Calnexin Antibody - BSA Free

Images

 
Immunocytochemistry/ Immunofluorescence: Calnexin Antibody [NB100-1974] - HeLa cells were fixed in 4% paraformaldehyde for 10 minutes and permeabilized in 0.05% Triton X-100 in PBS for 5 minutes. The cells were ...read more
Immunocytochemistry/ Immunofluorescence: Calnexin Antibody [NB100-1974] - NIH3T3 cells were fixed in 4% paraformaldehyde for 10 minutes and permeabilized in 0.05% Triton X-100 in PBS for 5 minutes. The cells were ...read more
Immunocytochemistry/ Immunofluorescence: Calnexin Antibody [NB100-1974] - Rat FR cells were fixed in 4% paraformaldehyde for 10 minutes and permeabilized in 0.05% Triton X-100 in PBS for 5 minutes. The cells were ...read more
Western Blot: Calnexin Antibody [NB100-1974] - Identification of plasma exosomes and differentially expressed exosomal miRNAs. Confirmation of the exosomes markers with Western blotting indicated the presence of CD63 ...read more
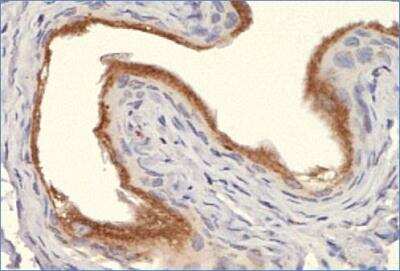
Immunohistochemistry: Calnexin Antibody [NB100-1974] - Analysis of Calnexin in mouse bladder using DAB with hematoxylin counterstain.
Flow Cytometry: Calnexin Antibody [NB100-1974] - An intracellular stain was performed on rat FR cells with Calnexin Antibody NB100-1974 (blue) and a matched isotype control NBP2-24891 (orange). Cells were fixed with 4% ...read more
Western Blot: Calnexin Antibody [NB100-1974] - Analysis of Calnexin in HeLa whole cell lysate.
Immunocytochemistry/ Immunofluorescence: Calnexin Antibody [NB100-1974] - Zebrafish Vwf forms pseudo-Weibel-Palade bodies (pseudo-WPBs) in mammalian cell culture. pzVwf/Myc-HIS (zebrafish Vwf) plasmids were transfected ...read more
Flow Cytometry: Calnexin Antibody [NB100-1974] - Analysis of Alexa Fluor (R) 488 conjugate of NB100-1974. An intracellular stain was performed on Jurkat cells with Calnexin antibody NB100-1974AF488 (blue) and a matched ...read more
Flow Cytometry: Calnexin Antibody [NB100-1974] - An intracellular stain was performed on HeLa cells with Calnexin antibody NB100-1974AF488 (blue) and a matched isotype control NBP2-24893AF488 (orange). Cells were fixed ...read more
Flow Cytometry: Calnexin Antibody [NB100-1974] - An intracellular stain was performed on Daudi cells with Calnexin Antibody NB100-1974 (blue) and a matched isotype control NBP2-24891 (orange). Cells were fixed with 4% ...read more
Flow Cytometry: Calnexin Antibody [NB100-1974] - An intracellular stain was performed on NIH3T3 cells with Calnexin Antibody NB100-1974 (blue) and a matched isotype control NBP2-24891 (orange). Cells were fixed with 4% ...read more
Simple Western: Calnexin Antibody [NB100-1974] - Image shows a specific band for Calnexin in 0.1 mg/mL of HeLa lysate. This experiment was performed under reducing conditions using the 12-230 kDa separation system.
Calnexin was detected in immersion fixed U-2 OS human osteosarcoma cell line using Rabbit anti-Calnexin Affinity Purified Polyclonal Antibody conjugated to FITC (Catalog # NB100-1974F) (green) at 10 µg/mL overnight at ...read more
Immunocytochemistry/ Immunofluorescence: Calnexin Antibody - BSA Free [NB100-1974] - Zebrafish Vwf forms pseudo-Weibel-Palade bodies (pseudo-WPBs) in mammalian cell culture. pVWF/Myc-HIS (human VWF, (a–c)) or ...read more
Immunocytochemistry/ Immunofluorescence: Calnexin Antibody - BSA Free [NB100-1974] - Zebrafish Vwf forms pseudo-Weibel-Palade bodies (pseudo-WPBs) in mammalian cell culture. pVWF/Myc-HIS (human VWF, (a–c)) or ...read more
Immunocytochemistry/ Immunofluorescence: Calnexin Antibody - BSA Free [NB100-1974] - Zebrafish Vwf forms pseudo-Weibel-Palade bodies (pseudo-WPBs) in mammalian cell culture. pVWF/Myc-HIS (human VWF, (a–c)) or ...read more
Immunocytochemistry/ Immunofluorescence: Calnexin Antibody - BSA Free [NB100-1974] - Zebrafish Vwf forms pseudo-Weibel-Palade bodies (pseudo-WPBs) in mammalian cell culture. pVWF/Myc-HIS (human VWF, (a–c)) or ...read more
Western Blot: Calnexin Antibody - BSA Free [NB100-1974] - Liver-specific disruption of Chrebp in mice. A: Quantitative real-time PCR analysis of ChREBP mRNA. Total RNA was isolated from various tissues of control & ...read more
Western Blot: Calnexin Antibody - BSA Free [NB100-1974] - Immunoblot analysis of livers from control & L-Chrebp−/− mice subjected to fasting & refeeding with a high-sucrose diet. Littermate control & L-Chrebp−/− ...read more

