C11orf96 Antibody - BSA Free

Images

 
Immunocytochemistry/ Immunofluorescence: C11orf96 Antibody [NBP1-90866] - Staining of human cell line SH-SY5Y shows localization to nucleoplasm & cytosol. Antibody staining is shown in green.
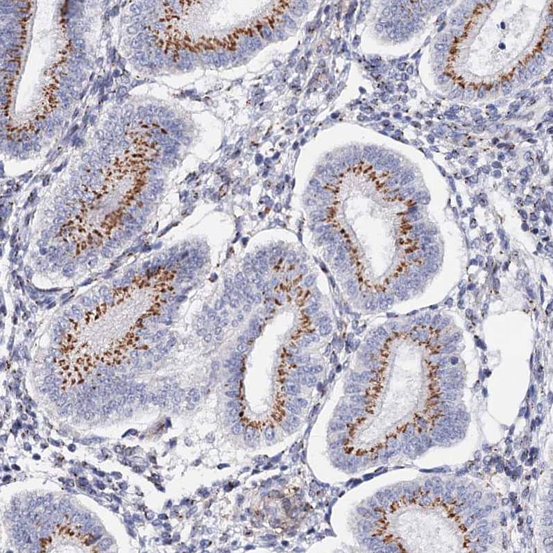
Immunohistochemistry-Paraffin: C11orf96 Antibody [NBP1-90866] - Staining of human small intestine shows strong granular positivity in cytoplasm in glandular cells.
Immunohistochemistry-Paraffin: C11orf96 Antibody [NBP1-90866] - Staining of human endometrium shows strong granular positivity in cytoplasm in glandular cells.
Immunohistochemistry-Paraffin: C11orf96 Antibody [NBP1-90866] - Staining of human skeletal muscle shows very weak positivity in myocytes.
Immunohistochemistry-Paraffin: C11orf96 Antibody [NBP1-90866] - Staining of human prostate shows strong granular positivity in cytoplasm in glandular cells.
Staining of human endometrium shows strong granular positivity in cytoplasm in glandular cells.
Staining of human skeletal muscle shows very weak positivity in myocytes.

Product Details

Summary
Reactivity Hu, Mu, RtSpecies Glossary
Applications ICC/IF, IHC
Clonality
Polyclonal
Host
Rabbit
Conjugate
Unconjugated
Format
BSA Free

Order Details

View Available Formulations
Catalog# & Formulation Size Price

C11orf96 Antibody - BSA Free Summary

Description
Novus Biologicals Rabbit C11orf96 Antibody - BSA Free (NBP1-90866) is a polyclonal antibody validated for use in IHC and ICC/IF. All Novus Biologicals antibodies are covered by our 100% guarantee.
Immunogen
This antibody was developed against Recombinant Protein corresponding to amino acids: RQSRFKTQPVTFDEIQEVEEEGVSPMEEEKAKKSFLQSLECLRRSTQSLSLQREQLSSCKLRNSLDSS
Predicted Species
Mouse (97%), Rat (97%). Backed by our 100% Guarantee.
Isotype
IgG
Clonality
Polyclonal
Host
Rabbit
Gene
C11ORF96
Purity
Immunogen affinity purified
Innovator's Reward
Test in a species/application not listed above to receive a full credit towards a future purchase.

Applications/Dilutions

Dilutions
  • Immunocytochemistry/ Immunofluorescence 0.25-2 ug/ml
  • Immunohistochemistry 1:200 - 1:500
  • Immunohistochemistry-Paraffin 1:200 - 1:500
Application Notes
For IHC-Paraffin, HIER pH 6 retrieval is recommended. ICC/IF Fixation Permeabilization: Use PFA/Triton X-100.
Control Peptide
C11orf96 Protein (NBP1-90866PEP)

Packaging, Storage & Formulations

Storage
Store at 4C short term. Aliquot and store at -20C long term. Avoid freeze-thaw cycles.
Buffer
PBS (pH 7.2) and 40% Glycerol
Preservative
0.02% Sodium Azide
Purity
Immunogen affinity purified

Alternate Names for C11orf96 Antibody - BSA Free

  • AG2
  • chromosome 11 open reading frame 96
  • protein Ag2 homolog

Limitations

This product is for research use only and is not approved for use in humans or in clinical diagnosis. Primary Antibodies are guaranteed for 1 year from date of receipt.

