Cadherin-16 Antibody (CDH16/1071) - Azide and BSA Free

Images

 
Western Blot: Cadherin-16 Antibody (CDH16/1071) - Azide and BSA Free [NBP2-47745] - Analysis of human kidney tissue lysate usingCadherin-16 Antibody (CDH16/1071).
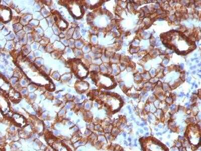
Immunohistochemistry-Paraffin: Cadherin-16 Antibody (CDH16/1071) - Azide and BSA Free [NBP2-47745] - Human Kidney stained with Cadherin-16 Antibody (CDH16/1071).
Flow Cytometry: Cadherin-16 Antibody (CDH16/1071) - Azide and BSA Free [NBP2-47745] - Analysis of human HEK293 cells usingCadherin-16 Antibody (CDH16/1071) followed by Goat anti-Mouse IgG-CF488 (Blue); Isotype Control ...read more
Immunohistochemistry-Paraffin: Cadherin-16 Antibody (CDH16/1071) - Azide and BSA Free [NBP2-47745] - Human Kidney stained with Cadherin-16 Antibody (CDH16/1071) followed by Goat anti-Mouse IgG-CF640R (Purple)
Immunohistochemistry-Paraffin: Cadherin-16 Antibody (CDH16/1071) - Azide and BSA Free [NBP2-47745] - Mouse Kidney stained with Cadherin-16 Antibody (CDH16/1071).
Immunohistochemistry-Paraffin: Cadherin-16 Antibody (CDH16/1071) - Azide and BSA Free [NBP2-47745] - Human Renal Cell Carcinoma stained with KSP-Cadherin Monoclonal Antibody (CDH16/1071)
Immunohistochemistry-Paraffin: Cadherin-16 Antibody (CDH16/1071) - Azide and BSA Free [NBP2-47745] - Rat Kidney stained with KSP-Cadherin Monoclonal Antibody (CDH16/1071)

Product Details

Summary
Reactivity Hu, Mu, Rt, Ca, RbSpecies Glossary
Applications WB, ELISA, Flow, IHC, CyTOF-ready
Clone
CDH16/1071
Clonality
Monoclonal
Host
Mouse
Conjugate
Unconjugated
Format
Azide and BSA Free
Concentration
1.0 mg/ml

Order Details

Cadherin-16 Antibody (CDH16/1071) - Azide and BSA Free Summary

Description
1.0 mg/ml of antibody purified from Bioreactor Concentrate by Protein A/G. Prepared in 10mM PBS WITHOUT BSA & azide. Also available at 200 ug/ml WITH BSA & azide (NBP2-45157).

Antibody with azide - store at 2 to 8C. Antibody without azide - store at -20 to -80C.
Immunogen
Recombinant full-length human Cadherin-16 protein (Uniprot: O75309)
Localization
Cell Surface with some cytoplasmic
Isotype
IgG1 Kappa
Clonality
Monoclonal
Host
Mouse
Gene
CDH16
Purity
Protein A or G purified
Innovator's Reward
Test in a species/application not listed above to receive a full credit towards a future purchase.

Applications/Dilutions

Dilutions
  • CyTOF-ready
  • ELISA 2-4 ug/ml
  • Flow Cytometry 0.5 - 1 ug/million cells in 0.1 ml
  • Immunohistochemistry
  • Immunohistochemistry-Paraffin 0.5 - 1.0 ug/ml
  • Western Blot
Application Notes
ELISA: Use Ab at 2-4ug/ml for coating. Order Ab without BSA.
Immunohistochemistry (Formalin-fixed): 1-2ug/ml for 30 minutes at RT. Staining of formalin-fixed tissues requires heating tissue sections in 10mM Tris with 1mM EDTA, pH 9.0, for 45 min at 95C followed by cooling at RT for 20 minutes.
Optimal dilution for a specific application should be determined.
Theoretical MW
130 kDa.
Disclaimer note: The observed molecular weight of the protein may vary from the listed predicted molecular weight due to post translational modifications, post translation cleavages, relative charges, and other experimental factors.
Publications
Read Publication using NBP2-47745.