Product Details

Summary
Reactivity Hu, Mu, Rt, Ha, Ze, Ca, Pm-OrSpecies Glossary
Applications WB, Simple Western, Flow, ICC/IF, IHC, IP
Clonality
Polyclonal
Host
Rabbit
Conjugate
Unconjugated
Format
BSA Free
Concentration
1 mg/ml

Order Details

Calnexin Antibody - BSA Free Summary

Description
Novus Biologicals Rabbit Calnexin Antibody - BSA Free (NB100-1974) is a polyclonal antibody validated for use in IHC, WB, Flow, ICC/IF, Simple Western and IP. Anti-Calnexin Antibody: Cited in 13 publications. All Novus Biologicals antibodies are covered by our 100% guarantee.
Immunogen
A synthetic peptide made to a C-terminal portion of the rat Calnexin protein (between residues 550-591) [Uniprot: P35565]
Localization
Endoplasmic reticulum
Marker
Endoplasmic Reticulum Membrane Marker
Predicted Species
Orangutan (93%), Canine (90%). Backed by our 100% Guarantee.
Isotype
IgG
Clonality
Polyclonal
Host
Rabbit
Gene
CANX
Purity
Immunogen affinity purified
Innovator's Reward
Test in a species/application not listed above to receive a full credit towards a future purchase.

Applications/Dilutions

Dilutions
  • Flow Cytometry
  • Immunocytochemistry/ Immunofluorescence 1:100
  • Immunohistochemistry 1:100
  • Immunohistochemistry-Paraffin 1:100
  • Immunoprecipitation 1:100
  • Simple Western 1:50
  • Western Blot 1:1000
Application Notes
In ICC/IF, endoplasmic reticulum staining was observed in HeLa cells. In Western Blot, a band is seen at ~ 90 kDa representing Calnexin. In IHC-P, staining was observed in the endoplasmic reticulum of mouse bladder tissue. Prior to immunostaining paraffin tissues, antigen retrieval with sodium citrate buffer (pH 6.0) is recommended. In Simple Western only 10 - 15 uL of the recommended dilution is used per data point.
See Simple Western Antibody Database for Simple Western validation: Tested in HeLa lysate 0.1 mg/mL, separated by Size, antibody dilution of 1:50, apparent MW was 117 kDa. Separated by Size-Wes, Sally Sue/Peggy Sue.
Theoretical MW
97 kDa.
Disclaimer note: The observed molecular weight of the protein may vary from the listed predicted molecular weight due to post translational modifications, post translation cleavages, relative charges, and other experimental factors.
Reviewed Applications
Read 1 Review rated 4
using
NB100-1974 in the following applications:

Publications
Read Publications using
NB100-1974 in the following applications:

Reactivity Notes

Hamster reactivity reported in the scientific literature (PMID: 23760268). Use in Zebrafish reported in scientific literature (PMID:23049555).

