CD14 Antibody (CL1637) - Azide and BSA Free

Images

 
Orthogonal Strategies: Analysis in human liver and pancreas tissues using NBP3-44005 antibody. Corresponding CD14 RNA-seq data are presented for the same tissues.
Lane 1: Marker [kDa]Lane 2: Human tonsil tissue lysate
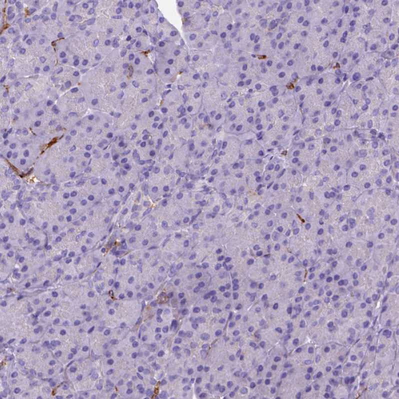
Staining of human liver shows moderate to strong membranous positivity in Kupffer cells.
Staining of human rectum shows moderate to strong membranous positivity in lymphoid cells.
Staining of human pancreas shows no positivity in exocrine glandular cells as expected.
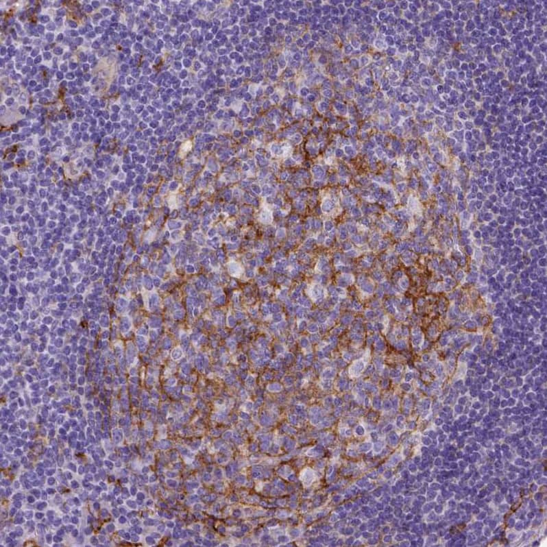
Staining of human tonsil shows moderate to strong membranous positivity in germinal center cells.

Product Details

Summary
Reactivity HuSpecies Glossary
Applications WB, IHC
Clone
CL1637
Clonality
Monoclonal
Host
Mouse
Conjugate
Unconjugated
Format
Azide and BSA Free
Concentration
LYOPH
Validated by:
       

Orthogonal Strategies

 

Order Details

CD14 Antibody (CL1637) - Azide and BSA Free Summary

Description
Novus Biologicals Mouse CD14 Antibody (CL1637) - Azide and BSA Free (NBP2-34485) is a monoclonal antibody validated for use in IHC and WB. All Novus Biologicals antibodies are covered by our 100% guarantee.
Immunogen
This antibody was generated using a recombinant protein sequence of D6RFL4, with the exact immunogen sequence remaining proprietary.
Isotype
IgG1
Clonality
Monoclonal
Host
Mouse
Gene
CD14
Purity
Protein A purified
Innovator's Reward
Test in a species/application not listed above to receive a full credit towards a future purchase.

Applications/Dilutions

Dilutions
  • Immunohistochemistry-Paraffin 1:1000 - 1:2500
  • Western Blot 1 ug/ml
Application Notes
For IHC-Paraffin, HIER pH 6 retrieval is recommended.

Packaging, Storage & Formulations

Storage
Store at 4C short term. Aliquot and store at -20C long term. Avoid freeze-thaw cycles.
Buffer
Lyophilized from a 0.2 um filtered solution in PBS with Trehalose
Preservative
No Preservative
Concentration
LYOPH
Purity
Protein A purified
Reconstitution Instructions
Centrifuge the vial of lyophilized antibody at 12,000 x g for 20 seconds. Reconstitute by adding sterile, distilled water to achieve a final antibody concentration of 1mg/ml.

Alternate Names for CD14 Antibody (CL1637) - Azide and BSA Free

  • CD14 antigen
  • CD14 molecule
  • CD14
  • monocyte differentiation antigen CD14
  • Myeloid cell-specific leucine-rich glycoprotein

Background

CD14 is a 53-55 kD glycosylphosphatidylinositol (GPI)-linked membrane glycoprotein also known as LPS receptor. CD14 is expressed at high levels on monocytes and macrophages, and at lower levels on granulocytes. Some dendritic cell populations such as interfollicular dendritic cells, reticular dendritic cells, and Langerhans cells have also been reported to express CD14. As a high-affinity receptor for LPS, CD14 is involved in the clearance of gram-negative pathogens and in the upregulation of adhesion molecules and cytokines expression in monocytes and neutrophils. The M5E2 antibody inhibits monocyte activation and cytokine production induced by LPS.

Limitations

This product is for research use only and is not approved for use in humans or in clinical diagnosis. Primary Antibodies are guaranteed for 1 year from date of receipt.