Customers Who Viewed This Item Also Viewed...

NBP3-33549
Species: Hu, Mu, Rt
Applications: ELISA, IHC,  IHC-P, WB
202-IL
Species: Hu
Applications: BA
NBP3-35061
Species: Hu, Mu, Rt
Applications: ELISA, ICC/IF, IP, WB
DY417
Species: Mu
Applications: ELISA
NB300-221
Species: Av, Bv, Ca, Ch, ChHa, Dr, Eq, Fe, Ha, Hu, Mu, Ma-Op, Po, Pm, Rb, Rt, Sh, Ze
Applications: ChIP, ICC/IF, IHC, IHC-Fr, IP, KD, Simple Western, Single-Cell Western, WB
AF4309
Species: Hu, Mu
Applications: ICC, IHC, WB
NBP2-46125
Species: Ca, Hu, Pm, Mu, Rt
Applications: ICC/IF, WB
NBP1-84037
Species: Hu, Mu, Rt
Applications: IHC,  IHC-P, WB
NBP1-89388
Species: Hu, Mu, Rt
Applications: ICC/IF, IHC,  IHC-P, Simple Western, WB
NBP2-34014
Species: Hu
Applications: IHC,  IHC-P
AF1640
Species: Hu
Applications: ELISA(Cap), ELISA(Det), ELISA(Sta), IHC, WB
NBP1-72042
Species: Hu, Mu, Rt
Applications: ICC/IF, IHC,  IHC-P, PEP-ELISA, WB
NBP2-45570
Species: Hu, Mu, Rt
Applications: Flow, IHC,  IHC-P, WB
AF6457
Species: Hu
Applications: WB
AF1513
Species: Mu
Applications: CyTOF-ready, Flow, IHC, IP, Simple Western, WB
7754-BH/CF
Species: Hu
Applications: BA
NBP1-92607
Species: Hu
Applications: ICC/IF, IHC,  IHC-P
H00728695-B01P
Species: Hu
Applications: ICC/IF, IP, WB

Publications for C11orf96 Antibody (NBP1-90866) (0)

There are no publications for C11orf96 Antibody (NBP1-90866).
By submitting your publication information earn gift cards and discounts for future purchases.

Reviews for C11orf96 Antibody (NBP1-90866) (0)

There are no reviews for C11orf96 Antibody (NBP1-90866). By submitting a review you will receive an Amazon e-Gift Card or Novus Product Discount.
  • Review with no image -- $10/€7/£6/$10 CAD/¥70 Yuan/¥1110 Yen
  • Review with an image -- $25/€18/£15/$25 CAD/¥150 Yuan/¥2500 Yen

Product General Protocols

Find general support by application which include: protocols, troubleshooting, illustrated assays, videos and webinars.

Video Protocols

ICC/IF Video Protocol

FAQs for C11orf96 Antibody (NBP1-90866) (0)

There are no specific FAQs related to this product. Read our general customer & technical service FAQs.

Customers Who Bought This Also Bought

Contact Information

Product PDFs

Calculators

Concentration Calculator

The concentration calculator allows you to quickly calculate the volume, mass or concentration of your vial. Simply enter your mass, volume, or concentration values for your reagent and the calculator will determine the rest.

=
÷

Review this Product

Be the first to review our C11orf96 Antibody - BSA Free and receive a gift card or discount.

Bioinformatics

Gene Symbol C11ORF96