Packaging, Storage & Formulations

Storage
Store at 4C short term. Aliquot and store at -20C long term. Avoid freeze-thaw cycles.
Buffer
PBS
Preservative
0.02% Sodium Azide
Concentration
1 mg/ml
Purity
Immunogen affinity purified

Alternate Names for Calnexin Antibody - BSA Free

  • calnexin
  • CNX
  • IP90FLJ26570
  • Major histocompatibility complex class I antigen-binding protein p88
  • P90

Background

Calnexin is a calcium-binding protein which interacts with newly synthesized glycoproteins in ER for facilitating protein assembly and/or the retention within ER of unassembled protein subunits as well as incorrectly folded proteins thereby playing a key role in ER's quality control apparatus. The specificity of calnexin for glycoproteins is defined by a lectin site, which binds an early oligosaccharide intermediate on the folding glycoprotein. When associated with partial T-cell antigen receptor complexes which escape immature thymocytes's ER, calnexin regulates thymocyte maturation process and is also implicated in receptor-mediated endocytosis at synapses. MAPK3/ERK1 phosphorylates calnexin at Ser-565 leading to increased calnexin-ribosomal association and DHHC6 mediated calnexin palmitoylation leads to its preferential localization to perinuclear rough ER. Palmitoylation also facilitate calnexin association with RTC/ribosome-translocon complex that is essential to efficient folding of glycosylated proteins.

Limitations

This product is for research use only and is not approved for use in humans or in clinical diagnosis. Primary Antibodies are guaranteed for 1 year from date of receipt.

Customers Who Viewed This Item Also Viewed...

NB600-101
Species: Bv, Ha, Hu, Mu, Pm, Rt
Applications: B/N, DB, EM, Flow, ICC/IF, IHC,  IHC-P, IP, KD, PA, Simple Western, WB
MAB79671
Species: Hu, Mu, Rt
Applications: ICC, Simple Western, WB
NBP1-06274
Species: Ce, Ch, Dr, Hu, Mu, Rt, Sh, Ze
Applications: Flow, ICC/IF, IHC-FrFl, IHC,  IHC-P, Simple Western, WB
NB100-1595
Species: Hu, Mu
Applications: IHC,  IHC-P, IP, WB
NBP2-20237
Species: Hu, Mu, Rt
Applications: IHC,  IHC-P, WB
AF1230
Species: Hu, Mu, Rt
Applications: IHC, KO, WB
NBP1-84796
Species: Hu, Mu, Rt
Applications: ICC/IF, IHC,  IHC-P, KD, WB
NBP2-52555
Species: Hu, Mu
Applications: CyTOF-ready, ELISA, Flow, ICC/IF, IHC,  IHC-P, WB
NBP2-22203
Species: Hu, Pm, Mu, Rt
Applications: ELISA, Flow, ICC/IF, IHC,  IHC-P, WB
NBP1-87799
Species: Hu, Mu, Rt
Applications: ICC/IF, IHC,  IHC-P, WB
AF1543
Species: Hu
Applications: IHC, WB
NBP2-01346
Species: Ca, Hu, Pm, Mu, Pm, Rt
Applications: Flow, ICC/IF, IHC,  IHC-P, WB
AF467
Species: Hu, Mu
Applications: CyTOF-ready, Flow, ICC, IHC, Simple Western, WB
MAB4614
Species: Hu
Applications: CyTOF-ready, Flow, KO
NBP2-11567
Species: Hu, Mu
Applications: IHC,  IHC-P, PEP-ELISA, WB
H00006890-M04
Species: Hu
Applications: ELISA, Flow, ICC/IF, WB
NBP1-89394
Species: Hu
Applications: ICC/IF, IHC,  IHC-P
NBP1-86968
Species: Hu
Applications: IHC,  IHC-P
NB300-619
Species: Bv, Ch, Ha, Hu, Mu, Rt
Applications: ICC, ICC/IF, IHC,  IHC-P, IP, WB

Publications for Calnexin Antibody (NB100-1974)(14)

We have publications tested in 5 confirmed species: Human, Mouse, Fish - Danio rerio (Zebrafish), Hamster, Zebrafish.

We have publications tested in 4 applications: FLOW, ICC/IF, Immunocytochemistry/ Immunofluorescence, WB.