Customers Who Viewed This Item Also Viewed...

M6000B
Species: Mu
Applications: ELISA
NB100-524
Species: Hu, Mu
Applications: Flow-IC, Flow, ICC/IF, IHC, IHC-Fr,  IHC-P, IP, WB
7268-CT
Species: Hu
Applications: BA
NB100-56566
Species: Bv, Hu, Ma, Mu, Po, Rt
Applications: B/N, ChIP, CyTOF-ready, DB, Dual ISH-IHC, ELISA(Cap), ELISA, Flow-CS, Flow-IC, Flow, ICC/IF, IHC, IHC-Fr,  IHC-P, In vitro, KD, KO, PAGE, Simple Western, WB
NBP2-79843
Species: Hu
Applications: CyTOF-ready, ELISA, Flow, ICC/IF, IHC,  IHC-P, PA, WB
DY417
Species: Mu
Applications: ELISA
DY870-05
Species: Hu
Applications: ELISA
NB100-56722
Species: Ca, Hu, Mu, Rb, Rt
Applications: B/N, DB, ELISA, Flow-CS, Flow, Func, ICC/IF, IP, In vitro, WB
NB110-89474
Species: Bv, Ce, ChHa, Hu, Pm, Mu, Rt, RM
Applications: Dual ISH-IHC, Flow-CS, Flow, ICC/IF, IHC, IHC-Fr,  IHC-P, ISH, Simple Western, Single-Cell Western, WB
6507-IL/CF
Species: Hu
Applications: BA
NBP1-19371
Species: Ca, Hu, Mu, Po, Rb, Rt
Applications: Dual ISH-IHC, Flow, ICC/IF, IHC, IHC-Fr,  IHC-P, Simple Western, WB
AF4117
Species: Rt
Applications: IHC, WB
AF1597
Species: Hu
Applications: Block, Simple Western, WB
NBP1-72042
Species: Hu, Mu, Rt
Applications: ICC/IF, IHC,  IHC-P, PEP-ELISA, WB
NB600-1441
Species: Ca, Hu, Mu, Po
Applications: Flow, ICC/IF, IHC, IHC-Fr,  IHC-P, KD
4325-FC
Species: Hu
Applications: Bind
AF114
Species: Mu
Applications: CyTOF-ready, Flow, ICC, IHC, WB
1787-MD
Species: Hu
Applications: Bind
NBP1-49045
Species: Mu, Rt
Applications: Cell Depl, CyTOF-ready, Flow, ICC/IF, IHC, IHC-Fr,  IHC-P, IP, InhibTFunc

Publications for CD14 Antibody (NBP3-44005) (0)

There are no publications for CD14 Antibody (NBP3-44005).
By submitting your publication information earn gift cards and discounts for future purchases.

Reviews for CD14 Antibody (NBP3-44005) (0)

There are no reviews for CD14 Antibody (NBP3-44005). By submitting a review you will receive an Amazon e-Gift Card or Novus Product Discount.
  • Review with no image -- $10/€7/£6/$10 CAD/¥70 Yuan/¥1110 Yen
  • Review with an image -- $25/€18/£15/$25 CAD/¥150 Yuan/¥2500 Yen

Product General Protocols

Find general support by application which include: protocols, troubleshooting, illustrated assays, videos and webinars.

Video Protocols

WB Video Protocol

FAQs for CD14 Antibody (NBP3-44005) (0)

There are no specific FAQs related to this product. Read our general customer & technical service FAQs.

Secondary Antibodies

 

Isotype Controls

Additional CD14 Products

Research Areas for CD14 Antibody (NBP3-44005)

Find related products by research area.

Blogs on CD14.

The role of TLR4 in breast cancer
Toll like receptors (TLRs) are highly conserved proteins that are first known for their role in pathogen recognition and immune response activation.  In order to elicit the necessary immune response in reaction to a foreign pathogen, TLRs trigger cy...  Read full blog post.

CD14 - TLR4 is my friend in battle against infections!
CD14 is a well-characterized cell-activating receptor for lipopolysaccharide-binding protein (LBP) and peptidoglycan. It is an important modulator for lipopolysaccharide (LPS)-dependent signaling and is a component of the multi-protein complex contain...  Read full blog post.

CD11b: Marker for a New Type of B Cell that Participates in Cell-Mediated Immunity
Think B lymphocytes just produce antibodies? Think again! Although, of course, B cells are vital for the humoral immune response, many studies in recent years have begun to uncover antibody-independent actions of B cells: regulating T cells and thus a...  Read full blog post.

Customers Who Bought This Also Bought

Contact Information

Product PDFs

Calculators

Concentration Calculator

The concentration calculator allows you to quickly calculate the volume, mass or concentration of your vial. Simply enter your mass, volume, or concentration values for your reagent and the calculator will determine the rest.

=
÷

Review this Product

Be the first to review our CD14 Antibody (CL1637) - Azide and BSA Free and receive a gift card or discount.

Bioinformatics

Gene Symbol CD14