Packaging, Storage & Formulations

Storage
Store at -20 to -80C. Avoid freeze-thaw cycles.
Buffer
10 mM PBS
Preservative
No Preservative
Concentration
1.0 mg/ml
Purity
Protein A or G purified

Alternate Names for Cadherin-16 Antibody (CDH16/1071) - Azide and BSA Free

  • cadherin 16, KSP-cadherin
  • cadherin-16
  • Kidney-specific cadherin
  • KSP-cadherin

Background

Cadherin 16 is a member of the cadherin superfamily, genes encoding calcium-dependent, membrane-associated glycoproteins. Mapped to a previously identified cluster of cadherin genes on chromosome 16q22.1, the gene localizes with superfamily members CDH1, CDH3, CDH5, CDH8 and CDH11. The protein consists of an extracellular domain containing 6 cadherin domains, a transmembrane region and a truncated cytoplasmic domain but lacks the prosequence and tripeptide HAV adhesion recognition sequence typical of most classical cadherins. Expression is exclusively in kidney, where the protein functions as the principal mediator of homotypic cellular recognition, playing a role in the morphogenic direction of tissue development.

Limitations

This product is for research use only and is not approved for use in humans or in clinical diagnosis. Primary Antibodies are guaranteed for 1 year from date of receipt.

Customers Who Viewed This Item Also Viewed...

AF748
Species: Hu, Mu
Applications: CyTOF-ready, Dual ISH-IHC, Flow, ICC, IHC, Simple Western, WB
AF1126
Species: Mu
Applications: ELISA(Cap), ELISA(Det), ELISA(Sta), IHC, IP, WB
NBP2-47940
Species: Hu
Applications: CyTOF-ready, Flow, ICC/IF, IF, IHC,  IHC-P, Simple Western, WB
AF1356
Species: Hu, Mu
Applications: CyTOF-ready, Dual ISH-IHC, Flow, IHC, Simple Western, WB
NB300-223
Species: Bv, Ca, Ch, Eq, Hu, Mu, Po, Rt
Applications: ICC/IF, IHC, IHC-Fr,  IHC-P, WB
NBP2-45731
Species: Ca, Hu, Pm
Applications: IHC,  IHC-P, WB
NBP1-89680
Species: Hu, Mu
Applications: ChIP, ICC/IF, IHC,  IHC-P, Simple Western, WB
AF3364
Species: Hu
Applications: ICC, IHC, WB
MAB1032
Species: Hu
Applications: IHC, WB
NBP3-18540
Species: Hu
Applications: ICC/IF, IHC,  IHC-P, WB
NBP1-48309
Species: Hu, Mu, Rt
Applications: Flow-IC, Flow, ICC/IF, IHC,  IHC-P, IP, Simple Western, WB
NBP2-15840
Species: Hu, Mu, Rt
Applications: ICC/IF, IHC,  IHC-P, WB
NBP1-47708
Species: Hu, Mu, Rt
Applications: Flow, ICC/IF, IHC,  IHC-P, IP, WB
NBP1-33596
Species: Hu, Mu, Rt
Applications: ICC/IF, IHC,  IHC-P, IP, PAGE, WB
AF5175
Species: Mu
Applications: IHC, Simple Western, WB
NBP1-87168
Species: Hu
Applications: ICC/IF, IHC,  IHC-P, WB
DKK300
Species: Hu
Applications: ELISA
NBP1-32440
Species: Ca, Hu, Mu, Rt
Applications: ChIP, ICC/IF, IHC,  IHC-P, IP, Simple Western, Single-Cell Western, WB
NBP2-47745
Species: Hu, Mu, Rt, Ca, Rb
Applications: WB, ELISA, Flow, IHC, CyTOF-ready

Publications for Cadherin-16 Antibody (NBP2-47745)(1)

Reviews for Cadherin-16 Antibody (NBP2-47745) (0)

There are no reviews for Cadherin-16 Antibody (NBP2-47745). By submitting a review you will receive an Amazon e-Gift Card or Novus Product Discount.
  • Review with no image -- $10/€7/£6/$10 CAD/¥70 Yuan/¥1110 Yen
  • Review with an image -- $25/€18/£15/$25 CAD/¥150 Yuan/¥2500 Yen

Product General Protocols

Find general support by application which include: protocols, troubleshooting, illustrated assays, videos and webinars.

Video Protocols

WB Video Protocol

FAQs for Cadherin-16 Antibody (NBP2-47745) (0)

There are no specific FAQs related to this product. Read our general customer & technical service FAQs.

Customers Who Bought This Also Bought

Contact Information

Product PDFs

Calculators

Concentration Calculator

The concentration calculator allows you to quickly calculate the volume, mass or concentration of your vial. Simply enter your mass, volume, or concentration values for your reagent and the calculator will determine the rest.

=
÷

Review this Product

Be the first to review our Cadherin-16 Antibody (CDH16/1071) - Azide and BSA Free and receive a gift card or discount.

Bioinformatics

Gene Symbol CDH16