (CR2/8880R) - Azide and BSA Free

Images

 
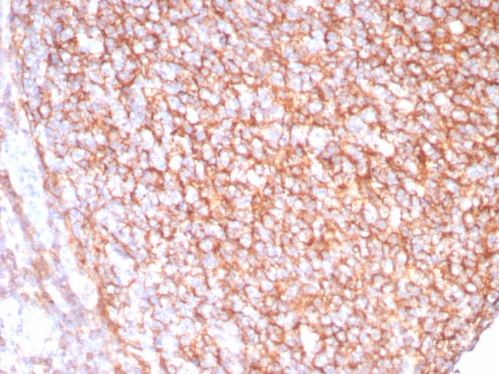
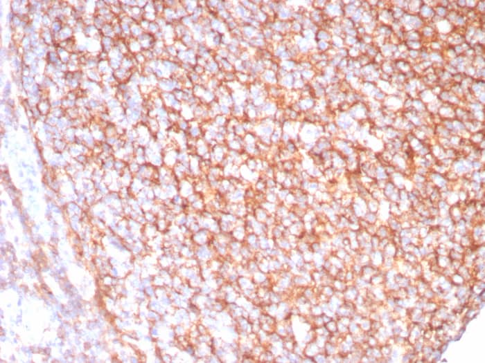
Formalin-fixed, paraffin-embedded human tonsil stained with CD21 antibody (CR2/8880R) - Azide and BSA Free. Inset: PBS instead of primary antibody; secondary only negative control.
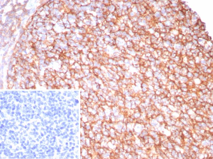
Formalin-fixed, paraffin-embedded human tonsil stained with CD21 antibody (CR2/8880R) - Azide and BSA Free. HIER: Tris/EDTA, pH9.0, 45min. Secondary: HRP-polymer, 30min. DAB, 5min.

Product Details

Summary
Reactivity HuSpecies Glossary
Applications IHC
Clone
CR2/8880R
Clonality
Monoclonal
Host
Rabbit
Conjugate
Unconjugated
Format
Azide and BSA Free
Concentration
1 mg/ml

Order Details

CD21 Antibody (CR2/8880R) - Azide and BSA Free Summary

Description
Antibody without azide - store at -20 to -80C.
Additional Information
Recombinant Monoclonal Antibody
Immunogen
Recombinant fragment (around aa1-200) of human CD21 (exact sequence is proprietary)
Localization
Cell Surface
Marker
Mature B-Cell & Follicular Dendritic Cell Marker
Isotype
IgG Kappa
Clonality
Monoclonal
Host
Rabbit
Gene
CR2
Purity
Protein A or G purified
Innovator's Reward
Test in a species/application not listed above to receive a full credit towards a future purchase.

Applications/Dilutions

Dilutions
  • Immunohistochemistry-Paraffin 1-2ug/ml
Application Notes
Immunohistochemistry-Paraffin: 1-2ug/ml for 30 minutes at RT. Staining of formalin-fixed tissues requires heating tissue sections in 10mM Tris with 1mM EDTA, pH 9.0, for 45 min at 95C followed by cooling at RT for 20 minutes. Optimal dilution for a specific application should be determined.

Packaging, Storage & Formulations

Storage
Store at -20 to -80C. Avoid freeze-thaw cycles.
Buffer
10mM PBS
Preservative
No Preservative
Concentration
1 mg/ml
Purity
Protein A or G purified

Alternate Names for CD21 Antibody (CR2/8880R) - Azide and BSA Free

  • C3DR
  • C3DRSLEB9
  • CD21 antigen
  • CD21
  • Complement C3d receptor
  • complement component (3d/Epstein Barr virus) receptor 2
  • complement receptor type 2
  • CR2
  • EBV receptor
  • Epstein-Barr virus receptor

Background

CD21 (complement receptor 2, CR2) binds C3 complement fragments, especially its breakdown fragments, which remain covalently attached to complement activating surfaces or antigen. CD21 has important roles in uptake and retention of immunocomplexes, survival of memory B cells and in development and maintenance of the humoral response to T-dependent antigens. CD21 also serves as a key receptor for Epstein-Barr virus binding and is involved in targeting prions to folicular dendritic cells and expediting neuroinvasion following peripheral exposure to prions. A soluble form of the CD21 (sCD21) is shed from the lymphocyte surface and retains its ability to bind respective ligands.