Filter By Application
FLOW
(1)
ICC/IF
(2)
Immunocytochemistry/ Immunofluorescence
(2)
WB
(4)
All Applications
Filter By Species
Human
(2)
Mouse
(2)
Fish - Danio rerio (Zebrafish)
(2)
Hamster
(1)
Zebrafish
(1)
All Species
Showing Publications 1 - 10 of 14. Show All 14 Publications.
Publications using NB100-1974 Applications Species
Ye Z, Zhang J, Ancrum T et al. S-Glutathionylation of Endoplasmic Reticulum Proteins Impacts Unfolded Protein Response Sensitivity. Antioxid. Redox Signal. 2016-02-03 [PMID: 26838680]
Kang R, Tang D, Schapiro NE et al. The HMGB1/RAGE inflammatory pathway promotes pancreatic tumor growth by regulating mitochondrial bioenergetics. Oncogene 2013-01-14 [PMID: 23318458] (WB, Mouse) WB Mouse
Galanopoulou O, Tachmatzidi E, Deligianni E et al. Endonucleosis mediates internalization of cytoplasm into the nucleus in senescent cells bioRxiv 2023-11-13 (ICC/IF) ICC/IF
Xu S, Donnelly L, Kober DL et al. Development of a monoclonal antibody to study MARCH6, an E3 ligase that regulates proteins that control lipid homeostasis. Journal of lipid research 2024-09-19 [PMID: 39306038]
Castellani, G;Buccarelli, M;D'Alessandris, QG;Ilari, R;Cappannini, A;Pedini, F;Boe, A;Lulli, V;Parolini, I;Giannetti, S;Biffoni, M;Zappavigna, V;Marziali, G;Pallini, R;Ricci-Vitiani, L; Extracellular vesicles produced by irradiated endothelial or Glioblastoma stem cells promote tumor growth and vascularization modulating tumor microenvironment Cancer cell international 2024-02-12 [PMID: 38347567]
Hung YH, Kim Y, Mitchell SB et al. Absence of Slc39a14/Zip14 in mouse pancreatic beta cells results in hyperinsulinemia American journal of physiology. Endocrinology and metabolism 2023-11-29 [PMID: 38019082]
Fernandez-Fuente G, Overmyer KA, Lawton AJ et al. The citrate transporters SLC13A5 and SLC25A1 elicit different metabolic responses and phenotypes in the mouse Commun Biol 2023-09-09 [PMID: 37689798] (Immunocytochemistry/ Immunofluorescence, Fish - Danio rerio (Zebrafish)) Immunocytochemistry/ Immunofluorescence Fish - Danio rerio (Zebrafish)
Chantziou A, Theodorakis K, Polioudaki H et al. Glycosylation Modulates Plasma Membrane Trafficking of CD24 in Breast Cancer Cells International Journal of Molecular Sciences 2021-07-29 [PMID: 34360932] (Immunocytochemistry/ Immunofluorescence, Fish - Danio rerio (Zebrafish)) Immunocytochemistry/ Immunofluorescence Fish - Danio rerio (Zebrafish)
Akoumianaki T, Vaporidi K, Diamantaki E et al. Uncoupling of IL-6 signaling and LC3-associated phagocytosis drives immunoparalysis during sepsis Cell host & microbe 2021-06-25 [PMID: 34214493]
Ma J, Xu M, Yin M, et al. Exosomal hsa-miR199a-3p Promotes Proliferation and Migration in Neuroblastoma Front Oncol 2019-06-12 [PMID: 31249805] (FLOW, WB, Human) FLOW, WB Human
Show All 14 Publications.

Review for Calnexin Antibody (NB100-1974) (1) 41

Average Rating: 4
(Based on 1 review)
We have 1 review tested in 1 species: Other.

Reviews using NB100-1974:
Filter by Applications
WB
(1)
All Applications
Filter by Species
Other
(1)
All Species
Images Ratings Applications Species Date Details
  4
reviewed by:
Verified Customer
WB Other 12/12/2014
View

Summary

ApplicationWestern Blot
Sample TestedSee PMID 23760268
SpeciesOther

Product General Protocols

Video Protocols

WB Video Protocol
ICC/IF Video Protocol

FAQs for Calnexin Antibody (NB100-1974) (0)

There are no specific FAQs related to this product. Read our general customer & technical service FAQs.

Secondary Antibodies

 

Isotype Controls

Additional Calnexin Products

Research Areas for Calnexin Antibody (NB100-1974)

Find related products by research area.

Blogs on Calnexin.

Calnexin - an ER chaperone that folds the cell's glycoproteins
Calnexin is an abundant 90kDa chaperone protein that resides in the membrane of the endoplasmic reticulum. Calnexin and the related calreticulin protein function together to ensure the proper folding of glycoproteins. By binding to partially folded...  Read full blog post.

Customers Who Bought This Also Bought

Contact Information

Product PDFs

Calculators

Concentration Calculator

The concentration calculator allows you to quickly calculate the volume, mass or concentration of your vial. Simply enter your mass, volume, or concentration values for your reagent and the calculator will determine the rest.

=
÷

Recent Reviews

4
5
0
4
1
3
0
2
0
1
0

 
Verified Customer
12/12/2014
Application: WB
Species: Other

Bioinformatics

Gene Symbol CANX
Entrez
Uniprot