Limitations

This product is for research use only and is not approved for use in humans or in clinical diagnosis. Primary Antibodies are guaranteed for 1 year from date of receipt.

Customers Who Viewed This Item Also Viewed...

H00003347-M01
Species: Hu
Applications: ELISA, ICC/IF, S-ELISA, WB
AF1106
Species: Hu
Applications: IP, WB
7268-CT
Species: Hu
Applications: BA
NBP2-79843
Species: Hu
Applications: CyTOF-ready, ELISA, Flow, ICC/IF, IHC,  IHC-P, PA, WB
NB100-524
Species: Hu, Mu
Applications: Flow-IC, Flow, ICC/IF, IHC, IHC-Fr,  IHC-P, IP, WB
NBP2-29460
Species: Pm, Pm-Cm, Hu, Pm, RM
Applications: Flow, ICC/IF, IHC,  IHC-P, ISH
NB200-540
Species: Ec, Mu
Applications: CyTOF-ready, Flow-IC, Flow, IA, ICC/IF, IHC, IHC-Fr,  IHC-P, IP
NBP2-44520
Species: Ca(-), Hu, Rt(-)
Applications: Flow-IC, Flow, ICC/IF, IF, IHC,  IHC-P, MI, WB
NB600-534
Species: Hu, Mu, Po, V-Vi
Applications: ELISA, Flow, ICC/IF, IHC, IHC-Fr,  IHC-P, In vitro, In vivo, RIA, WB
NBP2-62693
Species: Hu
Applications: IHC,  IHC-P
MAB1455
Species: Hu
Applications: CyTOF-ready, Dual ISH-IHC, ICC, IHC, ICFlow, Simple Western, WB
NBP1-87581
Species: Hu
Applications: IHC,  IHC-P, WB
MAB6495
Species: Hu
Applications: ICC, Simple Western, WB
NBP2-25196
Species: Hu, Mu
Applications: CyTOF-ready, Flow, ICC/IF, In vitro, WB
NB100-866
Species: Hu, Mu, Po, Rt
Applications: IHC,  IHC-P, PEP-ELISA, WB
H00347527-P01
Species: Hu
Applications: ELISA, AP, PA, WB
AF123
Species: Hu
Applications: Block, ICC, WB
AF3398
Species: Hu, Mu, Rt
Applications: ICC, KO, Simple Western, WB
NBP3-24015
Species: Hu
Applications: IHC

Publications for CD21 Antibody (NBP3-24015) (0)

There are no publications for CD21 Antibody (NBP3-24015).
By submitting your publication information earn gift cards and discounts for future purchases.

Reviews for CD21 Antibody (NBP3-24015) (0)

There are no reviews for CD21 Antibody (NBP3-24015). By submitting a review you will receive an Amazon e-Gift Card or Novus Product Discount.
  • Review with no image -- $10/€7/£6/$10 CAD/¥70 Yuan/¥1110 Yen
  • Review with an image -- $25/€18/£15/$25 CAD/¥150 Yuan/¥2500 Yen

Product General Protocols

Find general support by application which include: protocols, troubleshooting, illustrated assays, videos and webinars.

FAQs for CD21 Antibody (NBP3-24015) (0)

There are no specific FAQs related to this product. Read our general customer & technical service FAQs.

Secondary Antibodies

 

Isotype Controls

Additional CD21 Products

Research Areas for CD21 Antibody (NBP3-24015)

Find related products by research area.

Blogs on CD21.

How To Identify B Cell Subsets Using Flow Cytometry
By Victoria OsinskiUsing Flow Cytometry to Identify B Cell SubsetsIdentifying cellular subsets by flow cytometry requires careful and thorough planning in order to ensure the correct subset of cells are identified...  Read full blog post.

CD19: An Undoubted Biomarker for B Cells
CD19 is a cell surface protein member of the large immunoglobulin superfamily that complexes with CD21, CD81, and CD225 in the membrane of mature B-cells. A major function of CD19 is to assemble with the antigen receptor of B-lymphocytes to decrease t...  Read full blog post.

Customers Who Bought This Also Bought

Contact Information

Product PDFs

Calculators

Concentration Calculator

The concentration calculator allows you to quickly calculate the volume, mass or concentration of your vial. Simply enter your mass, volume, or concentration values for your reagent and the calculator will determine the rest.

=
÷

Review this Product

Be the first to review our CD21 Antibody (CR2/8880R) - Azide and BSA Free and receive a gift card or discount.

Bioinformatics

Gene Symbol CR2